むし歯治療
むし歯治療について

- 歯が痛い
- 歯が黒ずんでいる
- むし歯が再発した
人間の歯は、一度むし歯ができると進行を食い止めるのが難しくなります。また、悪化して歯に穴があいてしまうと、削るなどの治療が必要になります。
時間的・費用的な負担を抑えるためにも、おかしいと感じたら早めに受診しましょう。
再発しやすいむし歯から
歯を守るために
仙台イーストデンタルでは、「痛くない治療(無痛治療)」を目指した細心の配慮を行うとともに、なるべく削ったり抜いたりせずに、「自分の歯を残せるような治療」を重視しています。
むし歯ができてしまった原因を突き止め、症状だけでなく原因そのものを改善する根本的なアプローチを行います。
そして、むし歯は再発しやすいため、治療が終わってからも「予防管理」を継続して、健康な状態を維持できるよう親身にサポートいたします。
むし歯治療後の
見た目を綺麗にする、
さまざまな審美治療法
(自由診療)
むし歯治療後も美しい
「セラミック治療」と
「ダイレクトボンディング」
むし歯を削って詰め物や被せ物を装着する際、目立つ治療痕が気になったり、金属アレルギーが心配だったりする場合は、自由診療の『セラミックやジルコニア素材』を使った治療や『ダイレクトボンディング』をご提案しております。
また、歯の一部が白く濁っている部分をきれいに改善できる「ホワイトスポット治療」にも対応しております。
セラミック治療とは
セラミックは、見た目が天然の歯のような美しい白さで、アレルギーの心配もありません。
口を開けるとすぐに見える前歯などは、セラミックの特性が活かされて満足度の高い治療につながります。
口元の「機能性」を取り戻しながら、「美しさ」も追求できるのが審美治療です。

メリット
- 天然の歯のようにツヤと透明感
- 審美性に優れ長期間使用しても劣化や
変色が起こりにい
デメリット
- 強い力がかかると欠けることがある
ダイレクトボンディングとは
ダイレクトボンディングはペースト状の白い素材を歯に直接盛りつけて形成して固め、見た目と機能性を回復する治療法です。
むし歯の治療後はもちろん、歯のすき間や欠けを埋めて見た目を整えることもできます。
時間や手間のかかる型取りなどの工程が必要ありません。

メリット
- 通常の詰め物や被せ物と比べて歯を削る
量が少ない - 治療時間も短いので歯のダメージや
身体的な負担を抑えられる
デメリット
- 削った部分が大きいなど、症例によっては
適応できないことがある - 経年劣化で変色が起こる可能性がある
ホワイトスポット治療とは
歯の一部が白く濁っている場合、初期むし歯または、エナメル質形成不全の可能性があります。
どちらも歯の表面に白斑(はくはん)が認められ、総称して「ホワイトスポット」と呼ばれています。
専門の薬剤を用いた新しい治療法によって、前歯などの気になる白濁をきれいに改善することができます。
当院では歯を削らないホワイトスポット治療Icon(アイコン)を導入しています。

メリット
- 歯を削りたくないとお考えの方に
おすすめ
デメリット
- 時間の経過とともにホワイトスポットの
状態へと後戻りすることがある
むし歯を放置するリスク
「歯が黒くなっているけれど、また痛くないから大丈夫」
「むし歯はなさそうだから、しばらく歯科検診に行ってない」
このように、歯科医院に行くのは痛みやトラブルが起きてからだと思っている方は少なくありません。
むし歯は、痛みなどの自覚症状が出る前から進行する病気で、気づいたときにはかなり進行しているケースもあります。
また、一度治療をしても同じ歯に再発する可能性が高いので、注意が必要です。
むし歯になってしまった場合、初期の段階で発見できれば治療にかかる時間は少なく、治療内容も複雑ではありません。
しかし、進行してしまうと、何度も通院して高度な治療が必要になることもあります。
永久歯は、削ったり抜いたりしてしまうと再生することのない貴重なものです。
いつまでも健康的できれいな状態でいられるように、しっかりと歯科医院で治療やメインテナンスを行いましょう。
何故むし歯になるのか?
むし歯の原因とは?

むし歯は、「4つの条件」が重なってしまうと起こるといわれています。
それは、「原因菌」「糖分」「歯の質」「時間」です。
お口の中に存在する数多くの細菌の中で、代表的なむし歯の原因菌がミュータンス菌です。ほかの細菌と一緒に増殖して塊になると、歯垢(プラーク)を形成します。
その中でさらに増殖を続けるミュータンス菌は、ネバネバしたバイオフィルムという物質を作って歯の表面に付着します。
ミュータンス菌は食事に含まれる「糖分」を分解して酸を作ります。「歯の質」が弱い場合、酸がエナメル質の中に浸透して歯をやわらかくしてしまいます。
この状態のまま「時間」が経過すると、歯が溶けてむし歯になり、進行してしまうのです。
むし歯の進行段階
むし歯は進行度によって5つの段階に分かれます。
初期の段階であれば治療にかかる時間や負担も少なくすみますが、放置して進行してしまうと抜歯ということにもなりかねません。
仙台イーストデンタルでは、むし歯の進行段階に応じて適切な治療を行います。
C0:白濁や斑点が見られる
症状
歯に白く濁った部分や斑点がある状態。
ごく初期のむし歯で、きちんとケアをすれば健康な状態に戻すことができます。

治療法
適切な歯磨きを行っていただき、自然な再石灰化によって健康な状態をめざします。
歯科医院で歯質を強くするフッ素を塗布することもあります。
C1:エナメル質が溶けている
症状
歯の表面のエナメル質だけが溶けてむし歯になっている状態。
痛みなどの症状がないので、気づきにくいです。

