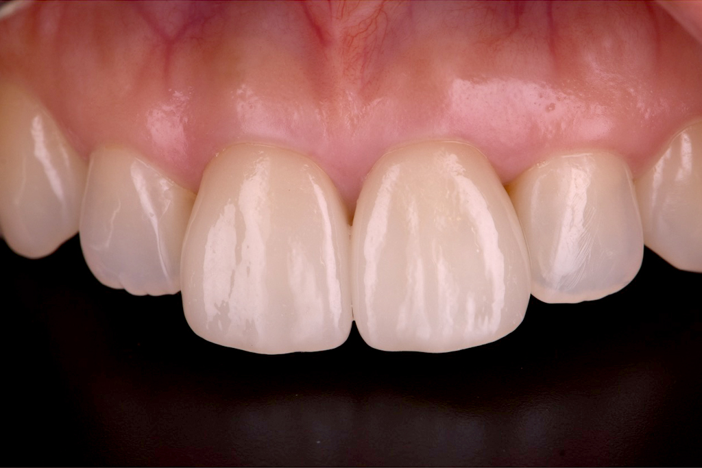
輝く笑顔は
“美しい口元”から。
A bright smile starts
with a beautiful mouth
-
45分
無料相談
実施中! -
院内ラボ
オーダーメイド
治療を提供 -
セラミック
保証制度5年保証
Contact
まずはお気軽に「個別相談」にお越しください
お電話・WEBにてご相談のご予約を受け付けています。
お気軽にお問い合わせください。
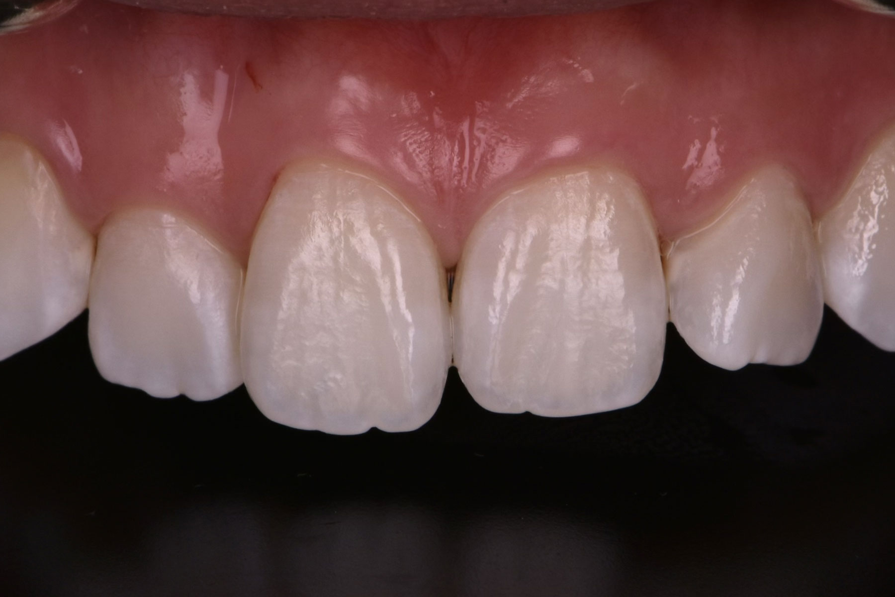
こんな歯のお悩み
ありませんか?
-
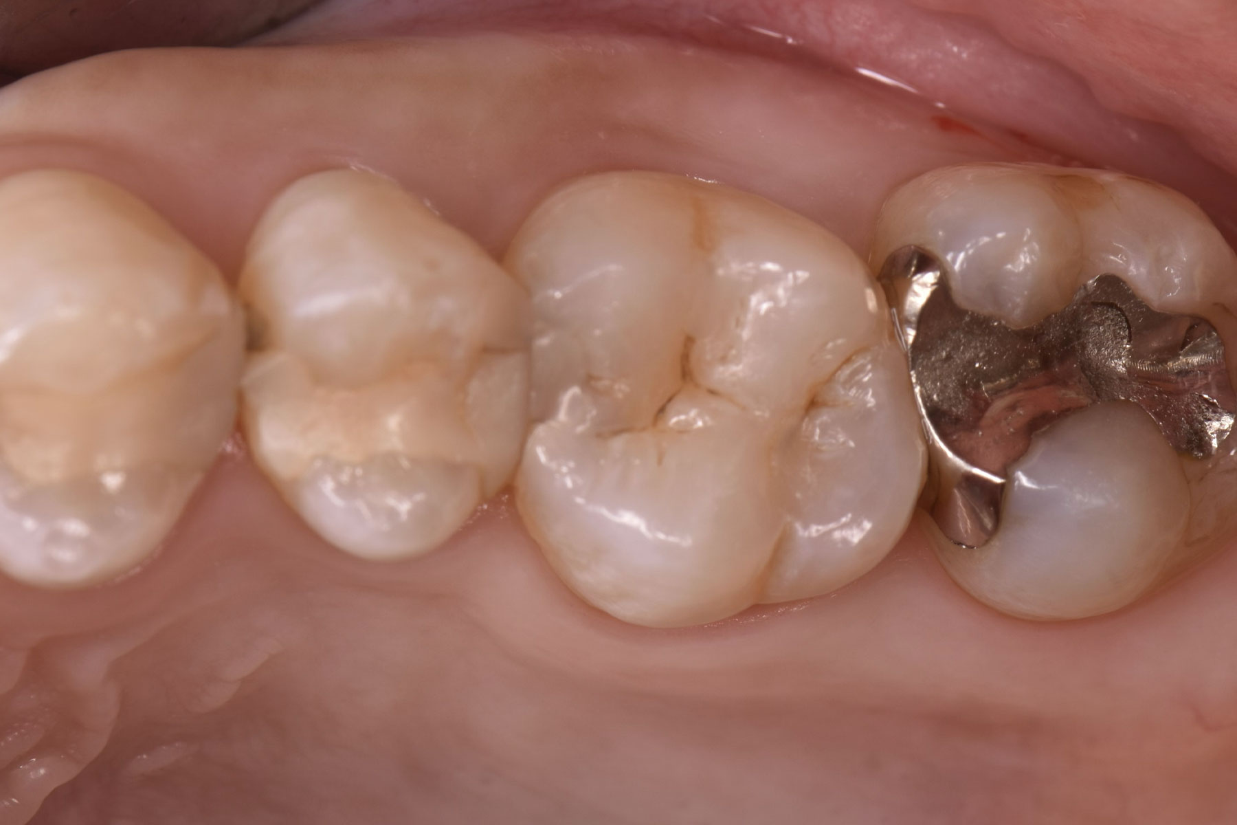
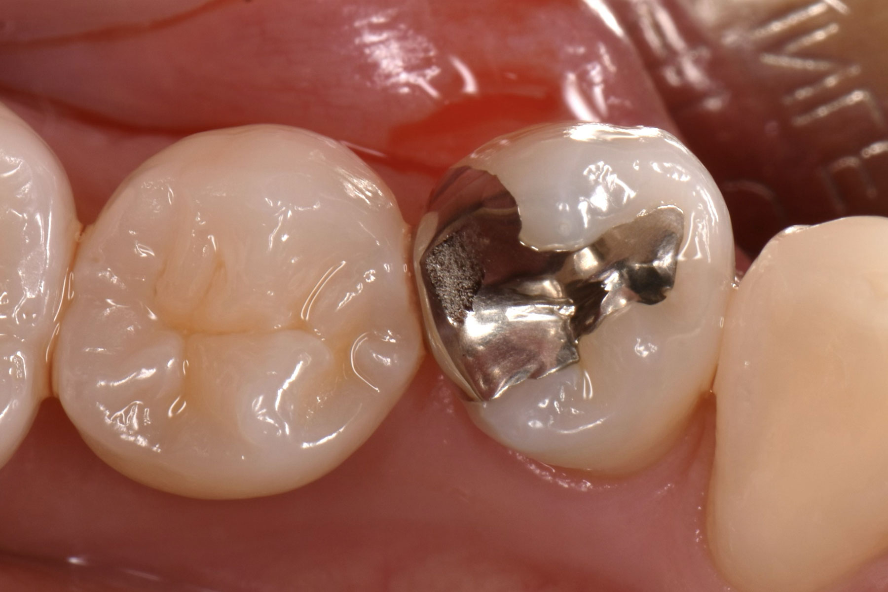
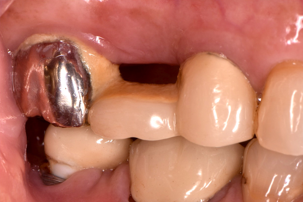
目立つ銀歯を
白い歯にしたい -
歯の治療痕が
気になる -
セカンド
オピニオンを
お願いしたい -
歯ぐきが
黒ずんでいる -
治療のときの
金属素材で
アレルギーが心配 -
歯がボロボロすぎて
歯医者さんに
行きづらい -
笑ったときの
口元に
自信を持ちたい
こんなお悩みをお持ちの方も
お気軽にご相談ください!
- 歯の色や形が気になる
- 銀歯を白い歯に変えたい
- 歯の色を理想の白さにしたい
- 美しい仕上がりにこだわりたい
ご安心ください
当院は、歯に関する
様々なお悩みに
対応できます
痛み・治療期間を最小限に
「自由診療」とは?
実は、自由診療が一番
患者さんの
負担が少ないです!
FEATURES
当院の審美歯科の特徴
患者さまに安心して来院、治療を受診いただけるよう、限りなく痛みのない歯科治療を目指しています。
宮城野原駅から近く、土曜日も18時まで診療しており、幅広い年齢層の方にご来院いただいています。
お口周りでのお困りごとお悩みがございましたら、お気軽にご相談くださいませ。
01.
各分野の専門医師に
よる総合的な歯科診療
私たち医療法人社団伸生会は、開設から39年を迎えました。日々進歩し続ける歯科医療に対応するため、診療設備と診療チームを整え、総合的な歯科診療を行う【仙台イーストデンタル】を開院いたしました。
歯科医師、歯科衛生士、歯科技工士、歯科アシスタント、保育士、滅菌技士など、あらゆるスペシャリストが一つのチームとなり、より専門性の高い環境を整えています。
各分野の専門医師に
よる総合的な歯科診療
私たち医療法人社団伸生会は、開設から39年を迎えました。日々進歩し続ける歯科医療に対応するため、診療設備と診療チームを整え、総合的な歯科診療を行う【仙台イーストデンタル】を開院いたしました。
歯科医師、歯科衛生士、歯科技工士、歯科アシスタント、保育士、滅菌技士など、あらゆるスペシャリストが一つのチームとなり、より専門性の高い環境を整えています。
- 歯科医師
- 歯科
衛生士 - 歯科
技工士 - 歯科
アシスタント - 保育士
- 滅菌技師
02.
丁寧なカウンセリングと
細かな検査を実施
真摯にお悩み事をカウンセリングし、
必要な検査をおこないます。
なぜ治療が必要なのか、解決するためのお手伝いには時間を惜しみません。
丁寧なカウンセリングと
細かな検査を実施
真摯にお悩み事をカウンセリングし、必要な検査をおこないます。
なぜ治療が必要なのか、解決するためのお手伝いには時間を惜しみません。
「その場しのぎ」ではなく、
「長持ちする治療」へ
原因を追求し、
長持ちする歯科治療へ
痛くなったからと「その場しのぎ」の治療を繰り返すと、
ゆくゆくは「歯を失う」結果につながる場合があります。
当院では、「なぜ歯が悪くなってしまったのか?」と、
根本原因を追求するため、精密な検査をもとに、
自由診療も含め、必要な最良の治療をご提案いたします。
また、良いお口の状態が長持ちするためにお手伝いいたします。
03.
幅広い歯科診療に対応できる
先進の医療機器が充実
3Dの立体映像でお口の中を撮影することができる「歯科用CT」や、歯や顎に加えて頭部も含めて撮影できる矯正治療専用の「セファロ」などを使い、最初に検査をしっかりと行います。そして、患者様お一人お一人のお口の状態に合わせて治療を行います。
理事長、院長、副院長それぞれが専門的に学んできた診療科目を担当し、適切な治療を進めてまいります。
幅広い歯科診療に対応できる
先進の医療機器が充実
3Dの立体映像でお口の中を撮影することができる「歯科用CT」や、歯や顎に加えて頭部も含めて撮影できる矯正治療専用の「セファロ」などを使い、最初に検査をしっかりと行います。そして、患者様お一人お一人のお口の状態に合わせて治療を行います。
理事長、院長、副院長それぞれが専門的に学んできた診療科目を担当し、適切な治療を進めてまいります。
-
歯科用CT・セファロ
歯科用CTは3Dの立体映像でお口の中を撮影することができます。歯、神経、血管の位置、顎の骨の厚みなどを鮮明に映し出します。
-
クラスB滅菌器
器具に付着したウイルス・細菌を死滅できる滅菌器の中でも、「クラスB」と呼ばれる世界的に高水準のものを導入しています。
-
口腔内スキャナー
口腔内スキャナーとは、小型カメラをお口の中に数分向けるだけで、お口の中を細部まで精密に読み取れる次世代型の「光学印象」です。
04.
他にはないオーダーメイド
治療のご提案
当院では希望される患者様に精密なお口の検査をおこなっております。お悩みの解決や健康の維持に必要なオーダーメイドの治療プランをご提案いたします。
インプラントなどの歯を失った場合の治療だけでなく、
ダイレクトボンディングや歯周組織再生療法など、
1本の歯をしっかり治療する術も備えておりますので、ご安心ください。
他にはないオーダーメイド
治療のご提案
当院では希望される患者様に精密なお口の検査をおこなっております。お悩みの解決や健康の維持に必要なオーダーメイドの治療プランをご提案いたします。
インプラントなどの歯を失った場合の治療だけでなく、
ダイレクトボンディングや歯周組織再生療法など、
1本の歯をしっかり治療する術も備えておりますので、ご安心ください。
院内ラボ(歯科技工室)
と連携し、
「最高品質の素材」を提供。
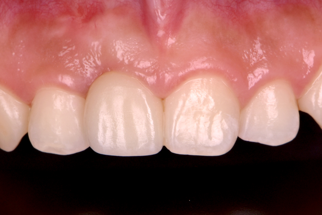
美しく治す。
それも、とびっきり美しく。
最終的に患者さんのお口に入るセラミック歯をデザインするのは歯科技工士の仕事です。
私たちは、ただ治すのではなく、美しく治す。それも、とびっきり美しく治すことにこだわっています。
そのため、高度な技術を持つ歯科技工士の存在は決して欠かせません。
歯科技工士
喜多 文子
歯科技工士として、特にセラミックの補綴物製作を得意としています。自然な質感と色調の再現にこだわり、患者様一人ひとりに合った繊細な仕上がりを追求しています。
また、女性ならではの色味の識別力と細やかな感性を活かし、天然歯に限りなく近い審美性を実現することができます。当院にいらして頂いた全ての患者様により良い補綴物をご提供いたします。
歯科技工士として、特にセラミックの補綴物製作を得意としています。自然な質感と色調の再現にこだわり、患者様一人ひとりに合った繊細な仕上がりを追求しています。
また、女性ならではの色味の識別力と細やかな感性を活かし、天然歯に限りなく近い審美性を実現することができます。当院にいらして頂いた全ての患者様により良い補綴物をご提供いたします。
認定証・サティフィケート
Contact
まずはお気軽に「個別相談」にお越しください
お電話・WEBにてご相談のご予約を受け付けています。
お気軽にお問い合わせください。
Greeting
ドクター紹介
仙台イーストデンタル院長
沼田 洋孝
審美歯科治療は
私たちにおまかせください!
