歯周病治療
「歯周病認定医」
による歯周病治療

- 歯ぐきが腫れている
- 歯ぐきから血や膿が出る
- 歯がグラグラする
感染症の一種である歯周病は、日本の成人の約80%に何らかの症状が見られるといわれています。歯ぐきの腫れ・出血から始まり、進行すると最終的には歯が抜け落ちます。
初期段階で歯周病を自覚することは大変難しく、多くの方は症状が進んでから受診されます。
「しばらく歯科医院に行っていない」という方は、早めに検査を受けることをおすすめします。
「日本歯周病学会の認定医」が
在籍する歯医者
当院の院長は日本歯周病学会の認定医ですので、「他院では治療が難しい・断られてしまった」患者様や、「歯周病を根本から予防したい」方もご安心ください。
最新の歯周病治療を含む専門性の高い知識と経験を有し、総合的な観点から歯周病の改善と全身の健康へとつなぐ診療を行なっております。
歯周病やお口周りのことで少しでも気になることがございましたら、まずは一度当院へご相談ください。患者様一人ひとりの症状やご要望に合わせて最適な治療法をご提供いたします。
歯周病(歯槽膿漏)とは?
歯周病とは、歯を支える歯茎や骨(歯槽骨)が炎症を起こし、症状が進行すると顎の骨を溶かしてしまう病気です。歯周病菌と呼ばれる細菌による感染症であり、症状の進行段階によって「歯肉炎」や「歯周炎」と呼びます。
歯周病の恐ろしいところは、歯自体には何ら問題がないように見えても、歯周病の症状が進んでしまうと歯が自然に脱落してしまう点です。また、痛みや腫れなどの自覚症状も出にくいことから「Silent Disease(=静かなる病気)」とも呼ばれており、気づかないうちに症状が進んでしまっているケースも少なくありません。
歯を失う主な原因の一つ、歯周病
歯周病という言葉はよく耳にするけれど、具体的にどのような病気かわからない方もいらっしゃることでしょう。
また、若い方の中には「年齢を重ねてからなる病気」と思っている方もいるかもしれません。歯周病は年齢に関係なく発症する可能性があり、実際に30歳以上の多くの日本人に兆候が見られるという報告もあります。

