根管治療
根管治療について

根管治療(歯内療法)とは?
- 歯がズキズキと痛む
- 歯の根の治療がなかなか終わらない
- 過去の治療で抜歯だと言われた
むし歯が重症化すると歯の根っこにまで感染が広がって炎症を起こし、強く痛みます。
むし歯菌に感染した神経を取り除き、空洞になった管の中を殺菌・消毒してから薬剤を詰め、無菌に近い状態で密閉することを根管治療(歯内療法)といいます。
当院では症状やご希望に応じて、CTやマイクロスコープ、ラバーダム防湿、先進的な根管治療用の高周波治療器具を使用した精密な根管治療を行っております。
現在は根管治療によって歯を残せる可能性が広がっています。過去に「抜歯しかない」と言われたことがある方も、遠慮なく当院へご相談ください。
むし歯が根っこまで達した
歯を守る治療
むし歯を放置すると、むし歯菌の感染が歯の根っこの方まで進行します。
根っこには神経や血管があり、そこまでむし歯が及ぶと、歯が抜けてしまうこともありえます。
歯を失うことを避けるために行うのが、「根管治療」です。
このようなお悩みはありませんか?
- むし歯の痛みがひどくなっている
- 何回も歯の根の治療をしている
- 歯の中に膿が溜まっていると言われた
- 抜歯した方がいいとすすめられた
根管治療について

根管とは?
歯の根っこの内部には、歯髄が通る「根管」という管があります。根管は枝分かれしたり、曲がっていたりと、複雑な形をしています。その中を通る歯髄は、歯の刺激を脳に伝える神経と、歯に栄養や酸素を届ける血管などで形成されている重要な組織です。
むし歯が根管内に達すると
むし歯が進行して歯髄まで到達すると、飲食時に強くしみたり、何もしなくてもズキズキ痛みが出たりします。こうなると、歯を残すための「根管治療」か、悪くなった歯を抜く「抜歯」を選ばなければいけません。当院では、可能な限り歯を残すために、根管治療をご提案しています。
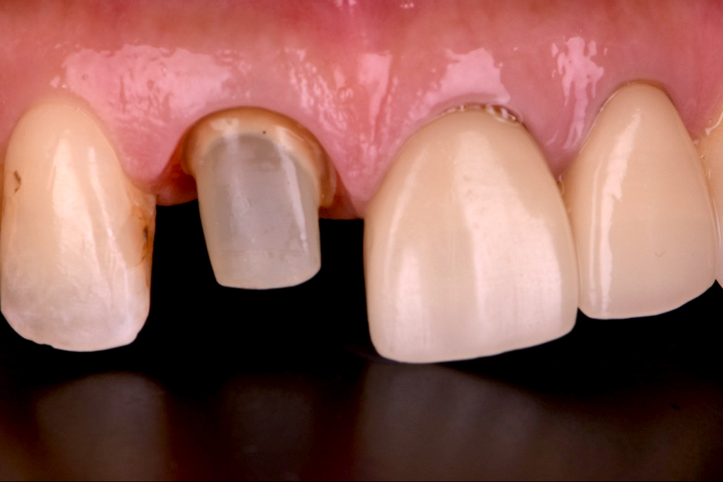
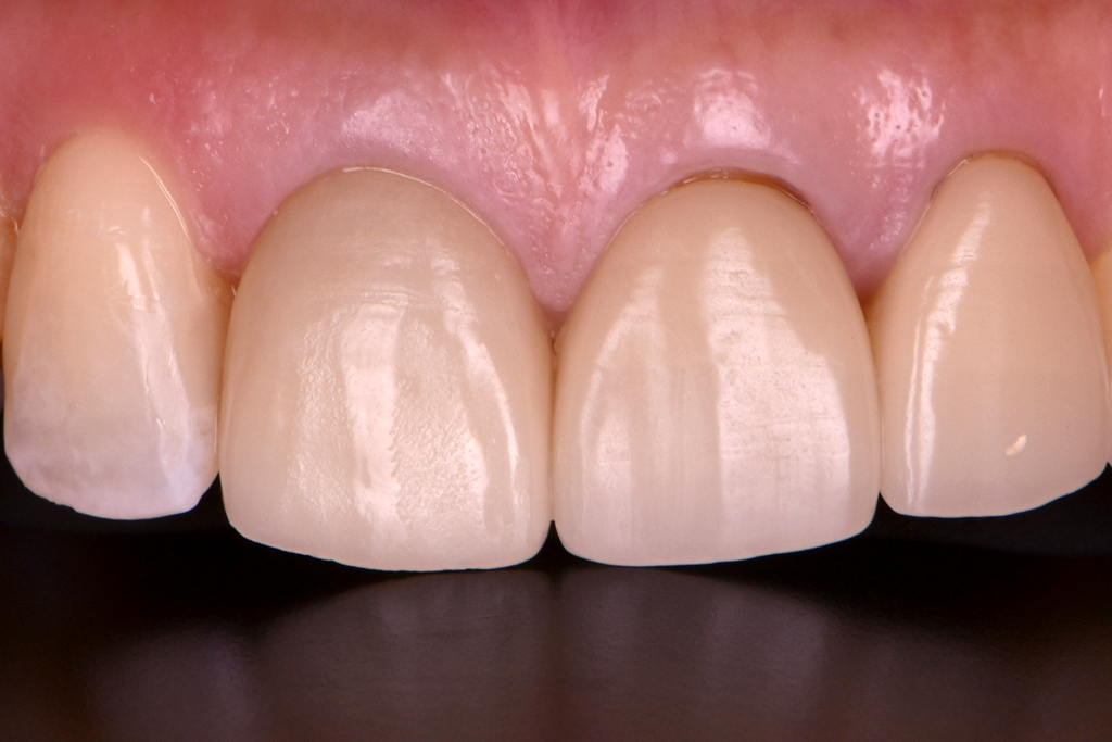
根管治療の内容
むし歯菌に感染した歯髄を除去してから、根管の内部を丁寧に清掃します。きれいになったら薬を詰めて無菌に近い状態を保ちつつ、詰め物・被せ物を装着してフタをします。昔は歯髄まで感染が広がると抜歯しか方法がありませんでしたが、現在は歯を残せる可能性が広がっています。(症状によっては歯を残せない場合もあります)
根管治療の流れ
精密検査
歯の根っこの状態を確認するために、むし歯が悪化した歯とその周囲のレントゲン写真を撮影します。

