ホワイトニング
ホワイトニングについて

歯の色が気になる方へ
仙台イーストデンタルで
なりたい口元をめざしませんか?
「食事のときに黄ばんだ歯が見えるのがイヤだ」
「楽しく話していても、歯が気になって笑えない」
歯の色に自信がないと、このようにコンプレックスに感じてしまいます。
白く美しい歯は、表情を明るく見せ、健康的な印象を与えます。
口元に自信を持って、自然に笑えるようになるために仙台イーストデンタルで自分らしい歯をめざしましょう。
ホワイトニングとは
仙台イーストデンタルでは、専用の薬剤が着色汚れを分解して白さを取り戻すホワイトニングを行っています。黄ばみのある部分を削ったり、溶かしたりするのではありません。
歯科医院のクリーニングでも着色汚れを落とすだけですが、ホワイトニングは歯の色を明るくすることができます。
当院では3種類のホワイトニングを行っています。歯科医院で行うオフィスホワイトニング、ご自宅で手軽に行うホームホワイトニング、歯科医院でオリジナルのマウスピース型のトレイを製作してご自宅で専用の薬剤を使うカスタムトレイホワイトニングです。ご希望に応じてお選びいただけます。
また、ホワイトニングの方法を組み合わせて効率性を上げるデュアルホワイトニングもできます。両方行うデュアルホワイトニングなどの方法があります。
自分の歯の色を確認しましょう
今はどんな色でしょう?
なりたい歯の色はどれですか?
具体的に目標を設定してみましょう。

