
02.問診票の記入
現在の症状や既往歴、気になることなどを問診票にご記入いただきます。
先進の総合的な
歯科治療を実現
仙台市宮城野区の歯医者|仙台イーストデンタル
仙台市宮城野区で歯医者をお探しの方は、
仙台イーストデンタルまで。
JR仙石線「宮城野原駅」から徒歩5分。
土曜日も18時まで診療している歯医者です。
土曜18時まで診療で、駐車場6台完備
キッズルームも完備しており、お子さま連れも安心です。
| 診療時間 | 月 | 火 | 水 | 木 | 金 | 土 | 日 |
|---|---|---|---|---|---|---|---|
| 9:00-13:00 | ● | ● | ● | ━ | ● | ● | ━ |
| 14:30-18:00 | ● | ● | ● | ━ | ● | ● | ━ |
JR仙石線「宮城野原駅」から徒歩5分。
駅チカの通いやすい歯医者です。
POLICY
私たち医療法人社団伸生会は、開設から39年を迎えました。
日々進歩し続ける歯科医療に対応するため、
診療設備と診療チームを整え、総合的な歯科診療を行う
【仙台イーストデンタル】を開院いたしました。
歯科医師、歯科衛生士、歯科技工士、歯科アシスタント、保育士、
滅菌技士など、あらゆるスペシャリストが一つのチームとなり、
より専門性の高い環境を整えています。
私たちは、歯科医療を通じて、
地域の皆様の乳幼児期から生涯にわたるお口の健康に貢献します。
FEATURES
仙台市宮城野区の歯医者|仙台イーストデンタル
01
Counseling
& Examination
真摯にお悩み事をカウンセリングし、
必要な検査をおこないます。
なぜ治療が必要なのか、解決するための
