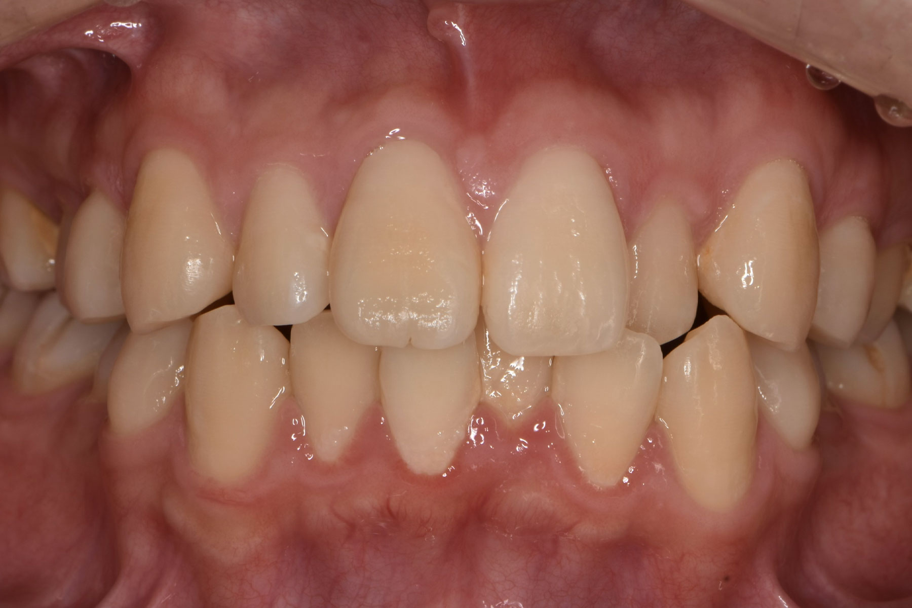
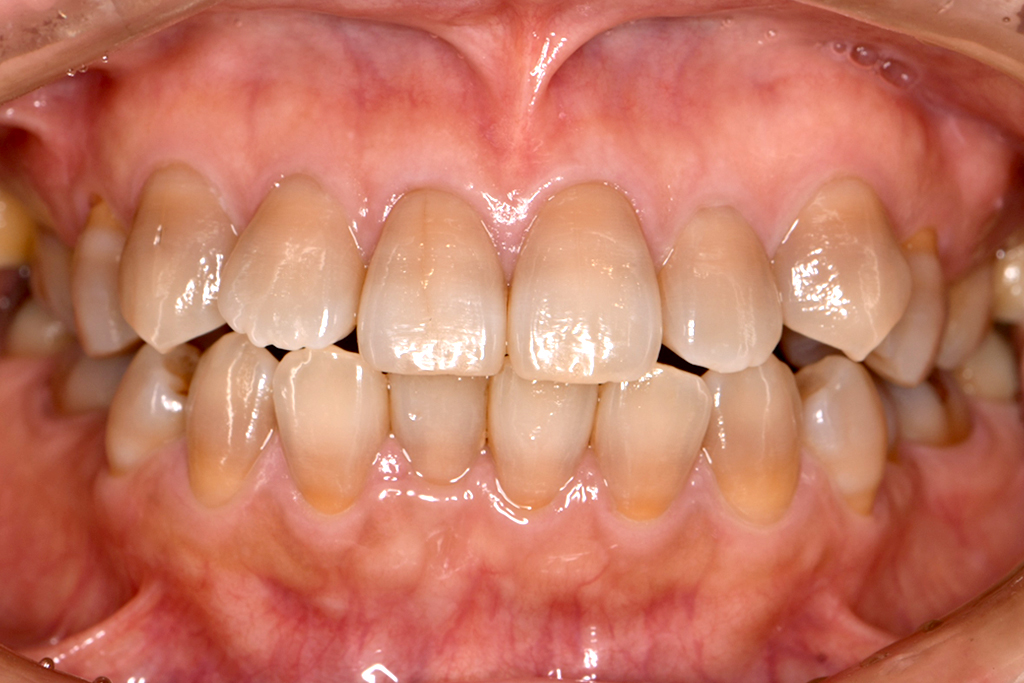
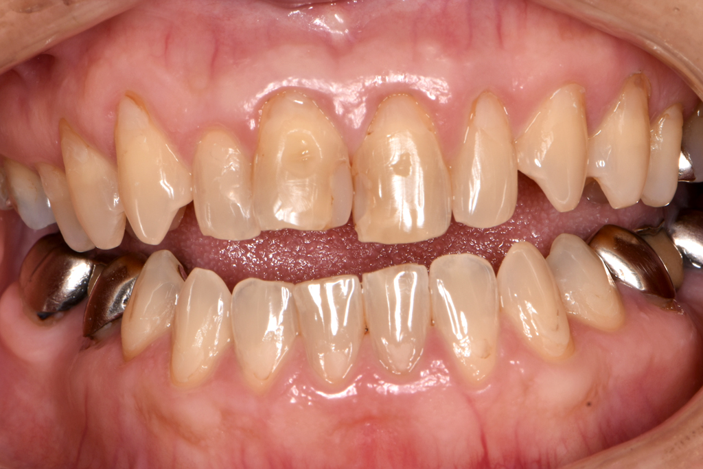
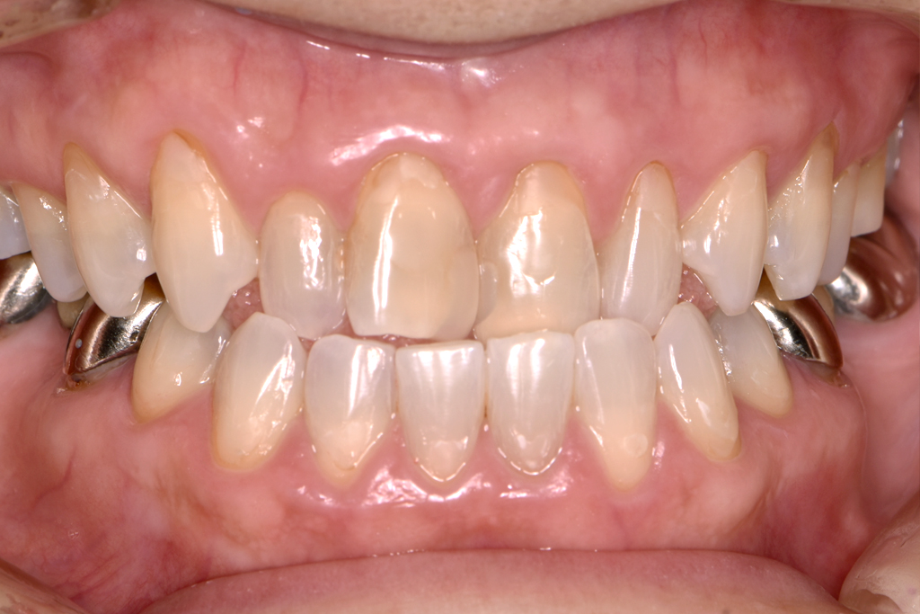