歯を削る
歯髄が見えるところまで歯を削り、根管をきれいにする準備を行います。

歯髄の除去
細い針金のような「ファイル」という器具を使い、感染した歯髄を取り除きます。歯髄が残ってしまうと再発の可能性もあるので、何回かに分けて根管内の歯髄をきれいに除去します。

根管の清掃
空洞になった根管内を洗浄して消毒します。根管は細く複雑な形をしているので、時間をかけて丁寧に清掃します。

薬剤で充填する
根管内の形を整えて、薬剤をすき間なく詰めます。細菌が侵入して再発することのないよう、すき間なく充填します。

仮止め
根管内を充填したら、土台を作って仮歯でフタをします。詰め物・被せ物を製作して、装着したら治療完了です。

当院の根管治療の特徴
マイクロスコープ
小さな患部を裸眼の約20倍まで拡大できる歯科用の顕微鏡です。根管の直径は1mmにも満たないので、マイクロスコープを使うと、患部の状態をしっかり確認できます。
治療の精度が飛躍的に高まり、再治療のリスク低減にもつながります。

マイクロスコープによる精密な治療
マイクロスコープ(デジタル顕微鏡)は、心臓外科や脳神経外科など医科の分野で多く使用される機器です。これを歯科に応用することで、治療の制度を飛躍的に向上させることができます。機器自体が高額であり、また機器を使いこなすには熟練した技術が必要であることから、現在の国内の歯科業界における導入率は数%とも言われております。
当院では、治療経験を重ねた歯科医師がマイクロスコープを駆使することで、肉眼では見えないレベルまでこだわる緻密な根管治療を行っています。一つひとつの工程を緻密に行うことで、従来の治療では“抜歯”の選択を迫られた「歯を保存できる」可能性を最大限に高めます。
ラバーダム
治療する歯だけを露出して、唾液などが患部に侵入しないように保護する薄いゴム状のシートです。再感染予防のほか、薬剤などが口腔内に流れ込むことも防ぎます。ラバーダムの使用により、根管治療の成功率が格段に上がります。