お手伝いには時間を惜しみません。










痛くなったからと
「その場しのぎ」の治療を繰り返すと、
ゆくゆくは「歯を失う」結果につながる場合があります。
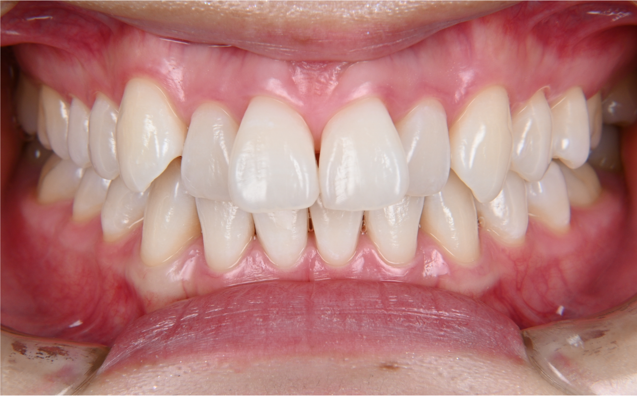
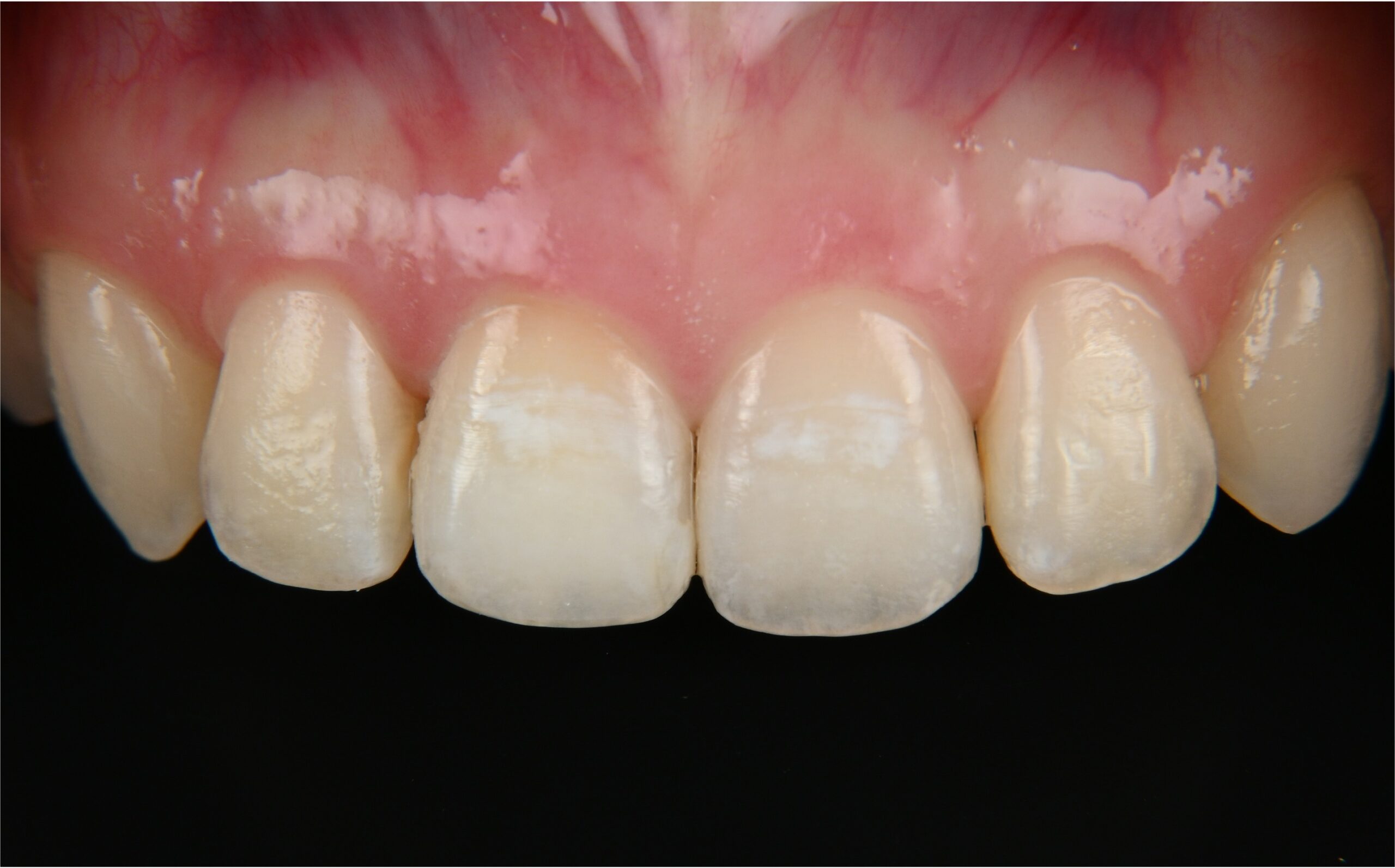
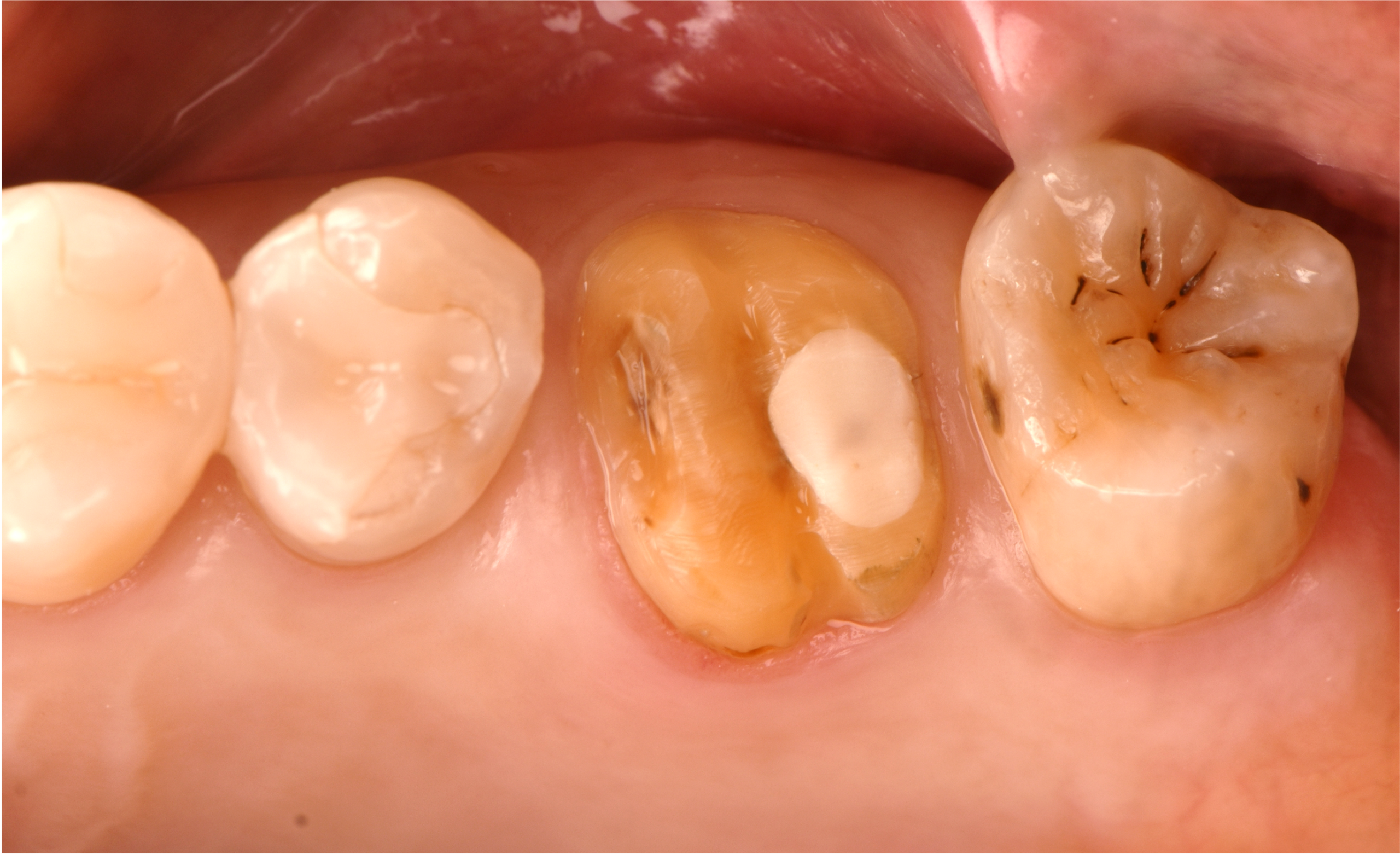
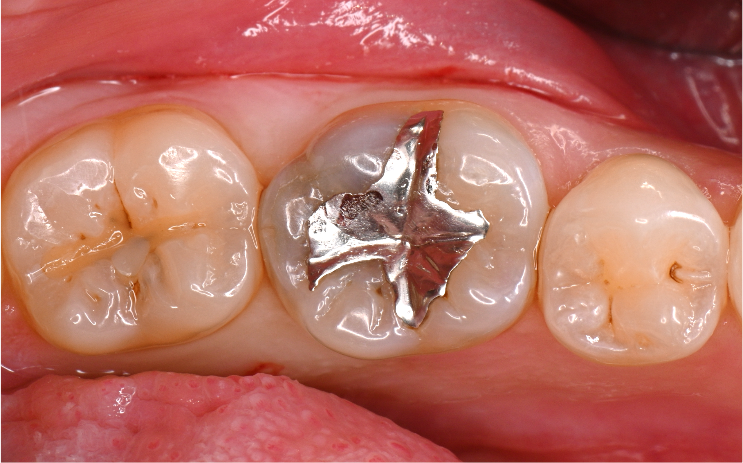
当院では、「なぜ歯が悪くなってしまったのか?」と、根本原因を追求するため、
精密な検査をもとに、自由診療も含め、必要な最良の治療をご提案いたします。また、良いお口の状態が長持ちするために
お手伝いいたします。
02
precision
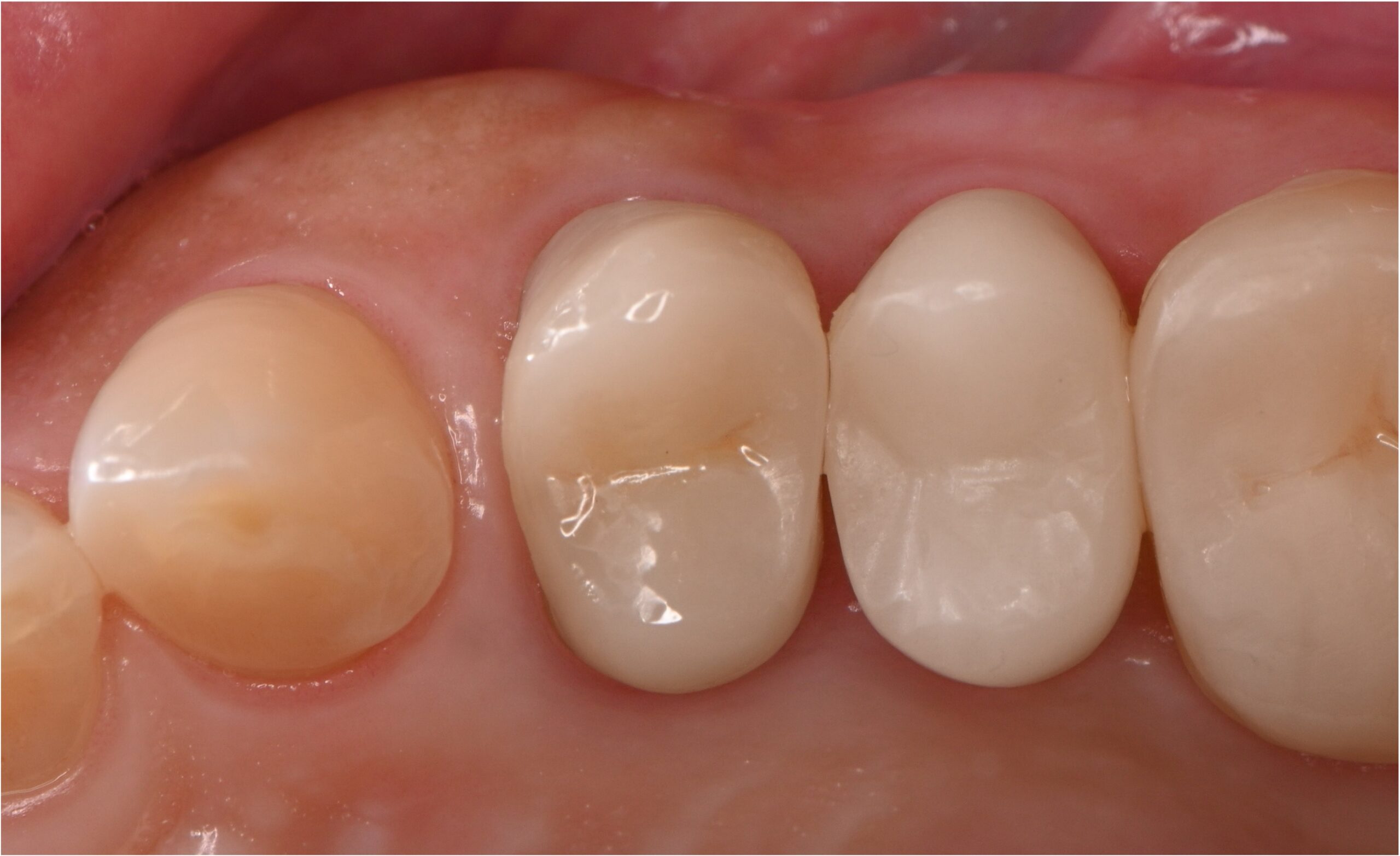
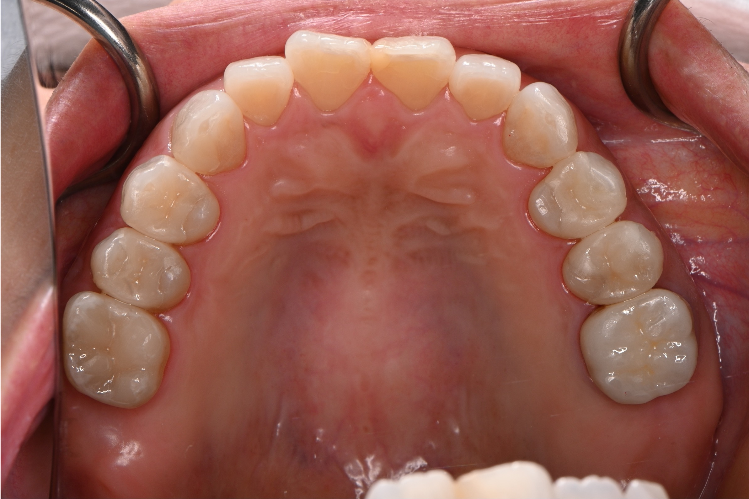
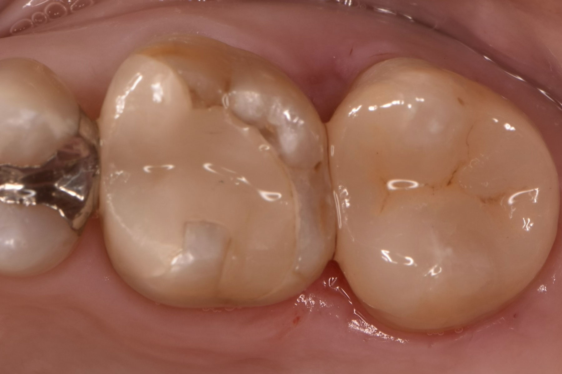
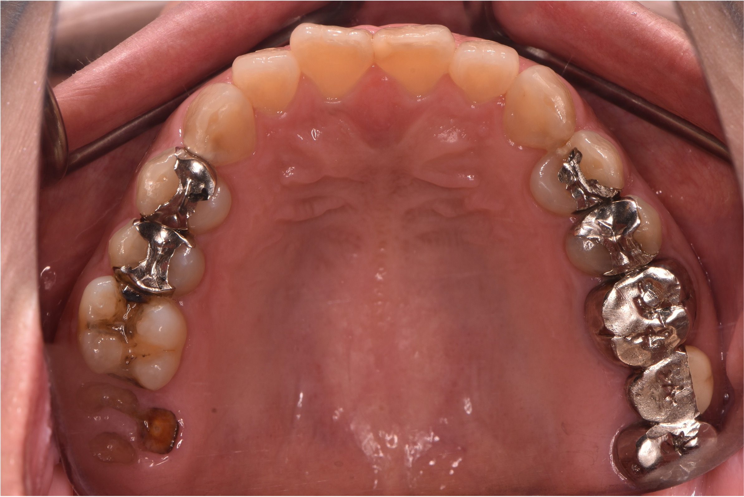
3Dの立体映像でお口の中を撮影することができる「歯科用CT」や、歯や顎に加えて頭部も含めて撮影できる矯正治療専用の「セファロ」などを使い、最初に検査をしっかりと行います。そして、患者様お一人おひとりのお口の状態に合わせて治療を行います。理事長、院長、副院長それぞれが専門的に学んできた診療科目を担当し、適切な治療を進めてまいります。
歯科用CTは3Dの立体映像でお口の中を撮影することができます。歯、神経、血管の位置、顎の骨の厚みなどを鮮明に映し出します。
