痛くない・怖くない・早い精密インプラント治療
「即時埋入
インプラント」で
当日に仮歯が入る。
-
インプラント
治療期間最短2ヶ月半〜 -
45分
無料相談
実施中 -
インプラント
保証制度最長10年
痛くない・怖くない・早い精密インプラント治療
骨量1mmでも
骨を増やす手術なしで
治療できます。
-
インプラント
治療期間最短2ヶ月半〜 -
45分
無料相談
実施中 -
インプラント
保証制度最長10年
毎月10名限定
無料相談実施中!
-
Point.01
-
インプラント治療期間 最短2ヶ月半〜
-
Point.02
-
寝ている間に無痛インプラント
-
Point.03
-
インプラント保証制度最長10年保証
まずはお気軽に
「無料相談」にお越しください!
お電話・WEBにてご相談のご予約を受け付けています。
お気軽にお問い合わせください。
こんな歯のお悩み
ありませんか?
-
歯周病が原因で
歯が抜けそう -
他院でインプラントを
断られた -
セカンドオピニオンを
お願いしたい -
インプラントについて
もっと知りたい -
入れ歯が合わない・
噛めない -
歯がボロボロ過ぎて
歯医者さんに
行けない -
ブリッジか
インプラントかで
迷っている
こんなお悩みをお持ちの方も
お気軽にご相談ください!
- 他院でインプラントを断れた
- 入れ歯やオールオン4で迷っている
- 残っている歯がほとんどない
- 自然で綺麗な口元にしたい
当院では
怖さや不安を取り除く、
安全な治療を行うことはもちろん、
「生活の質(QOL)」も
とても重要だと考えております。
インプラント治療は、「失った歯を補う」だけでなく、
その後の生活の質(QOL)を大きく左右する治療です。
当院では、手術に対する怖さや不安を和らげるために、
丁寧なカウンセリングと安全性を重視した治療体制を整えています。
CTやマイクロスコープなどの精密機器を活用し、
神経や骨の状態を正確に把握したうえで、
できる限り痛みや腫れの少ない治療を行います。
見た目の自然さや噛み心地の回復はもちろん、
治療後も快適に食事や会話を楽しめるよう、
インプラントを通して「生活の質(QOL)」の向上を目指しています。
仙台イーストデンタル 院長
インプラント専門ドクター
ぬまた沼田ひろたか洋孝
常に新しい歯科医療を取り入れ、
患者様にご提案できるよう努めてます。
過去にインプラントを
諦めた方も、
一度当院にご相談ください。
丁寧で誠実な治療を
大切にしています。
家族にも安心して
受けてもらえるような、
丁寧で誠実な治療を大切にしています。
家族にも安心して受けてもらえるような、
インプラント
45分無料相談
受付中
- 費用・リスク・治療期間まで
明確に提示いたします - インプラントが不安な方にも
安心の対応体制 - 無理にインプラント治療を
強要するようなことは一切いたしません
インプラント個別相談の所要時間は
約45分となっており、
事前のご予約をお願いしております。
まずはお気軽にご予約ください。
-
Step 1 初診・
無料カウンセリングまずは歯の状態の現状をお聞かせください。
患者様のお悩み、
インプラント治療に対する
疑問・不安をじっくり伺います -
-
Step 2 各種検査
お口の状態を詳しく確認し、治療の可否や方針を
判断するために必要な検査を行います。
痛みはなく、短時間で完了しますのでご安心ください。 -
-
Step 3 治療説明・
お見積もり説明検査結果をもとに、最適な治療プランと費用をわかりやすくご説明します。無理なご提案はいたしませんので、じっくりご検討いただけます。
インプラントとは?
インプラントとは、
失ってしまった歯の代わりに人工の歯を埋め込む治療法です。
失ってしまった歯の代わりに
人工の歯を埋め込む治療法です。
顎の骨にチタン製の「人工の歯の根っこ(インプラント)」
を埋め込み、その上に人工の歯を取り付けます。
しっかり固定されるため、
まるで自分の歯のように噛めるのが特徴です。
まるで自分の歯のように
噛めるのが特徴です。
「入れ歯だと違和感がある」
「ブリッジで他の歯を削るのがイヤ」など、
そんなお悩みをお持ちの方に選ばれています。
見た目も自然で、周りの歯に負担をかけない点も
大きなメリットです。
FEATURES
当院のインプラント治療が
選ばれる理由
Feature01
痛くない・怖くない・
早い精密インプラント治療
その日のうちにできる
「抜歯即時インプラント」
だから安心!