仙台イーストデンタルの
ホワイトニング
当院で使用するホワイトニングの薬剤はすべてウルトラデント社製の製品を使用しております。
オフィスホワイトニングでは過酸化水素系のオパールエッセンスBoostを使用しています。
安価なポリリン酸ホワイトニングでは表層の着色を落とすだけで、歯を内部から白くする効果はほとんどないとされています。しかし、当院で使用するオパールエッセンスBoostは歯を内部から白くする効果を医薬品として明記できるものですが、劇物指定されているため歯科医師の管理のもとでしか使用できません。
また、当院で取り扱うホームホワイトニング製品も過酸化水素、過酸化尿素を使用しており、漂白効果の高いものだけを厳選しておすすめしております。
ホワイトニングできない方
- 妊娠されている、もしくは授乳中の方
- 知覚過敏の症状が強い方
- 年齢が18歳未満の方
- 無カタラーゼ症(過酸化水素を分解する
酵素がない)の方
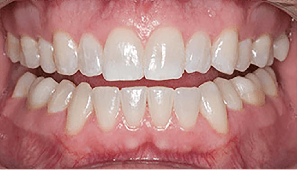
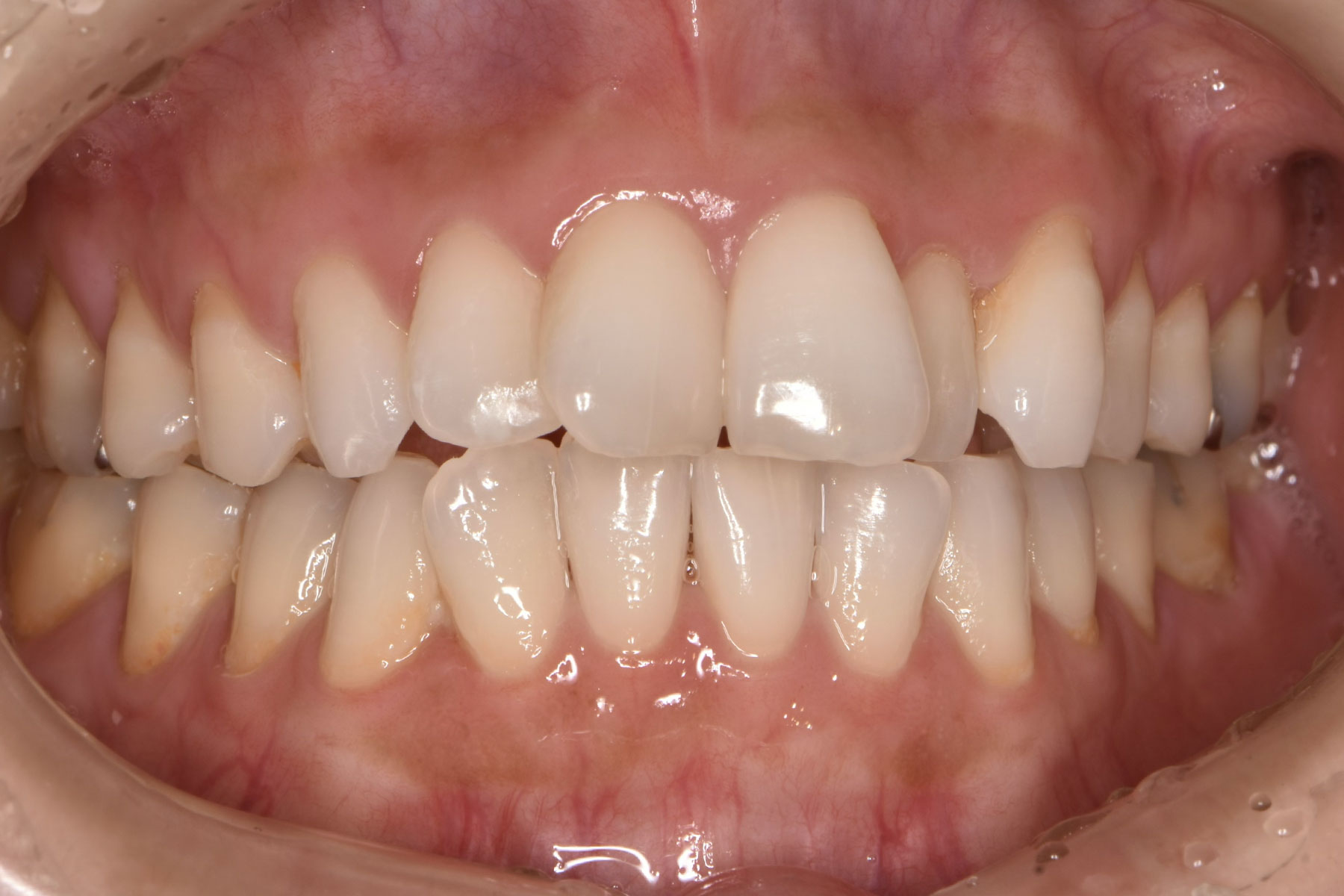
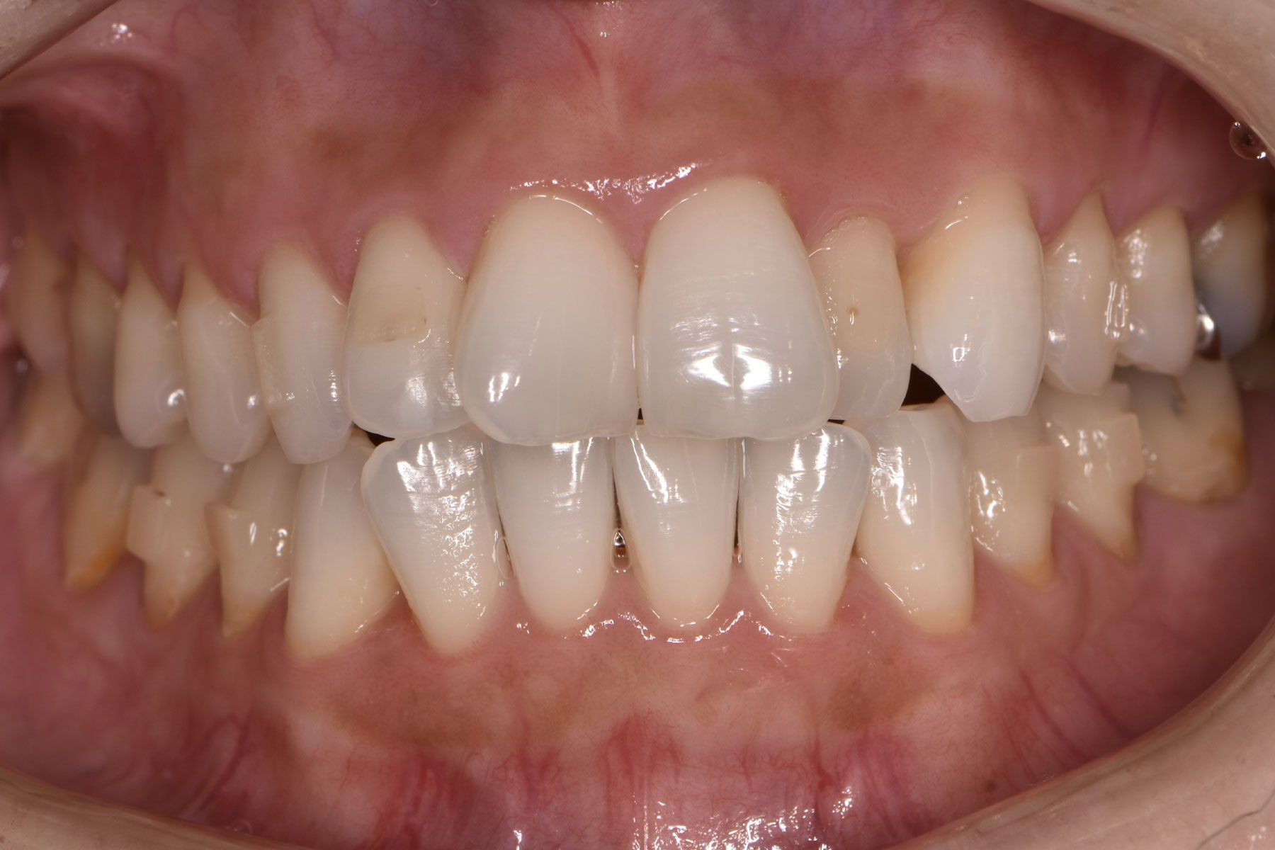
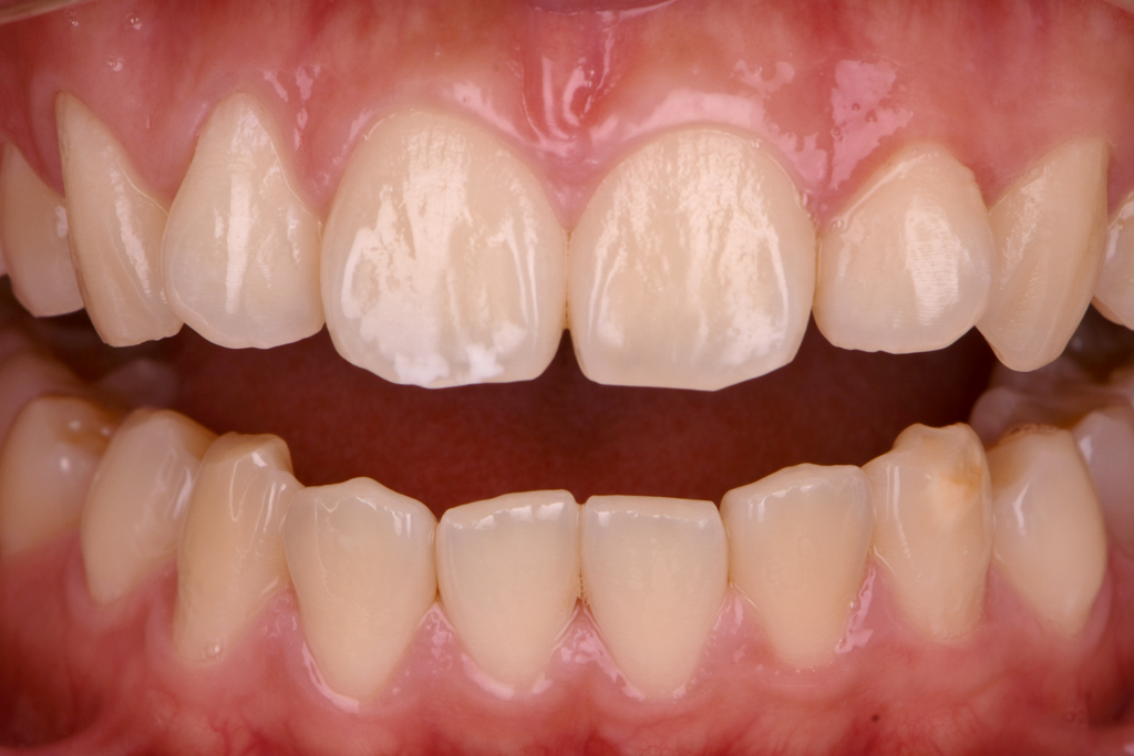
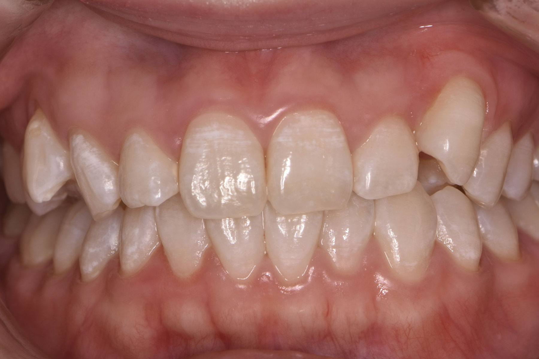
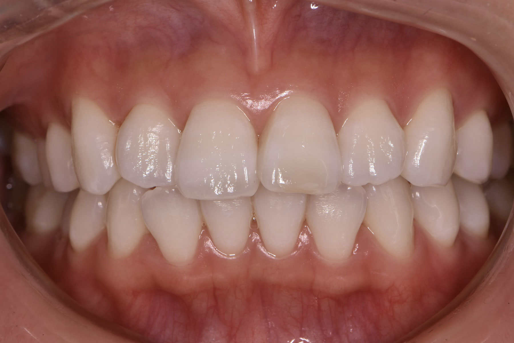
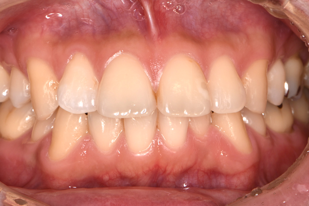
