予防歯科
(クリーニング・
定期検診)
予防歯科とは

- むし歯・歯周病から歯を守りたい
- むし歯を再発させたくない
- いつまでも自分の歯で食事をしたい
むし歯や歯周病は、「病気になる前に予防する」ということが重要です。
当院では口腔内の検査を行った上で、むし歯や歯周病を予防するための治療のほか、認定歯科衛生士による歯垢や歯石の除去などのケアを行います。
さらに、適切な歯磨きの方法をご指導するほか、定期検診やプロによるお口のクリーニングなどでむし歯や歯周病のリスクを軽減し、皆様のお口の健康をお守りいたします。
「歯周病の認定医」と
「認定衛生士」が在籍する歯医者
当院の院長は日本歯周病学会の認定医です。さらに、認定衛生士も在籍し、口腔管理のプロフェッショナルによる専門的な予防管理・メインテナンスをご提供しております。
当院は、『予防管理型歯科』を推進する歯医者として、歯の寿命を縮めるような安易な治療は決して行わず、また治療後は定期的な検診と予防メインテナンスを通じて、患者様と共に大切な歯をお守りすることを第一に考え抜く診療を行なっています。
“治療”と“予防”の違い・
予防管理型歯科とは?
しっかり「予防」して、
「治療」の必要のないお口へ
食べるときや話すときなど 、歯は生活するために必要な部分です。
1本でも失うと、快適な生活に支障が出るかもしれません。
仙台イーストデンタルでは詳細な検査のもと、いつまでもご自分の歯を守れるように、お一人お一人に適した予防ケアをご提案いたします。
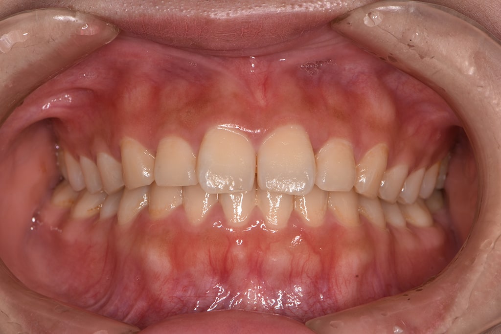
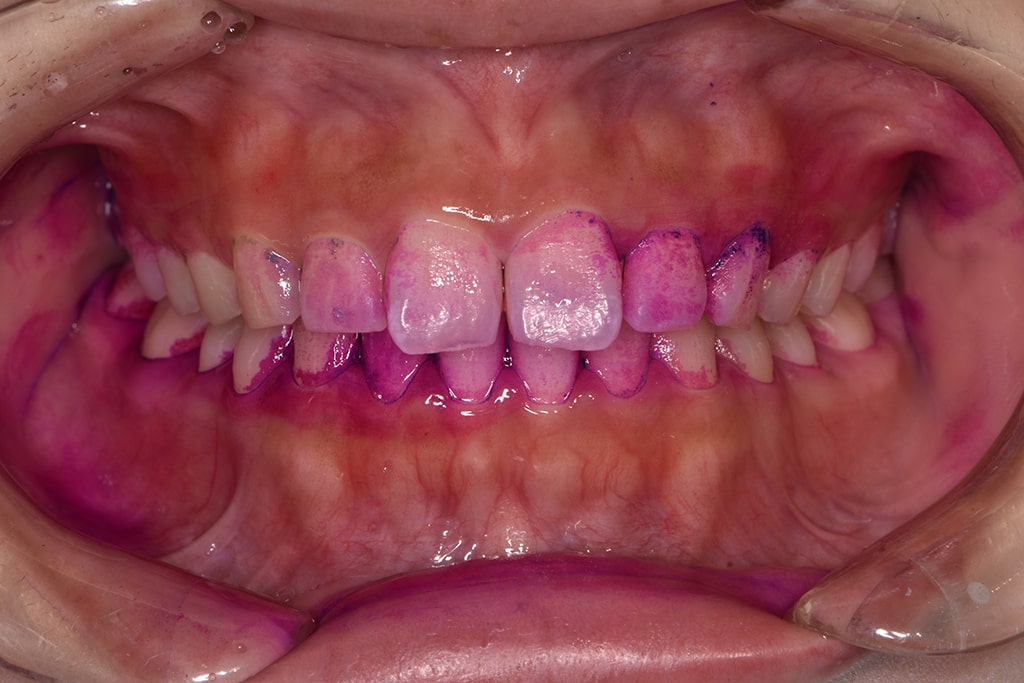
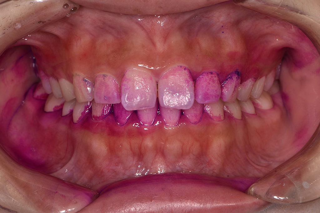
どこにプラークが付着しているか
分かりますか?


