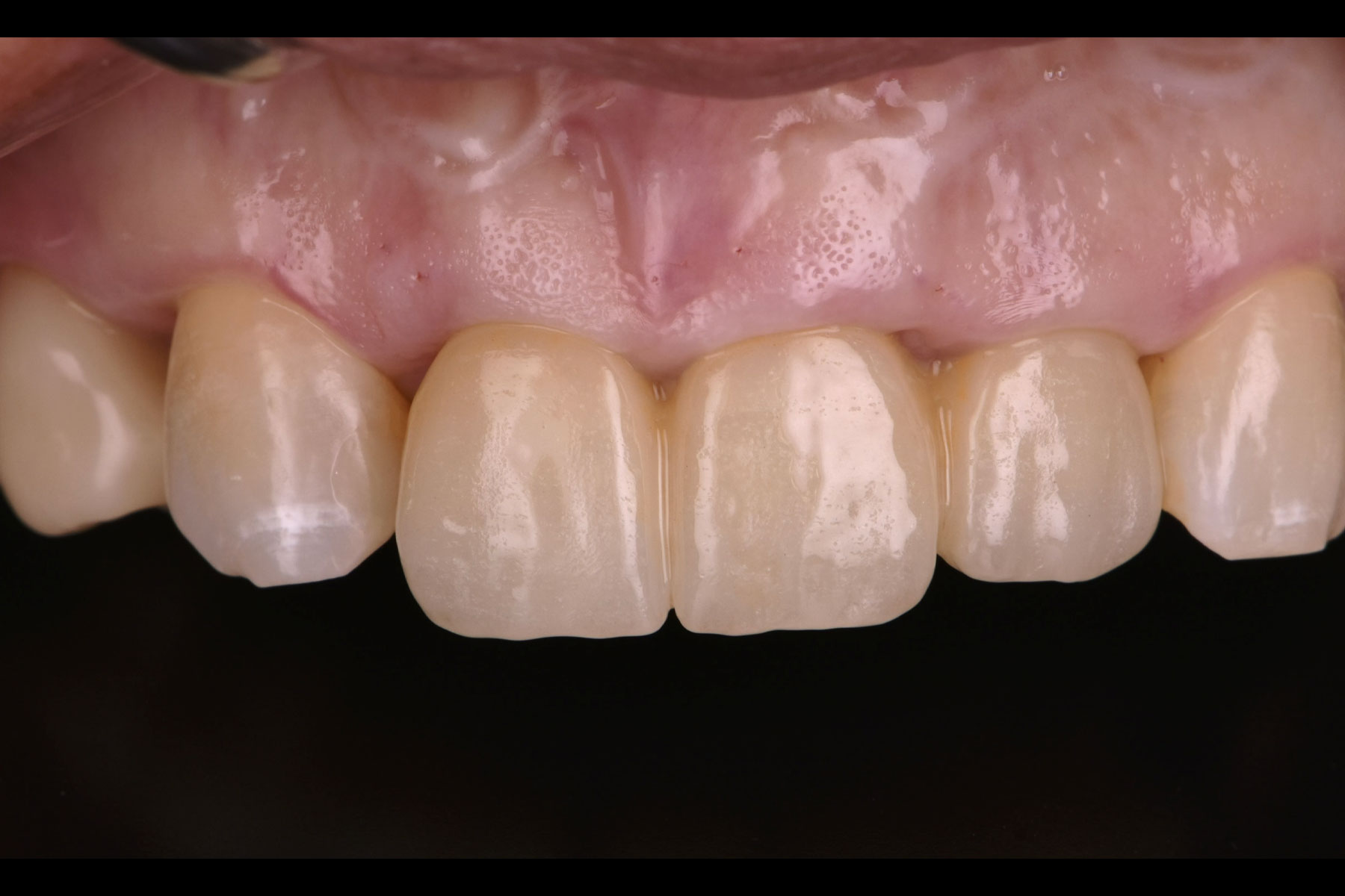
2本以上のインプラント
前歯のブリッジが
取れた
【インプラント治療】
- 主訴
- 前歯のブリッジが取れた
- 期間
- 3か月半
- 費用
- 1,650,000円
- 治療内容
- インプラント治療
- 治療に伴うリスク
- ・身体の状態により手術に適用できない場合があります
・手術部位の感染や歯周病菌による感染の可能性があります
・手術時に神経を損傷し麻痺が生じる可能性があります
・手術後に出血や腫れが生じることがあります
・メンテナンス不良によりインプラント周囲炎が生じる可能性があります
・骨結合が不十分な場合、インプラントが脱落する可能性があります
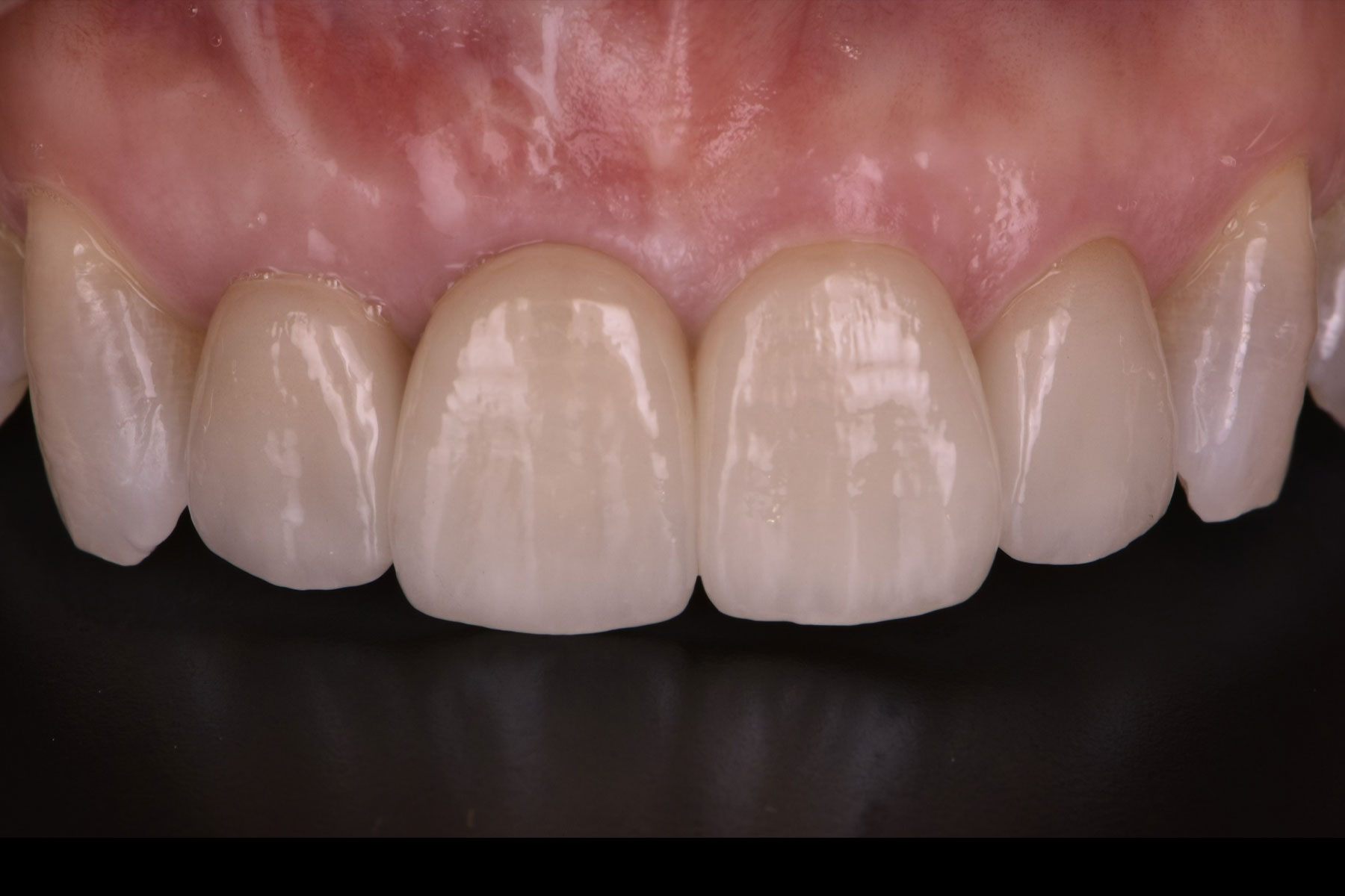
歯槽膿漏で歯がグラグラする 【オールオン6】
- 主訴
- 歯槽膿漏で歯がグラグラする
- 期間
- 6か月
- 費用
- 5,757,000円
- 治療内容
- インプラント治療(上6本/下5本)
- 治療に伴うリスク
- ・身体の状態により手術に適用できない場合があります
・手術部位の感染や歯周病菌による感染の可能性があります
・手術時に神経を損傷し麻痺が生じる可能性があります
・手術後に出血や腫れが生じることがあります
・メンテナンス不良によりインプラント周囲炎が生じる可能性があります
・骨結合が不十分な場合、インプラントが脱落する可能性があります
【オールオン6】歯がボロボロで治したい
- 主訴
- 歯がボロボロで治したい
- 期間
- 7ヵ月
- 費用
- 5,715,000円