いつのまにか進行する歯周病
歯周病は、むし歯のように歯に穴があいたり、すぐに痛みが出たりするわけではありません。自覚症状がないまま静かに進行するので治療を始めるのが遅くなってしまい、改善が難しくなるケースも多くあります。
大事な歯を失う主な原因でもある病気ですが、定期的な歯科検診で予防することができます。痛みや出血などの自覚症状が出る前からお口の健康状態をチェックして、少しでも症状が見つかったら早めに対応しましょう。
「痛くないから」「見た目はきれいだから」と歯科医院に行かずにいると、トラブルが起こってからでは手遅れになる場合もあります。
歯周病チェック
- 朝、目が覚めたときに口の中がネバつく
- 歯ぐきが赤くなっている、もしくは
赤紫っぽくなっている - 歯ぐきが腫れてブニブニしている
- 前歯が出てきた気がする
- 歯が長く伸びたように見える
- 歯ぐきがムズムズとかゆく感じる
- 食べ物が歯と歯の間によく挟まる
- 歯がグラグラしている
- 口臭が強くなった
- 歯の表面がザラザラしている
- 歯磨きのときに歯ぐきから血が出る
※本臨床歯周病学会HPから引用
当てはまる項目が多いほど、歯周病の可能性が高いです。
早めに歯科医院を受診しましょう。
歯を失うリスクや全身への影響も
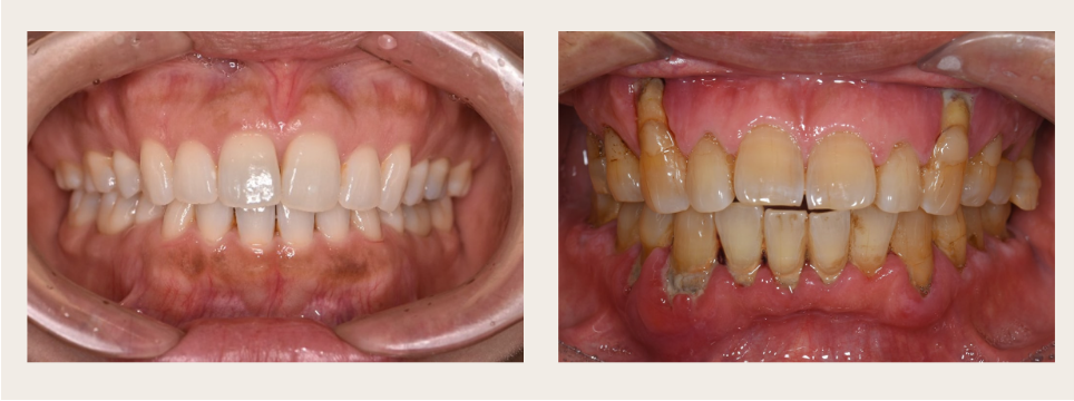
お口の中の細菌が繁殖し、歯を支えている歯ぐきと歯槽骨などの歯周組織に炎症が起こり損なわれる病気が「歯周病」です。歯周病は、歯ぐきだけが炎症を起こす「歯肉炎」と、歯を支える歯槽骨が溶ける「歯周炎」の2段階があります。進行すると歯を支えきれなくなり、最悪の場合、抜け落ちてしまうこともあります。
歯周病は、お口の中の細菌が増殖してしまうこと、さらに食生活の乱れやお口のケアが不十分なことがおもな原因とされています。無自覚のまま家族や友人に感染してしまうので、「人類史上もっとも感染者数の多い感染症」ともいわれています。
さらに、全身の健康にも悪影響を及ぼすのが歯周病の恐ろしいところです。歯周病の原因菌がお口の中の毛細血管から入り込み、体内をめぐると全身疾患を起こすことがあります。
歯周病の進行段階
歯周病は気づきにくく、かなり進行してから自覚症状が出ます。
治療を始めるときにはすでに重度の歯周病だったというケースもめずらしくありません。
健康な状態
歯ぐきはキュッと引きしまり、血色のよい薄いピンク色をしています。

歯肉炎
歯ぐきの部分に炎症が起こります。骨にはまだ影響がありません。
歯ぐきは赤く、ブニブニとふくらんだようになり、全体的に引きしまった感じがなくなります。歯磨きをすると血が出ることもあります。

歯周炎
歯肉炎からさらに進行して、歯を支える骨にも炎症が起こります。
歯ぐきはやや黒っぽく赤紫色に腫れています。歯の根が見えるほど歯ぐきが下がり、歯が長くなったように見えます。歯磨きをすると血や膿が出ることもあります。

歯周病と全身疾患
狭心症・動脈硬化
血管が硬くなり、心臓に血液を送る血管が狭くなる病気です。
歯周病菌によって動脈硬化が誘発され、血管内に沈着物ができて血管の通り道を少しずつふさいでしまいます。
脳梗塞
脳にある血管が詰まってしまう病気です。
歯周病の人はそうでない人の2.8倍も脳梗塞になりやすいといわれ、歯周病菌によって発生する動脈硬化や沈着物が影響していると考えられています。
糖尿病
血糖をコントロールするインスリンが正常に働かず、血液中のブドウ糖が増える 病気です。
さらに悪化すると、さまざまな合併症も引き起こします。歯周病になるとインスリンの作用が阻害され、血糖値の上昇を招くことがわかっています。
早産・低体重児
妊娠中はホルモンバランスが変わるので、歯周病にかかりやすくなります。
妊娠中の女性が歯周病になると、そうでない人の約7倍も早産と低体重児出産のリスクが上がるといわれています。
誤嚥性肺炎
通常、食べ物や飲み物は食道を通りますが、誤って気管に入って肺に流れてしまうことがあります。これが 「誤嚥」です。
食べ物や飲み物とともに飲み込んだ細菌によって 肺炎になってしまうと「誤嚥性肺炎」と呼ばれます。
特にお口の中の歯周病菌が肺に入ってしまい、誤嚥性肺炎を引き起こすケースが多く見られます。
歯周病の
症状段階別の治療方法
(軽度、中等度、重度)
歯肉炎/
歯肉の腫れがある軽度の歯周病
歯ぐきに炎症が起きている状態で、歯磨きや食事などの軽い刺激でも出血しやすくなります。