色素とプラーク内の酸の相互作用により、新しいプラークが赤く、古いものが青紫に、そしてう蝕リスクが高い場合は水色に染まります。この染め出しによって、患者様の口内の汚れが視覚的にわかりやすくなり、それが患者様のモチベーション向上に寄与します。
プラークの状態を可視化することで、治療や予防の努力が直接的な成果に結びつき、患者様のオーラルケアへのコミットメントが高まることが期待できます。
「予防管理型歯科」という役割
歯科の二大疾患といえば、「むし歯」と「歯周病」です。進行した場合は歯を失うこともある病気なので、できるだけかからないことが重要です。痛みがある、もしくは歯ぐきから血が出るなどの症状が出てから歯科医院に通う「治療中心の歯科」では、大切な歯を守りきれないかもしれません。
歯科先進国といわれるスウェーデンなどの諸外国に比べると、日本はお口の健康意識が低く、定期的な検診の受診率も低いとされています。
しかし、最近では少しずつ健康意識に変化が見られ、これからは定期的に検診やメインテナンスを受けることの重要性が広まってきています。
当院は従来の「治療中心の歯科」ではなく、「予防管理型歯科」として、地域の皆さまのお口の健康を見守ります。
健康な歯を守るケアを習慣に
歯科医院にはどのようなときに行こうと思いますか?
「歯が痛くなったとき」「詰め物が取れたら」など、何か悪いことが起こってから行くという方が多いかもしれません。
しかし、一度むし歯になった歯は再発のリスクが高くなり、さらに特に自覚症状がなくても歯周病が進行しているという可能性もあります。お口が健康であるかどうか、歯科医院で検診を受けない限りはわかりにくいものです。
いつも健康な状態を保つためには、予防のためのケアと定期的なメインテナンスを習慣化することが大切です。
もしむし歯や歯周病になったとしても、早期に発見できて対応も早くできるので、歯のダメージを抑えることができます。
予防やメンテナンスの重要性
永久歯は、一度失ってしまうと再生することはありません。
日本人が歯を失ってしまう主な原因の一つは歯周病で、多くの人がすでにかかっているともいわれています。
仮に40歳で歯を失ってしまうと、そこから平均寿命の80歳くらいまで、歯のない生活が続くことになります。
ほかの健康な歯に影響が及んだり、全身の不調につながることもあります。
入れ歯・ブリッジ・インプラントなど、歯の機能を補う治療はありますが、治療の時間や費用がかかり、何よりも自分の歯の使い心地にはかないません。
いつまでも健康で快適な生活を送るためには、歯を健康な状態にしておくということは重要なポイントです。
予防とメインテナンスの内容
歯科医院では、おもに お口の中にトラブルがないかチェックして、歯のクリーニング(PMTC)、フッ素塗布、ブラッシング指導などを行います。 ほかにも、お口の状態によってはレントゲン撮影や詳細な検査を行うことがあります。
インプラントの寿命を
長く保つために
(インプラント周囲炎の
予防方法)

インプラントの寿命を
長く保つために
(インプラント周囲炎の
予防方法)
インプラント周囲炎(しゅういえん)とは、「インプラントの歯周病」とも呼ばれる感染症のことです。インプラント周囲炎は、通常の歯周病と同様に、お口の中の細菌が原因となります。
当院は、術後のインプラント周囲炎などのトラブルを予防し、治療後の予防管理・メンテナンスにも力を注いでおります。
治療後の適切な予防管理を行えば、インプラントの10年後の残存率は90%以上とされており、生涯にわたり使い続けることが期待できます。
インプラント周囲炎を
予防するために出来ること
毎日の適切なセルフケアを実践する
ご自身のお口の健康を守るために日々のセルフケアが最も重要であることは、やはりインプラント治療後においても同じです。歯科衛生士の指導に沿って、歯ブラシや歯間ブラシなど適切なセルフケアグッズを活用しながら清潔な状態を保てるように努めましょう。
また、普段から自分の口の中の環境や変化に気を配るようにし、少しでも違和感を覚えた際には直ぐに歯科医に相談することも大切です。
定期的に歯医者の
メンテナンスを受ける
定期検診では、一人ひとりに合わせた正しい歯磨きの仕方などをレクチャーさせていただき、日々のセルフケアだけではどうしても落としきれない汚れを専門のクリーニングで綺麗にしていきます。
また、噛み合わせや人工歯(被せ物)の状態、日々の使用感や見過ごしている違和感が現れていないかなどもしっかりとチェックさせていただき、適宜必要な調整やメンテナンスを行います。
定期検診のペースは患者様のお口の状態によっても異なりますが、最初は手術の1ヶ月後に行い、その後の1年は3ヶ月に一回、2年目以降は3ヶ月〜半年に一回など徐々に間隔を開けて行うことが多いでしょう。個人差があるので担当医の指導に沿うようにしてください。
審美歯科治療を
長持ちさせるためには
定期検診が重要