「怖い」「治療が長い」は
もう昔の話。
抜歯当日に
仮歯が入るインプラント治療
「痛そう」「怖そう」「治療が長くて大変そう」
インプラントに対してそんな不安をお持ちの方も、
当院では安心して治療を受けていただけます。
当院では、抜歯と同時にインプラントを埋め込み、
その日のうちに仮歯を装着できる「抜歯即時・即時荷重」に対応。見た目や噛む機能をすぐに取り戻せるため、生活の質(QOL)を保ったまま、治療期間も大幅に短縮できます。
「静脈内鎮静法」を導入
さらに、リラックスした状態で手術を受けられる
「静脈内鎮静法」や、できるだけ歯ぐきや骨を傷つけない低侵襲の治療技術を導入。
身体への負担や痛みを最小限に抑えた、
安全性の高いインプラント治療を提供しています。
「怖いから」「不安だから」とあきらめていた方も、ぜひ一度ご相談ください。
当院なら来院回数を大幅に
減らすことができます
当院では、歯を抜くのと同時にインプラントを埋入し、その日に仮歯まで装着します。治療期間中に起こりがちな患者様のQOLの低下を予防できるうえに、治療期間の短縮も見込めます。症状によって個人差はありますが、治療期間は最短で2ヶ月半とされています。複数の歯を治療する場合は異なります。
※上記の計画はあくまで目安であり、歯の状態や歯周病などの進行度合いにより変わる場合があります。
一度、無料カウンセリングにてご相談ください。
Feature02
世界基準の高品質
インプラントを使用
世界中で選ばれる安心品質。
世界100ヶ国以上で採用
「メガジェン」
世界100ヶ国以上で採用されている
「メガジェン」を使用。
韓国製のインプラントで、
アメリカやヨーロッパ各国でも広く普及しており、
日本でも近年シェア率が高まっています。
当院の担当医が使用感を評価した上で導入しており、
「抜歯即時・即時荷重」に適しています。
Feature03
骨が少ない方でも
対応可能な高度技術
林 揚春先生ご提供の画像をもとに作図
「骨が足りない」と言われた方へ
「骨が少ないからインプラントは難しい」と言われた
ことがある方も、あきらめる必要はありません。
当院では、上あごの骨が少ないケースにも対応可能な治療技術を備えており、一般的に行われる
「サイナスリフト(上顎洞挙上術)」を極力行わずに
済む工夫をしています。
そのため、腫れや痛みのリスクを抑えた、
より快適な治療が可能です。
骨吸収を抑える
先進インプラント技術
また、「ルートメンブレンテクニック」という
高度な手法を用いることで、将来的な骨の吸収を防ぎ、
インプラントを長く安定させることができます。
さらに、直径7mm以上のショートワイドインプラントを使用することで、骨を増やす手術(骨造成)を
回避できる場合も。患者様一人ひとりの状態に
合わせて、なるべく負担を少なく・確実性の高い
治療を提案しています。
ご注意ください!
抜歯をしてしまうと…
抜歯後に放置すると、骨がどんどん吸収されてしまい、
インプラントが難しくなる場合があります。
その結果、治療の選択肢が限られたり、費用負担が大きくなったりすることも。抜歯を検討されている方は、後悔しないためにも、まずはご相談ください。
抜歯になる前に
ご相談ください!
まずはお気軽に
「無料相談」にお越しください!
お電話・WEBにてご相談のご予約を受け付けています。
お気軽にお問い合わせください。
Feature04
精密・安全な手術体制
CT×3Dシミュレーションで
実現する、
安全・正確な
インプラント
インプラント治療で最も重要なのは、
「正確な位置に安全に埋め込むこと」
です。
当院では、歯科用CTと専用のシミュレーションソフトを使って、あごの骨の形や
神経の位置を三次元的に
把握し、
インプラントを埋め込む最適な位置・
角度・深さを事前にしっかり計画します。
エックスガイドを使用した、
安全で精密な治療
さらに当院では、外科手術用のナビゲーションシステム
「エックスガイド」を導入。
GPS測定によって術者の手元の動きを
“リアルタイム”に
ガイド。
より正確なインプラント埋入が可能に。
宮城県内でも導入されているのは
わずか4台のみ(2026年1月現在)で、
手術中のリスクを抑えながら、
安全性・再現性の高い治療を提供しています。
Feature05
患者様に寄り添う
丁寧な無料カウンセリング
まずは話を聞くだけでも大丈夫。
無料カウンセリング受付中です。
「インプラントに興味はあるけれど、
不安や疑問がたくさんある…」
そんな方のために、当院では
約45分の無料カウンセリングを実施しています。
治療内容だけでなく、費用・期間・考えられるリスクまで丁寧にご説明し、ご納得いただいたうえで治療を進めることを大切にしています。
無理に治療をすすめることはありませんので、どうぞ安心してお越しください。
まずはお気軽に
「無料相談」にお越しください!
お電話・WEBにてご相談のご予約を受け付けています。
お気軽にお問い合わせください。
毎月10名限定
無料相談実施中!
-
Point.01
-
インプラント治療期間 最短2ヶ月半〜
-
Point.02
-
寝ている間に無痛インプラント
-
Point.03
-
インプラント保証制度最長10年保証
まずはお気軽に
「無料相談」にお越しください!
お電話・WEBにてご相談のご予約を受け付けています。
お気軽にお問い合わせください。
DOCTOR
ドクター紹介
仙台イーストデンタル院長
沼田 洋孝
インプラント治療は
私たちにおまかせください!
インプラント治療は非常にテクニックセンシティブな分野です。繊細な骨の中で正確に治療を行う“技術”と、自然な美しさを再現する“センス”の両方が求められます。
当院では審美性が求められる前歯のインプラントから、歯がボロボロで噛めなくなった方へのオールオンX治療まで、多様な症例に対応しています。
また、骨が少なく「インプラントができない」と言われた方にも、グラフトレスサイナスリフトなどの高度な治療法を用いて対応が可能です。
「美しく、しっかり噛める」インプラント治療を、確かな技術と経験で追求しています。
経歴
宮城野小学・宮城野中学、仙台第一高等学校を卒業。明海大学歯学部歯学科を卒業後、明海大学PDI埼玉歯科診療所にて研修し、医局員として勤務。日本歯周病学会 認定医取得。医療法人社団 百医会 百瀬歯科医院に勤務。「医療法人社団 伸生会 仙台イーストデンタル」の院長に就任し、現在に至る。
所属学会
- 日本歯周病学会
- 日本顎咬合学会
- 日本口腔インプラント学会
- ILSC即時荷重研究会
得意な診療
- インプラント治療
- オールセラミックス審美治療
ここまで変わる!