治療方法
歯科衛生士によるスケーリングやSRP(スケーリング・ルートプレーニング)で丁寧に歯石を除去し、毎日の正しいセルフケアについて指導させていただきます。
定期的に通院し、良好な状態が保てるようにメインテナンスをしていきましょう。
軽度歯周炎/
歯肉の腫れや歯石の沈着がある
軽度の歯周病
歯根の約半分の深さまで炎症が広がり、歯周組織が少しずつ破壊されはじめます。

治療方法
歯科衛生士がプロの技術で歯石や歯の着色汚れを除去し、毎日のセルフケアを正しく行えるように指導させていただきます。
良い状態を維持するためのメインテナンスも定期的に受けましょう。
中度歯周炎/
歯石が歯肉の奥に沈着し、
歯肉が腫れ膿が出たりする歯周病
歯根の約3分の2の深さまで炎症が広がり、歯周組織が深刻なダメージを受けます。
歯周ポケット(歯と歯茎の間の溝)から膿が出ることで、口臭が強くなる場合もあります。

治療方法
ここまで歯周病が進行してしまうと、歯磨きなどのセルフケアだけでは改善が望めません。
歯科衛生士が歯肉の中にたまった歯石を取り除きます。
また状態によっては麻酔が必要になる場合があります。
重度歯周炎/歯が動いたり
浮いてきたりする歯周病
歯周ポケットは6mm以上で10mmに及ぶものもあります。
硬いものなどが噛みにくくなり、歯磨きでは毎回のように出血するようになります。
放置してしまうと歯が自然に抜け落ちることもあります。

治療方法
歯周病が重度にまで進んだ場合は、外科手術が必要になるケースがほとんどです。手術によって、歯の周りのプラークや歯石等の汚れを徹底的に取り除きます。
同時に、歯周病で凸凹になってしまった骨の表面を整える骨整形や骨切除などの『切除療法』や、歯周病に罹った歯の周辺の骨や歯肉を再生させる『歯周組織再生療法』を行うことで、残っている歯をより長く残すことができる可能性があります。
中等度・重度歯周病の場合に行う
「歯周組織再生療法」について
失った歯周組織を再生し、
本来の機能回復を図る治療法
歯周病が進行すると、歯を支えている歯根膜や歯槽骨といった歯周組織が破壊されます。
そうして失われてしまった骨や組織は、基本の歯周病治療では回復させることは出来ません。
そこで、この骨や組織の再生・回復を図るために行う方法が、歯周組織再生療法となります。
歯周組織再生療法について
当院では、歯周組織再生に役立つと考えられているエナメルマトリックスタンパク質を含んだ薬剤を歯根に塗るエムドゲイン、細胞を増やす成長因子を主成分とした歯周組織再生医薬品を用いて歯周組織の再生を図るリグロス、人間の骨の成分構造によく似た骨移植材料(バイオオスなど)を用いて、歯周組織の再生を促します。
いずれの方法にしても、まず歯周病の検査を行い、基本的な治療を行った後で行うことが必要です。患者さまのお口の状態に合わせて、最適な方法をご提案いたします。
歯周組織再生療法のリスク・注意点
患者様によって再生療法を適応できないケースもあります。
また、再生される骨量や組織の回復度合いには個人差があります。
特に、喫煙習慣がある方では治療効果が十分に得られず、手術自体が難しくなる可能性が高いです。
患者様個人での判断は難しいものですので、まずは遠慮なく私たち専門の歯科医師にご相談いただけたらと思います。
歯周病治療の流れ
歯周病検査
レントゲン撮影をして、歯周病の起こっている場所や歯槽骨の状態 などを確認します。
また、歯周ポケット検査を行い、歯と歯ぐきのすき間の深さを測ります。深いほど歯周病が進行していると判断できます。
歯のグラつきなども調べ、全体的な健康状態をチェックします。

