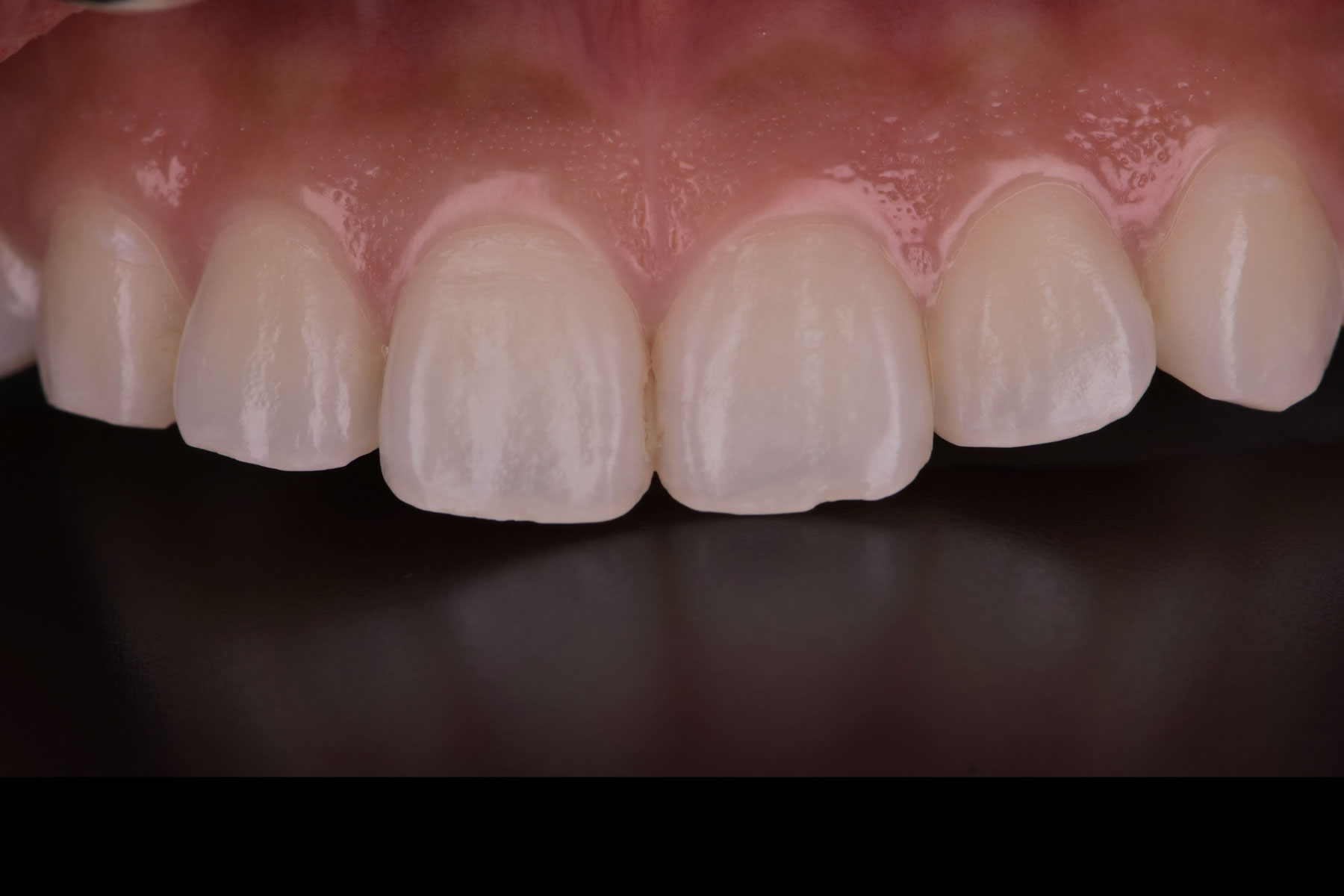
デュアルホワイトニング
歯を白くしたい
【歯を白くしたい】
- 主訴
- 歯を白くしたい
- 期間
- 2回
- 費用
- 56,100円
- 治療内容
- カスタムデュアルホワイトニング
- 治療に伴うリスク
- 【ホワイトニング】
・ホワイトニングの薬剤が歯にしみやすくなる場合があります
・歯の状態により期待通りの効果が得られない場合があります
・治療中に歯や歯茎に違和感を感じることがあります
・時間の経過により色調が元に戻る可能性があります
・歯の状態により適応とならない場合があります
歯を白くしたい
【カスタムデュアルホワイトニング】
- 主訴
- 歯を白くしたい
- 期間
- 2回
- 費用
- 56,100円
- 治療内容
- カスタムデュアルホワイトニング
- 治療に伴うリスク
- 【ホワイトニング】
・ホワイトニングの薬剤が歯にしみやすくなる場合があります
・歯の状態により期待通りの効果が得られない場合があります
・治療中に歯や歯茎に違和感を感じることがあります
・時間の経過により色調が元に戻る可能性があります
・歯の状態により適応とならない場合があります
歯の色が気になる【デュアルホワイトニング+ICON】
- 主訴
- 歯の色が気になる
- 期間
- 3回
- 費用
- 168,100円
- 治療内容
- デュアルホワイトニング
ICON
- 治療に伴うリスク
- 【ICON】
・冷たいものがしみる可能性があります
・完全な改善が得られない場合があります
・周囲の歯と完全に同じ色にならない可能性があります
・薬剤に対するアレルギーの可能性があります
・口腔環境により再び白濁が生じる場合があります
・長期経過で浸透したレジンが変色する可能性があります
【ホワイトニング】
・ホワイトニングの薬剤が歯にしみやすくなる場合があります
・歯の状態により期待通りの効果が得られない場合があります
・治療中に歯や歯茎に違和感を感じることがあります
・時間の経過により色調が元に戻る可能性があります
・歯の状態により適応とならない場合があります
前歯をきれいにしたい【デュアルホワイトニング+ICON】
- 主訴
- 前歯をきれいにしたい
- 期間
- 3回
- 費用
- 132,100円
- 治療内容
- デュアルホワイトニング
ICON
- 治療に伴うリスク
- 【ICON】
・冷たいものがしみる可能性があります
・完全な改善が得られない場合があります
・周囲の歯と完全に同じ色にならない可能性があります
・薬剤に対するアレルギーの可能性があります
・口腔環境により再び白濁が生じる場合があります
・長期経過で浸透したレジンが変色する可能性があります
【ホワイトニング】
・ホワイトニングの薬剤が歯にしみやすくなる場合があります
・歯の状態により期待通りの効果が得られない場合があります