こんにちは。
【医療法人社団伸生会 仙台イーストデンタル】
院長の沼田 洋孝です。
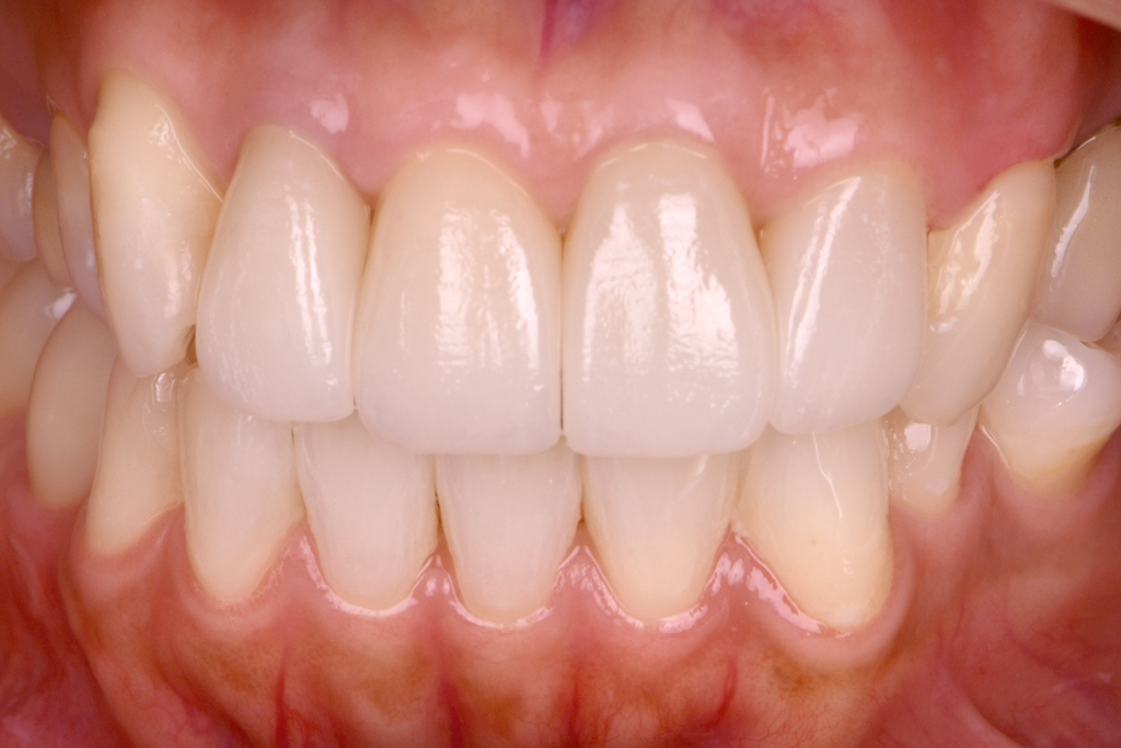
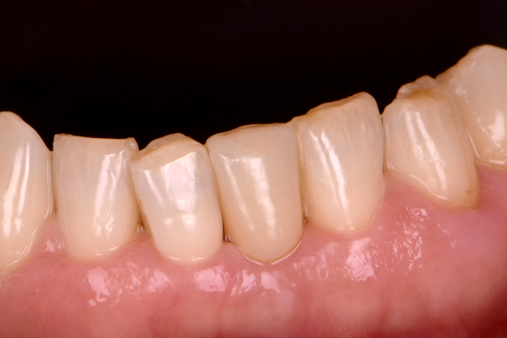
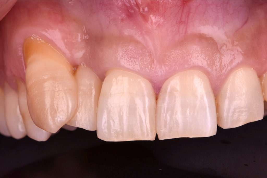
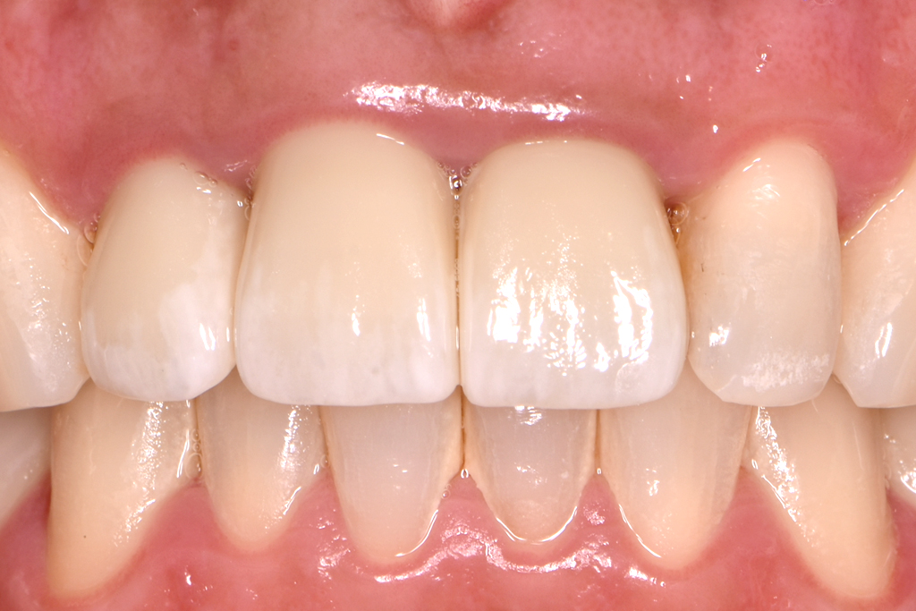
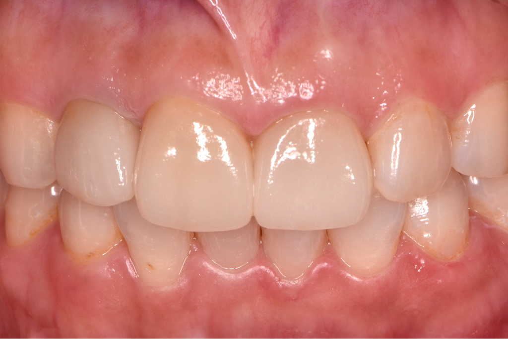
セラミック治療は、まるで“歯のアート”。
私は一本一本の歯を「作品」として捉え、色・形・質感にとことんこだわります。
自然で美しく、機能的にも優れた仕上がりを追求する職人のような姿勢で、患者さま一人ひとりに最適なセラミック治療を提供しています。
仙台イーストデンタル副院長
沼田 祐輔
患者様との対話を
大切に診療しております。
こんにちは。
【医療法人社団伸生会 仙台イーストデンタル】
副院長の沼田 祐輔です。
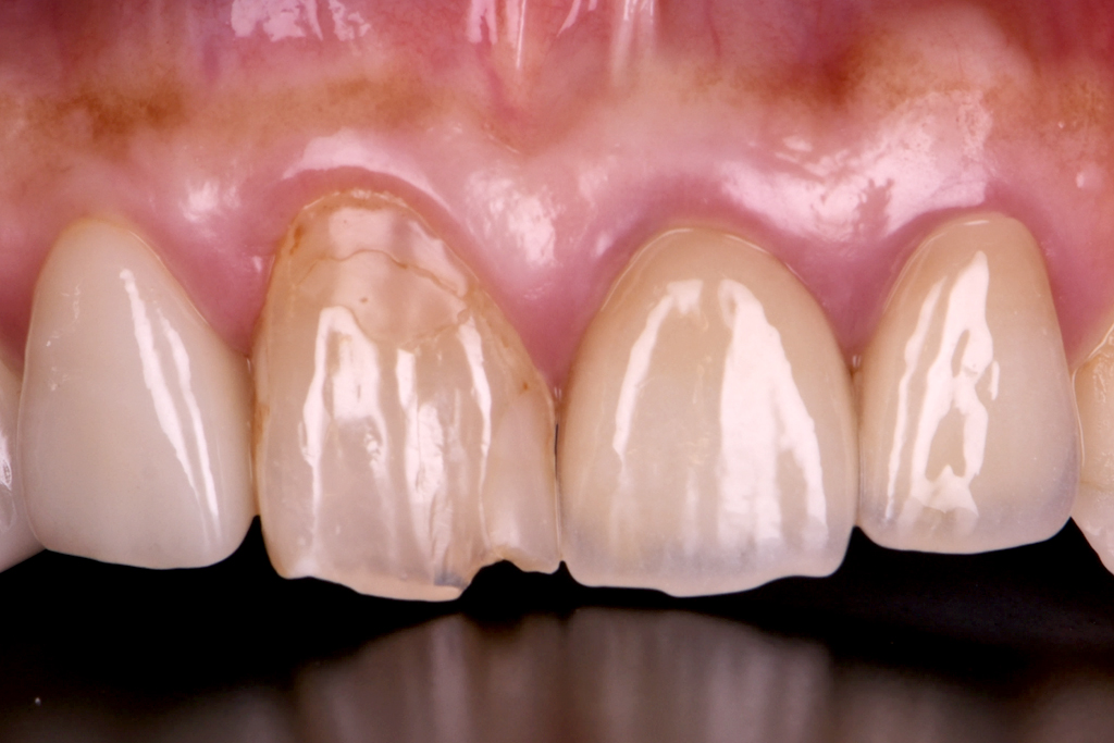
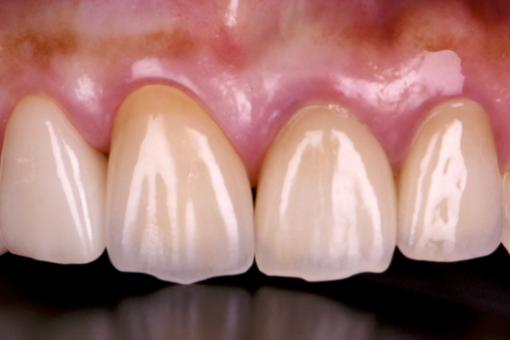
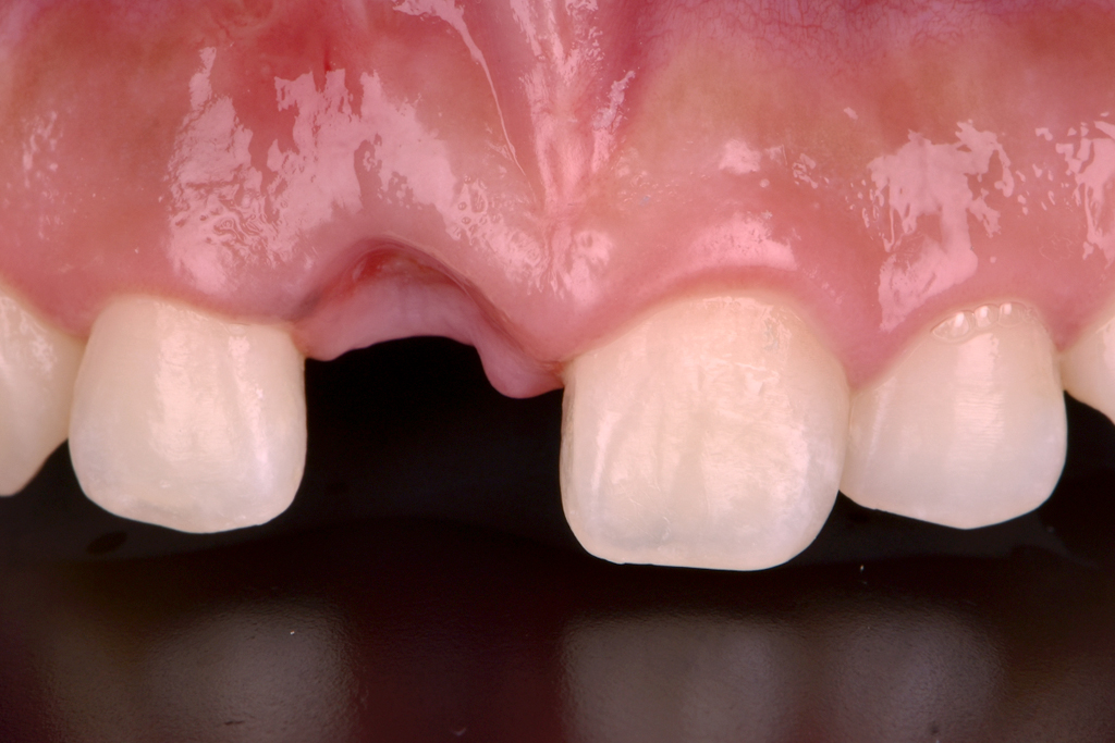
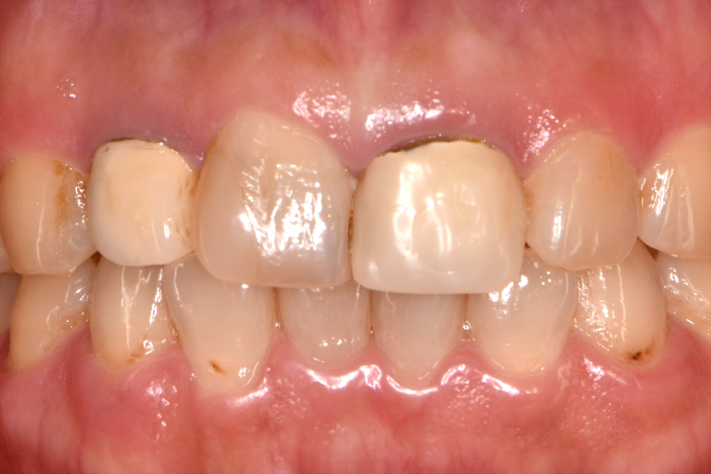
私はセラミック治療は、科学と芸術の融合だと考えています。歯科医師としての理工学的な精密さと、職人としての美的センス。
その両方にこだわり、色・形・質感まで一切妥協せず仕上げます。「美しさ」と「機能美」を兼ね備えた、あなたらしい笑顔をデザインします。
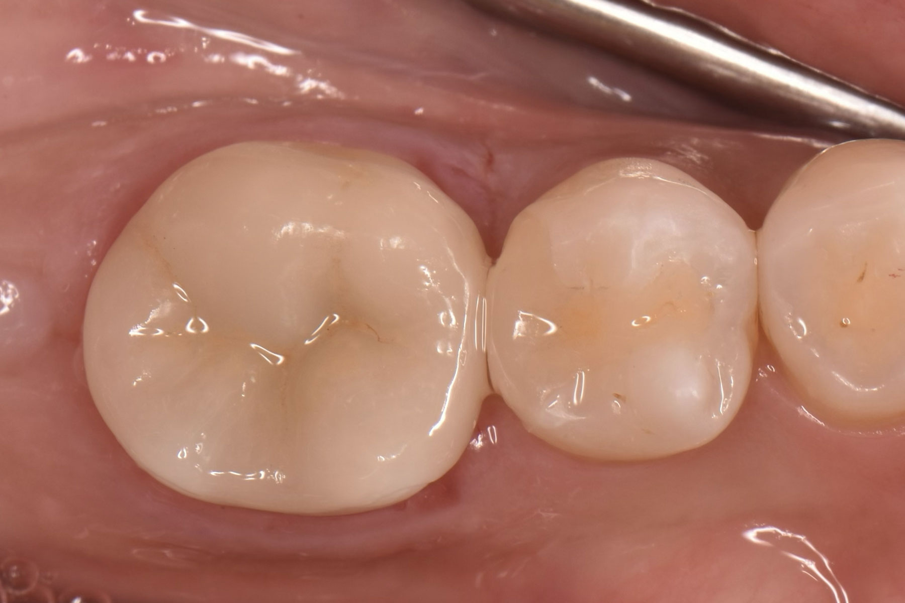
様々なお悩みに対応できる!
当院の
審美歯科治療方法
ダイレクトボンディング
direct bonding
「ダイレクトボンディング」は
こんな方にオススメ!
-
削らずに
虫歯を治したい -
すきっ歯を
治したい -
治療時間も
短くしたい
ダイレクトボンディングとは?
