【インプラント治療】奥歯で食事が出来ない
治療前
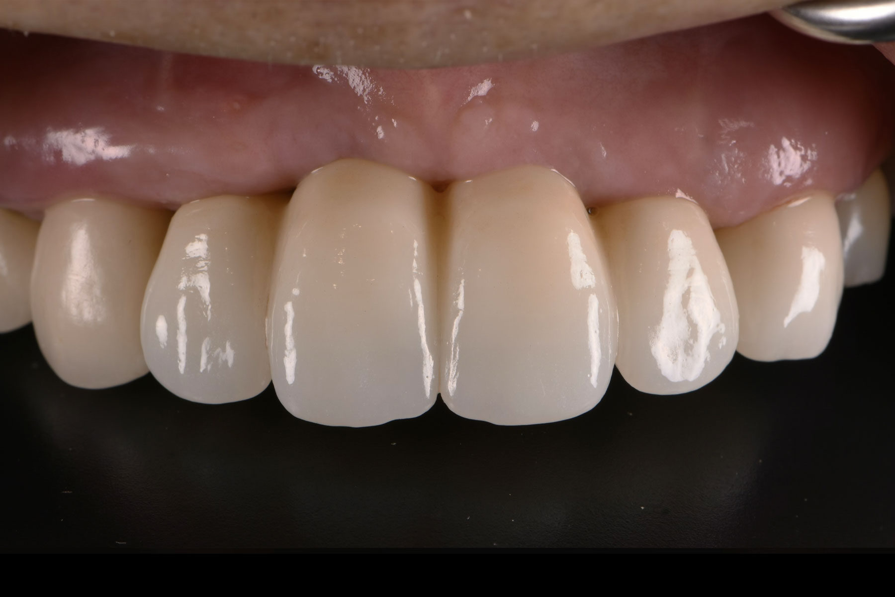
治療後
| 主訴 | 奥歯で食事が出来ない |
|---|---|
| 期間 | 3ヵ月 |
| 費用 | 506,000円 |
| 治療内容 | インプラント治療 |
| 治療に伴うリスク | 【インプラント治療】 ・身体の状態により手術に適用できない場合があります ・手術部位の感染や歯周病菌による感染の可能性があります ・手術時に神経を損傷し麻痺が生じる可能性があります ・手術後に出血や腫れが生じることがあります ・メンテナンス不良によりインプラント周囲炎が生じる可能性があります ・骨結合が不十分な場合、インプラントが脱落する可能性があります |




