治療法
フッ素塗布やシーラント、適切な歯磨きの指導などの予防的な処置を行います。
進行が見られる場合は、むし歯部分を削ってレジン(白い歯科用プラスチック)で埋めることもあります。
治療回数の目安は1回 。
C2:象牙質まで達している
症状
エナメル質の奥の象牙質までむし歯が進行している状態。
歯の表面が黒くなり、小さくても歯の内部でむし歯が広がっているケースもあります。
甘いものや冷たいものを食べると痛みが出ます。

治療法
むし歯になっている部分を削り、レジンを詰めます。
削る部分が大きい場合は、銀歯や自由診療の素材(セラミック、金歯など)から適した素材を選んで修復します。
治療回数は2~3回が目安。
詰め物(インレー)による修復
レジン(プラスチック)、金属、セラミックなどの歯科素材から選べます。
詰め物の製作
むし歯部分を削って穴の形を整え、型取りをします。
型をもとに詰め物を作ります。
歯に装着
できあがった詰め物を、接着剤ですき間がないように装着します。
C3:歯髄まで到達している
症状
歯の歯髄(神経や血管)、もしくはその周辺までむし歯が進行している状態。
何もしていなくてもズキズキと痛みます。

治療法
歯髄を除去する「根管治療」を行います。
その後に歯の土台を立て、銀歯や自由診療の素材(セラミック、金歯など)から適した素材を選んで被せ物を装着します。
症状によって異なりますが、治療回数の目安は5~7回。
根管治療
歯の内部の清掃・消毒
特殊な器具を使って感染した神経などの歯髄を除去した後、歯髄が通っていた管(根管)を洗浄して消毒します。
きれいにするために、数回にわたって処置を行います。
薬剤を充填して密封
根管の内部がきれいになったら、薬剤を詰めて密封します。神経のない歯は再感染しやすいので、細菌や空気が入らないようにすき間なく充填します。
被せ物を装着
金属やレジンの素材を使って土台を立てます。型取りをして被せ物を製作し、装着して治療完了です。
C4:歯が溶けて歯髄が死んでいる
症状
むし歯が進行して歯髄が死んでしまい、痛みを感じなくなった状態。
歯の先に膿が溜まることもあり、ほかの歯への影響も考慮して抜歯する可能性が高いです。

治療法
神経を除去して被せ物を装着する方法が可能ならば、C3と同じく根管治療をします。
歯を残すことが難しい場合は、抜歯をして入れ歯・ブリッジ・インプラントなどの治療を行って歯の機能を補います。
治療後も再発予防が大切
むし歯が進行して神経を除去するような治療を行ったら、もうむし歯にならないと思っている方もいますがそうではありません。歯の内部でまた細菌感染を起こし、再発をくり返すケースは多いです。何度も治療と再発をくり返すと、歯の根にある骨まで感染したり、根を残すこともできなくなったりして、抜歯するしか手段がなくなることもあります。
そうならないためにも、むし歯の症状が出る前から定期的な検査をおすすめします。
歯科医院の定期検診では、お口の健康状態をチェックするとともに、クリーニングなどのメインテナンスも行います。むし歯にならないように「予防」を心がけましょう。
当院のむし歯治療の流れ

「噛むと痛い」という24歳女性の患者さまの場合
「噛むと痛い」という
24歳女性の患者さまの場合
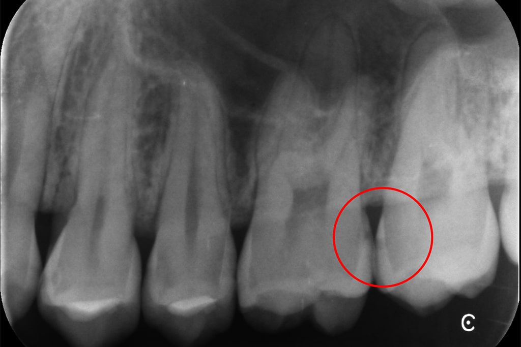
レントゲン撮影
検査を行い、現在の歯とお口の状態を確認します。
レントゲン撮影により、肉眼では見えにくい部分のむし歯も発見しやすくなります。

麻酔
痛みに配慮しながら、治療のための麻酔を行います。
麻酔液の冷たさと麻酔を注入する際の圧力のムラが痛みにつながるので、当院では麻酔液を体温程度に温めて一定の圧力で注入できる電動麻酔器を使用しています。

治療開始
治療時には、「ラバーダム」という患部の歯だけを露出できるゴムのシートを使用します。
特にむし歯が進行している場合は、多くの細菌が含まれた唾液が患部に流れ込んでしまうと、歯の根の奥の方まで感染してしまう可能性があります。
ラバーダムは唾液の侵入を防ぎ、さらに薬品などを使用する際にお口や喉に触れないとうメリットがあります。

感染部分の除去
「う蝕検知液」を使い、むし歯に感染した部分のみを染め出して除去します。
感染部分がわかりやすくなるので、取り残しや削りすぎを防ぐことができます。

修復
削った部分を修復して、治療完了です。
プラスチック素材とセラミック素材を混合した「ハイブリッドレジン」という素材を、歯の表面に盛りつけて形を整えます。
これは「ダイレクトボンディング」という治療法で、白い素材で見た目が自然に仕上がり、型取りなどの手間と時間がかかりません。

※ダイレクトボンディングは自由診療です。治療費用33,000円
※削る部分が大きすぎるなど、症例によって適応できない場合があります。