白いペースト状のプラスチック素材を
歯に直接盛りつけ、治療などで削った部分を
補う治療法です。通常の詰め物や被せ物と比べると、
型取りや製作の時間がないので治療時間の短縮にも
つながります。
気になる歯のすき間や欠け、変色にも対応できます。
メリット
通常の詰め物・被せ物と比べて歯を削る量が少なく、治療時間も短いので歯のダメージや身体的な負担を抑えられます。
デメリット
削った部分が大きい場合や、噛み合わせの問題である場合など、ダイレクトボンディングが適応できないケースもあります。
当院なら自然で美しい
仕上がりにできます
自由診療は、さまざまな歯科素材から希望するものを選べて、通院回数もコントロールが可能です。自由診療を無理におすすめすることはありませんが、ご満足いただける治療をめざして、選択肢の一つとしてご提案する場合があります。
治療費の目安について
- ダイレクトボンディング(1歯あたり)
- 前歯:55,000円、臼歯:33,000円
※自費診療となります。
全て税別価格となります。
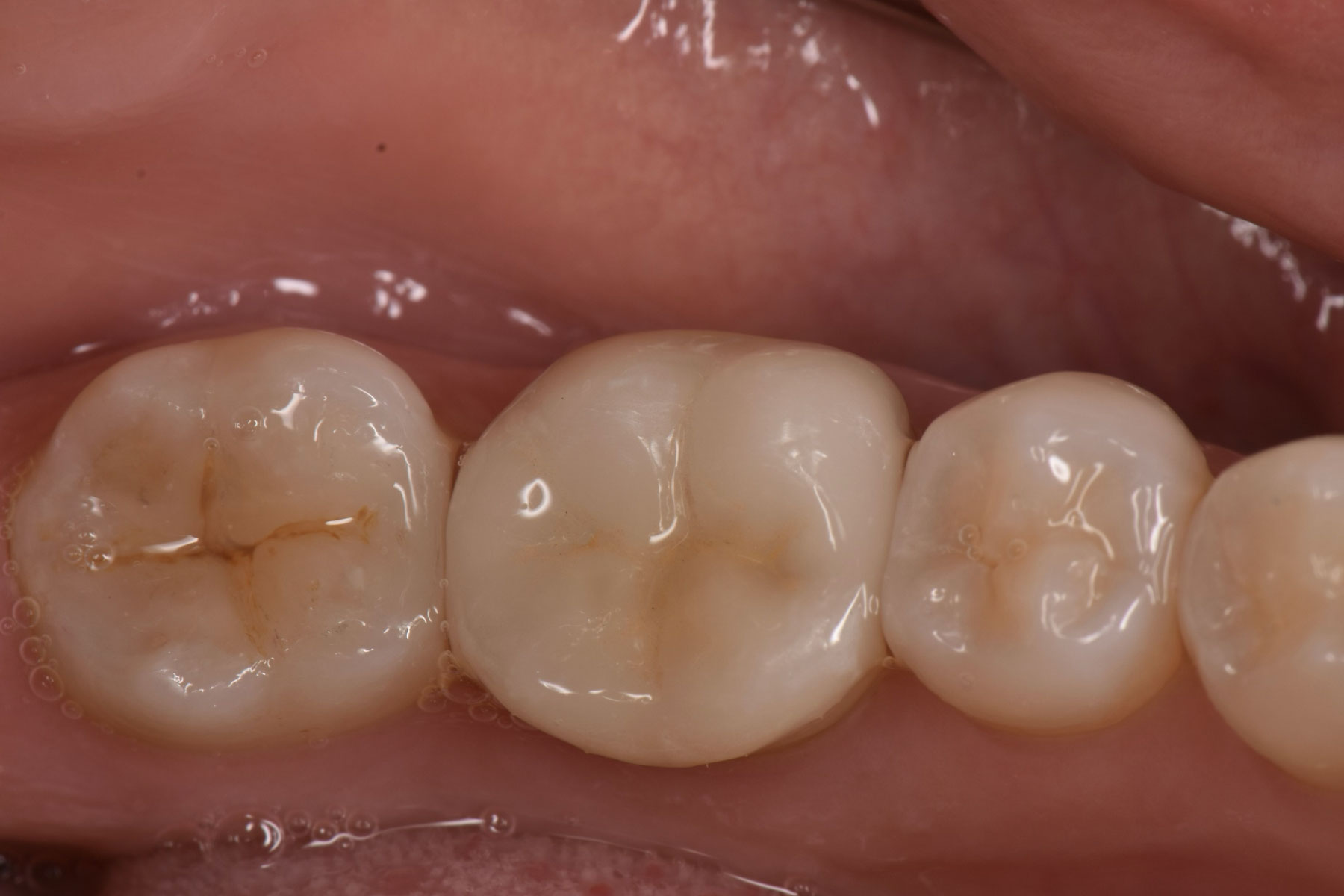
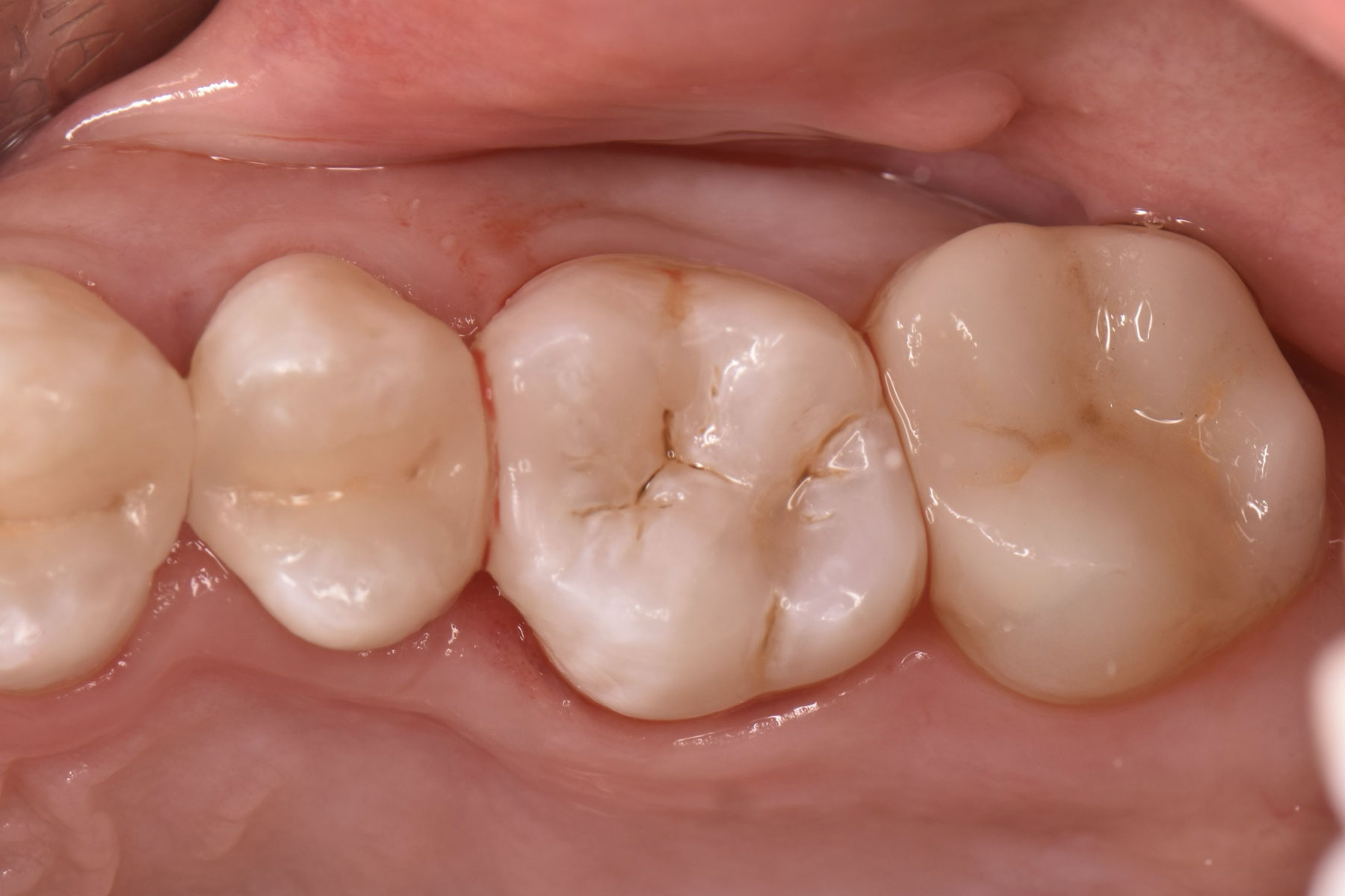
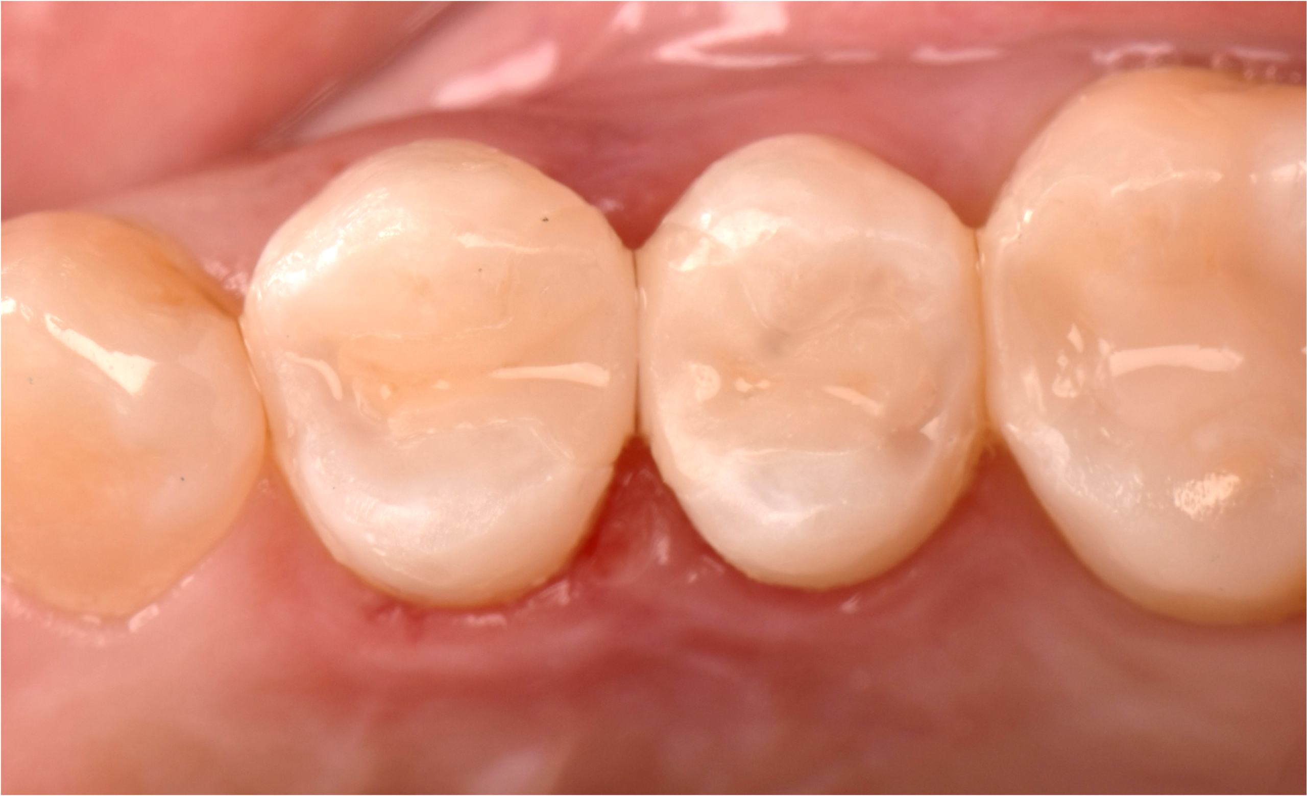
セラミックインレー
Ceramic Inlay
「セラミックインレー」は
こんな方にオススメ!
-
長持ちする
素材で治したい -
前歯を
キレイにしたい -
自然な
見た目にしたい
セラミックインレーとは?