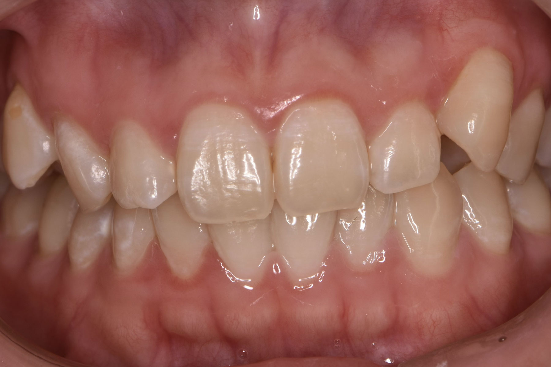
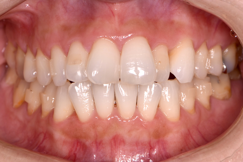
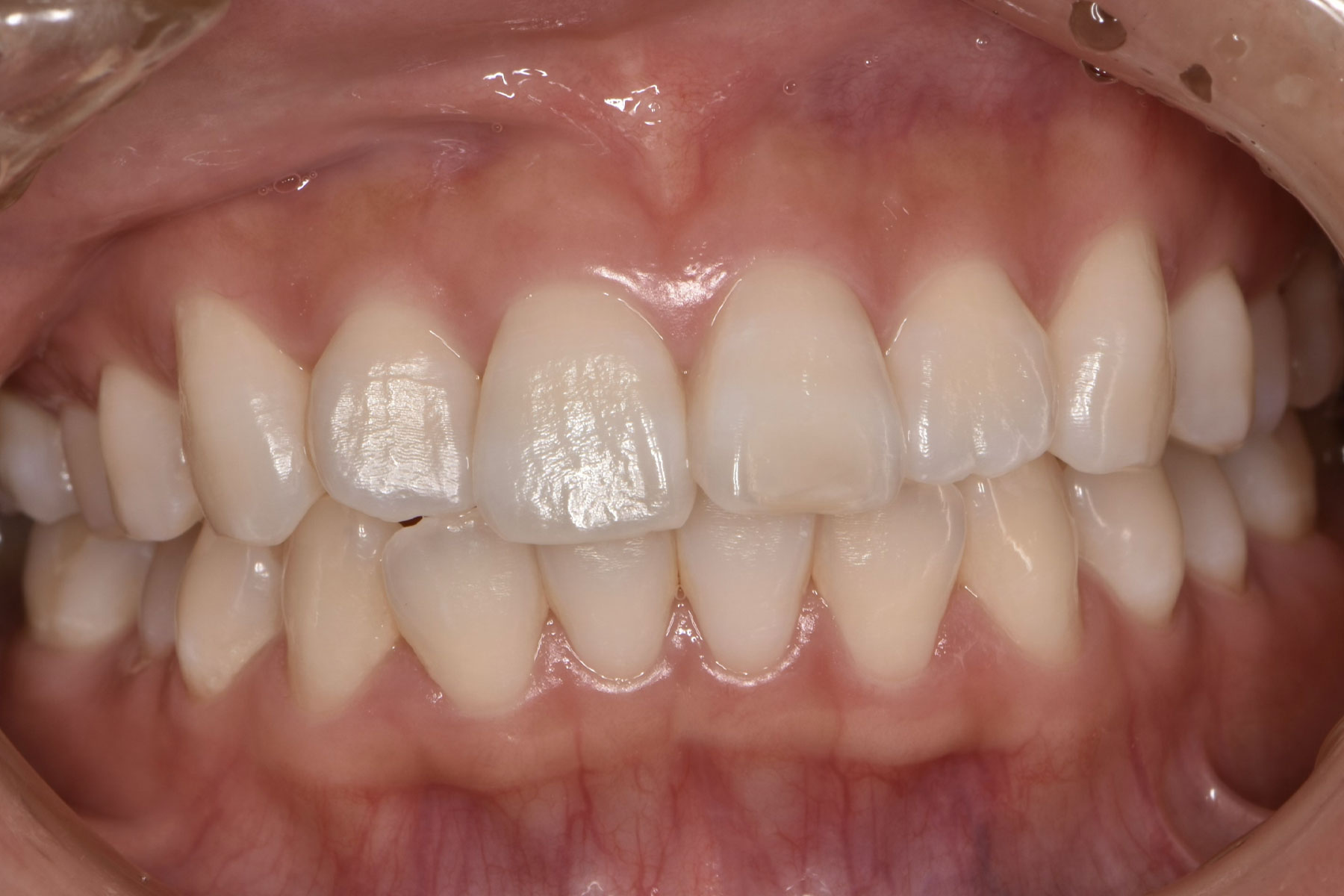
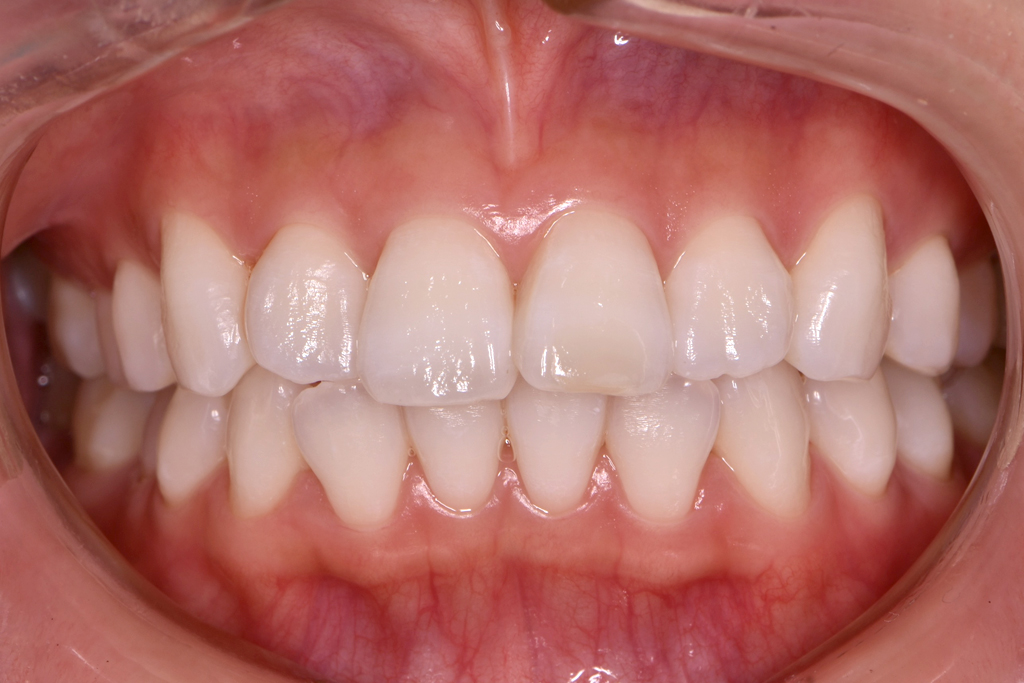
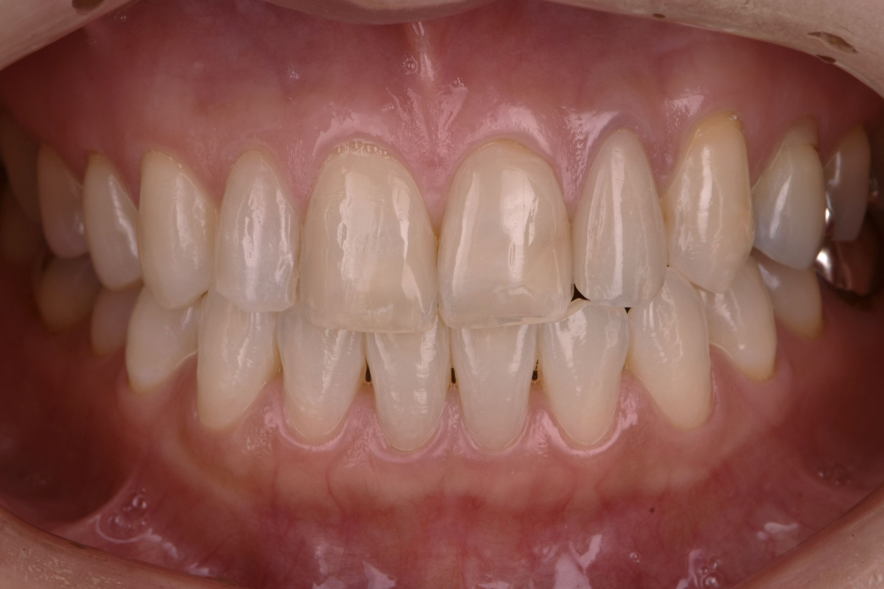
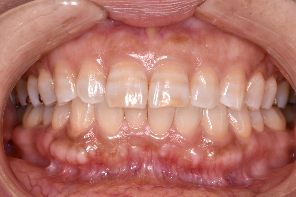
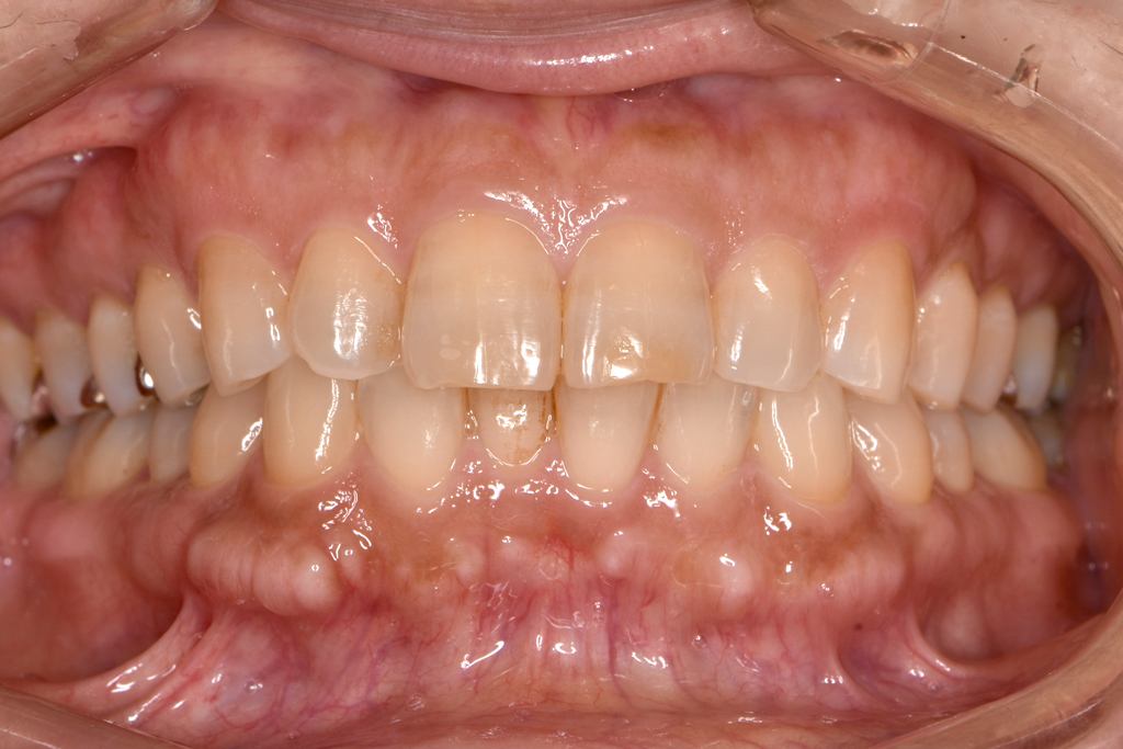
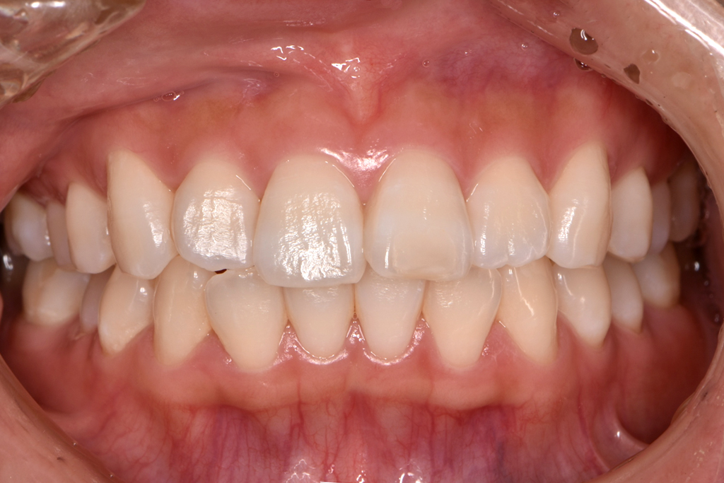