当院のドクターによる
実際の治療症例
仙台イーストデンタル副院長
沼田 祐輔
自動車整備士から一念発起!
歯科医師に
こんにちは。
【医療法人社団伸生会 仙台イーストデンタル】
副院長の沼田 祐輔です。
仙台イーストデンタルでは、丁寧な検査と確かな診断力、そして確実な技術で安心できるインプラント治療を行っています。
器械理工に精通した知識と経験をもとに、科学的根拠に基づいた精密な治療を提供しています。
日々の研鑽を重ね、患者さまの笑顔と健康をサポートします。
お困りの方は、ぜひお気軽にご相談ください。
経歴
宮城野小学・宮城野中学、東北学院榴ケ岡高等学校を卒業。日産自動車大学校を卒業後、自動車整備士免許を取得。その後、奥羽大学歯学部に入学・卒業し、東北大学歯科顎口腔外科にて研修。「医療法人社団 伸生会 仙台イーストデンタル」の副院長に就任。現在に至る。
所属学会
- 日本口腔外科学会
- 日本口腔インプラント学会
得意な診療
- 矯正治療
- オールセラミック審美治療
- 審美治療
TREATMENT
様々なケースに対応できる治療技術
-
即時抜歯インプラント
抜歯当日に噛める
「即時抜歯インプラント」歯科インプラント治療における「抜歯即時埋入」とは、抜歯してすぐにインプラント体(人工歯根)を埋入する治療法のことです。
従来の抜歯を伴うインプラント手術では、抜歯をしてから通常3〜4ヶ月程度おき、骨の治癒を待ってからインプラント体の埋入手術を行うのが一般的でした。