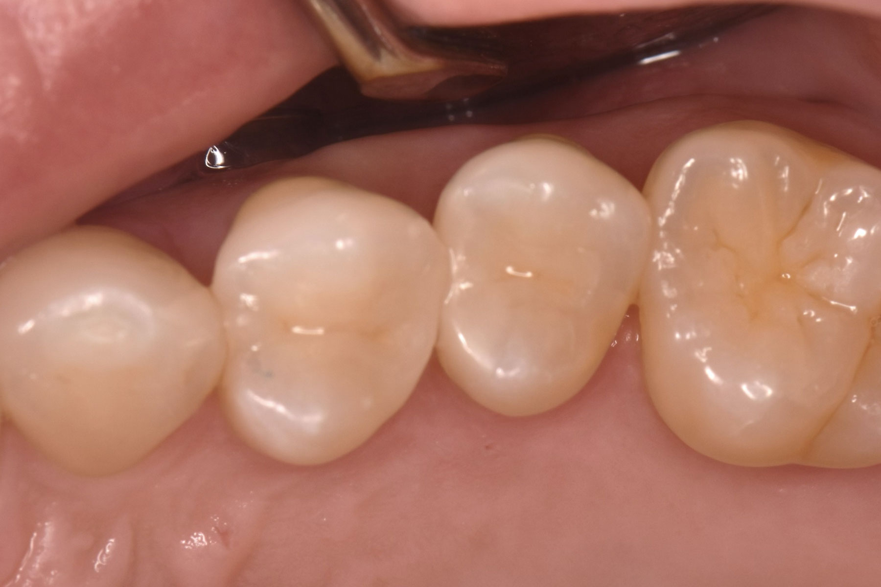
セラミック素材のみで作られた詰め物(インレー)です。もともとの歯の色に合わせて調整ができ、自然な見た目をかなえられる審美性の高さがメリットです。
金属アレルギーの心配もなく、精密に作ることができるので、治療痕からむし歯が再発するリスクを抑えられます。
メリット
天然の歯のようにツヤと透明感があります。審美性に優れ、長期間使用しても劣化や変色が起こりにくく、きれいな状態を維持できます。
デメリット
強い力がかかると欠けることがあります。
そのため、奥歯などかみ合わせの力がかかる歯には不向きです。
当院なら自然で美しい仕上がりにできます
自由診療は、さまざまな歯科素材から希望するものを選べて、通院回数もコントロールが可能です。自由診療を無理におすすめすることはありませんが、ご満足いただける治療をめざして、選択肢の一つとしてご提案する場合があります。
治療費の目安について
- セラミックインレー(1歯あたり)
- 66,000円
※自費診療となります。
全て税別価格となります。
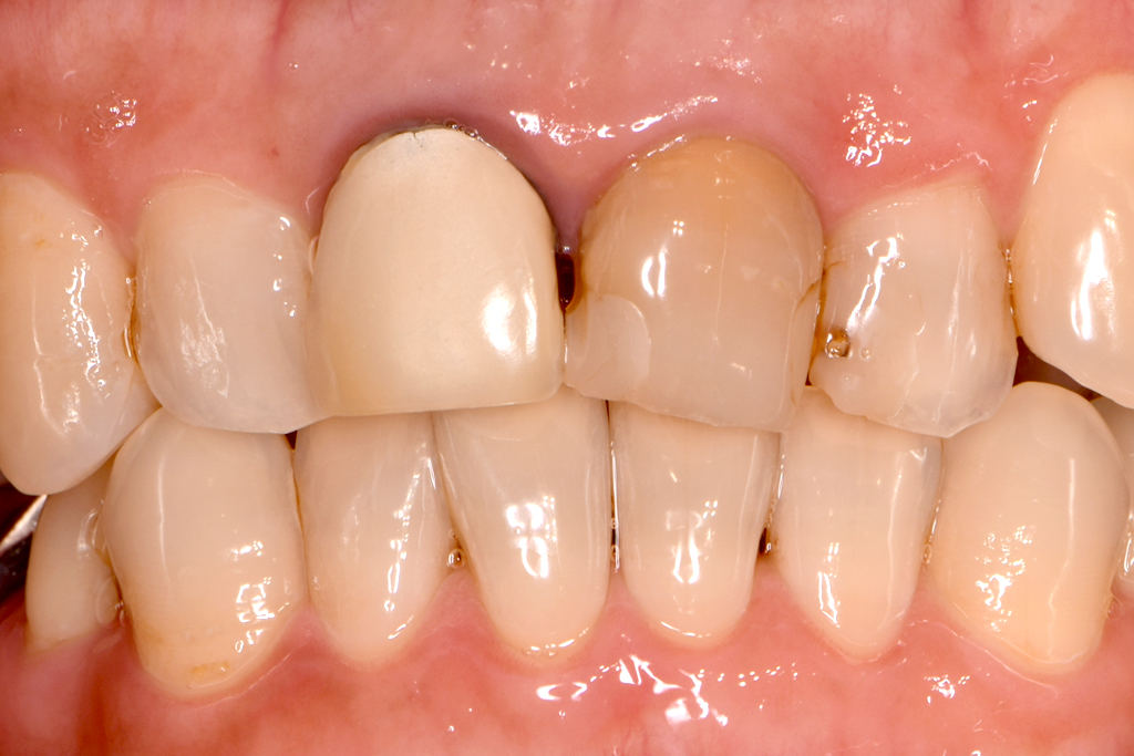
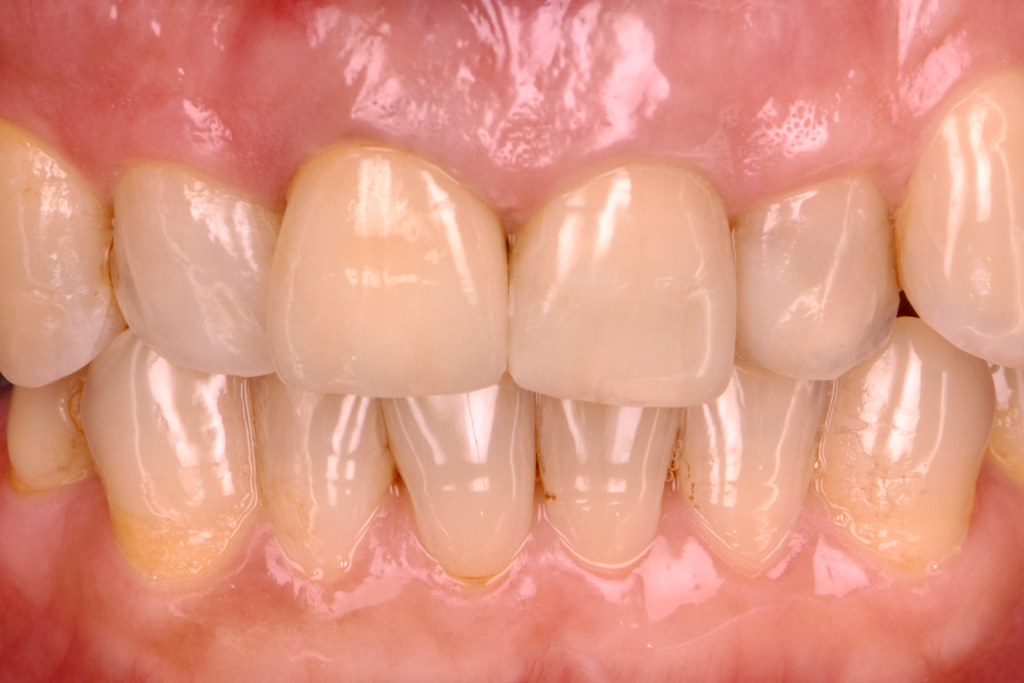
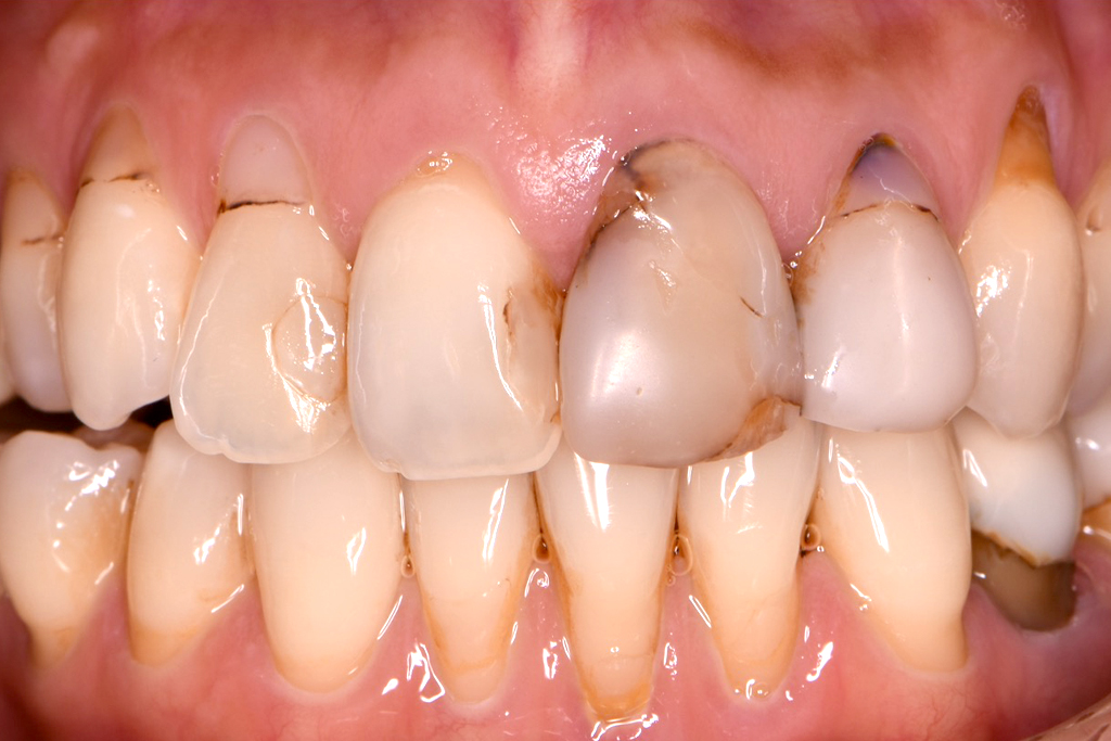
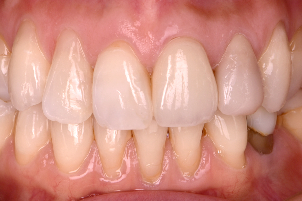
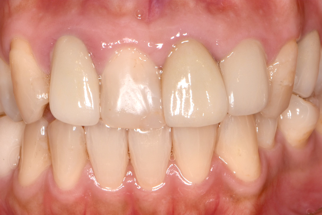
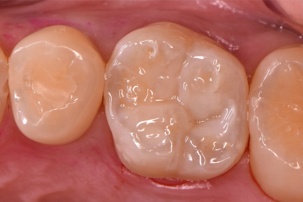
セラミッククラウン
Ceramic Crown
「セラミッククラウン」は
こんな方にオススメ!
-
丈夫で長持ちする
素材で治したい -
前歯を
キレイにしたい -
自然な
見た目にしたい
セラミッククラウンとは?
セラミック素材のみで作られた被せ物(クラウン)です。詰め物よりも削った部分が大きい場合に、被せるように装着します。審美性が高く、金属アレルギーの心配もありません。
治療した歯に合わせて精密に作って接着することができるので、むし歯の再発リスクを抑えられます。
メリット
周囲の歯の色調に合わせて調整ができます。
ツヤと透明感があり、長時間使用しても劣化や変色が起こりにくい素材です。
デメリット
強い力がかかると欠けることがあります。
当院なら自然で美しい仕上がりにできます
自由診療は、さまざまな歯科素材から希望するものを選べて、通院回数もコントロールが可能です。自由診療を無理におすすめすることはありませんが、ご満足いただける治療をめざして、選択肢の一つとしてご提案する場合があります。
治療費の目安について
- セラミッククラウン(1歯あたり)
- 110,000円
※自費診療となります。
全て税別価格となります。
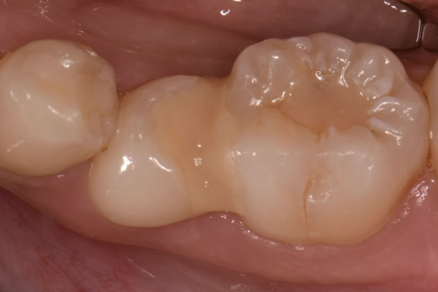
フルジルコニアクラウン
Full Zirconia
Crown
「フルジルコニアクラウン」は
こんな方にオススメ!
-
丈夫で長持ちする
素材で治したい -
前歯を
キレイにしたい -
自然な
見た目にしたい
フルジルコニアクラウンとは?
「人工ダイヤモンド」と呼ばれるほど強度のあるジルコニアのみを使用した被せ物(クラウン)です。輝くような白さから、周囲の歯になじむ白さまで調整ができます。噛んだときに強く力がかかる歯にも使用できます。
メリット
強度と耐久性の高い素材です。奥歯など噛んだときに強い力がかかっても欠けたり割れたりする可能性が低いです。
デメリット
かみ合わせる歯の負担が大きく、強く噛むと欠けることがあります。
当院なら自然で美しい仕上がりにできます
自由診療は、さまざまな歯科素材から希望するものを選べて、通院回数もコントロールが可能です。自由診療を無理におすすめすることはありませんが、ご満足いただける治療をめざして、選択肢の一つとしてご提案する場合があります。
治療費の目安について
- フルジルコニアクラウン(1歯あたり)
- 88,000円
※自費診療となります。
全て税別価格となります。
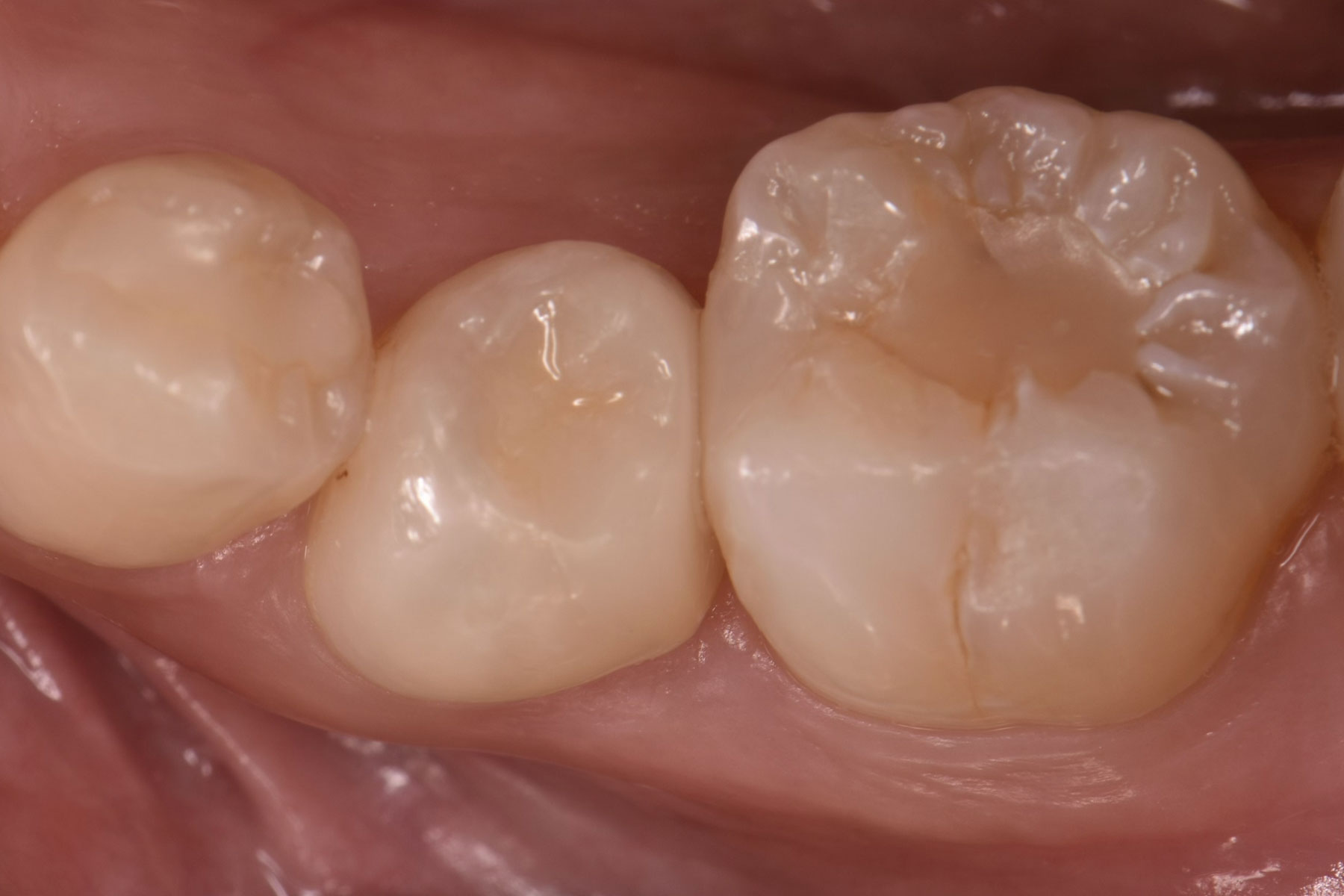
ジルコニアセラミッククラウン
Zirconia-
Ceramic Crown
「ジルコニアセラミック
クラウン」は
こんな方にオススメ!
-
丈夫で長持ちする
素材で治したい -
前歯を
キレイにしたい -
自然な
見た目にしたい
ジルコニア
セラミッククラウンとは?
自然な見た目のセラミックの内側に、ジルコニアを貼りつけた被せ物(クラウン)です。2つの素材を合わせるので、自然な見た目を保ちつつ、強度と耐久性がアップして硬いものもしっかりと噛めます。
メリット
天然の歯のようにツヤと透明感があります。審美性に優れ、長期間使用しても劣化や変色が起こりにくく、きれいな状態を維持できます。
デメリット
強い力がかかると欠けることがあります。
そのため、奥歯などかみ合わせの力がかかる歯には不向きです。
当院なら自然で美しい仕上がりにできます
自由診療は、さまざまな歯科素材から希望するものを選べて、通院回数もコントロールが可能です。自由診療を無理におすすめすることはありませんが、ご満足いただける治療をめざして、選択肢の一つとしてご提案する場合があります。
治療費の目安について
- ジルコニアセラミッククラウン(1歯あたり)
- 121,000円
※自費診療となります。
全て税別価格となります。
ラミネートベニア
Laminate Veneer
「ラミネートベニア」は
こんな方にオススメ!
-
丈夫で長持ちする
素材で治したい -
前歯を
キレイにしたい -
自然な
見た目にしたい
ラミネートベニアとは?