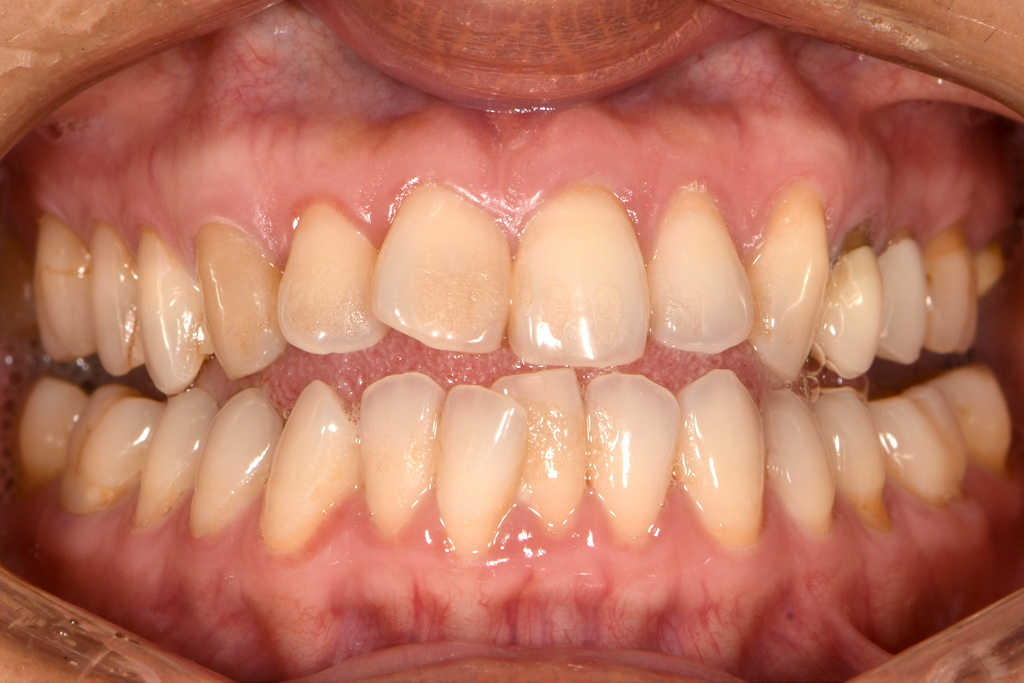
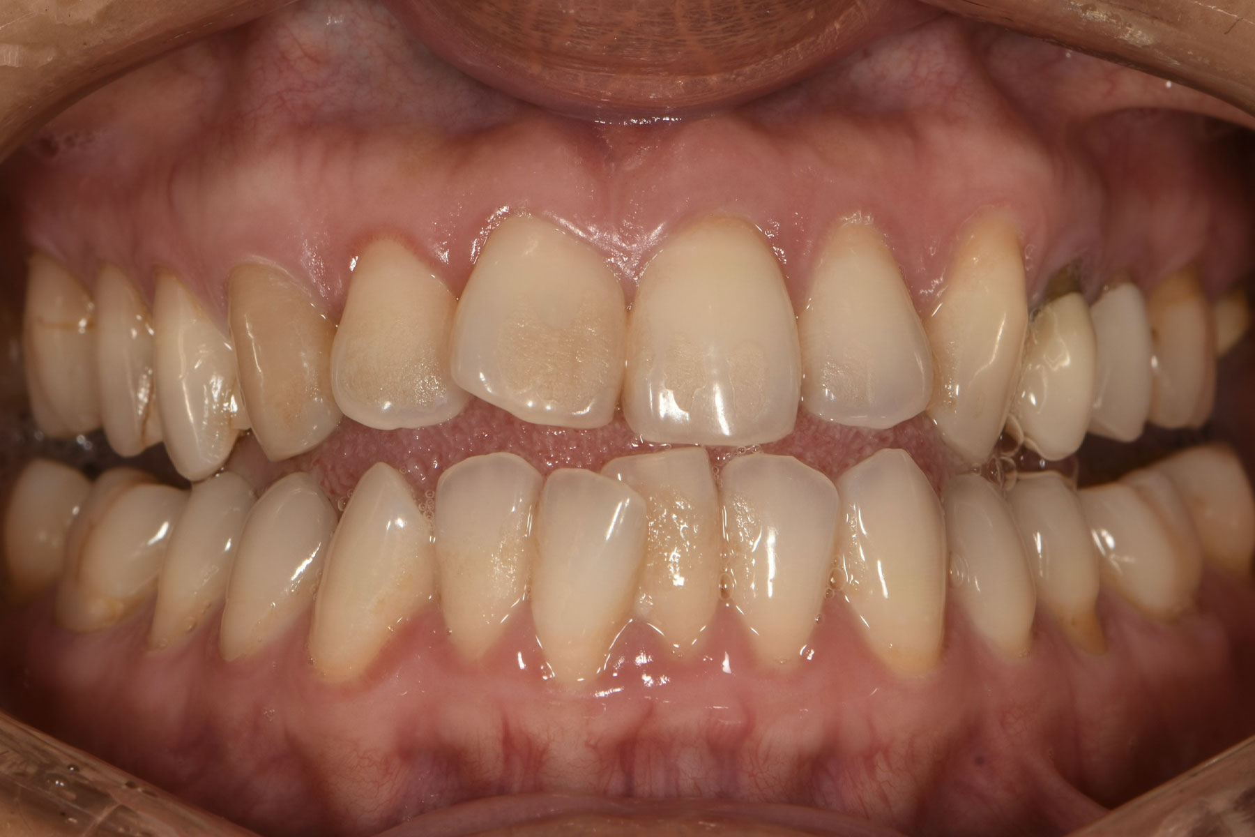
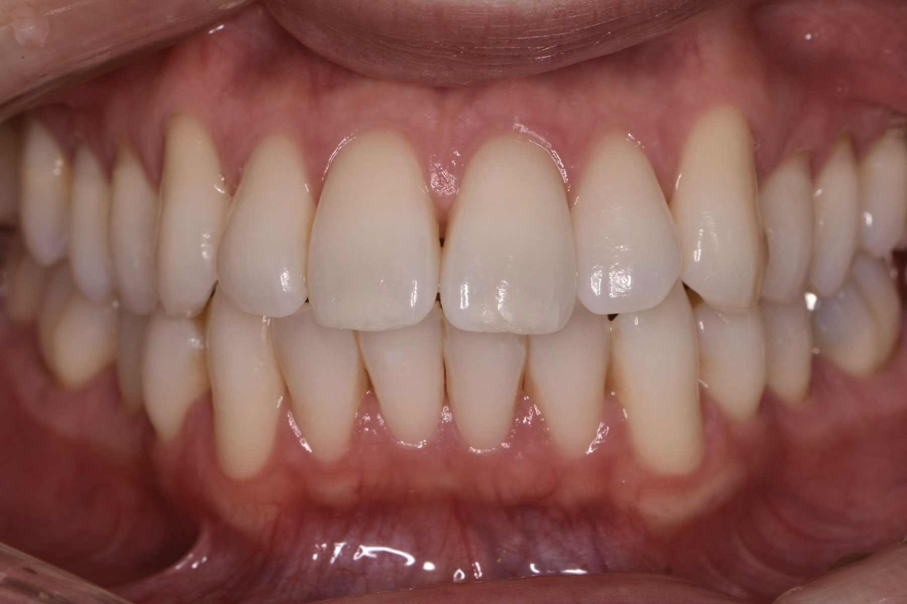
前歯の白いのが気になる
治療前