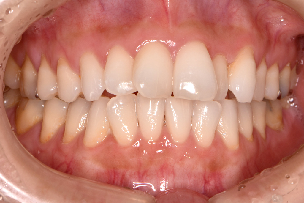
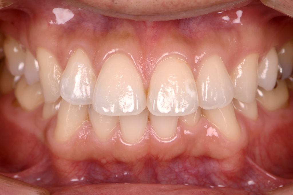
ホワイトニングの症例
ホワイトニングの
種類と特徴
横にスクロールできます→
| オフィス ホワイトニング | お手軽 ホームホワイトニング (Go) | カスタムトレー ホームホワイトニング | デュアル ホワイトニング | |
| ホワイトニング効果 | ◯ | △ | ◯ | ◎ |
| 白さの持続期間 | △ | △ | ◯ | ◎ |
| 治療期間 | ◎ | ◎ | △ | ◯ |
| 費用 | ◎ 24,200円 | ◎ 25,300円 | ◯ 35,200円 | △ 46,200円~ 73,700円 |
| 施術後の不快感 | △ | ◎ | ◯ | △ |
| おすすめ度 | ★★ | ★★★ | ★★★★ | ★★★★★ |
| こんな方へ | 早く白くしたい | 手軽に始めたい | 自然にじっくり 白くしたい | 明るい白さを 早く実感したい |
デュアル
ホワイトニングの
1日の流れ
口腔内診査・検査・診断
ご来院いただいてお口の検査を行い、ホワイトニングが適しているか診断します。
むし歯や歯周病が見つかった場合は、そちらの治療を優先して行い、その後ホワイトニングに移ります。
現在の歯の色とご希望の歯の色を患者様と一緒に確認し、ゴールを共有します。ご不明なことがあれば、おたずねください。
カスタムトレイホワイトニングの場合、お口の型取りを行います。