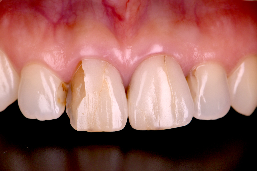
セラミックを薄い板状にして、歯の表面に接着剤で貼り付けます。ホワイトニングをしても白くならない歯や、神経を抜いて黒ずんでしまった歯でも、白い自然な見た目を取り戻せます。歯の一部が欠けてしまった際の修復も可能です。
メリット
大きく歯を削ることがないので、歯へのダメージを減らせます。また、歯の色や形をきれいに整えられます。
デメリット
セラミックを薄くするので、強度が低くなります。
当院なら自然で美しい仕上がりにできます
自由診療は、さまざまな歯科素材から希望するものを選べて、通院回数もコントロールが可能です。自由診療を無理におすすめすることはありませんが、ご満足いただける治療をめざして、選択肢の一つとしてご提案する場合があります。
治療費の目安について
- ラミネートベニア(1歯あたり)
- 110,000円
※自費診療となります。
全て税別価格となります。
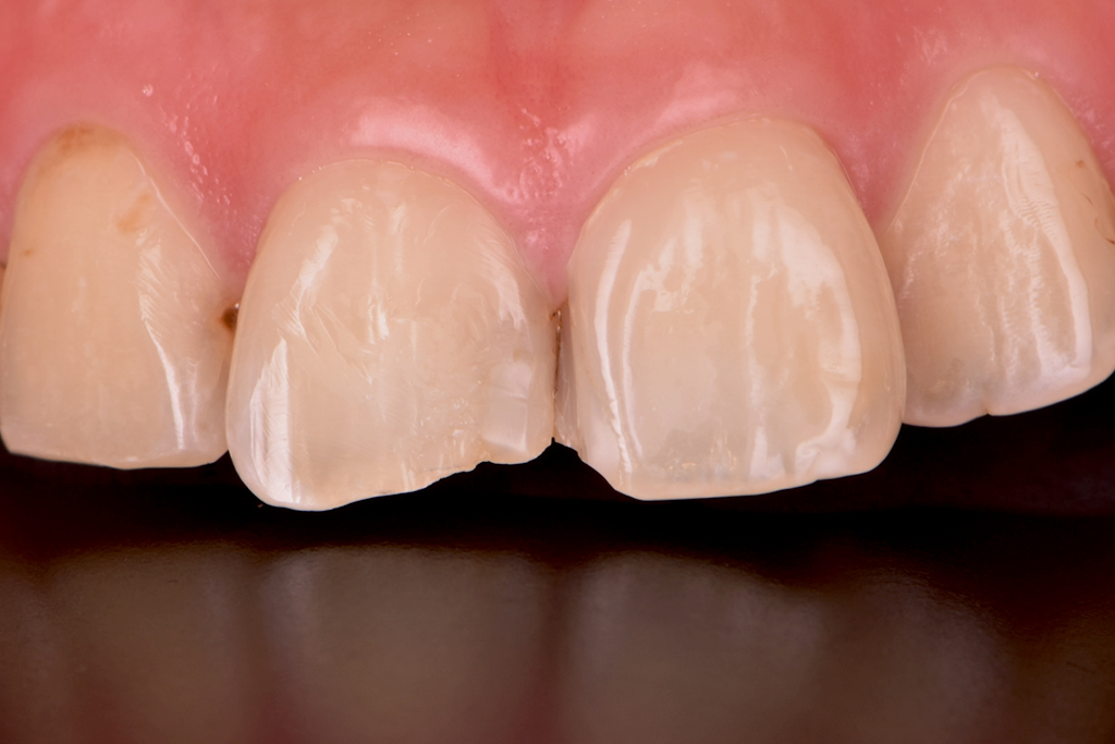
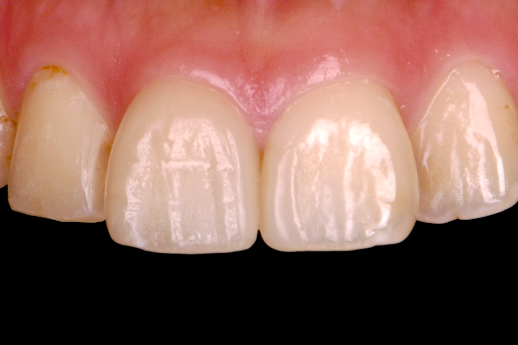
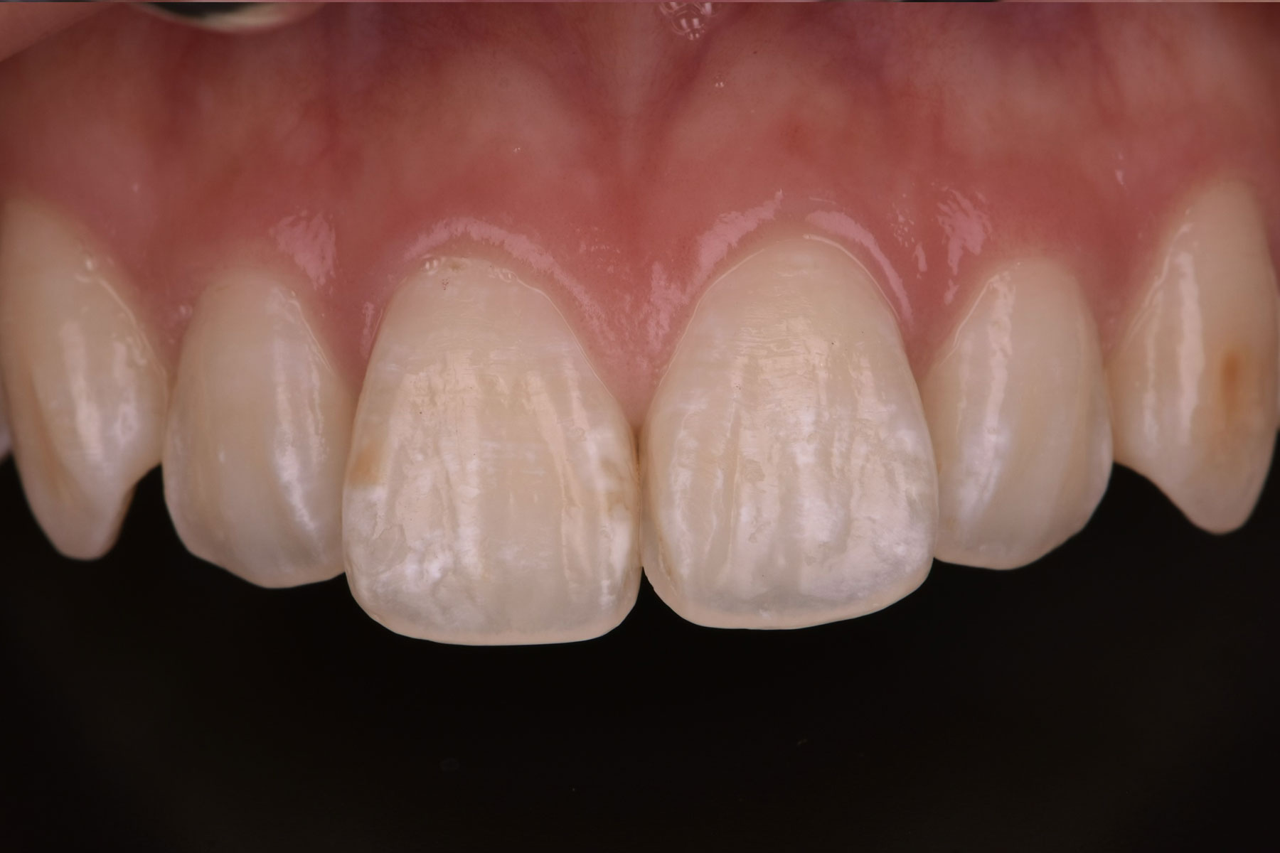
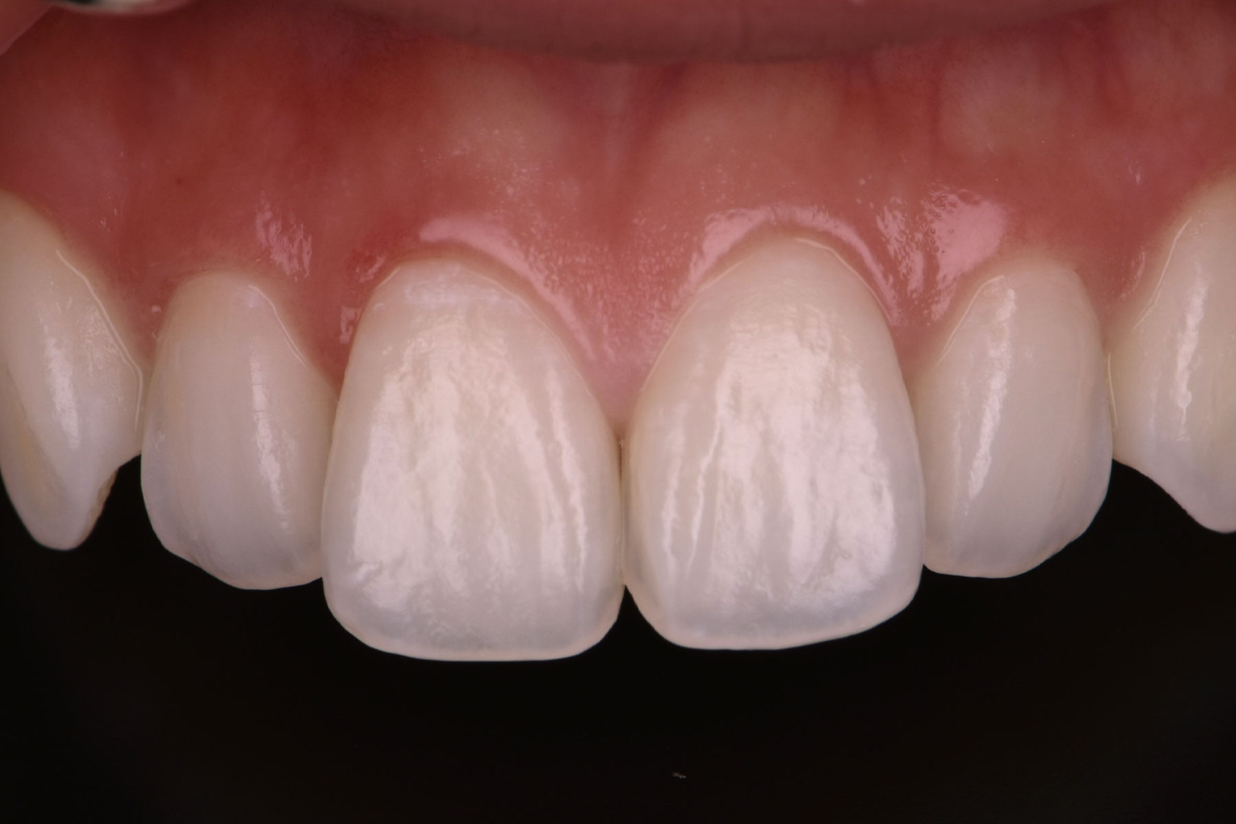
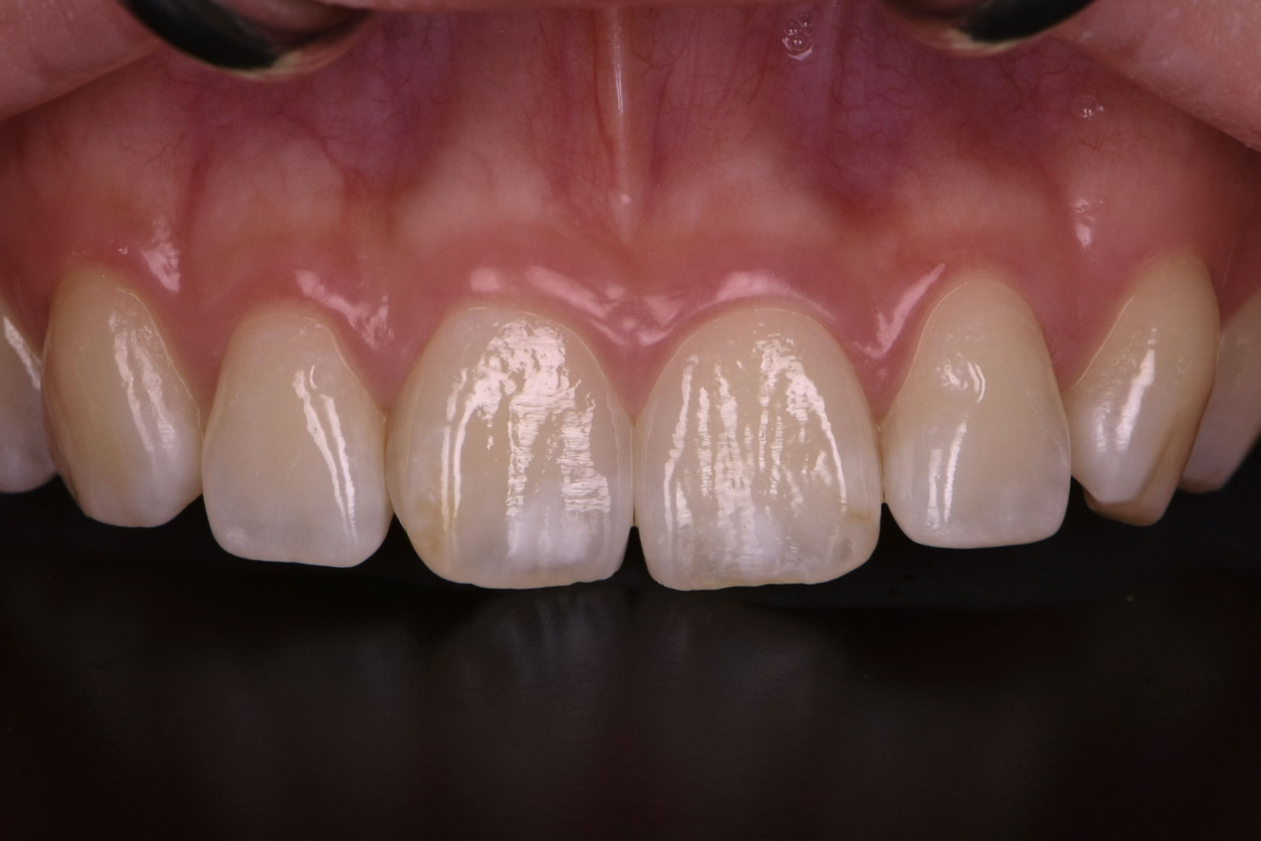
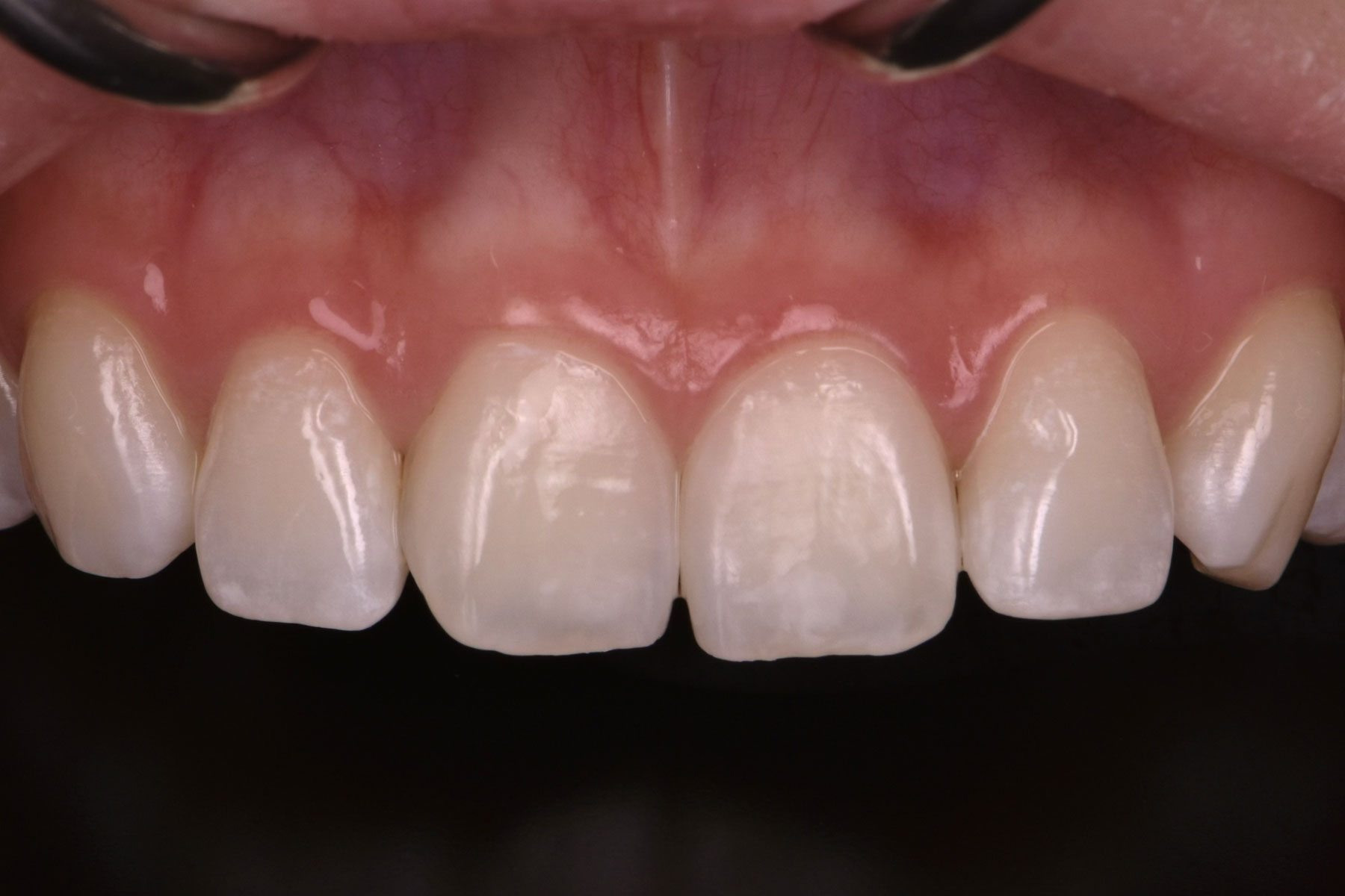
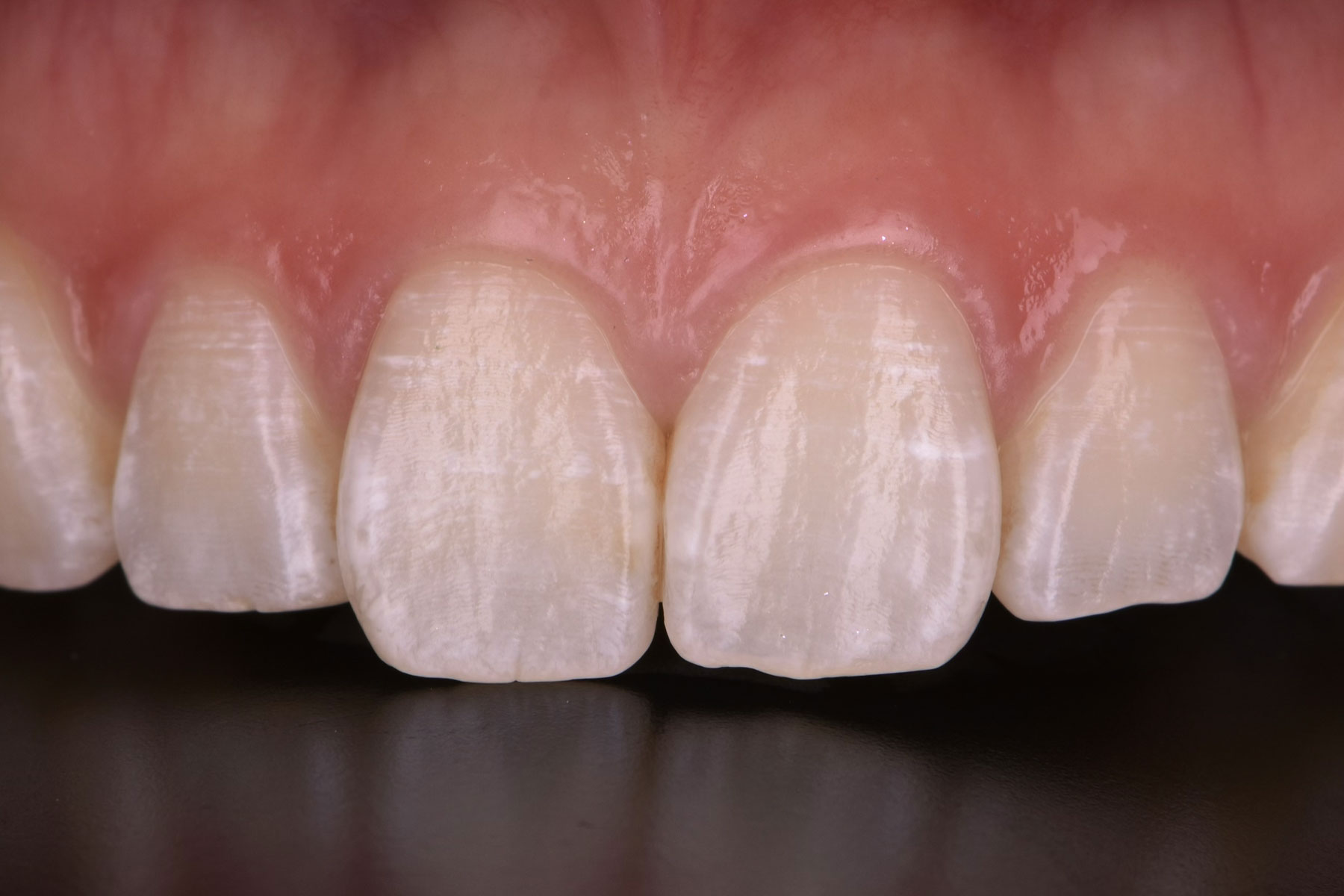
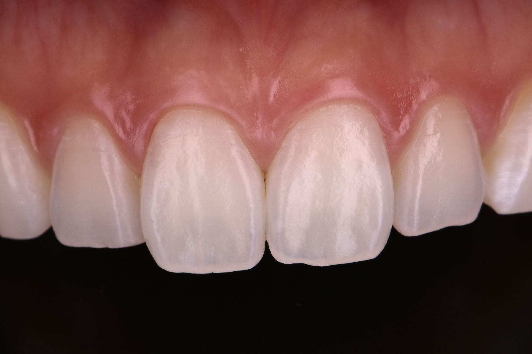
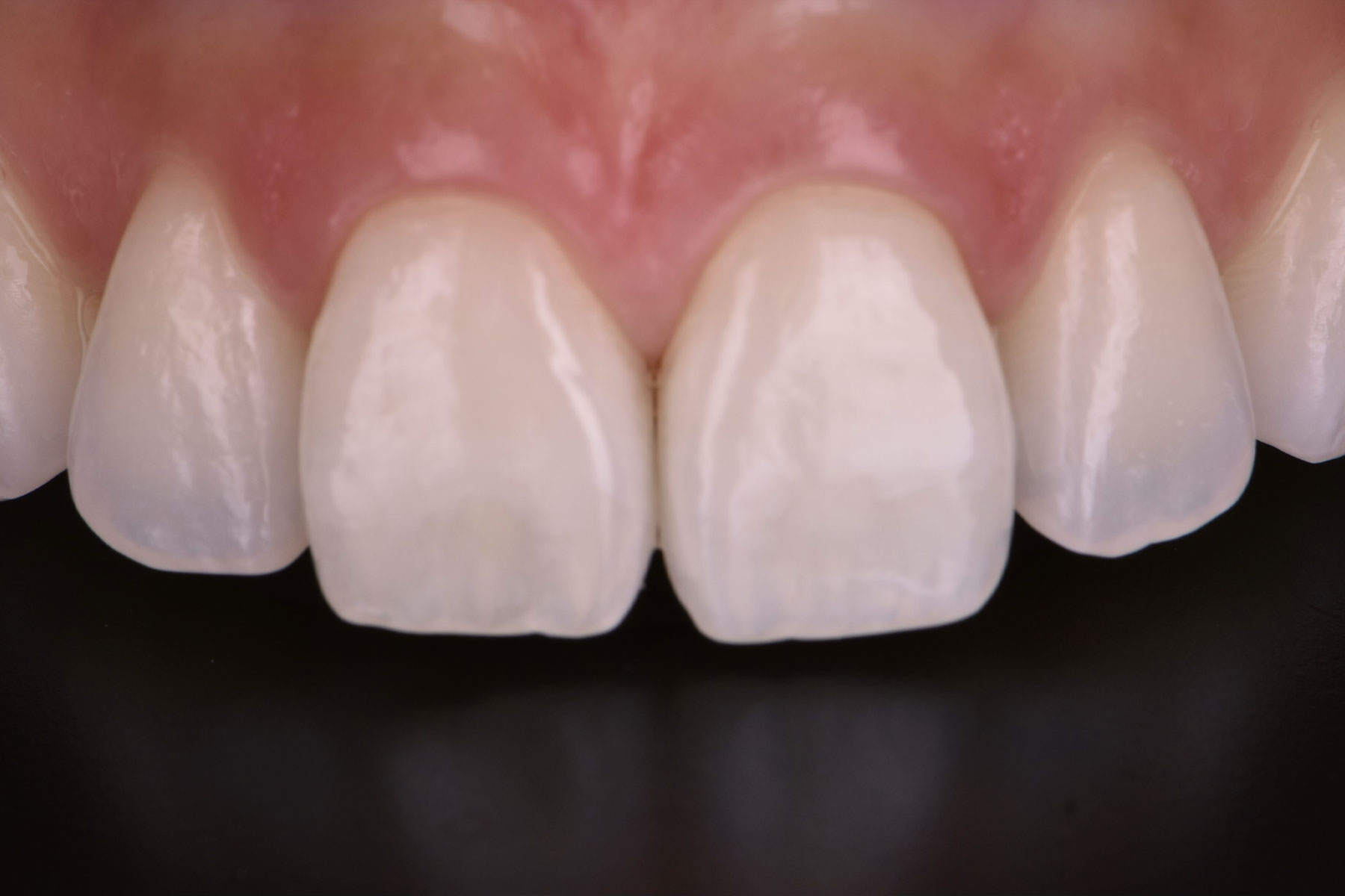
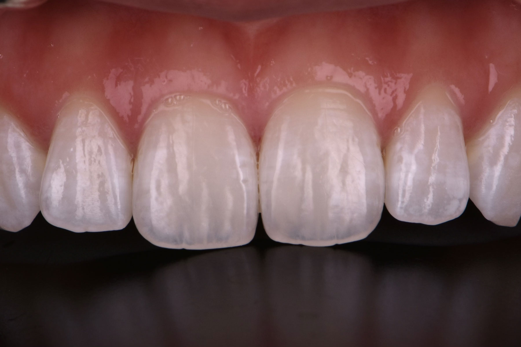
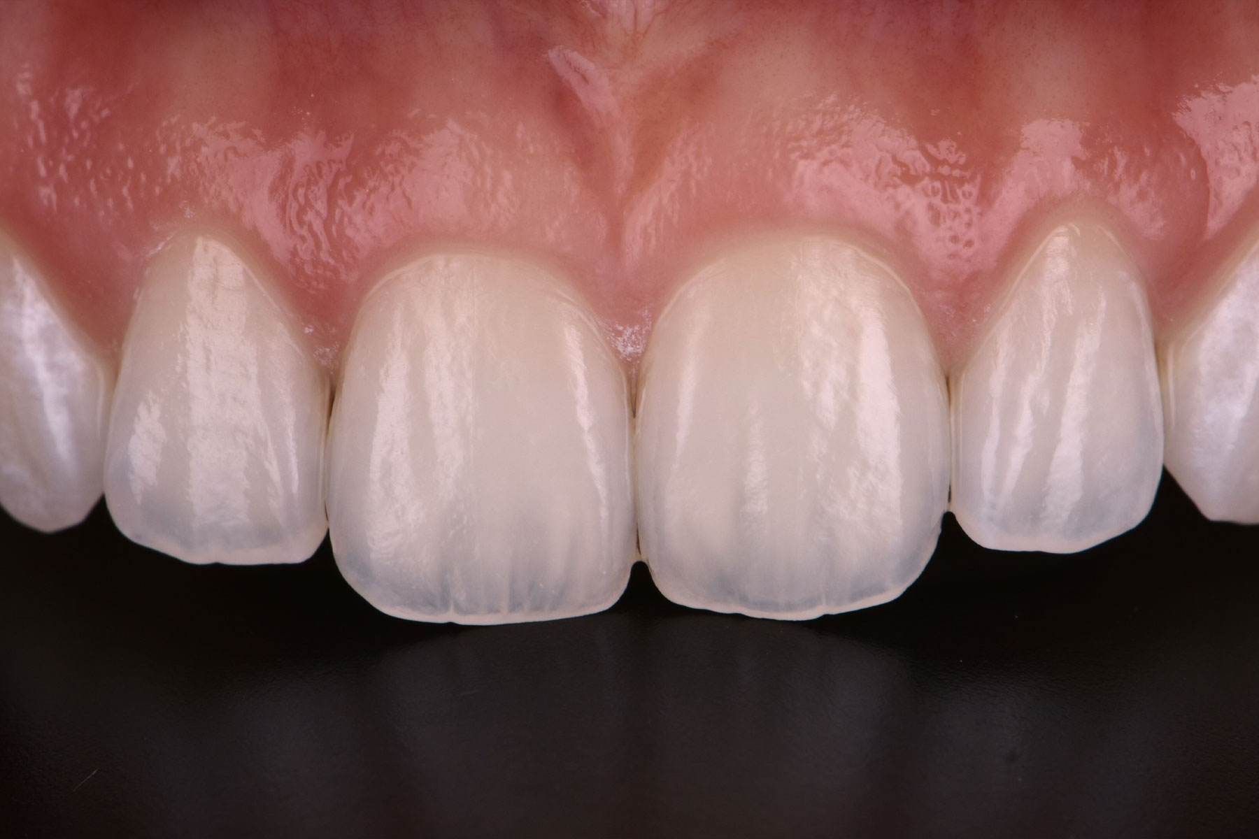
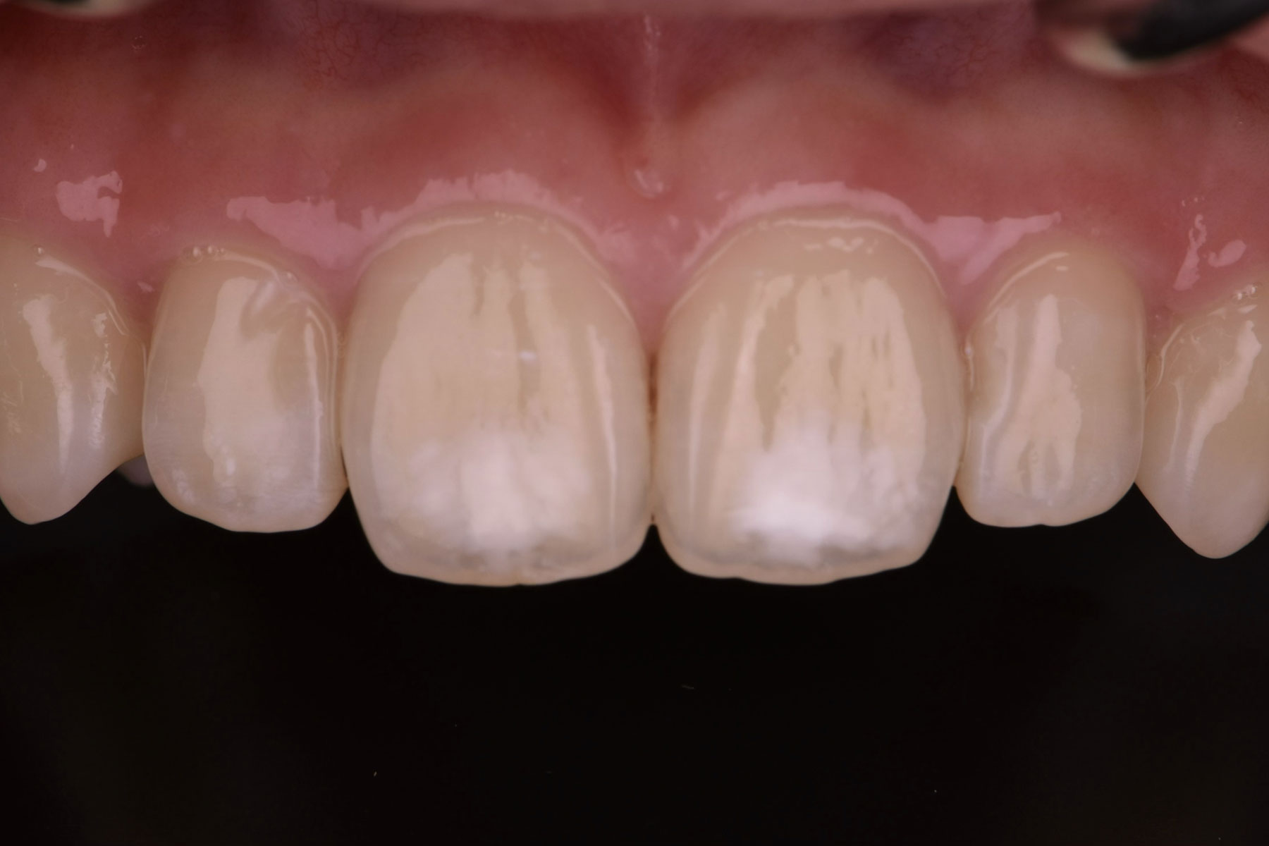