・治療中に歯や歯茎に違和感を感じることがあります
・時間の経過により色調が元に戻る可能性があります
・歯の状態により適応とならない場合があります
前歯をきれいにしたい【デュアル ホワイトニング+ICON】
- 主訴
- 前歯をきれいにしたい
- 期間
- 3回
- 費用
- 132,100円
- 治療内容
- デュアルホワイトニング
ICON
- 治療に伴うリスク
- 【ICON】
・冷たいものがしみる可能性があります
・完全な改善が得られない場合があります
・周囲の歯と完全に同じ色にならない可能性があります
・薬剤に対するアレルギーの可能性があります
・口腔環境により再び白濁が生じる場合があります
・長期経過で浸透したレジンが変色する可能性があります
【ホワイトニング】
・ホワイトニングの薬剤が歯にしみやすくなる場合があります
・歯の状態により期待通りの効果が得られない場合があります
・治療中に歯や歯茎に違和感を感じることがあります
・時間の経過により色調が元に戻る可能性があります
・歯の状態により適応とならない場合があります
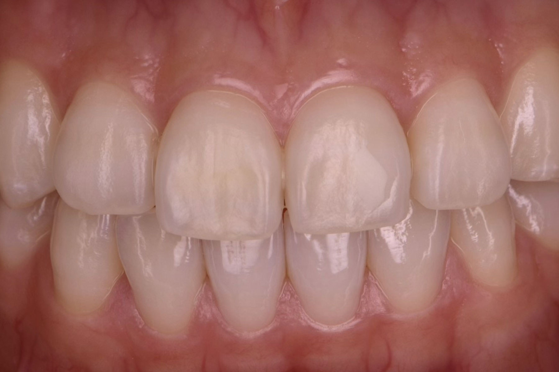
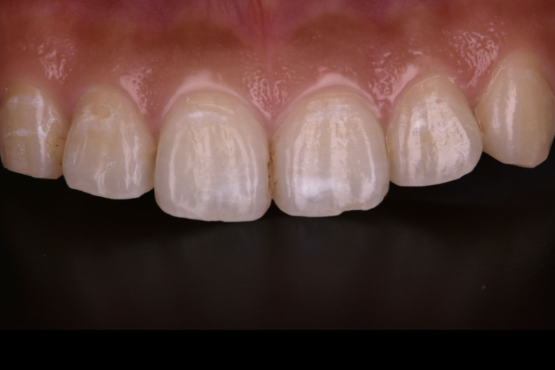
前歯の白い部分が気になる【ホワイトニング+ICON】
- 主訴
- 前歯の白い部分が気になる
- 期間
- 3回
- 費用
- 114,100円
- 治療内容
- ホワイトニング
ICON
- 治療に伴うリスク
- 【ICON】
・冷たいものがしみる可能性があります
・完全な改善が得られない場合があります
・周囲の歯と完全に同じ色にならない可能性があります
・薬剤に対するアレルギーの可能性があります
・口腔環境により再び白濁が生じる場合があります
・長期経過で浸透したレジンが変色する可能性があります
【ホワイトニング】
・ホワイトニングの薬剤が歯にしみやすくなる場合があります
・歯の状態により期待通りの効果が得られない場合があります
・治療中に歯や歯茎に違和感を感じることがあります
・時間の経過により色調が元に戻る可能性があります
・歯の状態により適応とならない場合があります
前歯の白いのが気になる
- 主訴
- 前歯の白いのが気になる
- 期間
- 3回
- 費用
- 114,100円
- 治療内容
- ホワイトニング
ICON
- 治療に伴うリスク
- 【ICON】
・冷たいものがしみる可能性があります
・完全な改善が得られない場合があります
・周囲の歯と完全に同じ色にならない可能性があります
・薬剤に対するアレルギーの可能性があります
・口腔環境により再び白濁が生じる場合があります
・長期経過で浸透したレジンが変色する可能性があります
【ホワイトニング】
・ホワイトニングの薬剤が歯にしみやすくなる場合があります
・歯の状態により期待通りの効果が得られない場合があります
・治療中に歯や歯茎に違和感を感じることがあります