器具に付着したウイルス・細菌を死滅できる滅菌器の中でも、「クラスB」と呼ばれる世界的に高水準のものを導入しています。
口腔内スキャナーとは、小型カメラをお口の中に数分向けるだけで、お口の中を細部まで精密に読み取れる次世代型の「光学印象」です。
03
Implant
当院ではインプラント無料相談を行なっております。他院でインプラントができないと言われた方にも治療が可能な場合がございますので、まずはお気軽にご相談ください。
入れ歯でうまく噛めない、
インプラントではない治療でしっかり治療したい場合にも対応可能です。お気軽にご相談ください。
04
Order-made
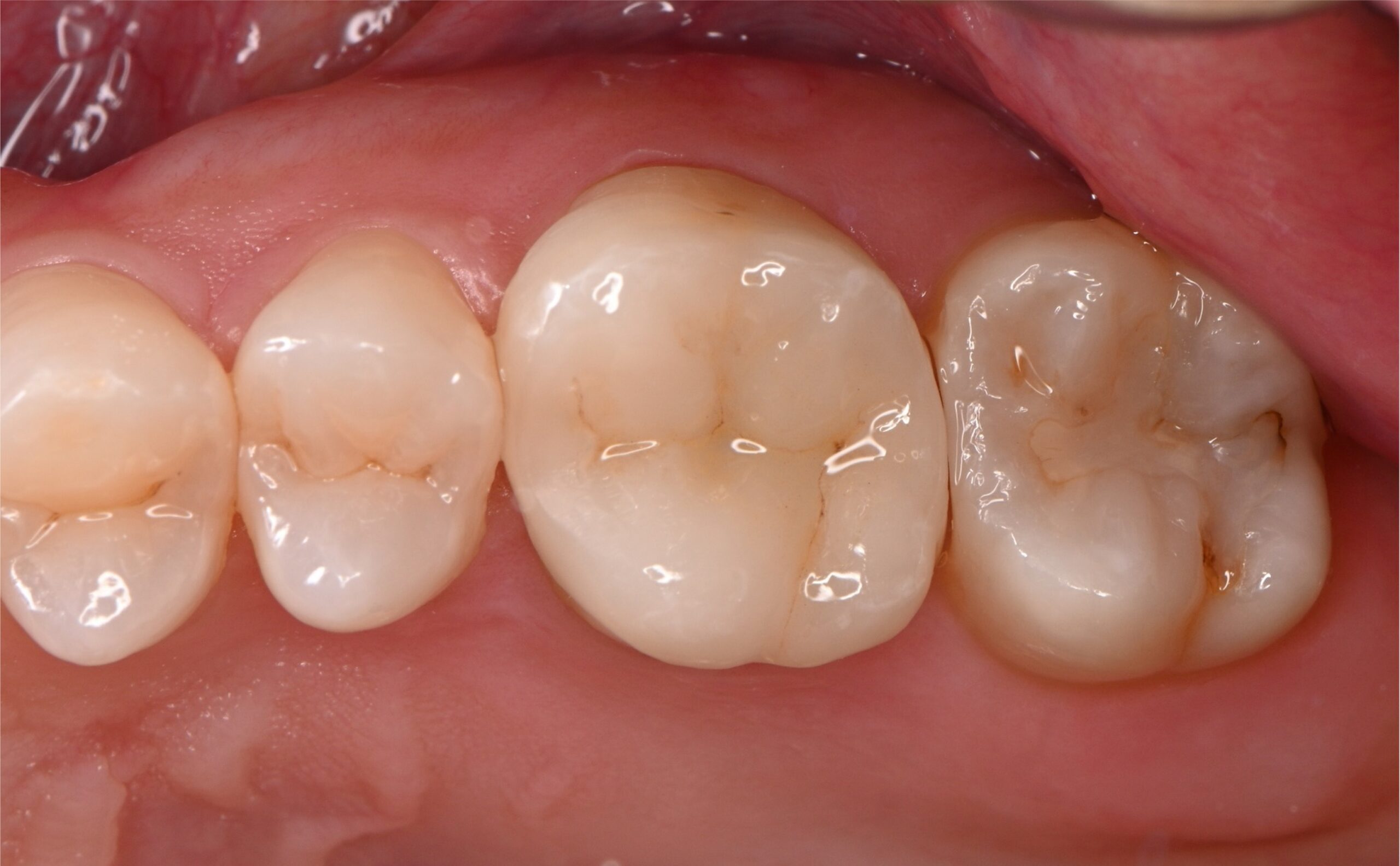
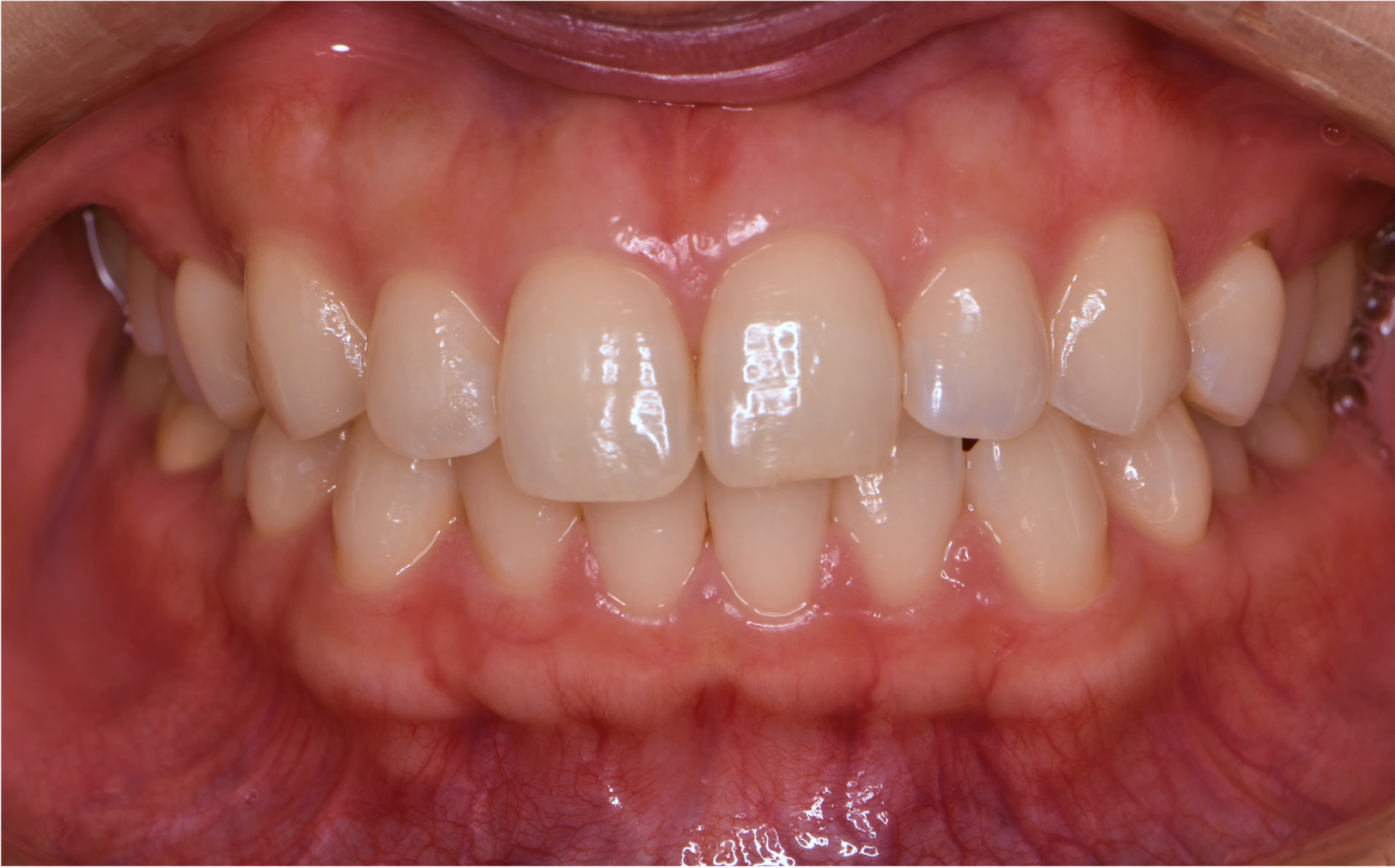
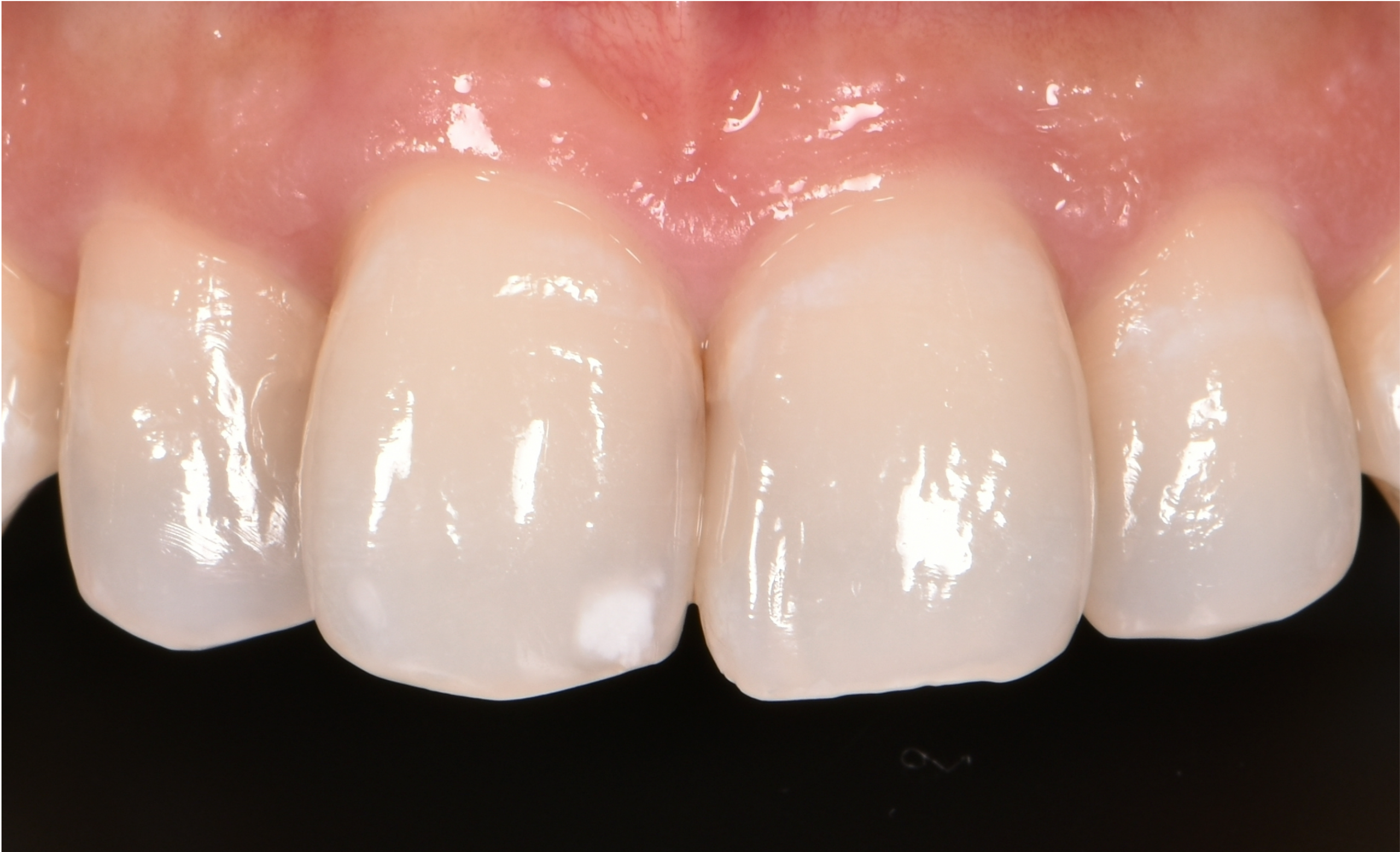
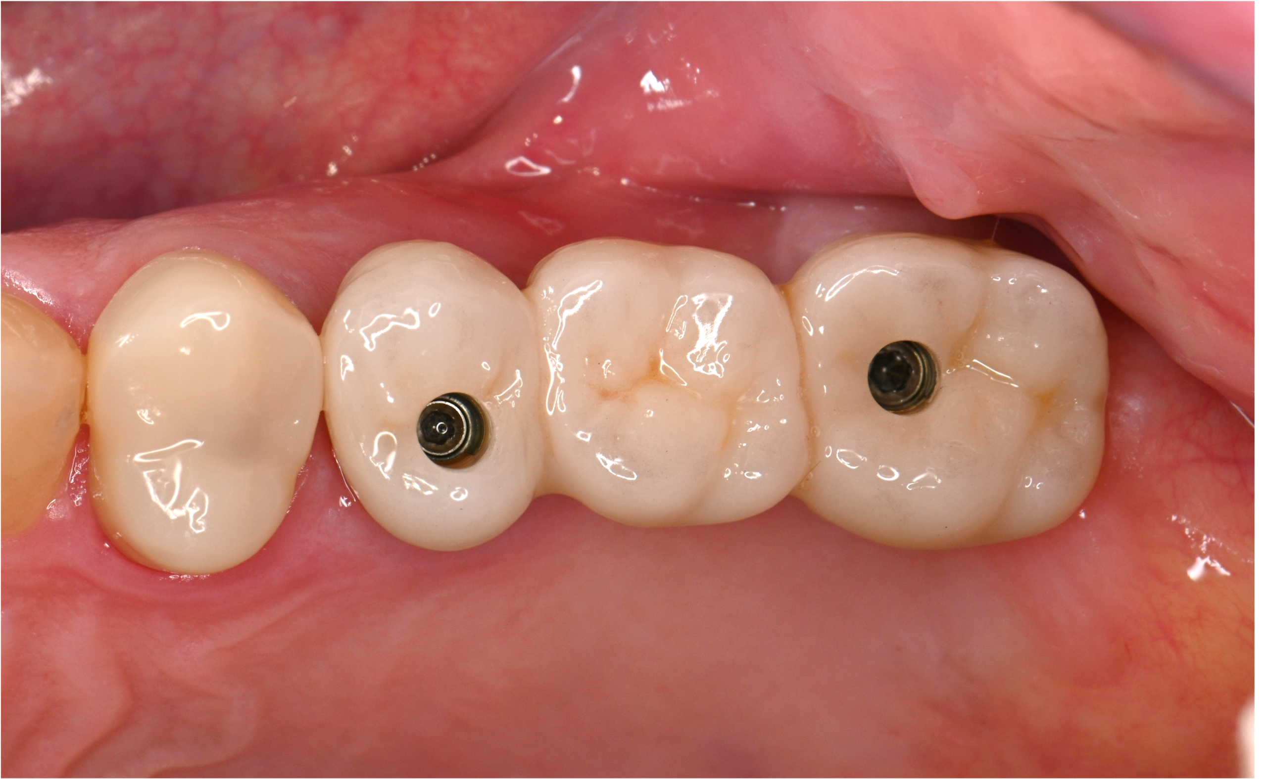
当院では希望される患者様に精密なお口の検査をおこなっております。お悩みの解決や健康の維持に必要なオーダーメイドの治療プランをご提案いたします。インプラントなどの歯を失った場合の治療だけでなく、ダイレクトボンディングや歯周組織再生療法など、1本の歯をしっかり治療する術も備えておりますので、ご安心ください。
DOCTOR
仙台市宮城野区の歯医者|仙台イーストデンタル
「仙台イーストデンタル」院長
こんにちは。
【医療法人社団伸生会 仙台イーストデンタル】
院長の沼田 洋孝です。私は歯科医師免許取得後、