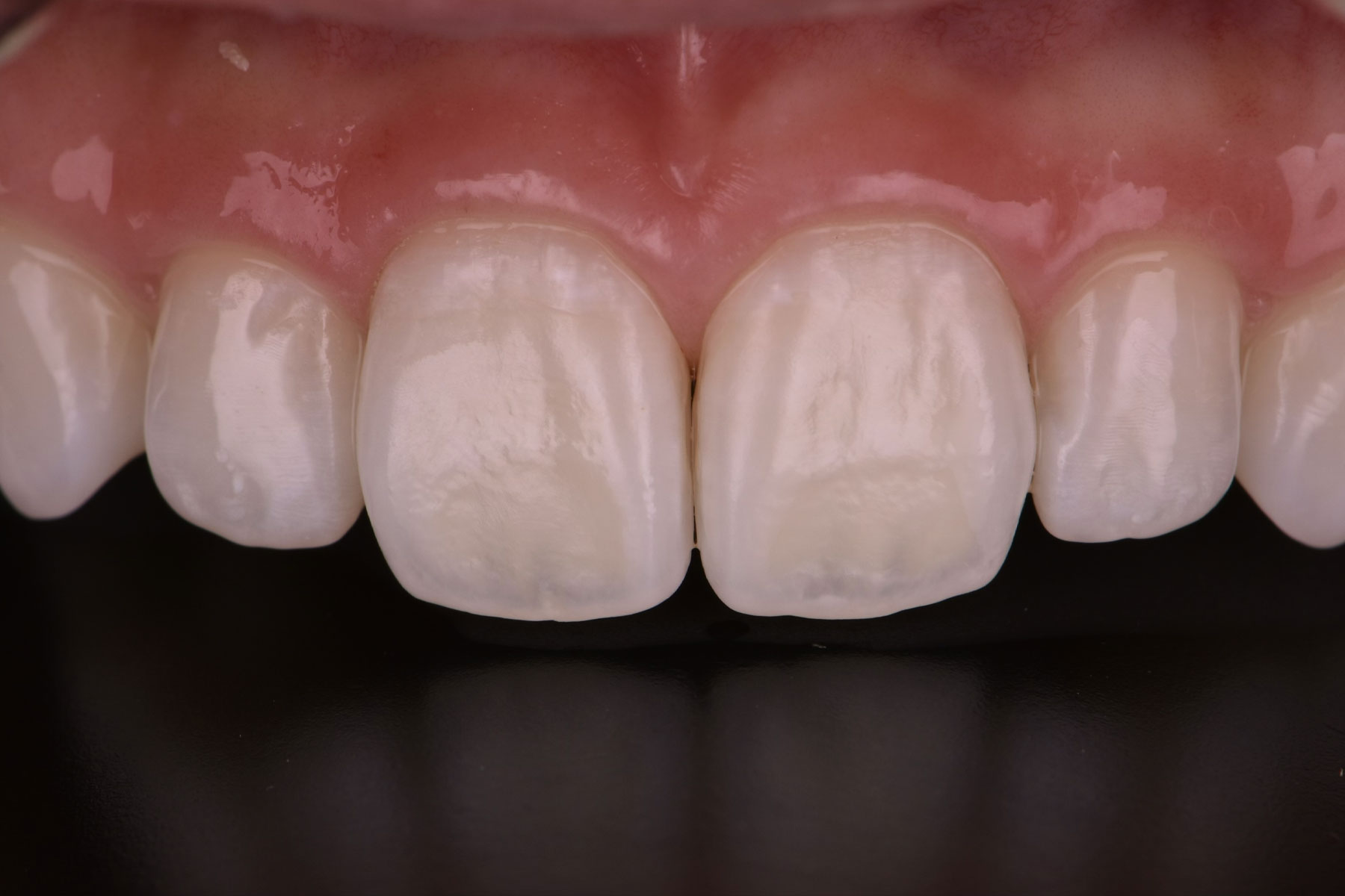
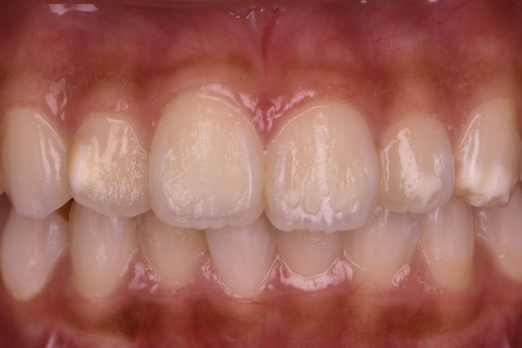
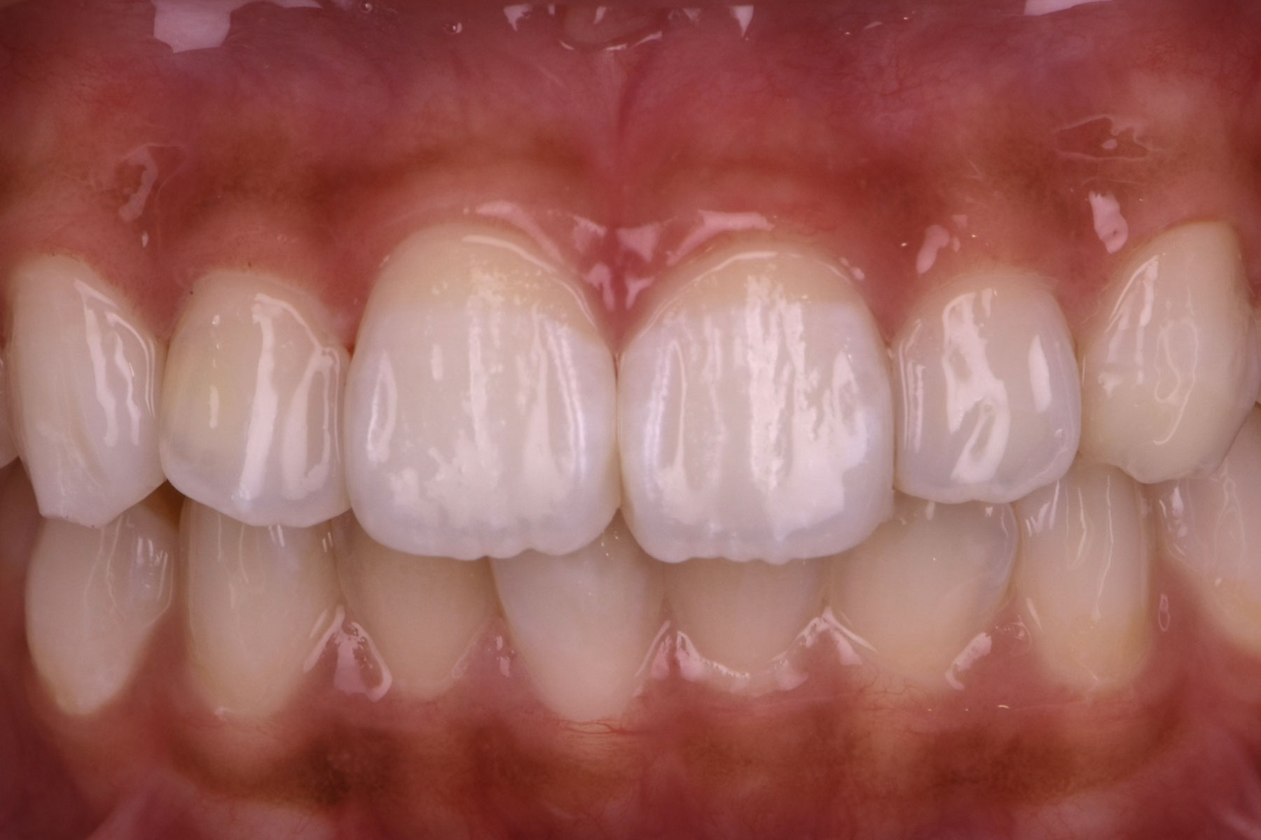
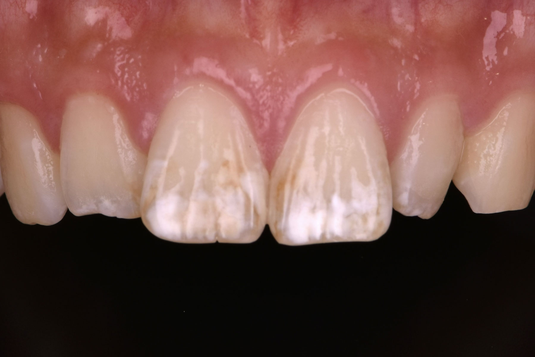
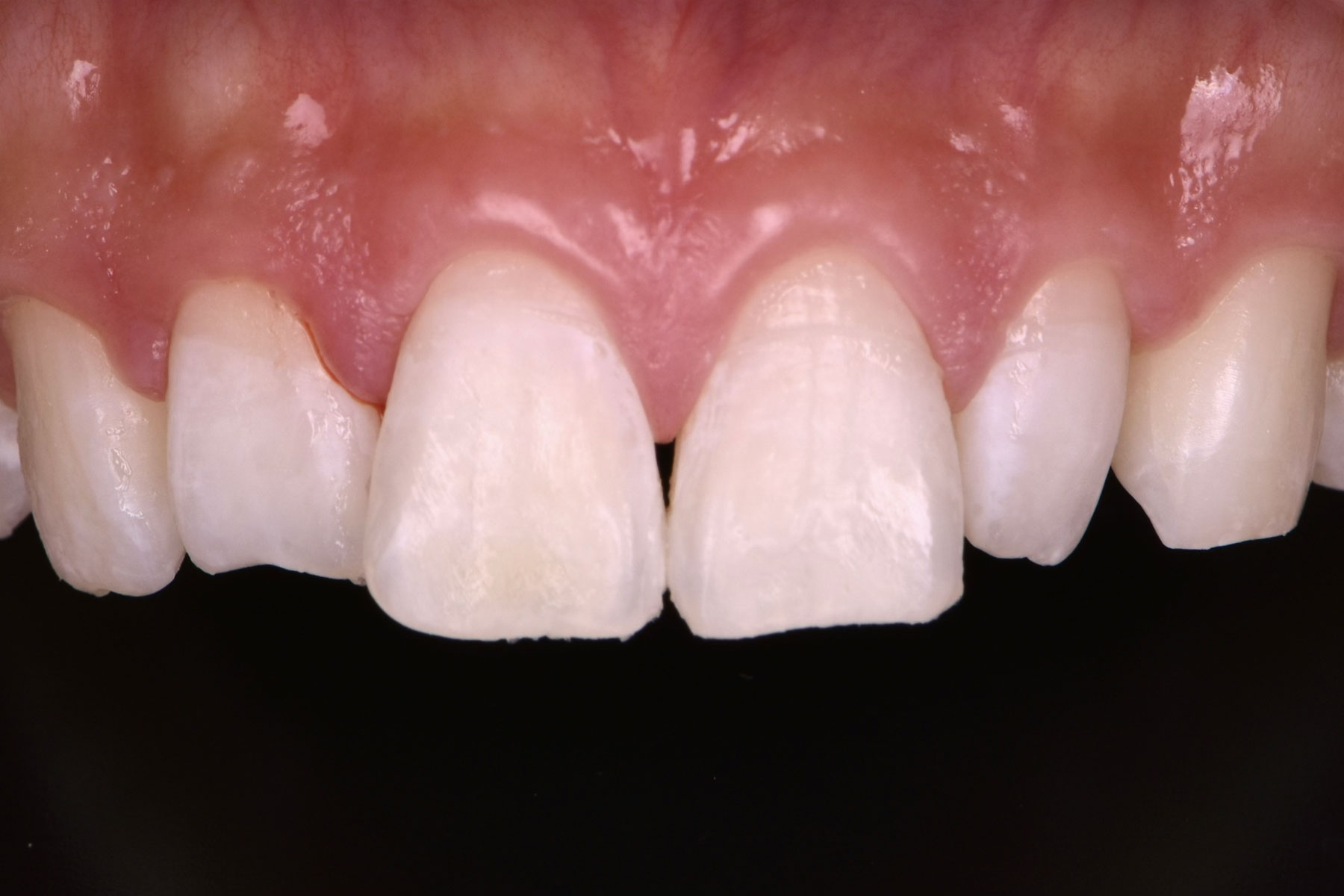
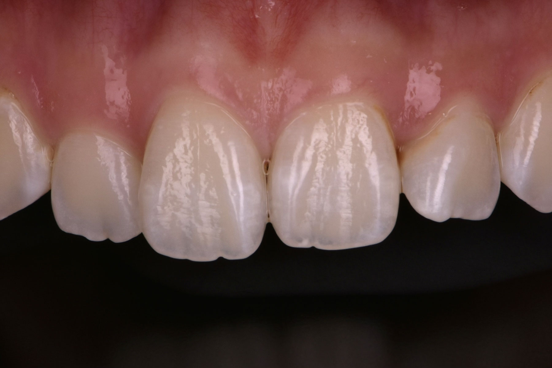
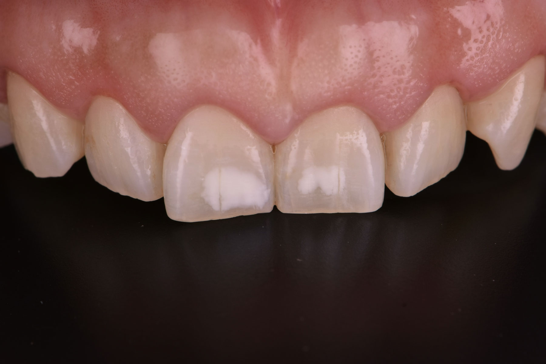
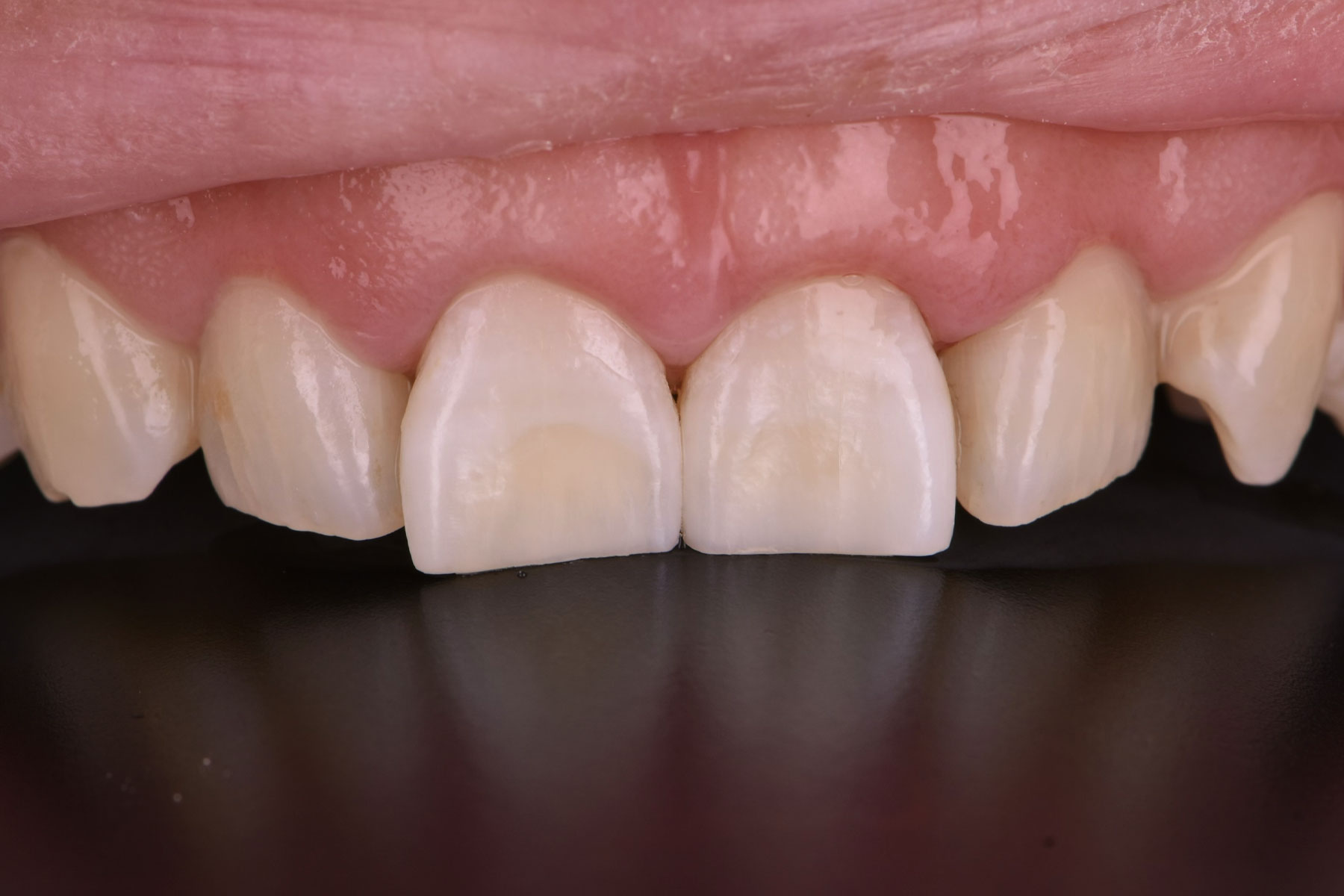
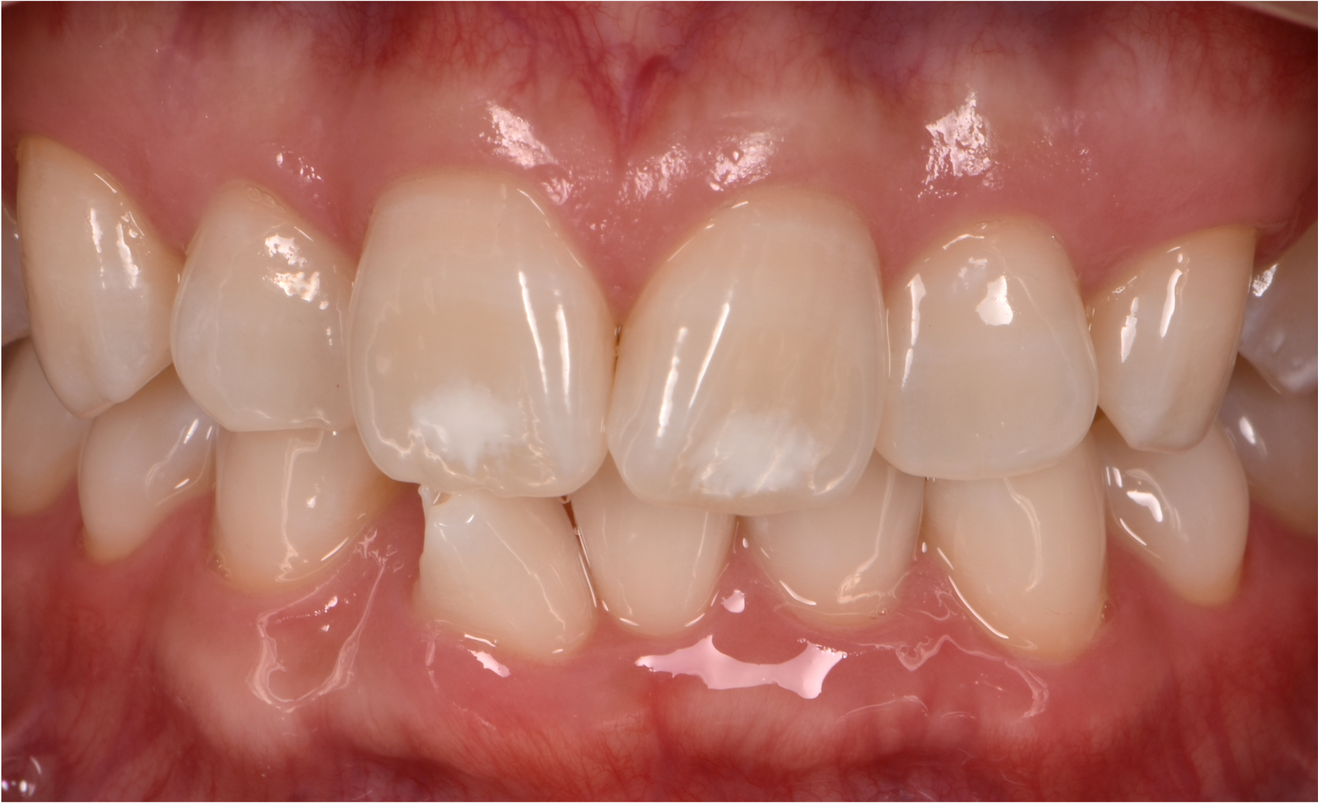
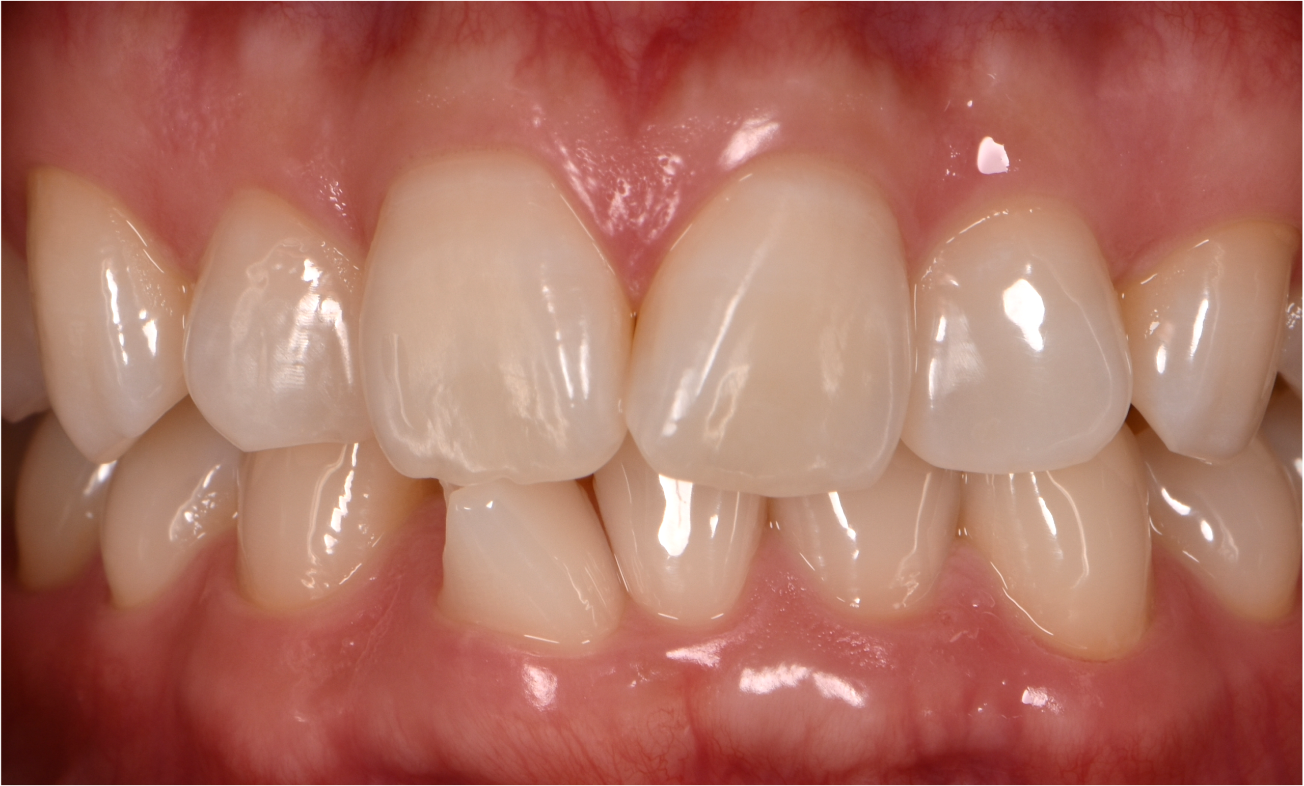
アイコン(Icon) /ホワイトスポット治療
White Spot
「アイコン(Icon) /
ホワイトスポット治療」は
こんな方にオススメ!
-
歯の白濁・
白斑
(はくはん)
が気になる -
削らずに
前歯を
キレイにしたい -
自然な
見た目にしたい
アイコン(Icon)
ホワイトスポット治療とは?
歯の一部が白く濁っている場合、初期むし歯または、エナメル質形成不全の可能性があります。どちらも歯の表面に白斑(はくはん)が認められ、総称して「ホワイトスポット」と呼ばれています。
初期むし歯は、むし歯菌によって歯の表面組織であるエナメル質が溶かされた状態です。エナメル質形成不全は、乳幼児期におけるフッ素の過剰摂取や遺伝、環境などさまざまな要因によってエナメル質が正常に形成されていない状態を指します。
メリット
当院では歯を削らないホワイトスポット治療Icon(アイコン)を導入しています。歯を削りたくないとお考えの方におすすめです。また、ホワイトニングを併用することで自然で明るい歯の白さへと導けます。
デメリット
ホワイトスポット治療Icon(アイコン)は、歯の表面にレジンを浸透させ歯の白濁を改善していきます。そのため、時間の経過とともにホワイトスポットの状態へと後戻りしてしまう可能性もあります。