・時間の経過により色調が元に戻る可能性があります
・歯の状態により適応とならない場合があります
前歯をきれいにしたい【デュアルホワイトニング+ICON】
- 主訴
- 前歯をきれいにしたい
- 期間
- 3回
- 費用
- 168,100円
- 治療内容
- デュアルホワイトニング
ICON
- 治療に伴うリスク
- 【ICON】
・冷たいものがしみる可能性があります
・完全な改善が得られない場合があります
・周囲の歯と完全に同じ色にならない可能性があります
・薬剤に対するアレルギーの可能性があります
・口腔環境により再び白濁が生じる場合があります
・長期経過で浸透したレジンが変色する可能性があります
【ホワイトニング】
・ホワイトニングの薬剤が歯にしみやすくなる場合があります
・歯の状態により期待通りの効果が得られない場合があります
・治療中に歯や歯茎に違和感を感じることがあります
・時間の経過により色調が元に戻る可能性があります
・歯の状態により適応とならない場合があります
前歯を綺麗にしたい【デュアルホワイトニング+ICON】
- 主訴
- 前歯を綺麗にしたい
- 期間
- 4回
- 費用
- 114,100円
- 治療内容
- デュアルホワイトニング
ICON
- 治療に伴うリスク
- 【ICON】
・冷たいものがしみる可能性があります
・完全な改善が得られない場合があります
・周囲の歯と完全に同じ色にならない可能性があります
・薬剤に対するアレルギーの可能性があります
・口腔環境により再び白濁が生じる場合があります
・長期経過で浸透したレジンが変色する可能性があります
【ホワイトニング】
・ホワイトニングの薬剤が歯にしみやすくなる場合があります
・歯の状態により期待通りの効果が得られない場合があります
・治療中に歯や歯茎に違和感を感じることがあります
・時間の経過により色調が元に戻る可能性があります
・歯の状態により適応とならない場合があります
前歯の白い縞模様が気になる【ホームホワイトニング+ICON】
- 主訴
- 前歯の白い縞模様が気になる
- 期間
- 3回
- 費用
- 93,200円
- 治療内容
- ホームホワイトニング
ICON
- 治療に伴うリスク
- 【ICON】
・冷たいものがしみる可能性があります
・完全な改善が得られない場合があります
・周囲の歯と完全に同じ色にならない可能性があります
・薬剤に対するアレルギーの可能性があります
・口腔環境により再び白濁が生じる場合があります
・長期経過で浸透したレジンが変色する可能性があります
【ホワイトニング】
・ホワイトニングの薬剤が歯にしみやすくなる場合があります
・歯の状態により期待通りの効果が得られない場合があります
・治療中に歯や歯茎に違和感を感じることがあります
・時間の経過により色調が元に戻る可能性があります
・歯の状態により適応とならない場合があります




