オフィスホワイトニング施術日
次のご来院のときに検査とクリーニングを行い、オフィスホワイトニングをいたします。
唇や歯ぐきを保護するガードを装着し、ホワイトニング専用の薬剤を歯に塗布して15分間待ちます。
その後、薬剤を落として新しい薬剤を塗布し、さらに15分間待つことを計3セット行います。
最後のセットが終わったら、歯の色を見て効果を確認します。そして、知覚過敏を予防する薬剤を塗布したら終了です。
ホームホワイトニングで使用するトレイや薬剤をお渡しして、ご自宅でも施術を行っていただきます。

経過観察・クリーニング
後日、ホームホワイトニングの経過観察を行います。お口の中をクリーニングしてから、歯の色を患者様と一緒に確認いたします。
ご希望の色まで白くなったらホームホワイトニングも終了です。
さらに白くしたい方は、薬剤を追加してホームホワイトニングを続けることもできます。

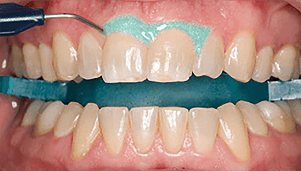
オフィスホワイトニング
施術方法
お口の中を検査して、歯の色を確認します。

歯ぐきを保護する薬剤を塗布します。

ホワイトニングの薬剤を塗布します。

終わったら、歯科医師と患者様で一緒に歯の色を確認します。

施術後のケアについて
オフィスホワイトニングが終わった際には、知覚過敏を予防するためのフッ化物バーニッシュを塗布しています。
フッ化ナトリウム5%を含む薬剤を、専用のレジンキャリアーによって歯面に停滞させることで、歯がしみて痛むのを軽減できます。
デュアル
ホワイトニングの
1日の流れ
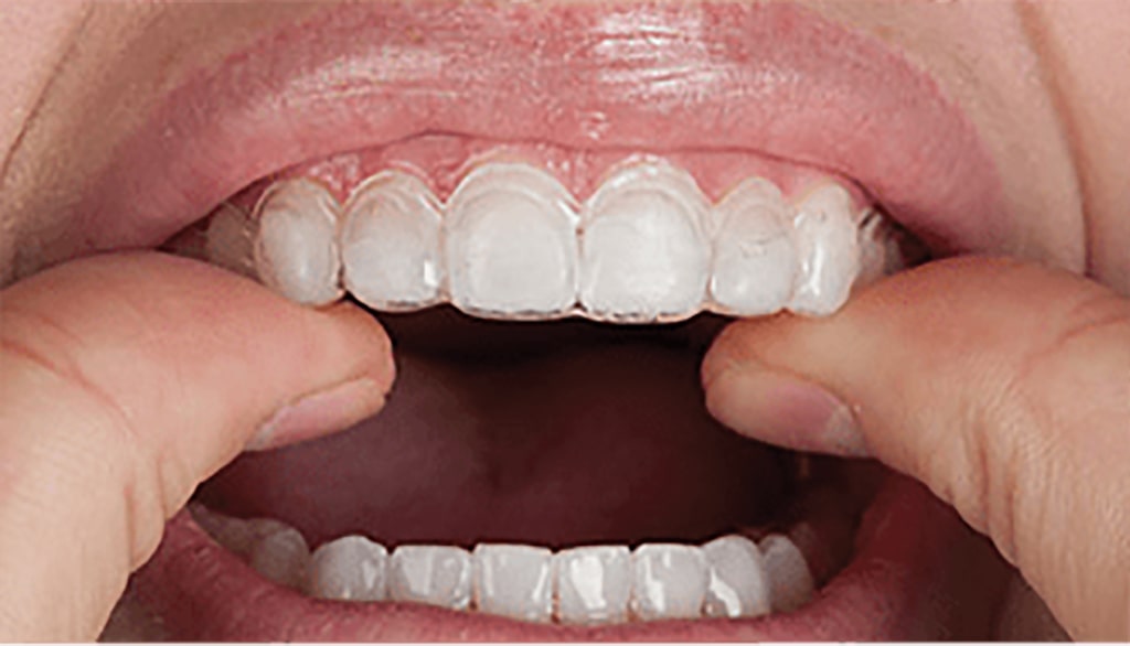
印象採得・カスタムトレー作成
お口の型取りを行い、患者様オリジナルのマウスピース型のトレイを製作いたします。

トレーのフィッティング確認・使用法、注意点説明
後日、できあがったトレイを装着していただき、問題がないか確認していただきます。ご自宅での使用方法などもご説明いたします。

カスタムホーム
ホワイトニング
施術方法
カスタムトレイにホワイトニングの薬剤を注入します。使用量や装着時間などは歯科医師の指示に沿ってください。

カスタムトレイを歯に装着します。装着方法などは事前に丁寧にご説明いたします。

はみ出した薬剤は、歯ブラシかティッシュなどを使って取り除いてください。

装着が終わりましたら、お口を水でよくすすいでください。薬剤が残っている感じがある場合は、歯ブラシで落とします。カスタムトレイに残っている薬剤も、歯ブラシで落としてください。

お手軽ホワイトニングの
オパールエッセンスGO
手軽にできるホームホワイトニングは、歯科医院で歯科医師がお口の中を検査した後にお渡しするホワイトニングキット「オパールエッセンスGo」を使用します。既製のトレイに薬剤もセットされているので、装着するだけでホワイトニングができます。