- 治療内容
- インプラント治療(上オールオン6)
フルジルコニアクラウン
- 治療に伴うリスク
- 【インプラント治療】
・身体の状態により手術に適用できない場合があります
・手術部位の感染や歯周病菌による感染の可能性があります
・手術時に神経を損傷し麻痺が生じる可能性があります
・手術後に出血や腫れが生じることがあります
・メンテナンス不良によりインプラント周囲炎が生じる可能性があります
・骨結合が不十分な場合、インプラントが脱落する可能性があります
【セラミック治療】
・保険適用外のため保険治療よりコストがかかります
・元の歯に着色汚れがあると透明性により黄ばんで見える場合があります
・強い力により割れたり欠けたりする可能性があります
・接着力の低下により外れる場合があります
・歯を削ることで一時的にしみる場合があります
・歯の形態により適合が困難な場合があります
【インプラント治療】下の奥歯で噛めない
- 主訴
- 下の奥歯で噛めない
- 期間
- 3ヵ月
- 費用
- 671,000円
- 治療内容
- インプラント治療
セラミックインレー
オクル―ザルべニア
- 治療に伴うリスク
- 【インプラント治療】
・身体の状態により手術に適用できない場合があります
・手術部位の感染や歯周病菌による感染の可能性があります
・手術時に神経を損傷し麻痺が生じる可能性があります
・手術後に出血や腫れが生じることがあります
・メンテナンス不良によりインプラント周囲炎が生じる可能性があります
・骨結合が不十分な場合、インプラントが脱落する可能性があります
【セラミック治療】
・保険適用外のため保険治療よりコストがかかります