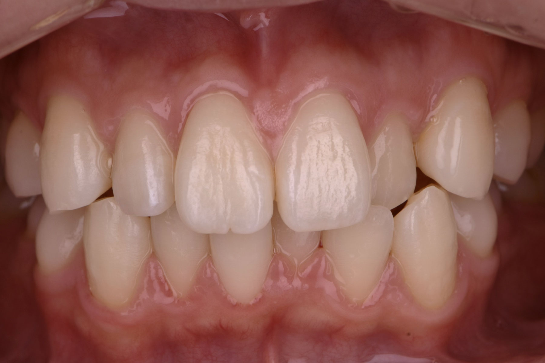
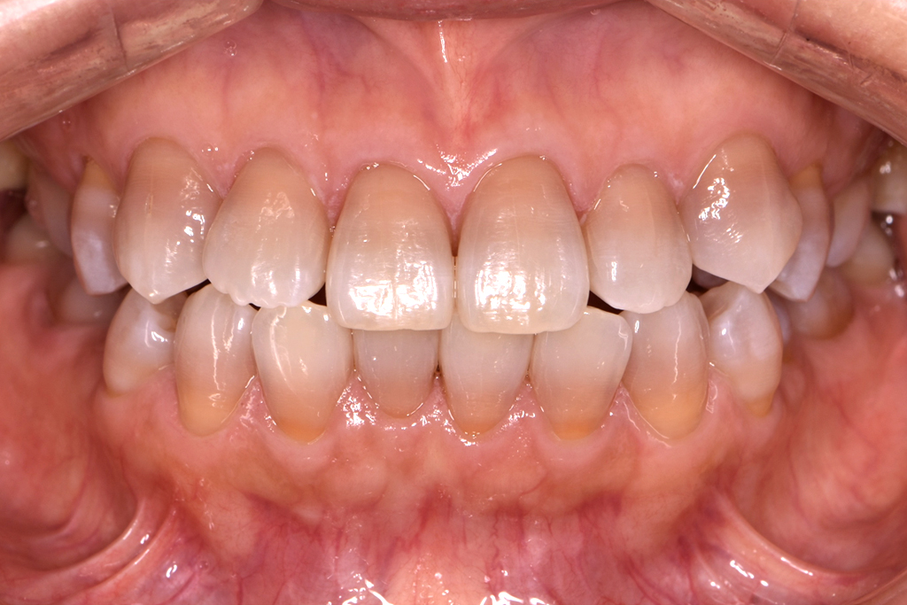
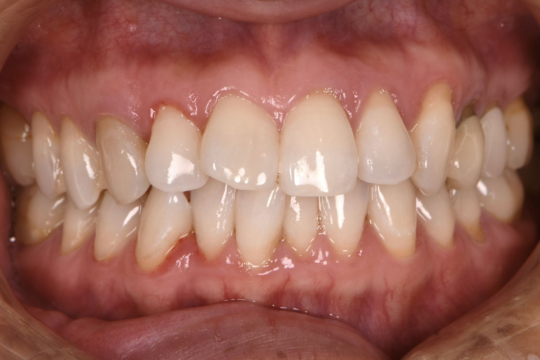
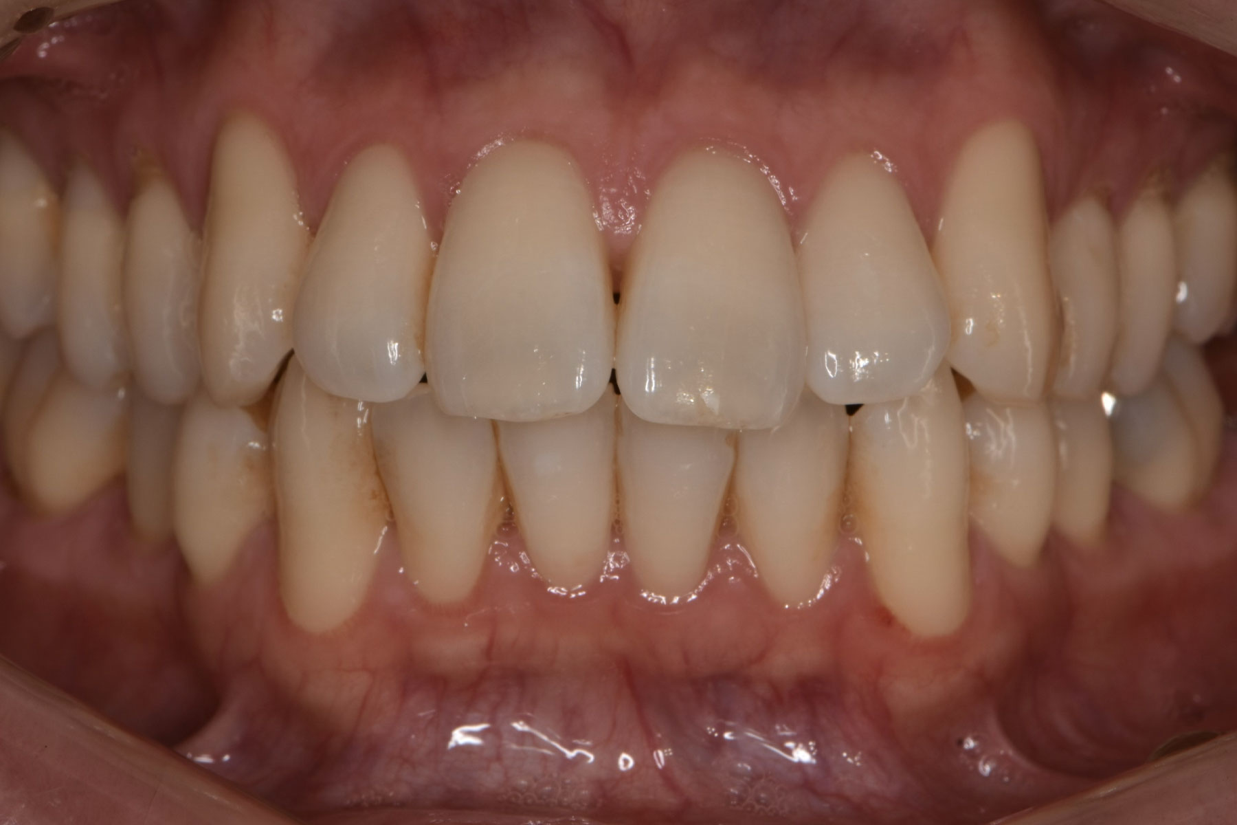