PDI埼玉歯科診療所にて約8年間勤務し、
審美治療やインプラント治療を中心に研鑽を
積んでまいりました。確かな技術と知識に基づいた
診療を行うとともに、患者様の満足度と信頼を
第一に考えた治療を心がけています。
日本歯周病学会認定医の資格を保有しており、
歯周病治療にも力を入れ、長期的な口腔内の
健康維持をサポートしています。
現在は「仙台イーストデンタル」の院長として
診療にあたる傍ら、学会活動や最新の治療技術の
習得にも積極的に取り組み、地域医療の発展に
貢献しています。
また、トレーニングが趣味で、
メンズフィジークという競技にも挑戦しています。
自分の身体と向き合う中で「健康は日々の
積み重ねから」と実感しました。歯の健康も
同じように、日々のケアが大切です。
トレーニングで培った継続力と探求心を
診療にも生かしています。
宮城野小学・宮城野中学、仙台第一高等学校を卒業。明海大学歯学部歯学科を卒業後、明海大学PDI埼玉歯科診療所にて研修し、医局員として勤務。日本歯周病学会 認定医取得。医療法人社団 百医会 百瀬歯科医院に勤務。「医療法人社団 伸生会 仙台イーストデンタル」の院長に就任し、現在に至る。
「仙台イーストデンタル」副院長
こんにちは。
【医療法人社団伸生会 仙台イーストデンタル】
副院長の沼田 祐輔です。
私は歯科医師免許取得後、東北大学病院口腔外科
にて研修を修了。現在は仙台イーストデンタルの
副院長として、主に審美治療や矯正治療を
担当しています。機能性と審美性の両立を目指し、
一人ひとりの患者様に合わせた精密な治療を
心がけています。歯科医師になる以前は、
自動車整備士としてのキャリアを積んでおり、
器械や理工学への深い理解があります。