・元の歯に着色汚れがあると透明性により黄ばんで見える場合があります
・強い力により割れたり欠けたりする可能性があります
・接着力の低下により外れる場合があります
・歯を削ることで一時的にしみる場合があります
・歯の形態により適合が困難な場合があります
【インプラント治療】食事が摂りずらい
- 主訴
- 食事が摂りずらい
- 期間
- 4ヵ月
- 費用
- 1,067,000円
- 治療内容
- インプラント治療
- 治療に伴うリスク
- 【インプラント治療】
・身体の状態により手術に適用できない場合があります
・手術部位の感染や歯周病菌による感染の可能性があります
・手術時に神経を損傷し麻痺が生じる可能性があります
・手術後に出血や腫れが生じることがあります
・メンテナンス不良によりインプラント周囲炎が生じる可能性があります
・骨結合が不十分な場合、インプラントが脱落する可能性があります
【50代女性】食事が摂りずらい【抜歯即時インプラント】
- 主訴
- 食事が摂りずらい
- 期間
- 5ヵ月
- 費用
- 1,177,000円
- 治療内容
- インプラント治療
ZR・セラミッククラウン
- 治療に伴うリスク
- 【インプラント治療】
・身体の状態により手術に適用できない場合があります
・手術部位の感染や歯周病菌による感染の可能性があります
・手術時に神経を損傷し麻痺が生じる可能性があります
・手術後に出血や腫れが生じることがあります
・メンテナンス不良によりインプラント周囲炎が生じる可能性があります
・骨結合が不十分な場合、インプラントが脱落する可能性があります












