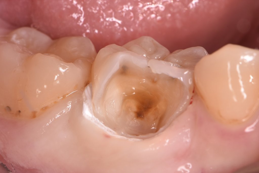
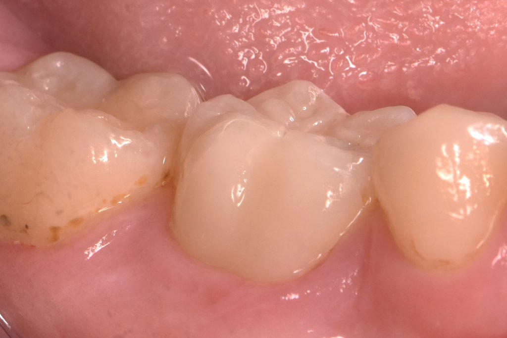
ダイレクトボンディング
銀歯を白くしたい
【ダイレクト
ボンディング】
- 主訴
- 銀歯を白くしたい
- 期間
- 1回
- 費用
- 33,000円
- 治療内容
- ダイレクトボンディング
- 治療に伴うリスク
- 【ダイレクトボンディング】
・時間の経過により変色や劣化が生じる可能性があります
・強い力により外れたり割れたりする可能性があります
・周囲の歯と色調が合わなくなる場合があります
・治療後に一時的にしみる可能性があります
・劣化により再度治療が必要になる場合があります
・欠損の大きさにより適応とならない場合があります
全体的にきれいに
したい
【ダイレクト
ボンディング
+セラミックインレー
+フルジルコニア
クラウン
+インプラント】
- 主訴
- 全体的にきれいにしたい
- 期間
- 4か月
- 費用
- 2,060,000円
- 治療内容
- ダイレクトボンディング
セラミックインレー
フルジルコニアクラウン
インプラント
- 治療に伴うリスク
- 【ダイレクトボンディング】
・時間の経過により変色や劣化が生じる可能性があります
・強い力により外れたり割れたりする可能性があります
・周囲の歯と色調が合わなくなる場合があります
・治療後に一時的にしみる可能性があります
・劣化により再度治療が必要になる場合があります
・欠損の大きさにより適応とならない場合があります
【セラミック治療】
・保険適用外のため保険治療よりコストがかかります
・元の歯に着色汚れがあると透明性により黄ばんで見える場合があります
・強い力により割れたり欠けたりする可能性があります
・接着力の低下により外れる場合があります
・歯を削ることで一時的にしみる場合があります
・歯の形態により適合が困難な場合があります
【フルジルコニアクラウン】
・保険適用外のため保険治療よりコストがかかります
・元の歯に着色汚れがあると透明性により黄ばんで見える場合があります
・強い力により割れたり欠けたりする可能性があります
・接着力の低下により外れる場合があります
・歯を削ることで一時的にしみる場合があります
・歯の形態により適合が困難な場合があります
【インプラント治療】
・身体の状態により手術に適用できない場合があります
・手術部位の感染や歯周病菌による感染の可能性があります
・手術時に神経を損傷し麻痺が生じる可能性があります
・手術後に出血や腫れが生じることがあります
・メンテナンス不良によりインプラント周囲炎が生じる可能性があります
・骨結合が不十分な場合、インプラントが脱落する可能性があります
虫歯を治したい
【ダイレクト
ボンディング】
- 主訴
- 虫歯を治したい
- 期間
- 1回
- 費用
- 33,000円
- 治療内容
- ダイレクトボンディング
- 治療に伴うリスク
- 【ダイレクトボンディング】
・時間の経過により変色や劣化が生じる可能性があります
・強い力により外れたり割れたりする可能性があります
・周囲の歯と色調が合わなくなる場合があります
・治療後に一時的にしみる可能性があります
・劣化により再度治療が必要になる場合があります
・欠損の大きさにより適応とならない場合があります
虫歯の治療をしたい
【ダイレクトボンディング】
- 主訴
- 虫歯の治療をしたい
- 期間
- 1回
- 費用
- 66,000円
- 治療内容
- ダイレクトボンディング治療
- 治療に伴うリスク
- 【ダイレクトボンディング】
・時間の経過により変色や劣化が生じる可能性があります
・強い力により外れたり割れたりする可能性があります
・周囲の歯と色調が合わなくなる場合があります
・治療後に一時的にしみる可能性があります
・劣化により再度治療が必要になる場合があります
・欠損の大きさにより適応とならない場合があります
銀歯を白くしたい
【ダイレクトボンディング】
- 主訴
- 銀歯を白くしたい
- 期間
- 1回
- 費用