その経験を活かし、治療機器の特性や構造を
的確に把握しながら、常に効率的かつ安全な
診療を提供しています。これからも患者様に
信頼される歯科医師を目指し、技術と知識の
研鑽に努めてまいります。
宮城野小学・宮城野中学、東北学院榴ケ岡高等学校を卒業。日産自動車大学校を卒業後、自動車整備士免許を取得。その後、奥羽大学歯学部に入学・卒業し、東北大学歯科顎口腔外科にて研修。「医療法人社団 伸生会 仙台イーストデンタル」の副院長に就任。現在に至る。
「仙台イーストデンタル」理事長
こんにちは。仙台市宮城野区にございます
【医療法人社団伸生会 仙台イーストデンタル】
理事長の沼田 伸一です。
私たち医療法人社団伸生会は、地域の皆様に
支えられ、開設から39年を迎えることが
できました。このたび、より充実した診療設備と
多職種によるチーム体制を整え、総合的な
歯科診療を提供する【仙台イーストデンタル】
を新たに開院いたしました。
当院のコンセプトは、「快適な空間で、
すべての患者様に適した最良の治療を
提供すること」。各分野のスペシャリストが
連携し、確かな技術と知識に基づいた、
より専門性の高い歯科医療をお届けして
まいります。私は保育士・産業歯科医・
学校歯科医の資格を有し、当院では小児矯正歯科、
小児歯科を主に担当しています。
小さなお子様のお口のトラブルや歯並びの
お悩みも、安心してご相談ください。
地域の皆様の健やかな口腔環境を支える
「かかりつけ歯科医院」として、スタッフ一同、
誠意をもって診療にあたってまいります。
東仙台小学・東仙台中学、仙台第一高等学校を卒業。東北大学歯学部を卒業後、台原歯科クリニックの勤務を経て、岡田歯科医院を開院。1986年に医療法人社団 伸生会を設立し、2023年に医療法人社団 伸生会 仙台イーストデンタルを開院。