当院なら自然で美しい仕上がりにできます
自由診療は、さまざまな歯科素材から希望するものを選べて、通院回数もコントロールが可能です。自由診療を無理におすすめすることはありませんが、ご満足いただける治療をめざして、選択肢の一つとしてご提案する場合があります。
治療費の目安について
- ICON治療・ホワイトスポット治療(1歯あたり)
- 1本:40,000円、2本目以降:18,000円
※自費診療となります。
全て税別価格となります。
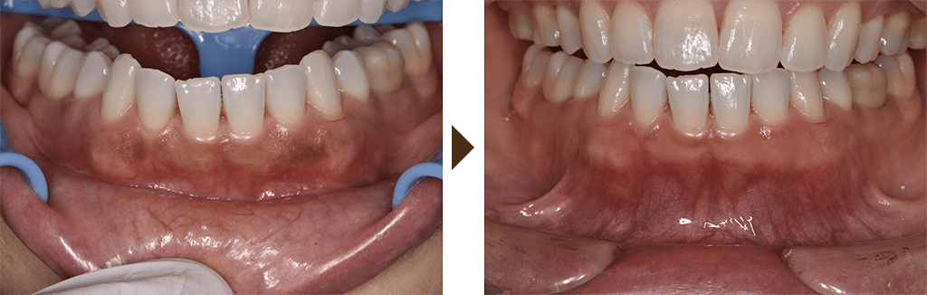
ガムピーリング
Gum Peeling
「ガムピーリング」は
こんな方にオススメ!
-
丈夫で長持ちする
素材で治したい -
前歯を
キレイにしたい -
自然な
見た目にしたい
ガムピーリングとは?
ガムピーリングとは、黒ずんでしまった歯ぐきを、元の健康的なピンク色に戻す審美治療です。「歯茎のクリーニング」とも呼ばれます。特殊な薬剤を歯ぐきに塗り、メラニン色素などを除去します。
ピーリング(peeling)は果物などの皮をむくことを意味しており、歯ぐきのピーリングを行うことにより、黒ずんだ歯茎がまるで一皮むけたように、きれいなピンク色に生まれ変わります。
メリット
短期間で効果を実感しやすい。
痛みを感じることが少ない。
デメリット
施術を受けられない場合があります。
当院なら自然で美しい仕上がりにできます
自由診療は、さまざまな歯科素材から希望するものを選べて、通院回数もコントロールが可能です。自由診療を無理におすすめすることはありませんが、ご満足いただける治療をめざして、選択肢の一つとしてご提案する場合があります。
治療費の目安について
- ガムピーリング
- 片顎:11,000円
※自費診療となります。
全て税別価格となります。
ガミースマイル治療
Gummy Smile
「ガミースマイル」は
こんな方にオススメ!
-
笑った時に
歯茎が
見えるのが
気になる -
思いっきり
笑いたい -
自然な
見た目にしたい
ガミースマイル治療とは?