ラバーダム防湿による無菌的処置
ラバーダムを使用する目的として、以下のような重要な役割が挙げられます。
- 無菌的処置(治療する歯に唾液などが
かかるのを防ぐ) - 治療時に術野を見えやすくする
- 治療時に使用する薬品が口の中に
流れるのを防ぐ - 器具が誤って口の中に入るのを防ぐ
精度の高い根管治療を行うには、無菌的環境のもとでの処置が不可欠です。
ラバーダム防湿とは、根管治療を行う際、治療する歯にラバーダムというゴムのシートを掛けることで術野に唾液等が入り込むのを防ぐことができます。
歯科先進国アメリカなど海外の根の治療の専門医は、このラバーダムを100%使用していますが、日本ではこのラバーダム防湿を行っていない医院が多く、それが国内の歯科医院における根管治療の成功率が低い理由として挙げられるほど、重要な役割をもつ医療器具です。
歯科用根管長計測器
根管治療で重要なのは、複雑な根管内をどれだけ無菌に近い状態にできるかということです。
この機器は根管の長さを精度高く測定し、治療器具が届きにくい部分も高周波によって治療を可能にします。
痛みに配慮した治療
麻酔注射の痛みが苦手な方のために、なるべく痛みを抑えるように努めています。
注射の前に歯ぐきの表面麻酔を行い、針を刺す際の痛みを軽減しています。
麻酔や痛みが苦手な方も
安心の治療への取り組み
表面麻酔
当院では、麻酔の針が入る時のチクッとする痛みが苦手という方のために、事前に歯茎に塗るタイプの表面麻酔を行っています。
痛みをほとんど感じることなく治療を進めることができます。
電動麻酔機
麻酔を行う際に感じる痛みは、刺した時の痛みと麻酔液を注入する際に生じるため、電動注射器を用いて一定の速度で麻酔液を注入することで、痛みをほとんど感じることなく麻酔することができます。
超極細の針
麻酔で使う針も非常に細いものを使用することで、麻酔を施す際の痛みを抑えることができます。
カートリッジウォーマー
麻酔注射をするときに感じる痛みの原因の一つとして、麻酔液の温度と体温の温度差があります。
カートリッジウォーマーで事前に麻酔液を人肌に温めてから用いることで、麻酔注射による痛みを少なくすることができます。
丁寧な説明と優しいお声かけ
治療前の丁寧な説明はもちろん、治療中にも常に患者様の小さな反応も見逃さないように気を配り、スタッフと連携して優しくお声がけをしています。
少しでも気になることがありましたら遠慮なくお申し付けください。
保険診療と自由診療