セラミック治療によって快適できれいな口元になったとしても、治療後のメンテナンスを怠ると、さまざまなトラブルが発生する可能性があります。
また、土台となる天然の歯や歯茎の健康状態が悪化すれば、セラミックの寿命を縮める恐れもあるため注意が必要です。
メンテナンスを
怠った場合のリスク
- 歯周病の進行
- 二次カリエス(むし歯の再発)
- セラミックの破損や脱落
- 噛み合わせのズレ(顎関節症の原因など)
噛み合わせは時間の経過とともに変化していきます。メンテナンスを怠ると噛み合わせの変化に気づくのが遅れてしまい、結果としてセラミックの破損や脱落を引き起こしたり、他の歯を失うリスクを高めてしまうことや、顎関節症(がくかんせつしょう)や頭痛、肩こりなどの全身症状につながることがあります。
そのため、歯科医院での定期的な検診・メンテナンスをしっかりと受け、美しく健康的な状態をキープしていくことが大切です。
当院の
予防メインテナンスの
流れ
口腔内撮影
現在のお口や歯の状態を確認するために、口腔内の写真を撮影します。

デンタルエックス線写真撮影
肉眼では見えない歯の根や顎の状態なども確認できる写真を撮影します。
当院では、お口全体を1枚で写す「パノラマエックス線写真」と、細分化してより詳しく写す「10枚法」という撮影方法を用います。
10枚法は小さなむし歯や異変を見つけやすくなるので、パノラマエックス線写真と組み合わせて、的確で精密に現状を把握できます。

歯周組織検査
歯周病の有無や進行度を調べるために検査を行います。
歯周ポケットの深さや歯のグラつきなどを測定し、歯ぐきからの出血やプラーク(歯垢)が付着しているかもチェックします。

染め出しPCRとブラッシング指導
「染め出しPCR」とは、プラークに色をつけて付着具合を数値化することです。
さらに、染め出したプラークを効率的に除去するために、お一人お一人に適したブラッシング方法をお伝えいたします。

スケーリング・ポリッシング
毎日きちんと歯磨きをしていても、どうしても落としきれない汚れが残ります。そのため、細長い器具を使って汚れを除去する「スケーリング」を行います。
それから、汚れが再付着しにくくなるように歯の表面をなめらかに磨く「ポリッシング」に移ります。

PMTC
専用の機器と研磨剤を用いて、歯科医師や歯科衛生士のプロの手で行うクリーニングを「PMTC(Professional Mechanical Tooth Cleaning)」といいます。
歯にこびりついてご自身では落としきれないような汚れをすみずみまできれいにします。さらに、歯質を強化するフッ素塗布を行い、むし歯にならない歯をめざしましょう。
PMTCの流れ
バイオフィルムの除去
バイオフィルムとは、歯の表面に付着しているネバネバした細菌のかたまりのことです。日常の歯磨きでは、なかなか落とすことができません。
歯石などを除去してから、プロ用の清掃機器や研磨剤を使用してバイオフィルムを除去します。
歯がツルツルになって、汚れが再付着することを防ぐことも期待できます。

歯を徹底的にクリーニング
歯の表面だけでなく、歯と歯の間や、歯と歯ぐきのすき間などを清掃します。
自分では磨ききれない部分まで、デンタルフロス・歯間ブラシ・スーパーフロスなどを駆使してきれいにします。