- 33,000円
- 治療内容
- ダイレクトボンディング
- 治療に伴うリスク
- 【ダイレクトボンディング】
・時間の経過により変色や劣化が生じる可能性があります
・強い力により外れたり割れたりする可能性があります
・周囲の歯と色調が合わなくなる場合があります
・治療後に一時的にしみる可能性があります
・劣化により再度治療が必要になる場合があります
・欠損の大きさにより適応とならない場合があります
前歯を綺麗にしたい
【ダイレクトボンディング+Zr・セラミッククラウン】
- 主訴
- 前歯を綺麗にしたい
- 期間
- 6回
- 費用
- 231,000円
- 治療内容
- ダイレクトボンディング
Zr・セラミッククラウン
- 治療に伴うリスク
- 【ダイレクトボンディング】
・時間の経過により変色や劣化が生じる可能性があります
・強い力により外れたり割れたりする可能性があります
・周囲の歯と色調が合わなくなる場合があります
・治療後に一時的にしみる可能性があります
・劣化により再度治療が必要になる場合があります
・欠損の大きさにより適応とならない場合があります
【セラミック治療】
・保険適用外のため保険治療よりコストがかかります
・元の歯に着色汚れがあると透明性により黄ばんで見える場合があります
・強い力により割れたり欠けたりする可能性があります
・接着力の低下により外れる場合があります
・歯を削ることで一時的にしみる場合があります
・歯の形態により適合が困難な場合があります
奥歯がしみる【セラミック治療】
- 主訴
- 奥歯がしみる
- 期間
- 3回
- 費用
- 264,000円
- 治療内容
- ダイレクトボンディング
セラミックインレー
オクル―ザルべニア
- 治療に伴うリスク
- 【ダイレクトボンディング】
・時間の経過により変色や劣化が生じる可能性があります
・強い力により外れたり割れたりする可能性があります
・周囲の歯と色調が合わなくなる場合があります
・治療後に一時的にしみる可能性があります
・劣化により再度治療が必要になる場合があります
・欠損の大きさにより適応とならない場合があります
【セラミック治療】
・保険適用外のため保険治療よりコストがかかります
・元の歯に着色汚れがあると透明性により黄ばんで見える場合があります
・強い力により割れたり欠けたりする可能性があります
・接着力の低下により外れる場合があります
・歯を削ることで一時的にしみる場合があります
・歯の形態により適合が困難な場合があります
前歯を綺麗にしたい
【カスタムデュアルホワイトニング+Zr・セラミッククラウン+ダイレクトボンディング】
- 主訴
- 前歯を綺麗にしたい
- 期間
- 4回
- 費用
- 468,600円
- 治療内容
- カスタムデュアルホワイトニング
Zr・セラミッククラウン
ダイレクトボンディング
- 治療に伴うリスク
- 【ホワイトニング】
・ホワイトニングの効果には個人差があります。歯の質や着色の種類によっては、希望する白さにならない場合もあります
・施術後、一時的に歯がしみる・知覚過敏のような症状が出ることがあります。ほとんどは数日でおさまりますが、症状が続く場合はご相談ください
・人工歯(詰め物・被せ物・差し歯など)はホワイトニングでは白くなりません
・施術後は、色の濃い飲食物(コーヒー・赤ワイン・カレーなど)を避けることで、白さをより長く保てます
・薬剤を使用するため、妊娠中・授乳中の方や重度の歯肉炎・虫歯がある方は、施術を控えていただく場合があります
・ホワイトニング効果は永続的ではありません。定期的なメンテナンスを行うことで白さを維持しやすくなります
【ダイレクトボンディング】
・時間の経過により変色や劣化が生じる可能性があります
・強い力により外れたり割れたりする可能性があります
・周囲の歯と色調が合わなくなる場合があります
・治療後に一時的にしみる可能性があります
・劣化により再度治療が必要になる場合があります
・欠損の大きさにより適応とならない場合があります
【セラミック治療】
・保険適用外のため保険治療よりコストがかかります