しかし近年、“抜歯した当日にインプラント体を安全に埋入できる”ケースも多くなってきています。これが「抜歯即時埋入インプラント」です。 -
オールオン4
最小4本で支える
「オールオン4」オールオン4(All-on-4、オールオンフォー、オール・オン・フォー)とは、片顎全ての歯に対して、最少4本のインプラント体(人工歯根)のみで固定できるインプラント治療法の一つです。
通常のインプラント治療法では、基本として1歯に対してインプラントを1本ずつ埋入する必要があります。
失った歯が多い方の場合、インプラントを入れる本数が多くなり、その分、治療費用も身体的な負担も大きくなってしまう難点がありました。
この問題を解決するべく開発されたのが、「All-on-4(オールオンフォー)」と呼ばれる新たなインプラントシステムです。 -
審美領域インプラント
前歯の審美領域にも対応可能です。
歯茎の色やボリュームまでコントロールした治療を行います。 -
ルートメンブレンテクニック
インプラント治療を検討される中、「骨造成(骨再生治療)」や「メンブレンテクニック」などの専門用語を見聞きする機会もあるかと思います。
「ルートメンブレンテクニック」とは、抜歯する歯の根の一部を残すことで、骨の吸収を抑える歯科治療方法のことです。
歯を抜いた部分の周辺の骨は、そのままにしているとだんだん吸収されて痩せてきてしまいます。インプラントを埋め込んだとしても、時間が経過するとネジが見えてしまったり、安定性が悪くなったりすることがあります。
そこで当院では、この「ルートメンブレンテクニック」によって、将来的にインプラントと歯ぐきを健康的に維持できる可能性を最大限高めています。