フッ素塗布で歯質強化
仕上げに、歯の質を強化する働きのあるフッ素を塗布します。
お一人お一人に合わせて高濃度のフッ素を塗布し、むし歯菌に負けない歯をめざします。

ブラッシング指導
歯科医院で徹底的な予防ケアができるのは数ヶ月に1回程度なので、1年のうちほとんどはご自宅でのケアがメインになります。
ご自身で適切に磨けるように、歯ブラシやフロスの使い方など、お口に合ったブラッシング方法をお伝えします。
パウダーメインテナンス
非常に細かいパウダーを吹きつけて、歯の表面にこびりついた汚れを取り除きます。器具が届きにくい隙間にもアプローチできます。
当院では、NSKの超音波スケーラー「プロフィーメイトneo」を採用。プラークはもちろん、タバコのヤニなどの強固な汚れも除去が可能です。
また、歯面清掃パウダーの「フラッシュパール」を使用し、効果的に汚れを除去します。フラッシュパールは、歯面が傷つきにくい球状のパウダーで、なめらかに仕上がります。
歯の着色が気になる方、クリーニング後の歯をよりツルツルにしたい方におすすめです。
※自由診療です。治療費用2,200円(税込)
※呼吸器疾患がある方など、適応できない場合があります。
フッ素塗布
歯質を強化するフッ素を塗布します。
フッ素には、溶けだした歯を元に戻す「再石灰化」を促し、むし歯の原因菌の働きを抑える効果も期待できます。
PMTCのメリット
当院では、クリーニングの際にPMTCをおすすめしています。
歯がきれいになるということに加えて、むし歯と歯周病の予防という観点から、通常のクリーニング以上のメリットがあるからです。
- バイオフィルムが除去できる
- 着色汚れも除去できる
- 汚れがつきにくくなる
- 口臭予防
歯石除去をするだけでは、バイオフィルムや歯の着色までは落とせません。PMTCは、この2種類の汚れを落とすことができます。
また、バイオフィルムは口臭の原因でもある細菌のかたまりです。除去することで、口臭対策にもなります。
PMTCをすると歯の表面がツルツルになり、さらにフッ素塗布によって汚れが再び付着しにくくなります。
予防・クリーニングを
受けるメリット

定期的なメンテナンスで
歯の喪失は防げる
歯科先進国といわれるスウェーデンで、定期的なメンテナンスを30年間受けた人を対象に調査が行われました。
その結果、日本に比べて歯周病やむし歯によって歯を失う人の割合が非常に低いことがわかりました。
さらに、20~34歳の年齢層の抜歯本数は平均わずか0.4本。50~64歳と年齢が上がっても平均1.8本と低い数値をキープできています。
このことからもわかるように、定期的にメンテナンスを受けると長くご自身の歯を残すことができます。
しっかり噛んでおいしい食事を味わえ、ハキハキと話しておしゃべりを楽しめるので、健康的で快適な生活にもつながります。
健康的なお口を維持できる
歯の定期検診に通う方が80歳になったとき、残っている歯が約15本というデータがあります。
それに比べて、定期検診に通わなかった方は約8本。
歯科医院はご自身で落としきれない歯石やバイオフィルムまで除去できるので、むし歯や歯周病になりにくいお口を育てることができます。年齢を重ねても、自分の歯でおいしく食べられて元気に話せるようになります。
お口のトラブルを早期発見できる
3~6ヶ月に1回ほど歯科医院でチェックを行うと、小さなむし歯や初期の歯周病を早めに発見しやすくなります。
早期発見できれば、歯を削ったり複雑な治療を行ったりすることもなく改善をめざせる可能性が高まります。
むし歯や歯周病を放置すると、いずれは歯を失ってしまうことにもなりかねません。
お口にトラブルが起きたときは、できる限り早めに治療を始めることが大切です。そのためにも、定期的にメインテナンスを受けましょう。
費用と時間を節約できる
歯が痛くならないと歯科医院に行かない方は、数年に1回程度しか通院しません。
そのため、3ヶ月に1回の予防・クリーニングのための定期的な通院に対して「費用や時間がもったいない」と思われていることがあります。
しかし、実際にはむし歯や歯周病の発見が遅れると、通院が何度も必要になります。
さらに、費用も時間も余計にかかります。大切な自分の歯を失う可能性や、全身の健康へのリスクも出てくるでしょう。
つまり、定期的な検診やメインテナンスを普段から受けておくことで、結果的には時間も費用も節約でき、大きな安心につながるのです。