・元の歯に着色汚れがあると透明性により黄ばんで見える場合があります
・強い力により割れたり欠けたりする可能性があります
・接着力の低下により外れる場合があります
・歯を削ることで一時的にしみる場合があります
・歯の形態により適合が困難な場合があります
前歯を綺麗にしたい
【カスタムデュアルホワイトニング+Zr・セラミッククラウン+ダイレクトボンディング】
- 主訴
- 前歯を綺麗にしたい
- 期間
- 6回
- 費用
- 650,100円
- 治療内容
- カスタムデュアルホワイトニング
Zr・セラミッククラウン
ダイレクトボンディング
- 治療に伴うリスク
- 【ホワイトニング】
・ホワイトニングの効果には個人差があります。歯の質や着色の種類によっては、希望する白さにならない場合もあります
・施術後、一時的に歯がしみる・知覚過敏のような症状が出ることがあります。ほとんどは数日でおさまりますが、症状が続く場合はご相談ください
・人工歯(詰め物・被せ物・差し歯など)はホワイトニングでは白くなりません
・施術後は、色の濃い飲食物(コーヒー・赤ワイン・カレーなど)を避けることで、白さをより長く保てます
・薬剤を使用するため、妊娠中・授乳中の方や重度の歯肉炎・虫歯がある方は、施術を控えていただく場合があります
・ホワイトニング効果は永続的ではありません。定期的なメンテナンスを行うことで白さを維持しやすくなります
【ダイレクトボンディング】
・時間の経過により変色や劣化が生じる可能性があります
・強い力により外れたり割れたりする可能性があります
・周囲の歯と色調が合わなくなる場合があります
・治療後に一時的にしみる可能性があります
・劣化により再度治療が必要になる場合があります
・欠損の大きさにより適応とならない場合があります
【セラミック治療】
・保険適用外のため保険治療よりコストがかかります
・元の歯に着色汚れがあると透明性により黄ばんで見える場合があります
・強い力により割れたり欠けたりする可能性があります
・接着力の低下により外れる場合があります
・歯を削ることで一時的にしみる場合があります
・歯の形態により適合が困難な場合があります
前歯を綺麗にしたい
【根管治療+ホワイトグラスコア+Zr・セラミッククラウン+ダイレクトボンディング】
- 主訴
- 前歯を綺麗にしたい
- 期間
- 5回
- 費用
- 192,500円
- 治療内容
- 根管治療
ホワイトグラスコア
Zr・セラミッククラウン
ダイレクトボンディング
- 治療に伴うリスク
- 【ホワイトニング】
・ホワイトニングの効果には個人差があります。歯の質や着色の種類によっては、希望する白さにならない場合もあります
・施術後、一時的に歯がしみる・知覚過敏のような症状が出ることがあります。ほとんどは数日でおさまりますが、症状が続く場合はご相談ください
・人工歯(詰め物・被せ物・差し歯など)はホワイトニングでは白くなりません
・施術後は、色の濃い飲食物(コーヒー・赤ワイン・カレーなど)を避けることで、白さをより長く保てます
・薬剤を使用するため、妊娠中・授乳中の方や重度の歯肉炎・虫歯がある方は、施術を控えていただく場合があります
・ホワイトニング効果は永続的ではありません。定期的なメンテナンスを行うことで白さを維持しやすくなります
【ダイレクトボンディング】
・時間の経過により変色や劣化が生じる可能性があります
・強い力により外れたり割れたりする可能性があります
・周囲の歯と色調が合わなくなる場合があります
・治療後に一時的にしみる可能性があります
・劣化により再度治療が必要になる場合があります
・欠損の大きさにより適応とならない場合があります
【セラミック治療】
・保険適用外のため保険治療よりコストがかかります
・元の歯に着色汚れがあると透明性により黄ばんで見える場合があります
・強い力により割れたり欠けたりする可能性があります
・接着力の低下により外れる場合があります
・歯を削ることで一時的にしみる場合があります
・歯の形態により適合が困難な場合があります




















