ダイレクト
ボンディング
ダイレクトボンディング
とは

歯科のダイレクトボンディング法とは、白いペースト状の歯科材(コンポジットレジン=特殊プラスチック素材)を歯に直接盛りつけ、治療などで削った部分を補う審美治療法です。
通常の詰め物や被せ物と比べると、型取りや製作の時間がないので治療時間の短縮にもつながります。
気になる歯のすき間や欠け、変色にも対応できます。
ダイレクトボンディングで
用いる素材
患者様の治療内容やご希望に応じて、保険適用のコンポジットレジンCR)が用いられる場合と、より上質な仕上がりで長持ちしやすい自由診療の審美修復用レジンとが選択できます。
このような方におすすめです
- すきっ歯を治したい
- 欠けてしまった前歯をきれいに治したい
- 金属の詰め物を白いものにしたい
- 削る量をおさえつつ歯を美しくしたい
- 早く歯の形や色をきれいに整えたい
など
ダイレクトボンディングは、“見た目の美しさ”以外にも「手軽さ」や「身体への優しさ」など多くのメリットが期待できる審美治療法です。
ただし、治療適応の範囲には限りがございますので、まずはお気軽に当院の無料相談にてお尋ねください。
審美歯科・ダイレクトボンディングに関する『無料相談』
仙台市宮城野区の歯科|歯医者【仙台イーストデンタル】では、審美歯科、矯正歯科、インプラントでお悩みの方へ向けた初診無料相談・無料カウンセリングにも対応しております。
プライバシーを守る個室のカウンセリングルームを完備し、しっかりとお時間を確保のうえ丁寧な説明とご相談を大切にしております。
費用につきましても、治療計画をご提案する時点で明確にお伝えしております。そして、治療内容がその費用に値するものであると、患者様にご納得いただかない限り、治療を進めることはありませんので、安心してご相談ください。
ダイレクト
ボンディングの
メリット・デメリット
ダイレクトボンディング治療の
主なメリット
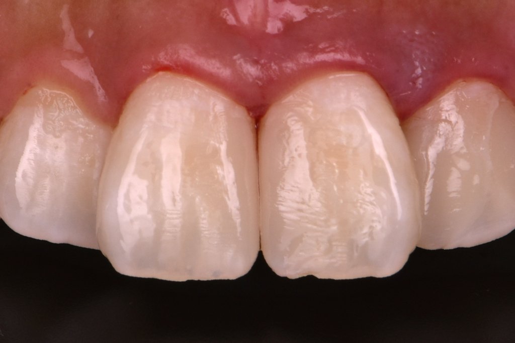
歯本来の透明感を再現
自由診療のダイレクトボンディング法では、多数の色の中から周りの色に自然になじむ色を選んで重ねていくことで、周囲の歯に調和した色合いを再現することができます。
歯の色は一人ひとり異なり、また歯の部位によっても透明感や色調は違います。お口全体のバランスを見ながらこれらを忠実に再現し、その方らしい美しい歯に仕上げることができます。
歯を削る量が少なくて済む
ダイレクトボンディング法は、詰め物や被せ物の治療に比べると歯を削る量が小さい範囲で済む治療法です。
可能なかぎり健康な歯質を残すことは歯の寿命を延ばすことにつながります。
当院では症状や必要に応じて、マイクロスコープ(歯科用顕微鏡)などの精密機器を審美治療に活用しています。
使用することにより、最大20倍程度まで拡大して確認することが可能となり、より美しく、健康面にも配慮した低侵襲な治療を徹底しております。
基本的に1回の治療で済む
(短期間で治療可能)
ダイレクトボンディング法は、コンポジットレジンという合成樹脂を用いて、直接お口の中で歯の形を作り修復していく治療方法です。
一般的な補綴治療(型取りをして詰め物などを作り装着する治療)に比べ、より短期間で治療を終えられるのも特徴です。
ダイレクトボンディングの治療期間は、多くのケースで1回の治療で完了します。
金属アレルギーの心配がない
ダイレクトボンディング法で用いる素材は、金属を一切利用しないメタルフリー(ノンメタル)の材料です。
金属アレルギーの心配なく安心してご使用いただけます。
ダイレクトボンディング治療の
主なデメリット
治療に適さないケースがある
ダイレクトボンディングは全ての症例に適応できるわけではありません。
例えば、削った部分が大きい場合や、噛み合わせの問題である場合など、ダイレクトボンディングが適応できないケースもあります。
事前に慎重に診査診断のうえ、そのようなケースには、セラミック治療(詰め物・被せ物の審美治療)など、患者様の症状やご希望に合わせた最適な方法をご提案いたします。まずは一度お気軽に診察へお越しください。
ダイレクトボンディング
治療の流れ