治療計画のご提案
検査結果をもとに、現在のお口の状態をご説明します。
適した治療方法をご提案し、内容について詳しくお伝えします。
治療計画にご納得いただいてから、治療を始めます。

初期の歯周病治療
ブラッシング指導
歯周病治療で大切なことは、お口に合った歯磨きを行うことです。
ご自宅でもきちんと歯磨きができるように、症状や歯並びに合わせた磨き方をお伝えします。
また、デンタルフロスや歯間ブラシなど、効率的にお口をきれいにできるデンタルグッズもご紹介します。

スケーリング
お口の汚れが硬くなった歯石は、歯の表面にこびりついて歯磨きでは落とせません。
毎日きちんと歯磨きをしていても、歯石はついてしまいます。
「スケーラー」という専用の器具を使い、歯科衛生士がしっかりと歯石を取り除きます。

歯周ポケット内の歯石除去
歯と歯ぐきのすき間の歯周ポケットの中にある歯石を取り除きます。

進行した歯周病の治療
歯周病が進行すると、外科的な治療が必要になることがあります。
フラップ手術(歯周外科治療)
歯周病が進行してしまい、スケーリングなどの処置では改善されない場合に行います。
歯ぐきを切開して、歯の根に付着している歯石や汚れを除去します。
目で確認しながら処置ができるので、取り残しを防ぎます。
また、歯周ポケットの深さの改善が見込めるので、歯垢や歯石が再付着することも予防できます。

メインテナンス・定期管理
お口の中に汚れや歯垢・歯石をためないことが、歯周病の再発防止に不可欠です。
ご自分のお口に合った歯磨きを行いながら、歯科医院で定期的に検診・クリーニングを受けて、健康な状態を維持しましょう。

歯周病の予防と治療には、お口の中を清潔に保つことが重要です!
インプラント周囲炎とは
(歯周病との違い)

インプラント周囲炎(しゅういえん)とは、「インプラントの歯周病」とも呼ばれる感染症のことです。
インプラント周囲炎は、通常の歯周病と同様に、お口の中の細菌が原因となります。
インプラント周囲炎と
歯周病の違い
通常の歯周病は、歯と歯ぐきの境目に溜まった細菌によって歯肉が炎症を起こし、やがて歯槽骨(歯を支える骨)まで溶かしてしまう病気ですが、インプラントにおいても治療後の適切なケアを怠ってしまうと、これに似た細菌感染が起こる可能性があります。
インプラントの治療後においても口の中を清潔に保つ必要がありますが、ご自身の歯磨きが不十分であったり、定期的に歯科医による専門のメインテナンスを受けなかった場合、インプラントと歯肉の境目から細菌が侵入してインプラント周囲からの出血や炎症が起こるリスクが高まります。
放置してしまうと、やがてインプラントが脱落してしまう結果となるのです。
また、インプラント周囲炎は、天然歯の歯周病と比べて自覚症状が現れにくいだけでなく、症状の進行速度も非常に早い傾向にあるため注意が必要です。
インプラント周囲炎を予防し、
インプラントの寿命を保つには?
適切な予防管理と
定期的なメンテナンスが不可欠
「一生モノ」とも言われるインプラントですが、長期間にわたり安定して快適に長持ちするには、ご自身で行う「毎日のセルフケア」とあわせて、「定期的に歯科医院で検診やメンテナンスを受ける」ことが最も基本的かつ有効な方法となります。
治療後の適切な予防管理を行えば、インプラントの10年後の残存率は90%以上とされており、生涯にわたり使い続けることが期待できます。