オパールエッセンスGOの流れ
既製のトレイを取り出します。上の歯と下の歯の2種類がパッケージにあるので、注意してください。

緑色の部分(アウタートレイ)を持ち、歯に装着します。

トレイを軽く噛み、中にセットされているトレイが歯に密着したことを確認します。

緑色の部分だけを取り外して、歯科医師から指示のあった時間を守って装着します。

時間が経ったら、トレイを取り外して歯磨きをします。

医療ホワイトニングの
メリット・デメリット

メリット
- 歯科医師が検査をしたり、適応できるか
診断するので安心感があります。 - オフィスホワイトニングは衛生的な
歯科医院で落ち着いて受けられます。 - 豊富な種類の中から自分に合った
ホワイトニングを選べます。 - ホワイトニングと合わせてお口全体の
トータルケアが可能です。
デメリット
- 知覚過敏の症状が出ることがあります。
- 通院の手間と時間が必要です。
- 自由診療なので費用がかかります。
ホワイトスポットのケア
歯の表面ある白い点をホワイトスポットといい、ホワイトニングを行うと目立ってしまうことがあります。当院では、ホワイトスポットに対してIcon治療を行っています。
費用
| 1本 | 40,000円 |
| 2本目以降 | 18,000円 |
約90分
テトラサイクリン歯、
もしくは歯の変色が激しい方も
ご相談ください
テトラサイクリン歯とは
テトラサイクリン歯とは、肺炎などの治療で使われるテトラサイクリン系の抗生物質を服用したことが原因で、茶褐色やグレーの縞模様のようなものがみられる歯のことです。
色以外は歯の健康状態に問題はないため、あまり積極的に治療されていません。治療方法としては、白いセラミック素材を使うことも可能ですが、症状によっては費用が60~300万円(当院の場合)ほどかかってしまいます。
仙台イーストデンタルでは、テトラサイクリン歯でお悩みの方も、心から笑顔になっていただくために、特別に長期間行うホワイニングメニューをご用意いたしました。歯の変色が激しくてお悩みの方も、同メニューで改善できる可能性があります。

テトラサイクリン歯対応
ホワイトニングプラン
| プレミアムホワイトニングコース オフィスホワイトニング 2Day 6Set 180分 カスタムホームホワイトニング 薬剤20本(約40日分) | 73,700円(税込) |
ホワイトニングの
よくある質問

Q. 歯のクリーニングとの
違いは何ですか?
A. クリーニングは、歯の表面に付着した汚れやタバコなどの着色を落とすことです。これに対してホワイトニングは、専用の薬剤を使って歯の内部から白く明るくすることです。
歯の表面が汚れていることが原因で色が気になっている場合はクリーニングだけでも白くなる実感はありますが、歯の内部に原因がある場合はホワイトニングがおすすめです。
Q. 施術するときに
痛みはありますか?
A. むし歯の治療のように麻酔をしたり、歯を削ったりすることはないので、そのような痛みが起こることはありません。ただ、歯がしみる知覚過敏のような痛みを感じることがあります。
多くの場合は一時的なもので、知覚過敏用の歯磨き剤を使用すると軽減します。
Q. 誰でもホワイトニング
できますか?
A. 先天性の代謝異常症候群の方、無カタラーゼ症の方、妊娠している方、授乳中の方はホワイトニングができません。また、知覚過敏が強い方、重度の歯周病の方もやめておいた方がいいでしょう。
むし歯や歯が欠損しているなど、歯の健康に問題がある方も不適応です。ご自分があてはまるかわからない方は、一度ご相談ください。
Q. ホワイトニングの
安全性が心配です。
A. 使用する薬剤の主な成分は過酸化水素および過酸化尿素です。過酸化水素や過酸化尿素を使ってホワイトニングを行う過去に実績は多くあり、研究も進んでいます。
歯科医師の指示に従って使用していれば、お口の健康に問題が起こるようなことは報告されていません。
Q. 副作用などはありますか?
A. 歯がしみるような知覚過敏が起こることがありますが、多くの場合は一時的なものです。
ホームホワイトニングをしている途中で症状が出た場合は、一度中断して症状がおさまれば再開していただけます。
Q. 白くなったとわかるのは
どれくらいの期間が必要ですか?
A. 白さを実感できるまでには、個人差があります。オフィスホワイトニングではその日のうちに白くなったと感じる方もいらっしゃいます。
ホームホワイトニングは2週間ほどすると実感される方が多いようです。
Q. ホワイトニングをした後に
気をつけることはありますか?
A. 施術後に濃い色の食品を避けた方がよいといわれることもありますが、最近の研究ではその必要がないとされています。
しかし、日々の着色汚れは蓄積されていくので、定期的なクリーニングをおすすめしています。
また歯の色が気になった場合は、2週間に1回ほどホームホワイトニングを続けると白さをキープできます。
色の後戻りについて

現在はホワイトニング後に濃い色の食品などを摂取してもホワイトニング効果に変化はないと研究結果が出ております。
しかし、コーヒーなどによる歯の表面の着色は付着するため、定期的に受診していただきプロフェッショナルクリーニングをしていただくことをおすすめしております。
また、二週間に一回程度の継続的なホームホワイトニングをしていただくだけで白さをキープすることが可能です。
ホワイトニングの料金表

| オフィスホワイトニング オパールエッセンスBoost使用 1Day 3Set 90分 | 24,200円(税込) |
| お手軽ホームホワイトニング オパールエッセンスGoを処方 | 25,300円(税込) |
| カスタムホームホワイトニング カスタムトレー作成 10%薬剤処方12本分(約24日分) | 35,200円(税込) 追加薬剤4本 3,300円(税込) |
| お手軽デュアルホワイトニング オフィスホワイトニング +オパールエッセンスGo | 46,200円(税込) |
| カスタムデュアルホワイトニング オフィスホワイトニング +カスタムホームホワイトニング | 56,100円(税込) |
| プレミアムホワイトニングプラン 〈変色歯やより白い歯を目指す方へ〉 オフィスホワイトニング2Day6set 180分 カスタムホーム薬剤20本(約40日分) | 73,700円(税込) |




