根管治療は、「保険診療」と「自由診療」で内容が異なります。
保険診療では使用できる治療器具や設備に制限がありますが、自由診療ではその制限がありません。
治療の精度や満足度を高めるために、よりよい器具や設備を使用することができます。
| ファイル (根管内を 清掃する 器具) | 柔軟性のあるニッケルチタン製。 根管の形に合わせてしなやかに曲がり、根管内の先端まで届きます。 | 硬めのステンレス製。 歯髄をかき出すパワーがありますが、曲がったところには入り込めません。 |
| マイクロ スコープ | 使用できます。肉眼の約20倍に患部を拡大できます。 | 時間的な制約があるため、使用しないことが多いです。見えにくい部分は歯科医師の経験や勘が頼りになります。 |
| ラバーダム | 使用できます。細菌が患部に侵入することを防ぎます。 | 時間的な制約があるため、使用しないことが多いです。使用しない場合は細菌が侵入しないように細心の注意が必要です。 |
| 充填剤 | 殺菌や骨再生の機能がある薬剤を使用できます。 すき間なく根管を埋めることができます。 | 天然のゴムで作られた棒状の歯科材料を詰めます。 根管内にすき間ができる可能性があります。 |
| 通院回数 | 1回の治療に時間をかけられるので、通院回数を抑えられます。 | 1回の治療の時間が決まっているので、通院回数が多くなります。 |
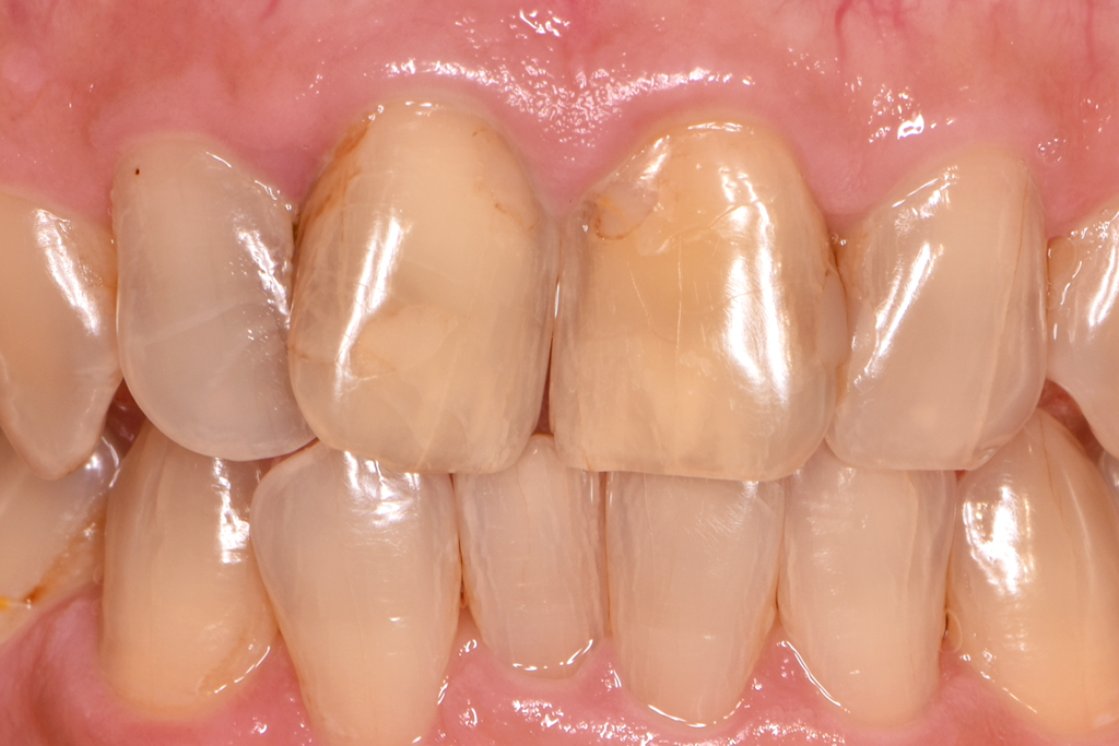
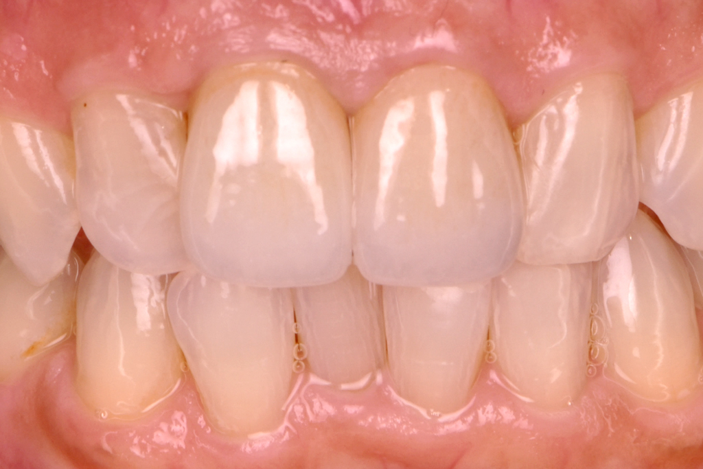
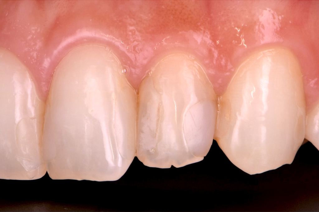
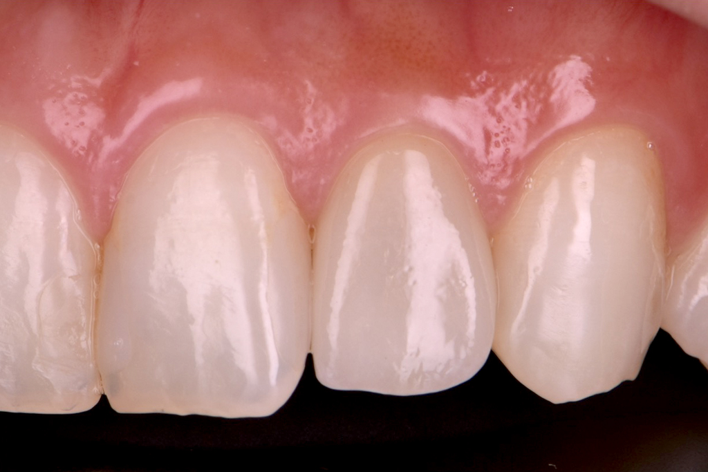
マイクロスコープを
使用した精密根管治療
根管治療中のお願い
治療は最後まで続けましょう
根管はとても細く複雑な形をしています。そのため、1回の通院だけではすみずみまできれいに清掃・消毒できません。
また、治療中は歯にあいた穴を仮にふさぐだけなので、治療をやめてしまうとむし歯菌が入り込んで再発してしまいます。
複数回の通院は大変かもしれませんが、ご自身の歯の健康のために、最後まで治療を続けましょう。
抗生物質は飲み切りましょう
処方された抗生物質を途中で飲まなくなってしまうと、その薬剤の耐性を持った細菌が増えてしまいます。
抗生物質は必ずすべて飲み切るようにしてください。
服用中のお薬は
事前にお知らせください
内科などで処方されて服用しているお薬の中には、歯科治療に影響を及ぼす成分が含まれている場合があります。
特に高血圧や骨粗しょう症などで通院されている方は、服用されているお薬を治療前にお知らせください。
歯に強い力をかけることは
やめましょう
根管治療の最中は、歯がもろくなります。
硬い食べ物を噛んだり、食いしばりをしたり、歯に強い力が加わることは避けてください。