TREATMENT
仙台市宮城野区の歯医者|仙台イーストデンタル
難症例・他院で断られたケースでも対応可能
安全性・確実性を追求できる万全の体制で治療に臨みます。
セカンドオピニオンにも対応しております。
まずはお気軽にカウンセリングにお越しください。
患者様のご要望やご希望の治療法について、
しっかりヒアリングを行い、
適応可能な治療法についてご提案します。
まずはお気軽にカウンセリングにお越しください。
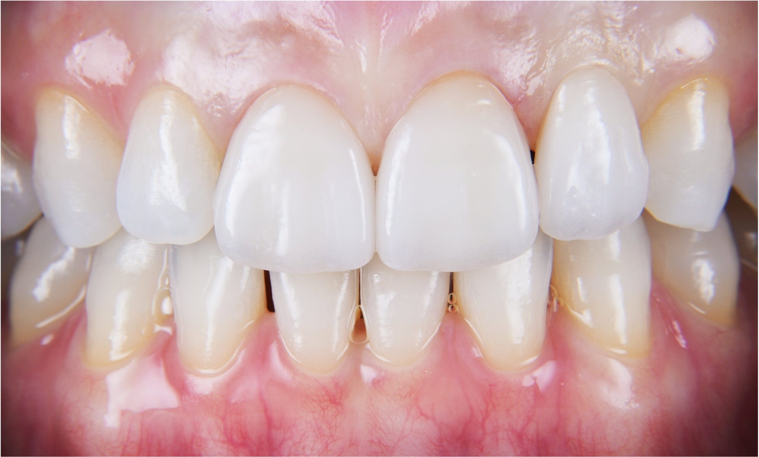
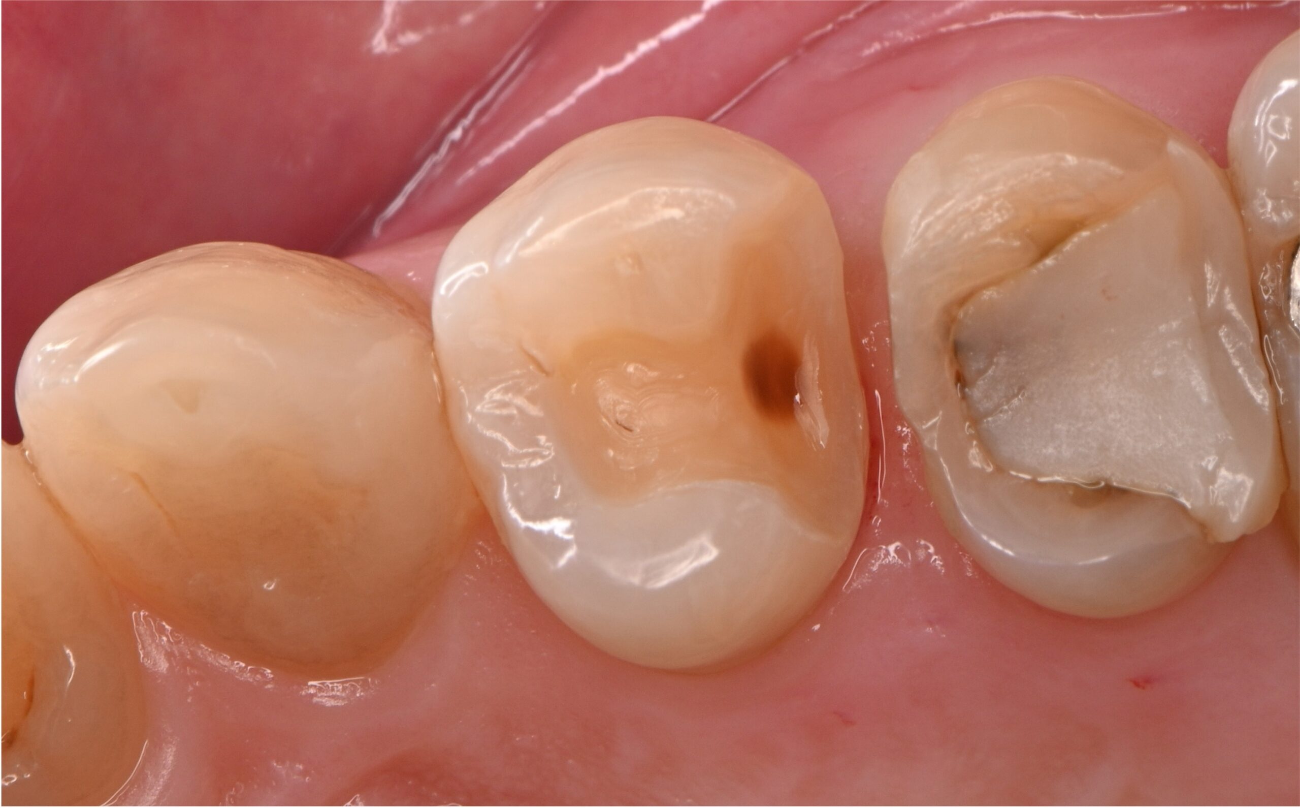
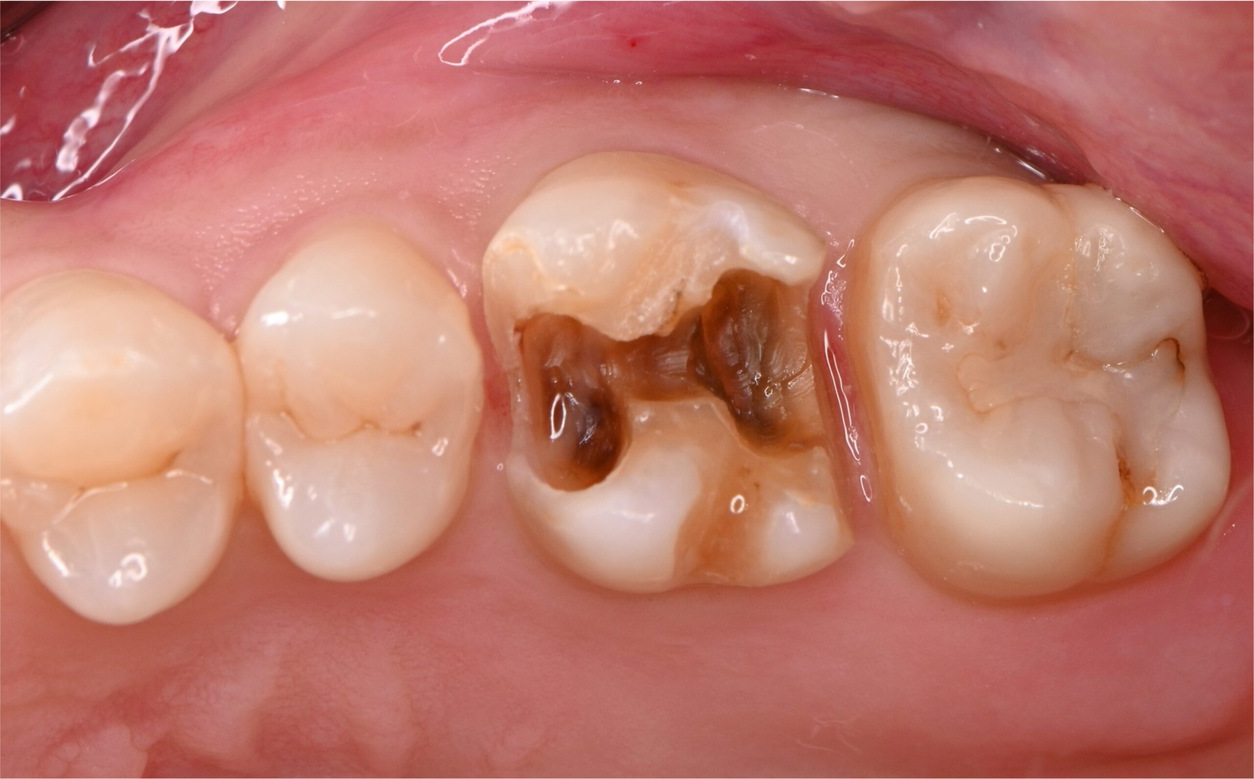
歯が痛い
歯ぐきが腫れている
むし歯・歯周病から歯を守る
歯が抜けた/食事を楽しみたい
インプラント手術が怖い方へ
抜歯した当日にインプラント
失ってしまった歯が多い方へ
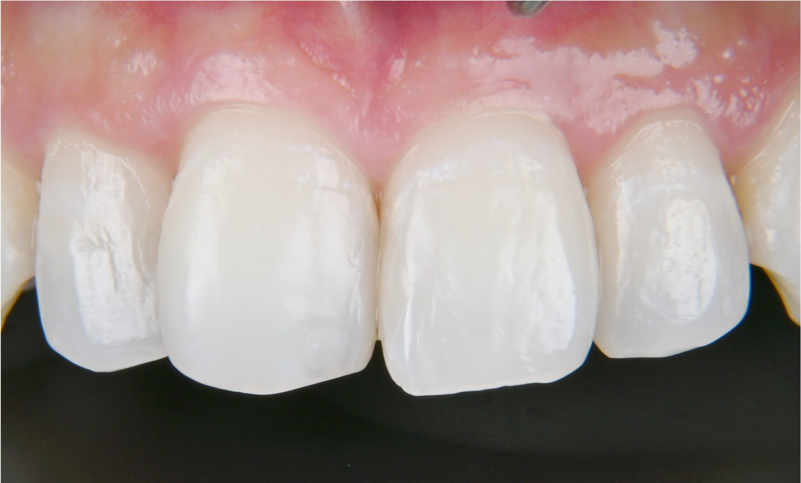
歯並びをきれいにしたい
歯を白くしたい
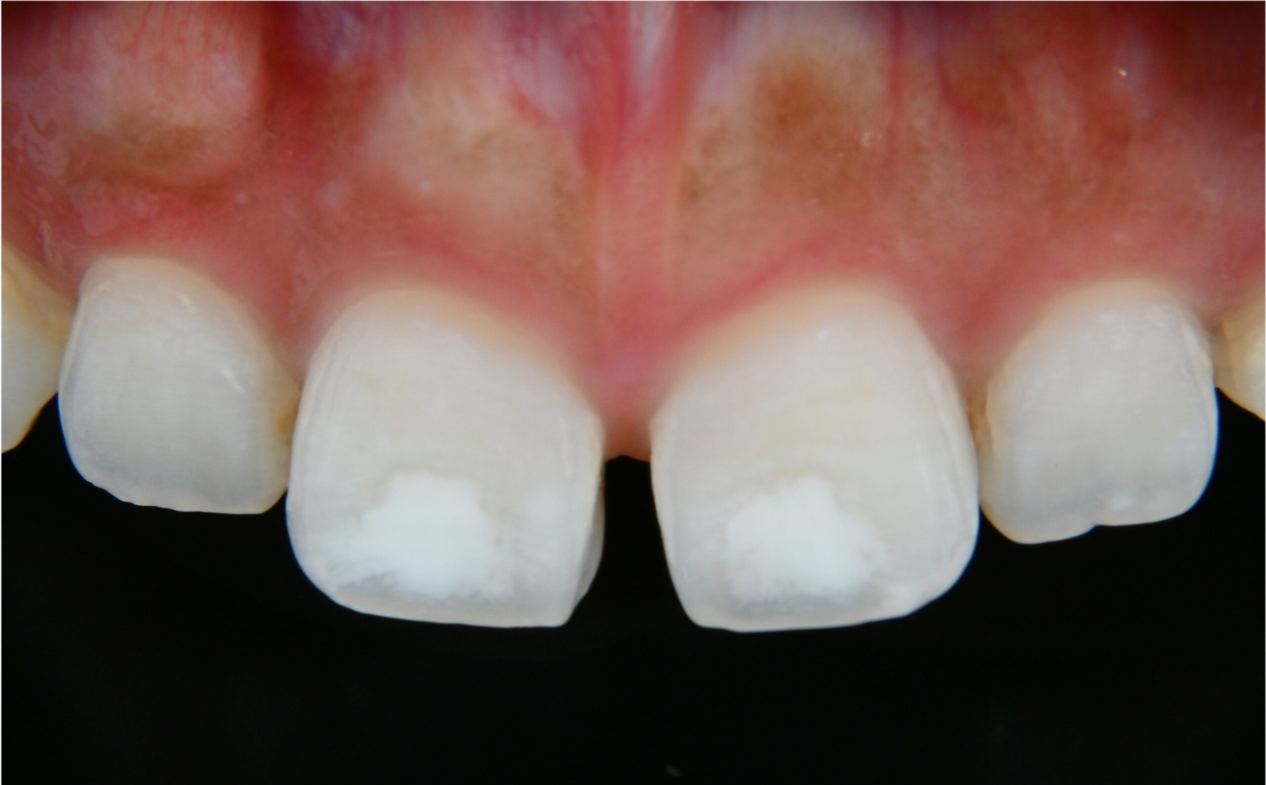
歯の白濁を治したい
自信の持てる口元へ
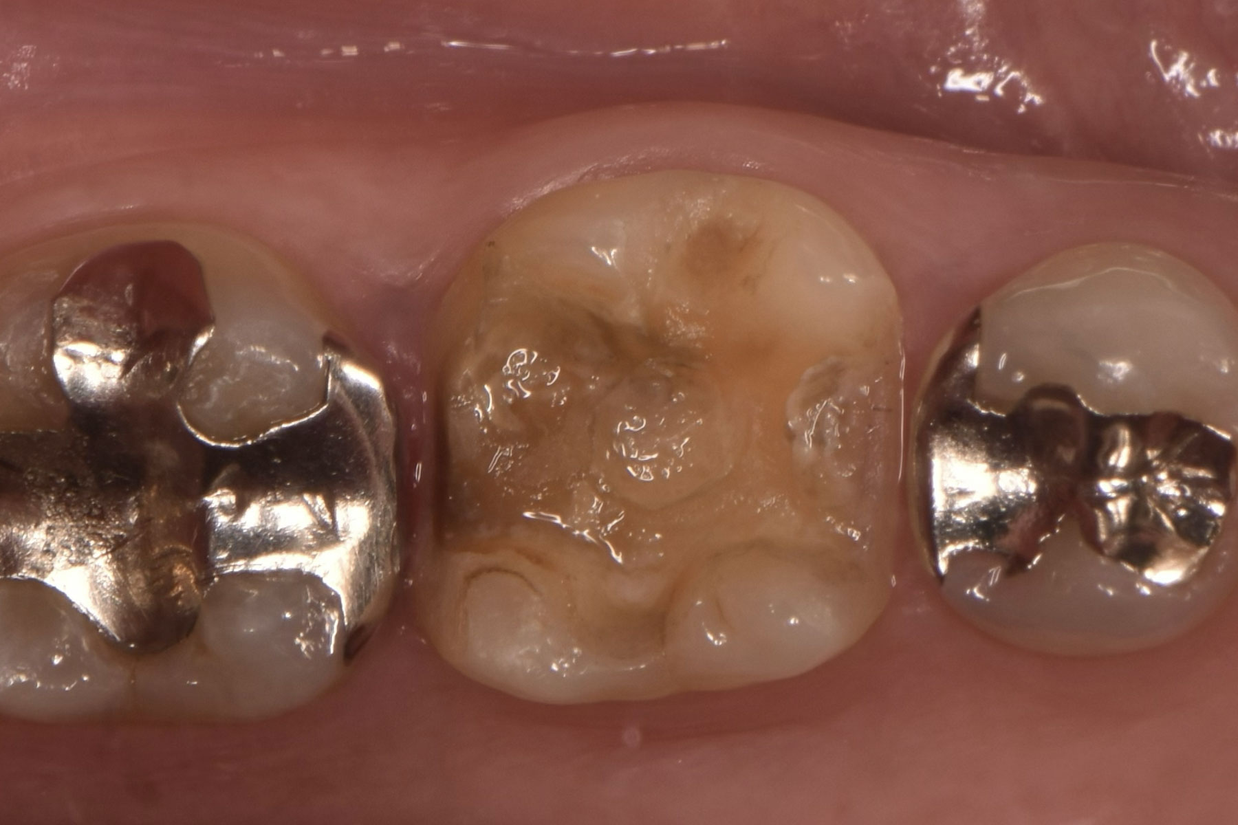
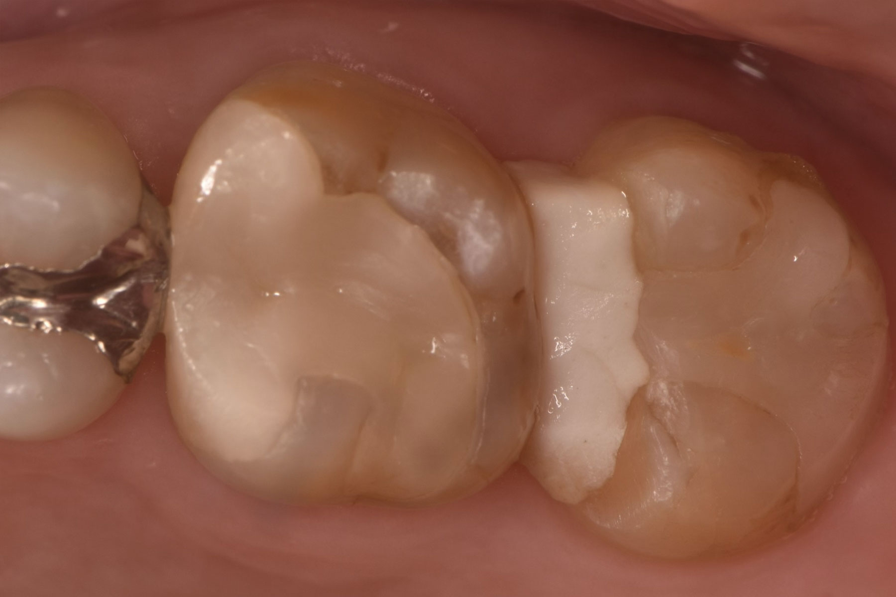
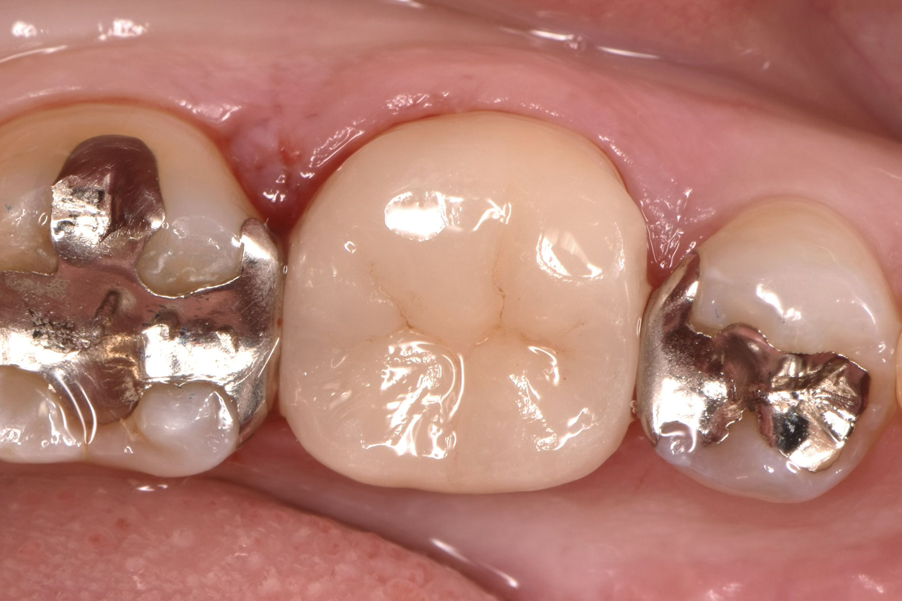
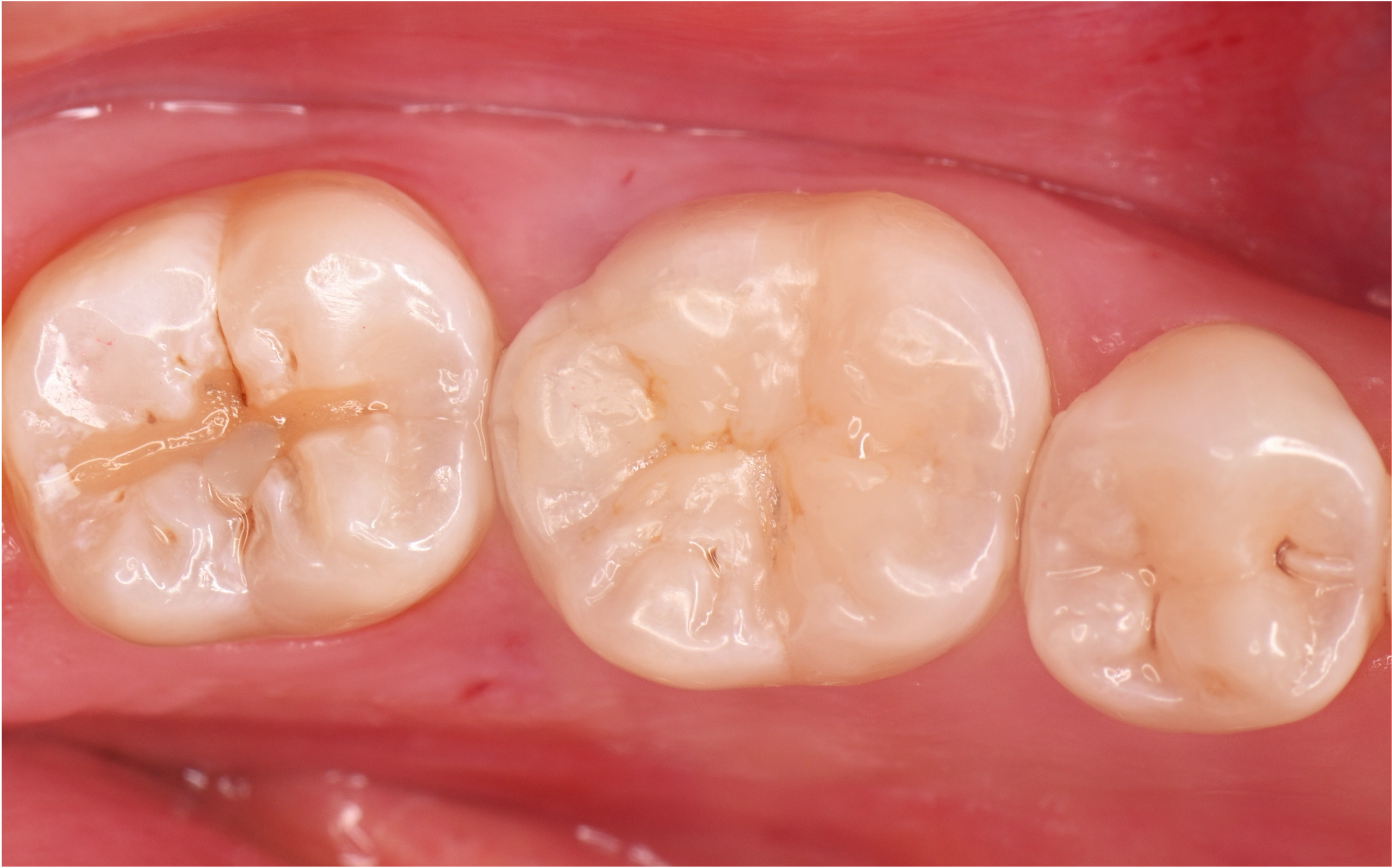