インプラント
以外の選択肢を
ご提案する場合も
あります。
当院は歯科全般に幅広い知見を持ち、
インプラント治療はもちろん、
入れ歯やブリッジなどにも柔軟に対応しています。
※インプラントのリスク・副作用
治療後に適切なメンテナンスを行わないと、
歯周病(インプラント周囲炎)を発症する可能性があります。
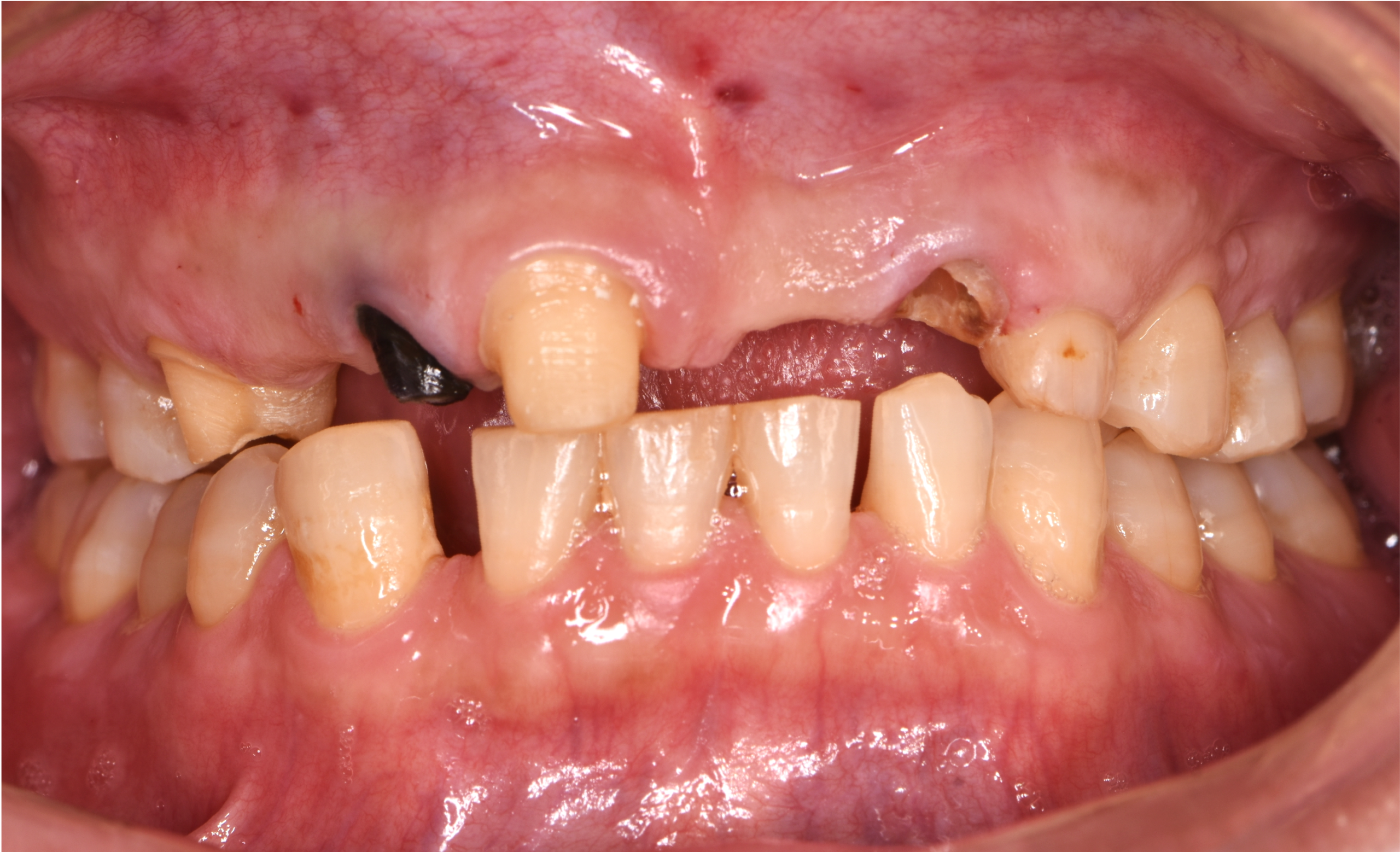
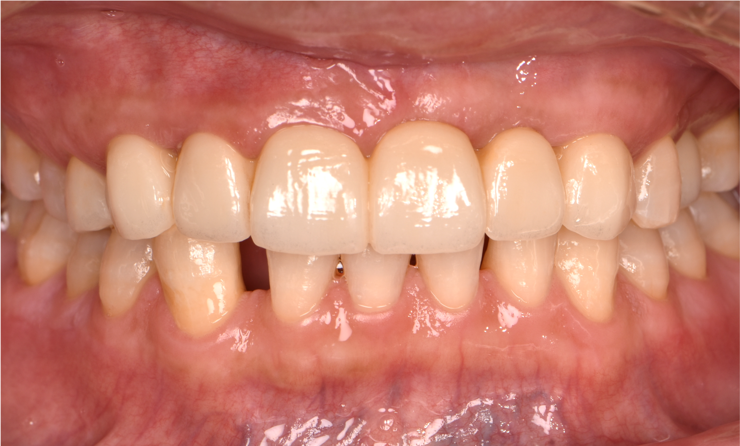
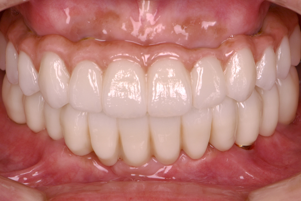
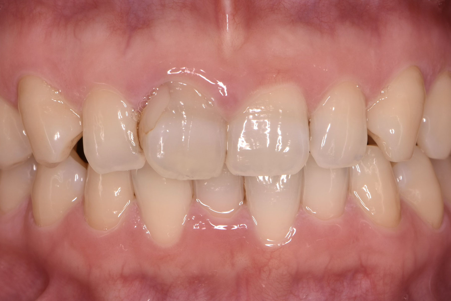
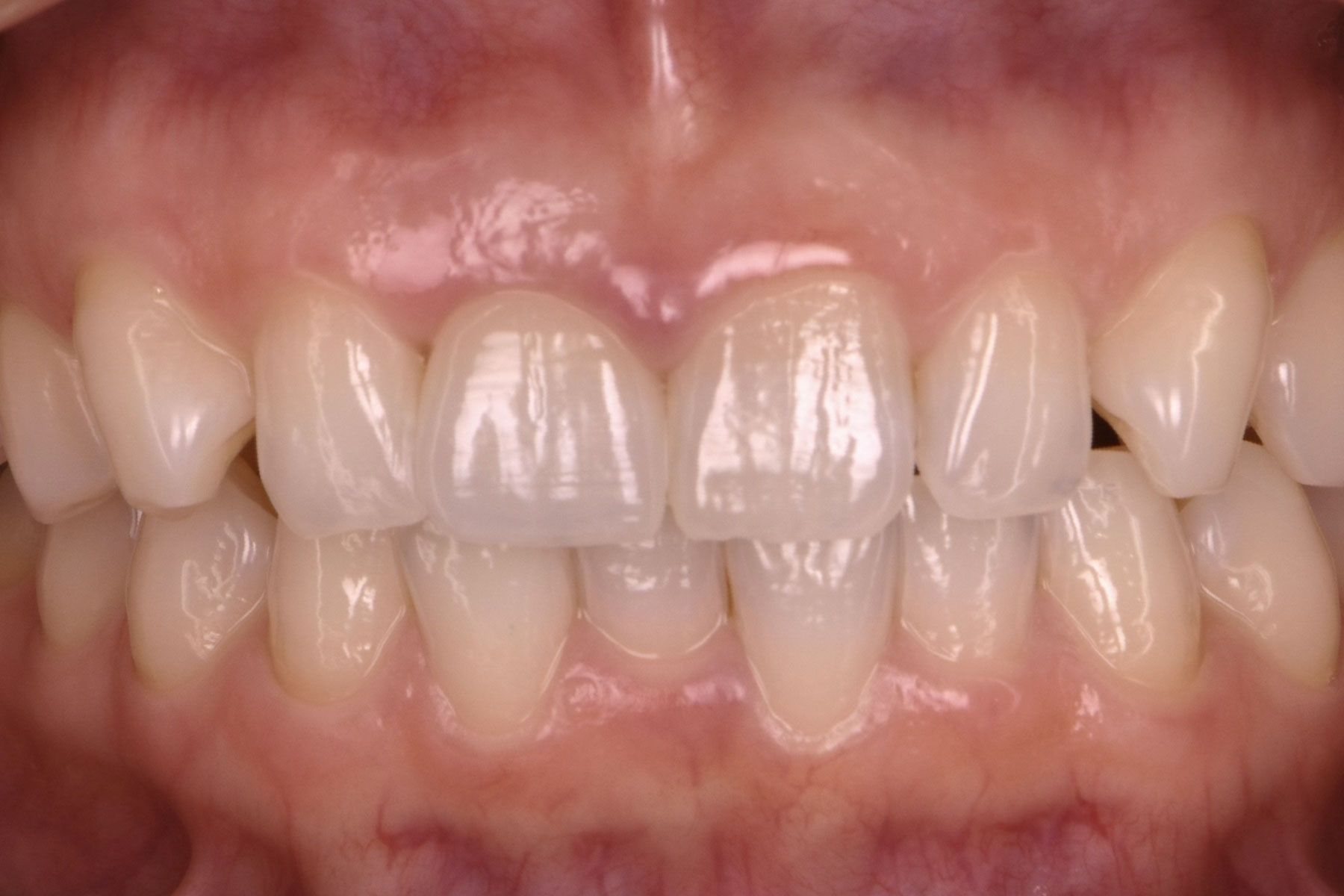
CASE
インプラント治療の症例
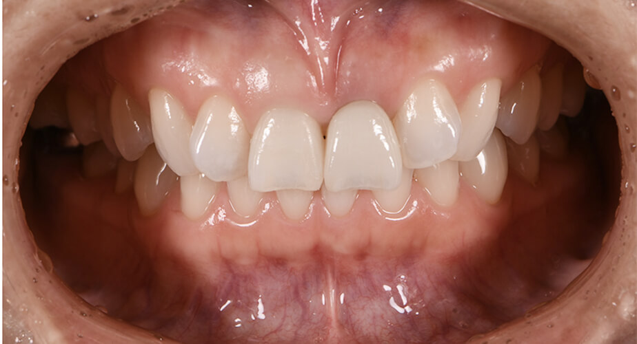
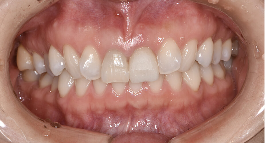
【CASE01】抜歯即時インプラント
-
Before
-
After
| 年齢 | 38歳 |
|---|---|
| 性別 | 女性 |
| 治療期間 | 3ヶ月 |
| 治療方法 | 抜歯即時インプラント |
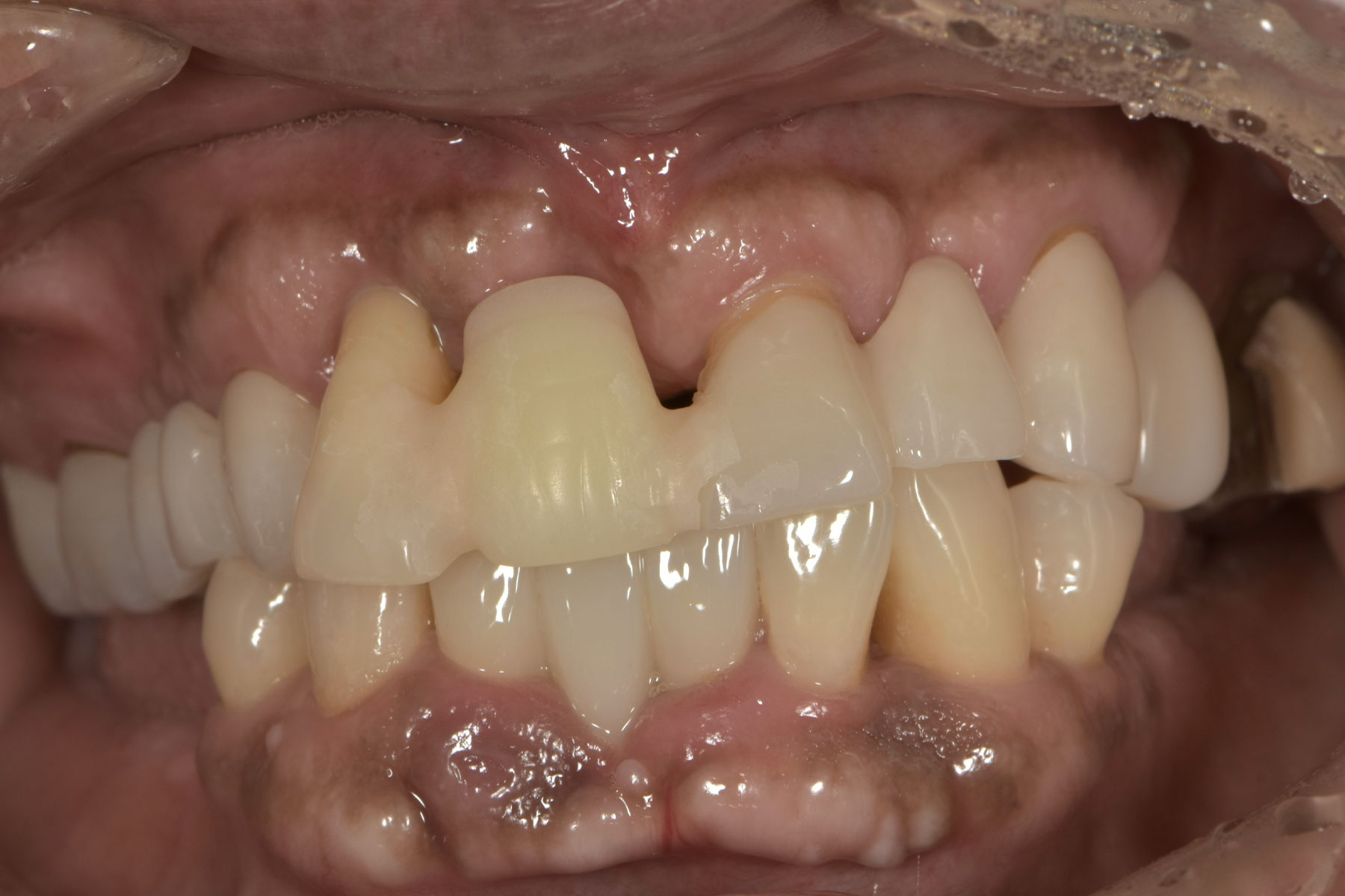
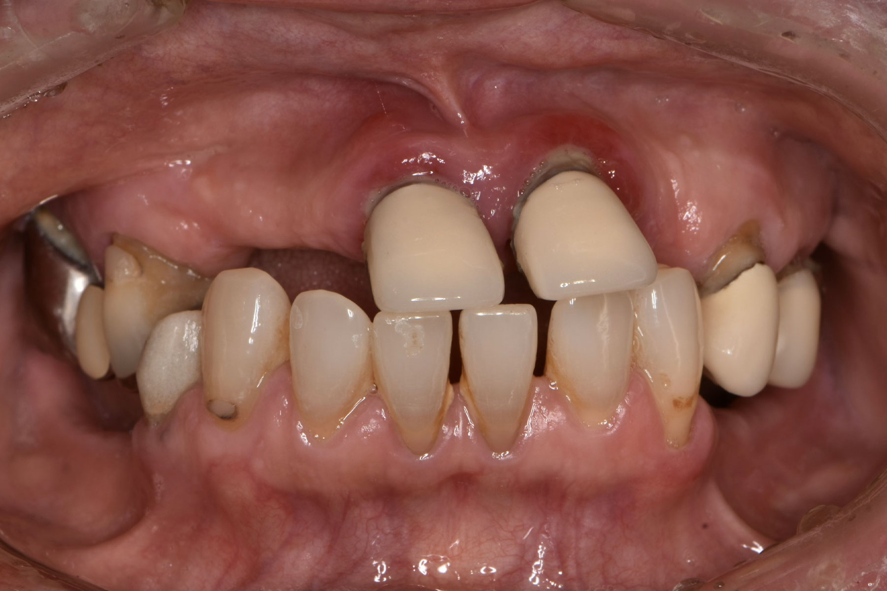