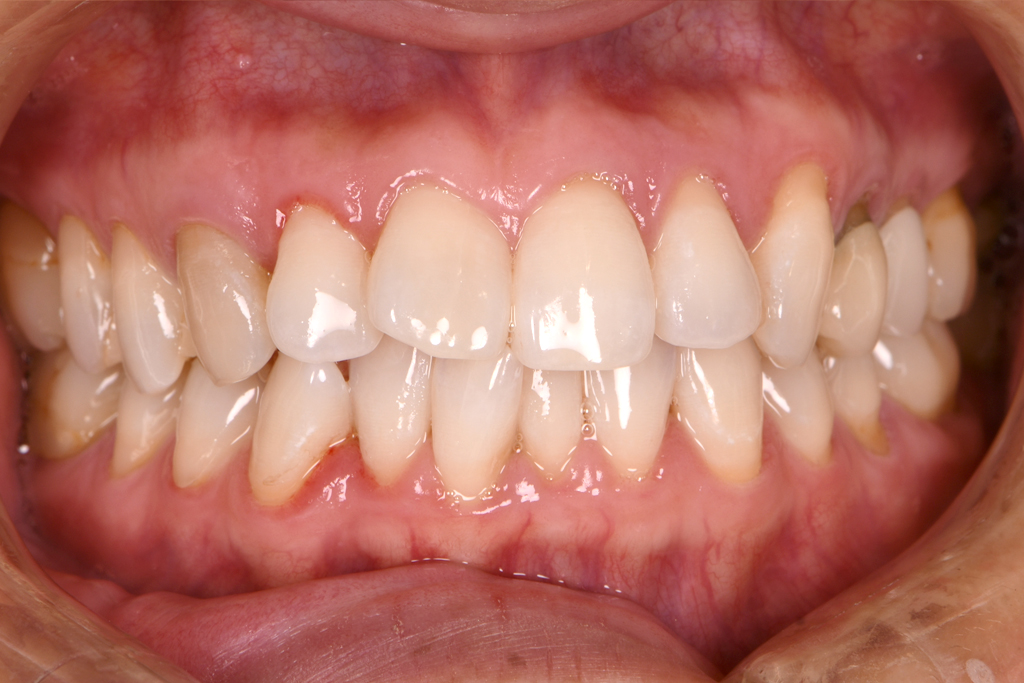
治療後
| 主訴 | 前歯の白いのが気になる |
|---|---|
| 期間 | 3回 |
| 費用 | 114,100円 |
| 治療内容 | ホワイトニング ICON |
| 治療に伴うリスク | 【ICON】 ・冷たいものがしみる可能性があります ・完全な改善が得られない場合があります ・周囲の歯と完全に同じ色にならない可能性があります ・薬剤に対するアレルギーの可能性があります ・口腔環境により再び白濁が生じる場合があります ・長期経過で浸透したレジンが変色する可能性があります 【ホワイトニング】 ・ホワイトニングの薬剤が歯にしみやすくなる場合があります ・歯の状態により期待通りの効果が得られない場合があります ・治療中に歯や歯茎に違和感を感じることがあります ・時間の経過により色調が元に戻る可能性があります ・歯の状態により適応とならない場合があります |




















