全体的にきれいに
したい
【ダイレクト
ボンディング
+セラミックインレー
+フルジルコニア
クラウン
+インプラント】
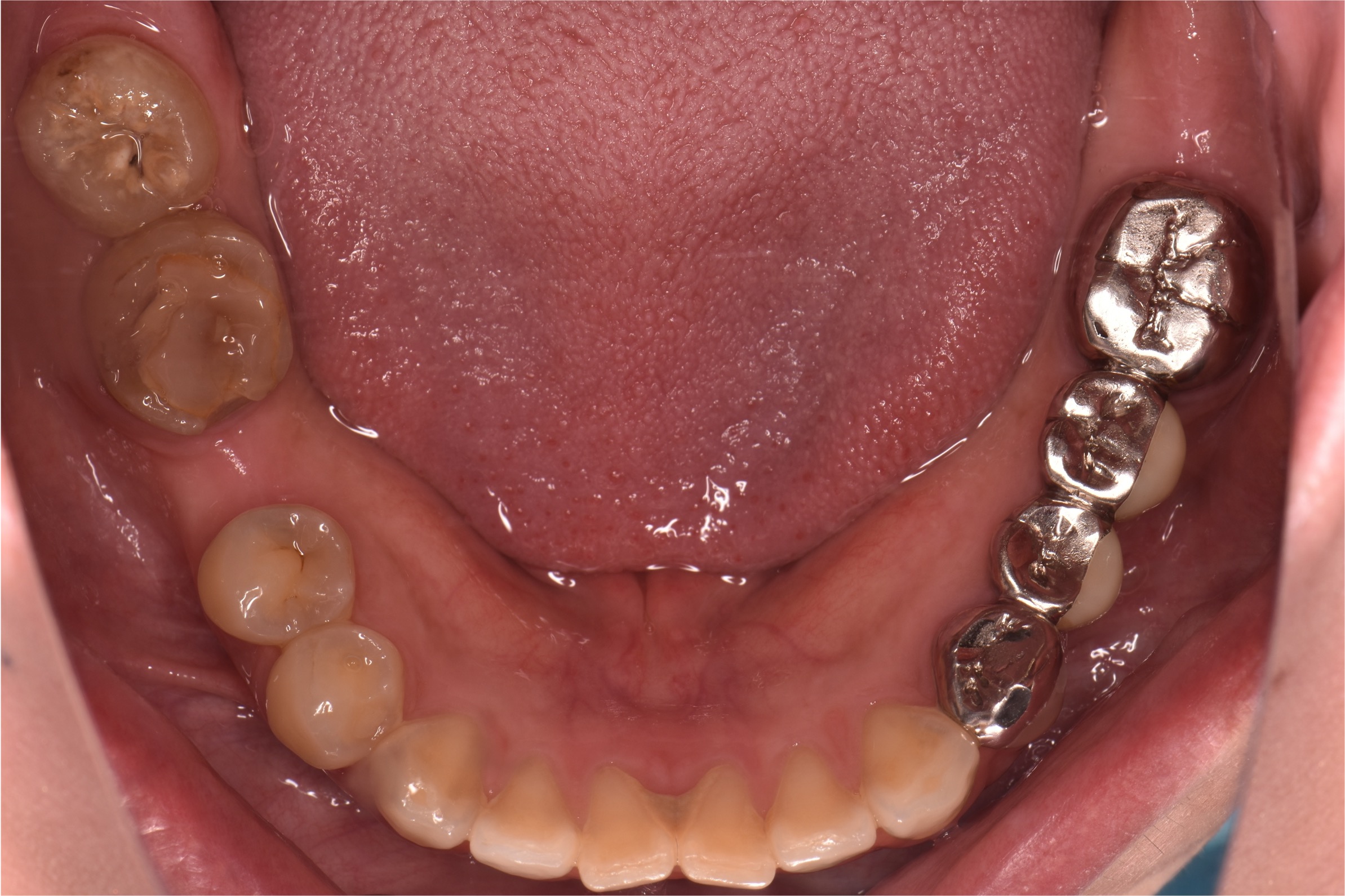
治療前
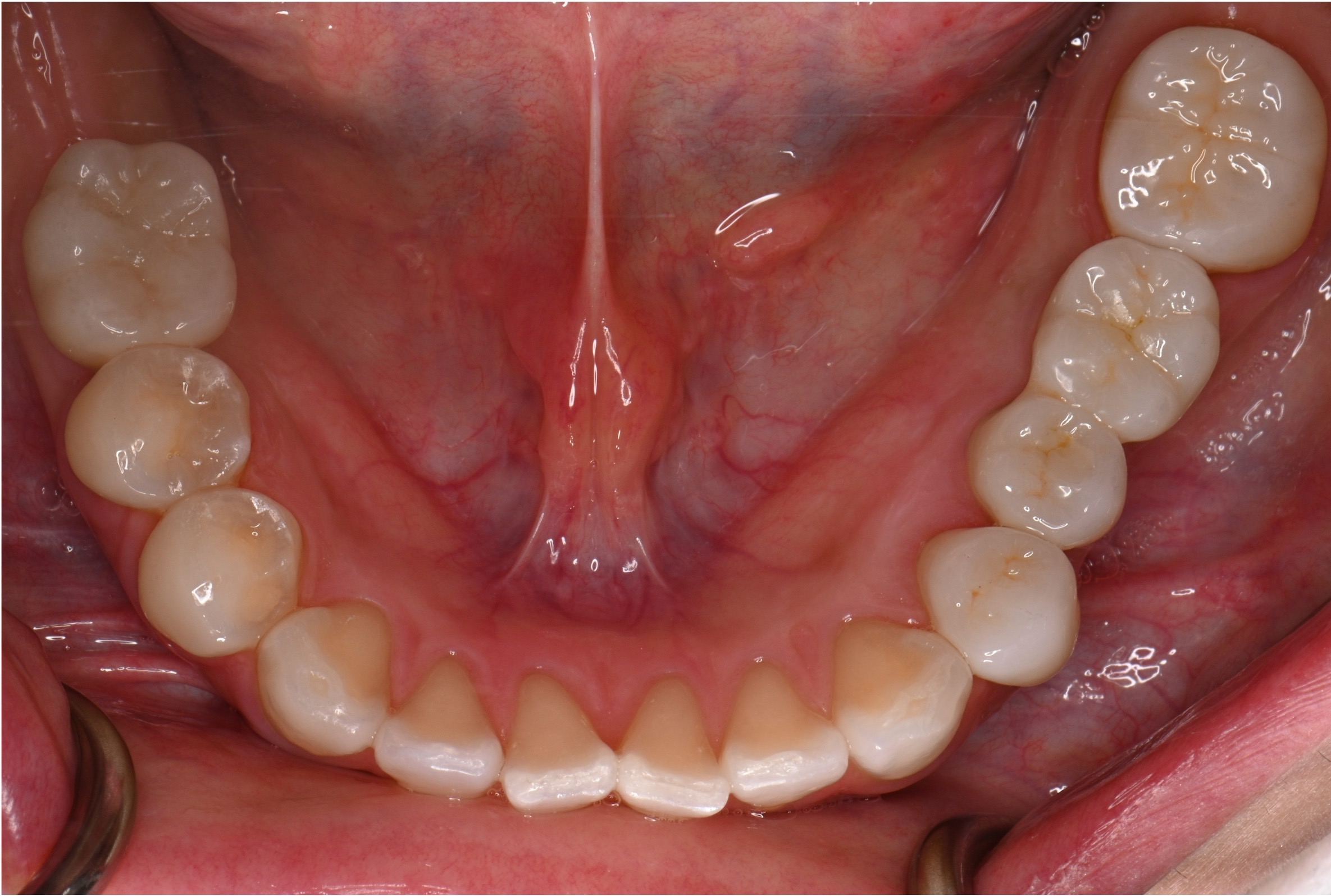
治療後
治療前
治療後
| 主訴 | 全体的にきれいにしたい |
|---|---|
| 期間 | 4か月 |
| 費用 | 2,060,000円 |
| 治療内容 | ダイレクトボンディング セラミックインレー フルジルコニアクラウン インプラント |
| 治療に伴うリスク | 【ダイレクトボンディング】 ・時間の経過により変色や劣化が生じる可能性があります ・強い力により外れたり割れたりする可能性があります ・周囲の歯と色調が合わなくなる場合があります ・治療後に一時的にしみる可能性があります ・劣化により再度治療が必要になる場合があります ・欠損の大きさにより適応とならない場合があります 【セラミック治療】 ・保険適用外のため保険治療よりコストがかかります ・元の歯に着色汚れがあると透明性により黄ばんで見える場合があります ・強い力により割れたり欠けたりする可能性があります ・接着力の低下により外れる場合があります ・歯を削ることで一時的にしみる場合があります ・歯の形態により適合が困難な場合があります 【フルジルコニアクラウン】 ・保険適用外のため保険治療よりコストがかかります ・元の歯に着色汚れがあると透明性により黄ばんで見える場合があります ・強い力により割れたり欠けたりする可能性があります ・接着力の低下により外れる場合があります ・歯を削ることで一時的にしみる場合があります ・歯の形態により適合が困難な場合があります 【インプラント治療】 ・身体の状態により手術に適用できない場合があります ・手術部位の感染や歯周病菌による感染の可能性があります ・手術時に神経を損傷し麻痺が生じる可能性があります ・手術後に出血や腫れが生じることがあります ・メンテナンス不良によりインプラント周囲炎が生じる可能性があります ・骨結合が不十分な場合、インプラントが脱落する可能性があります |




