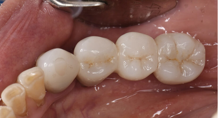
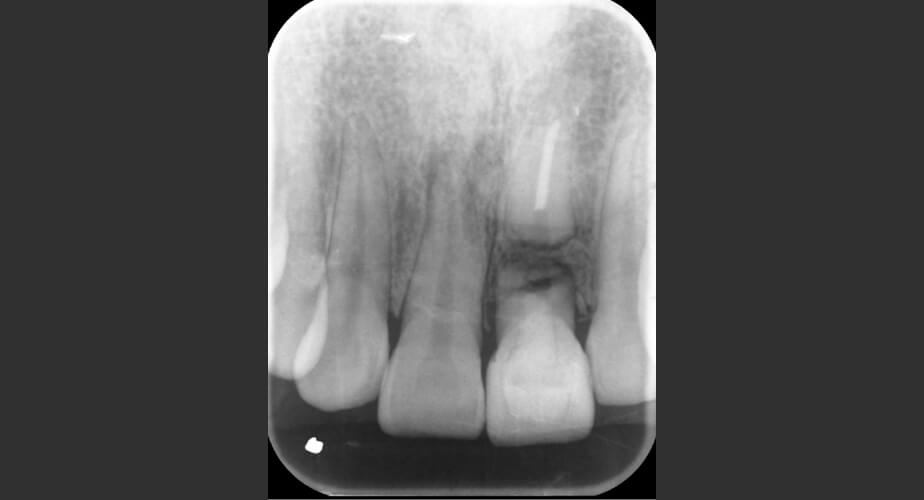
【CASE02】2本以上のインプラント
-
Before
-
After
| 年齢 | 56歳 |
|---|---|
| 性別 | 女性 |
| 治療期間 | 4ヶ月 |
| 治療方法 | 抜歯即時インプラント2本 |
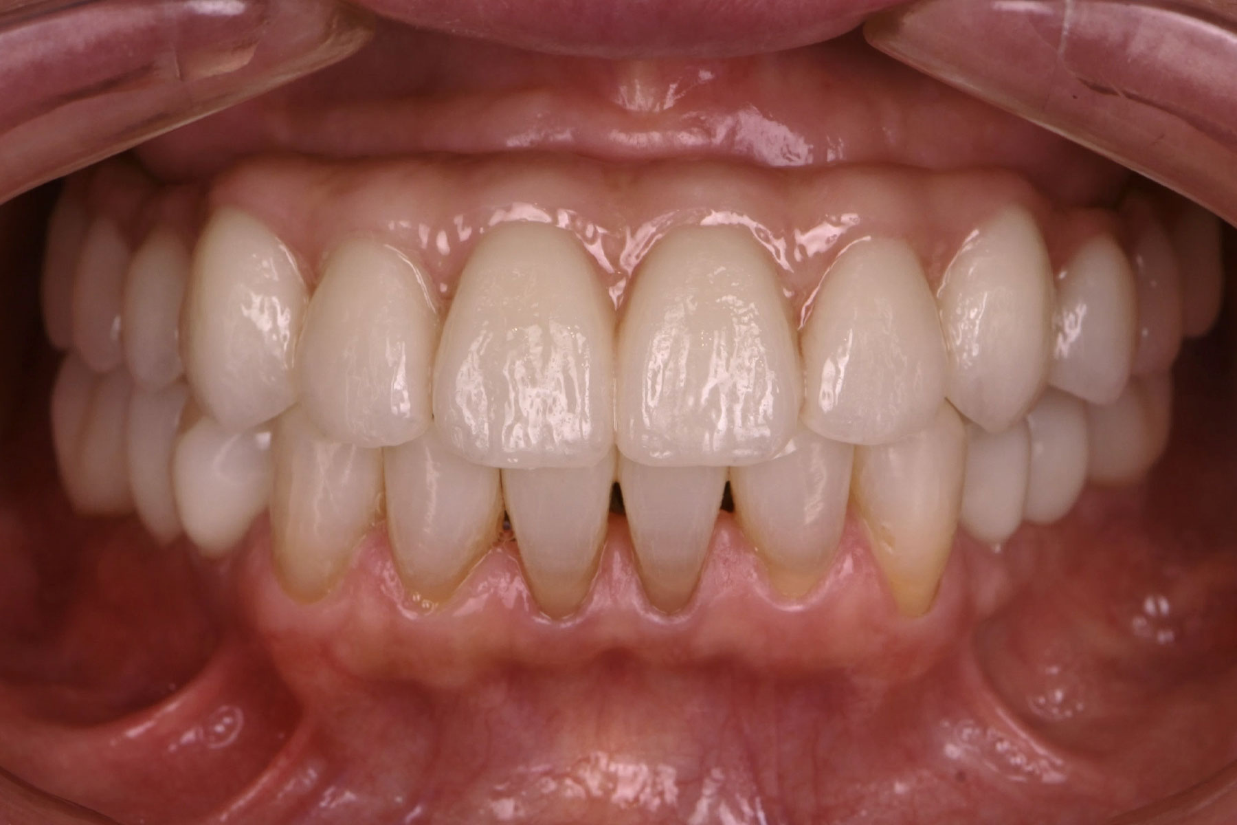
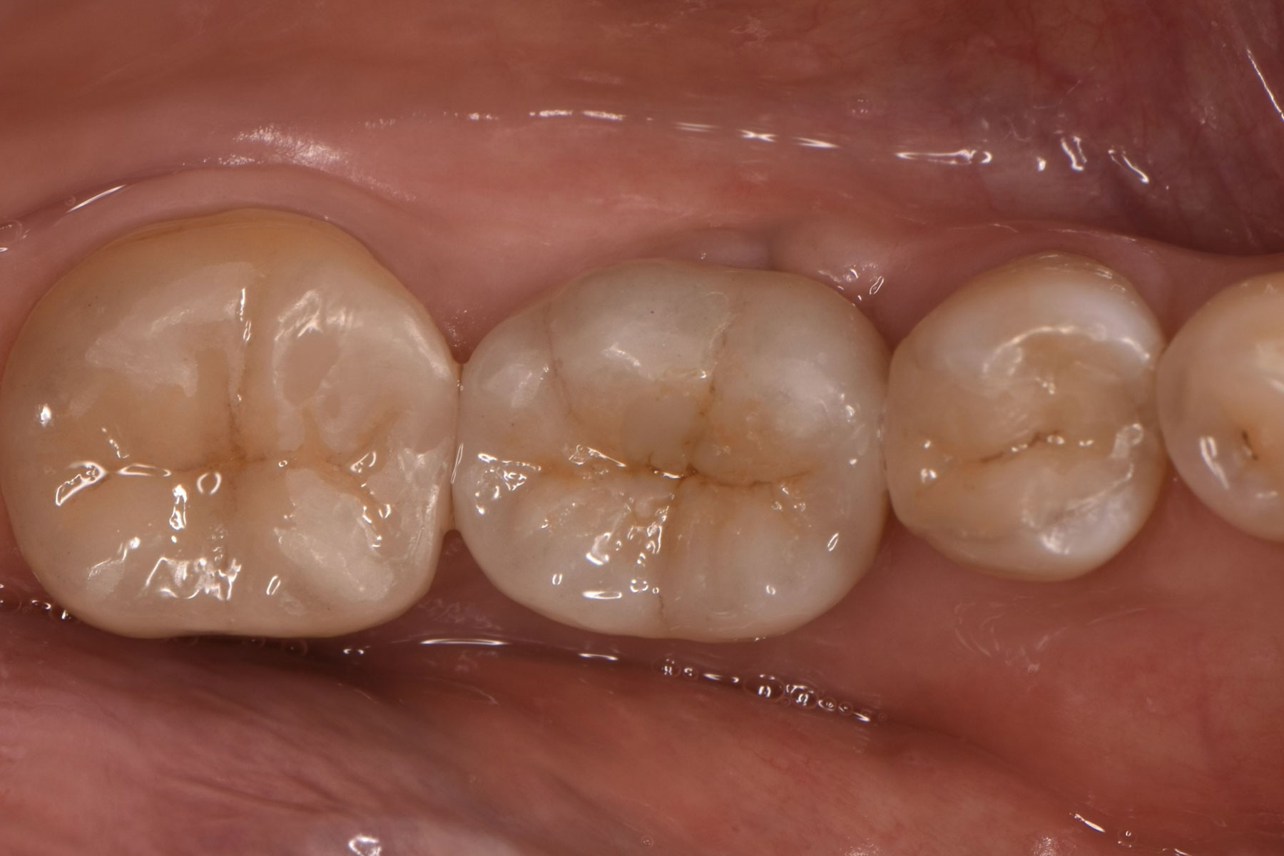
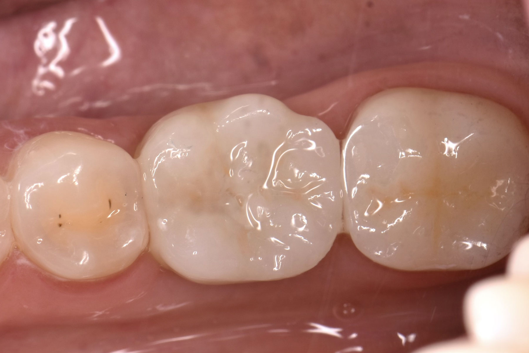
【CASE03】3本以上のインプラント
-
Before
-
After
| 年齢 | 74歳 |
|---|---|
| 性別 | 男性 |
| 治療期間 | 3ヶ月 |
| 治療方法 | インプラント3本 |
FLOW
インプラント治療の流れ
-
01.
来院予約・お問い合わせ
01.
来院予約・お電話でお問い合わせ
まずはお気軽にご相談ください。
-
02.
インプラント無料相談
02.
インプラント無料相談
レントゲンや歯科用CTで撮影し、目で見えない部分まで確認します。また、口腔内写真や型取りも行い、場合によっては顔貌写真も撮影します。
-
03.
精密検査
03.
精密検査
詳細な検査の結果をもとに、お一人お一人に合った治療計画をご提案いたします。