ガミースマイル(Gummy Smile)とは、笑ったときに歯茎が大きく見えてしまう状態のことを指します。
「ガミーフェイス」と呼ばれることもあります。
また専門的には、笑ったときに歯茎の露出が3mm以上ある場合をガミースマイルと診断します。
ガミースマイルは日本人女性の約2割に見られるともいわれています。
ガミースマイルの原因とは?
ガミースマイルの治療は、その程度や症状によって適切な治療方法を選択する必要があります。
ガミースマイルの原因は主に下記4つに分類できます。
①歯が小さすぎるケース
②歯の位置が下前方すぎるケース
③上唇があがりすぎるケース
④歯列や上顎の骨の形の不正があるケース
治療費の目安について
- 検査・診断料
- 22,000円
- リップポジショニング(上唇粘膜切除術)
- 110,000円
- 歯肉歯槽骨整形術
- 110,000円
- ガミースマイル矯正治療
- 440,000円〜880,000円
※自費診療となります。
全て税別価格となります。
※毎月の調整料・管理料を含みます。
FLOW
審美歯科治療の治療の流れ
-
01.
初診カウンセリング
-
02.
精密検査
02.
精密検査
レントゲンや歯科用CTで撮影し、目で見えない部分まで確認します。また、口腔内写真や型取りも行い、場合によっては顔貌写真も撮影します。
-
03.
治療計画のご提案
03.
治療計画のご提案
詳細な検査の結果をもとに、お一人お一人に合った治療計画をご提案いたします。
具体的な治療方法のほか、治療期間、治療にかかる費用、可能性のあるリスクなどを詳しくお伝えします。不明点や疑問がありましたら、ご納得いただくまでご説明いたします。 -
04.
治療開始
04.
治療開始
治療計画に沿って、治療を行います。
Contact
まずはお気軽に「個別相談」にお越しください
お電話・WEBにてご相談のご予約を受け付けています。
お気軽にお問い合わせください。

















































































































