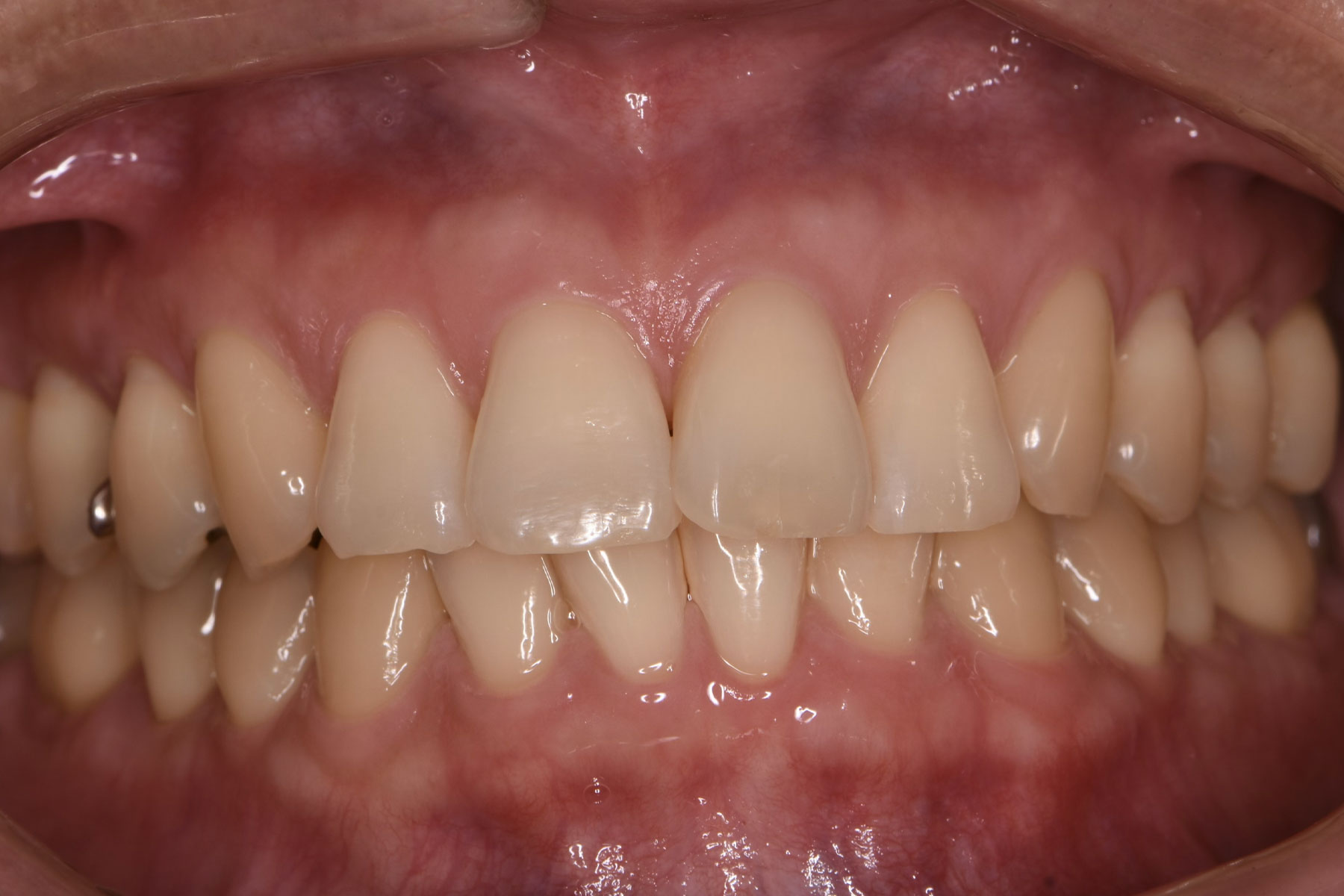
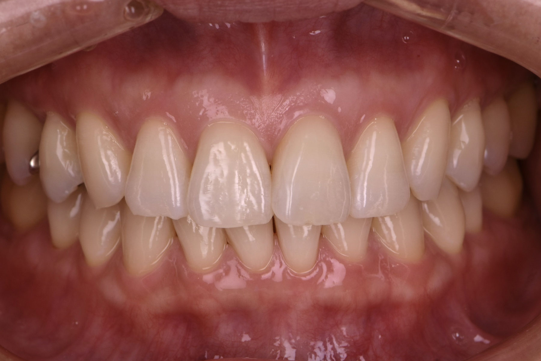
ホワイトニングをしたい
【お手軽デュアルホワイトニング】
治療前
治療後
| 主訴 | ホワイトニングをしたい |
|---|---|
| 期間 | 3週間 |
| 費用 | 46,200円 |
| 治療内容 | お手軽デュアルホワイトニング |
| 治療に伴うリスク | ・ホワイトニングの効果には個人差があります。歯の質や着色の種類によっては、希望する白さにならない場合もあります。 ・施術後、一時的に歯がしみる・知覚過敏のような症状が出ることがあります。ほとんどは数日でおさまりますが、症状が続く場合はご相談ください。 ・人工歯(詰め物・被せ物・差し歯など)はホワイトニングでは白くなりません。 ・施術後は、色の濃い飲食物(コーヒー・赤ワイン・カレーなど)を避けることで、白さをより長く保てます。 ・薬剤を使用するため、妊娠中・授乳中の方や重度の歯肉炎・虫歯がある方は、施術を控えていただく場合があります。 ・ホワイトニング効果は永続的ではありません。定期的なメンテナンスを行うことで白さを維持しやすくなります。 |




