具体的な治療方法のほか、治療期間、治療にかかる費用、可能性のあるリスクなどを詳しくお伝えします。不明点や疑問がありましたら、ご納得いただくまでご説明いたします。 -
04.
診断・治療計画説明
04.
診断・治療計画説明
手術を行う日が決まったら、直前にお口の中を清潔に保つためのクリーニングを行います。手術の際にサージカルガイド(インプラントを埋入する位置や角度を示したもの)を使用する場合は、問題がないか検査をします。
-
05.
手術当日
05.
手術当日
衛生管理を徹底した部屋で手術を行います。インプラントの安定性を確認して、可能な場合はこの日に仮歯を装着します。
-
06.
型取り
06.
型取り
お口やインプラントの状態を確認し、インプラントに被せる人工歯を製作するために型取りを行います。
-
07.
人工歯の装着
07.
人工歯の装着
見た目も自然で機能的な人工歯ができあがったら、装着します。
当院では、基本的にセラミック(e-max、ジルコニア)で製作しています。装着後、問題なければメンテナンスに移ります。 -
08.
定期的なメインテナンス
08.
定期的なメインテナンス
インプラント治療は、定期的なメインテナンスが重要です。歯周病のような「インプラント周囲炎」を予防し、噛めることを維持するためにも、お口の健康を保ちましょう。
PRICE
インプラント料金
| 検査・診療代 | 22,000円(税込) |
|---|---|
| 埋入代 | 220,000円(税込) |
| 上部構造代 | 154,000円(税込) |
OPTION
オプションについて