詰め物、被せ物を白くしたい
歯の欠けやすきっ歯を手軽に治したい
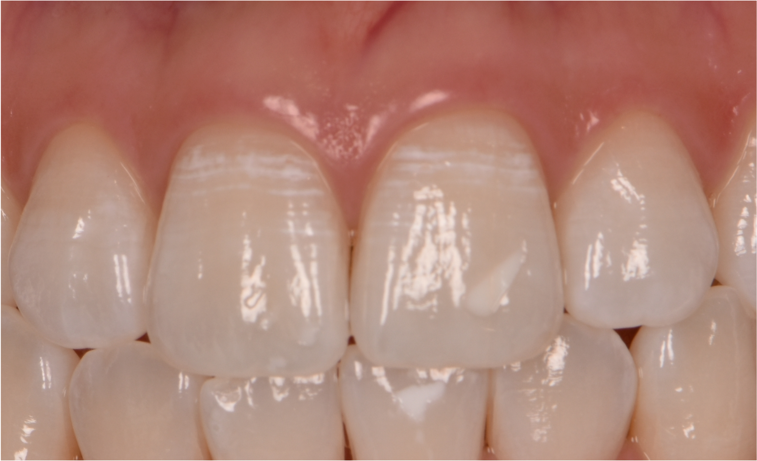
前歯の見た目を良くしたい
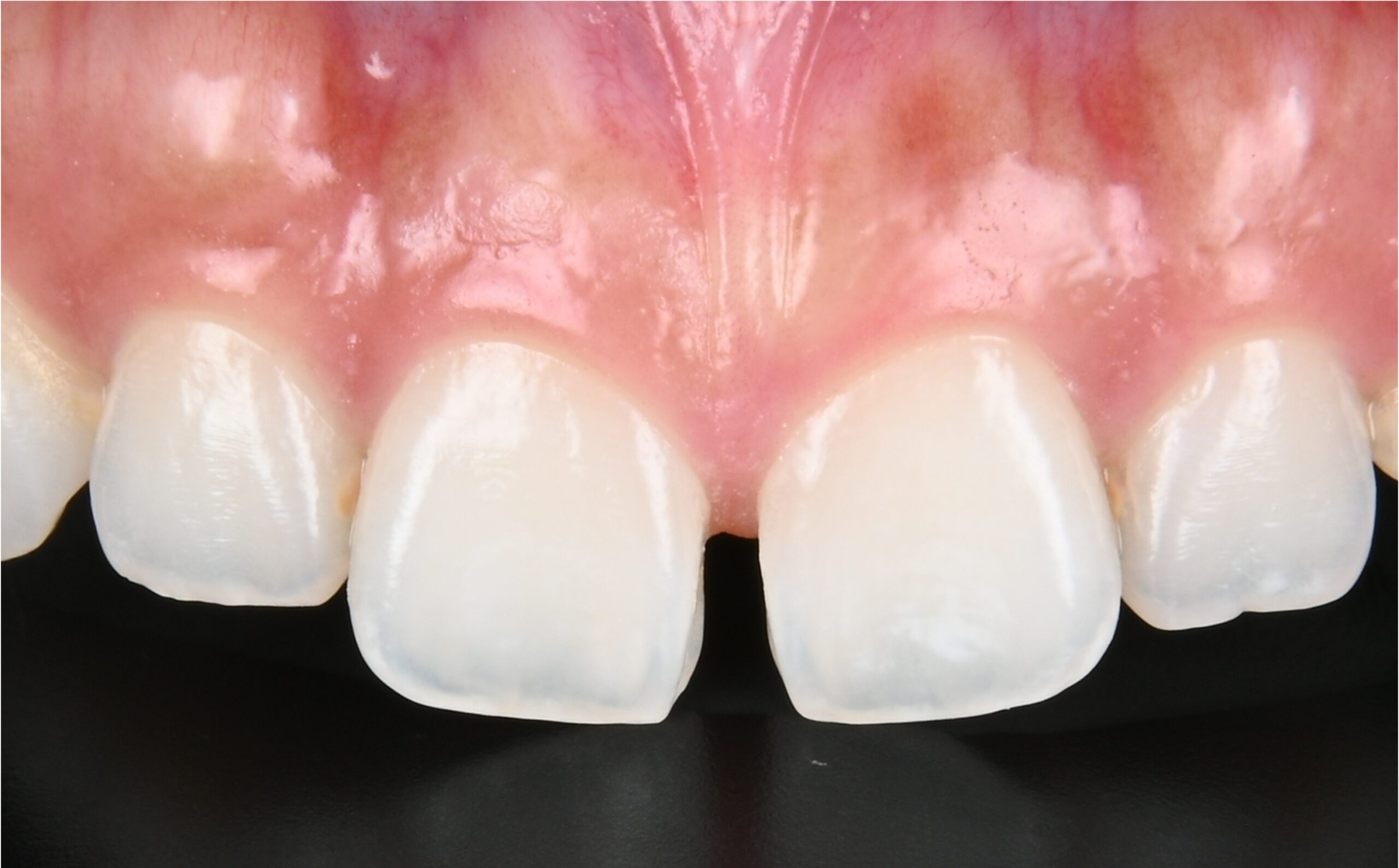
歯ぐきの色をきれいにしたい
子どものむし歯を治療したい
歯がズキズキと痛む
入れ歯を作りたい
(保険適用3割負担の場合。また症状・検査内容により多少変動いたします)
FLOW
仙台市宮城野区の歯医者|仙台イーストデンタル

ご予約の日時にご来院ください。保険証やお薬手帳をお持ちいただくと、受付がスムーズです。

現在の症状や既往歴、気になることなどを問診票にご記入いただきます。

レントゲン撮影や視診を行い、お口の状態を丁寧に確認します。検査結果はわかりやすくご説明いたします。
「その場しのぎの治療」ではなく、根本的な原因を見極めて、長く健康なお口でいられるようにご提案しています。 痛みが強い場合には、まずは応急処置でしっかり対応いたしますのでご安心ください。応急処置が終わりましたら、精密検査を行ってまいります。

患者さまのご希望も伺いながら、最適な治療方針をご提案します。ご不明な点は何でもお尋ねください。

ご納得いただいた治療計画に基づいて、治療を進めていきます。痛みに配慮し、安心して受けていただけるよう努めています。

治療後も良い状態を保つため、定期的なメンテナンスが大切です。予防ケアでお口の健康を長く守りましょう。

ご予約の日時にご来院ください。保険証やお薬手帳をお持ちいただくと、受付がスムーズです。

現在の症状や既往歴、気になることなどを問診票にご記入いただきます。