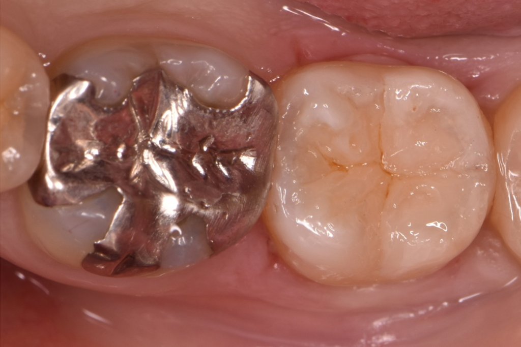
銀歯を除去して行う場合の
一般的な治療の流れ
銀歯を削ってとり外す
歯に設置されている銀歯(金銀パラジウム合金やアマルガム)を取り外し、銀歯の削りカスを綺麗に取り除きます。
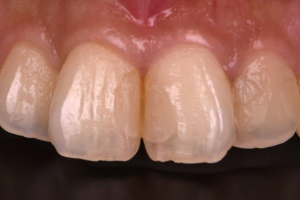
歯に接着剤をつける
歯とレジンを接着させるために、初めに接着剤をつけていきます。数秒程度ですので違和感もなく行えます。
レジンの盛上げ(1回目)
まずは比較的濃いめのレジンを用い、中の部分から詰めていきます。
レジンの盛上げ(2回目)
上部のレジンを盛りつけ、透明感や色のバランスを計ります。
仕上げ
最終研磨を行い、天然の歯と見分けがつかない綺麗な仕上がりとなります。
症例
ダイレクトボンディング
治療の
リスク・注意点
ダイレクトボンディングで治療した箇所は、強い衝撃が加わったり接着箇所が劣化すると脱落や破折が起こる場合があります。
また、治療からしばらく経つと摩耗が進んだり黄ばんできたりする場合があります。
セラミックと比較すると、コンポジットレジンは強度・耐久性において劣ります。
その他の
審美歯科治療メニュー
セラミック治療
(白い詰め物・被せ物)
患者様一人ひとりのご要望をお伺いし、機能性や審美性をかなえるためにオーダーメイドで詰め物・被せ物を製作しています。
装着する歯や歯ぐきと調和するように細かく色味を調整し、形も精巧に作り上げます。
詰め物・被せ物を実際に製作する歯科技工士が診療に立ち会い、直接歯の色を相談できたり、調整できる点も当院のセラミック治療の大きな特徴です。

ラミネートベニア
セラミックを薄い板状にして、歯の表面に接着剤で貼り付けます。
ホワイトニングをしても白くならない歯や、神経を抜いて黒ずんでしまった歯でも、白い自然な見た目を取り戻せます。
歯の一部が欠けてしまった際の修復も可能です。

ホワイトスポット
歯の一部が白く濁っている場合、初期むし歯または、エナメル質形成不全の可能性があります。
どちらも歯の表面に白斑(はくはん)が認められ、総称して「ホワイトスポット」と呼ばれています。
初期むし歯は、むし歯菌によって歯の表面組織であるエナメル質が溶かされた状態です。
エナメル質形成不全は、乳幼児期におけるフッ素の過剰摂取や遺伝、環境などさまざまな要因によってエナメル質が正常に形成されていない状態を指します。

ガムピーリング
黒ずんでしまった歯ぐきを、元の健康的なピンク色に戻す治療法です。
特殊な薬剤を歯ぐきに塗り、メラニン色素などを除去します。
タバコや着色しやすい食べ物(コーヒーや赤ワインなど)による黒ずみにも効果的です。





