| 歯肉弁根尖側移動術 | 22,000円(税込) |
|---|---|
| 遊離歯肉移植術 | 44,000円(税込) |
| ダイナミック ナビゲーションシステム |
44,000円(税込)〜 |
| GBR | 11,000円(税込)〜 |
| グラフトレス サイナスリフト |
22,000円(税込) |
| 結合組織移植術 | 44,000円(税込) |
| 抜歯即時埋入 | 11,000円(税込) |
| ルートメンブレン ポンティック |
22,000円(税込) |
| ルートメンブレン テクニック |
33,000円(税込) |
| 即時プロビジョナル | 22,000円(税込) |
| インプラント プロビジョナル 2回目以降 |
11,000円(税込) |
| AGCゴールドキャップ | 55,000円(税込)〜 |
FAQ
よくある質問
- カウンセリングは
本当に無料ですか? -
仙台イーストデンタル 院長沼田 洋孝
はい、無料です。
約45分のカウンセリングを無料で行っておりますので、まずはお気軽にご相談ください。
毎月10名限定
無料相談実施中!
-
Point.01
-
インプラント治療期間 最短2ヶ月半〜
-
Point.02
-
寝ている間に無痛インプラント
-
Point.03
-
インプラント保証制度最長10年保証
まずはお気軽に
「無料相談」にお越しください!
お電話・WEBにてご相談のご予約を受け付けています。
お気軽にお問い合わせください。



