レントゲン撮影や視診を行い、お口の状態を丁寧に確認します。検査結果はわかりやすくご説明いたします。
「その場しのぎの治療」ではなく、根本的な原因を見極めて、長く健康なお口でいられるようにご提案しています。
痛みが強い場合には、まずは応急処置でしっかり対応いたしますのでご安心ください。
応急処置が終わりましたら、精密検査を行ってまいります。

患者さまのご希望も伺いながら、最適な治療方針をご提案します。ご不明な点は何でもお尋ねください。

ご納得いただいた治療計画に基づいて、治療を進めていきます。痛みに配慮し、安心して受けていただけるよう努めています。

治療後も良い状態を保つため、定期的なメンテナンスが大切です。予防ケアでお口の健康を長く守りましょう。
CLINIC
仙台市宮城野区の歯医者|仙台イーストデンタル
お子さま連れの患者さまでも安心いただけるようキッズ専用の診療スペースはもちろんのこと、
精密な治療のためのマイクロスコープをはじめとして、
歯科治療を円滑に正確に行なうための機器を取り入れています。
仙台市宮城野区エリアで院内設備に力を入れている歯医者です。
土曜18時まで診療で、駐車場6台完備
キッズルームも完備しており、お子さま連れも安心です。
| 診療時間 | 月 | 火 | 水 | 木 | 金 | 土 | 日 |
|---|---|---|---|---|---|---|---|
| 9:00-13:00 | ● | ● | ● | ━ | ● | ● | ━ |
| 14:30-18:00 | ● | ● | ● | ━ | ● | ● | ━ |
JR仙石線「宮城野原駅」から徒歩5分。
駅チカの通いやすい歯医者です。