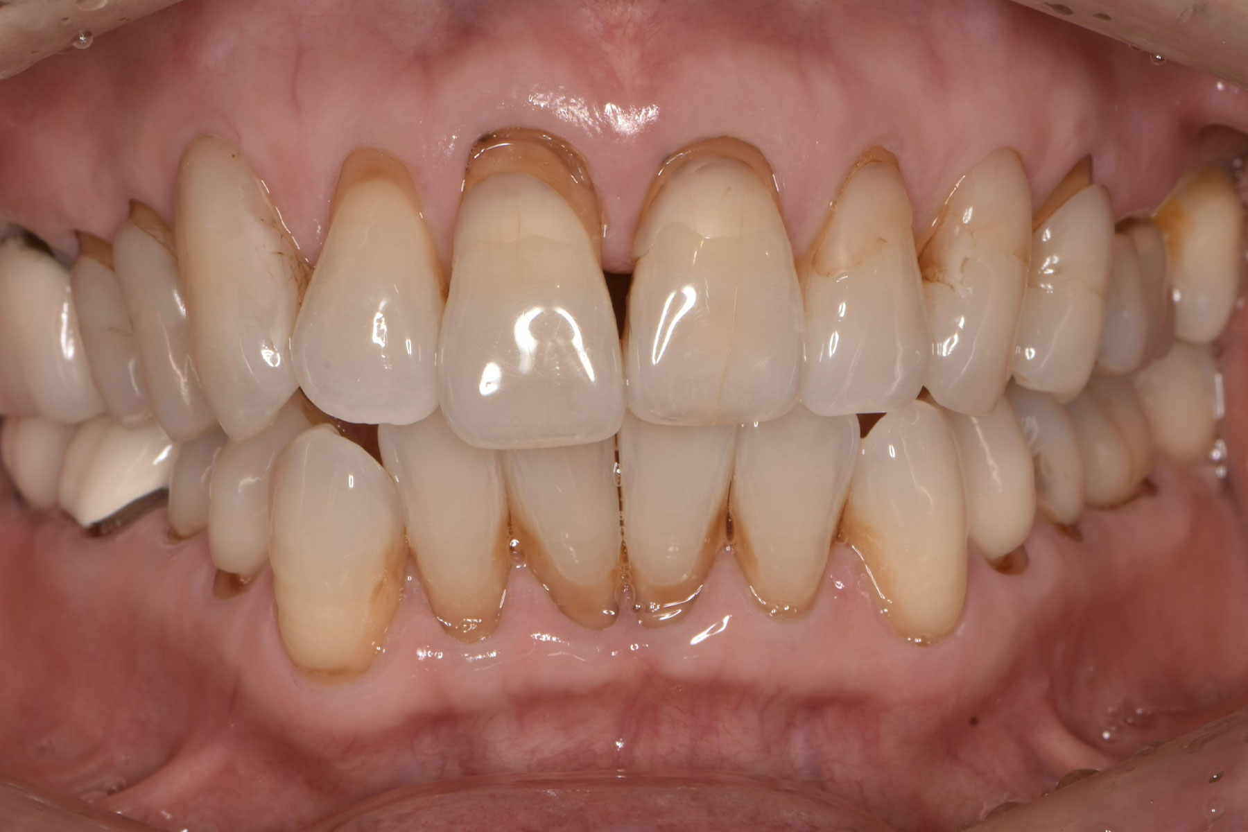
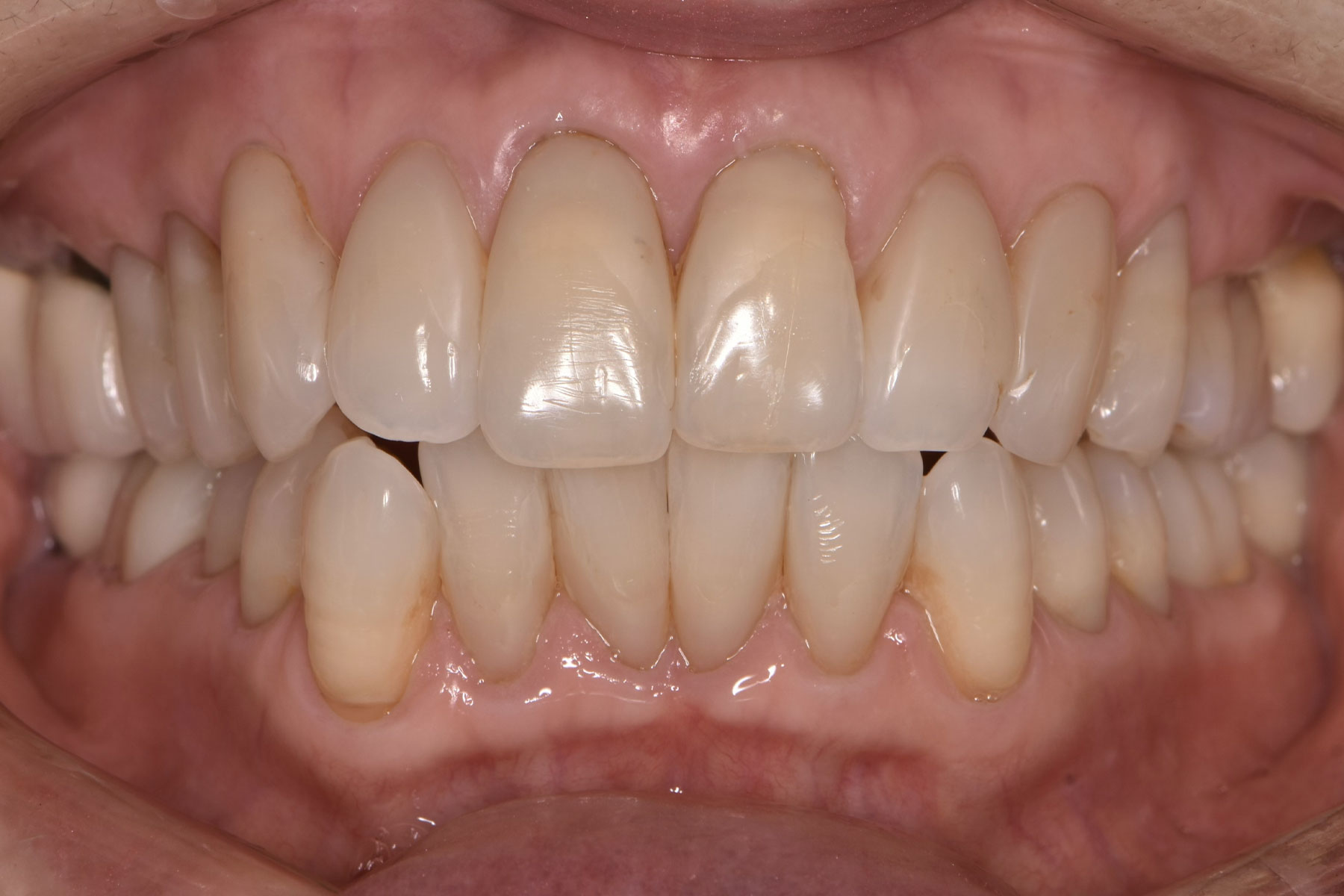
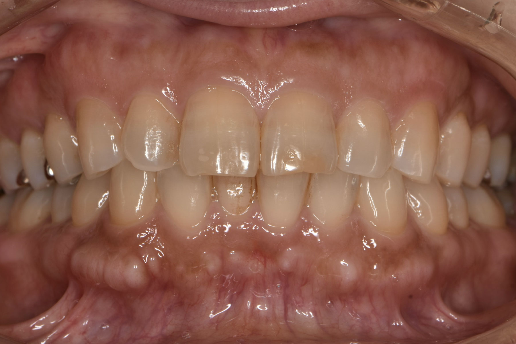
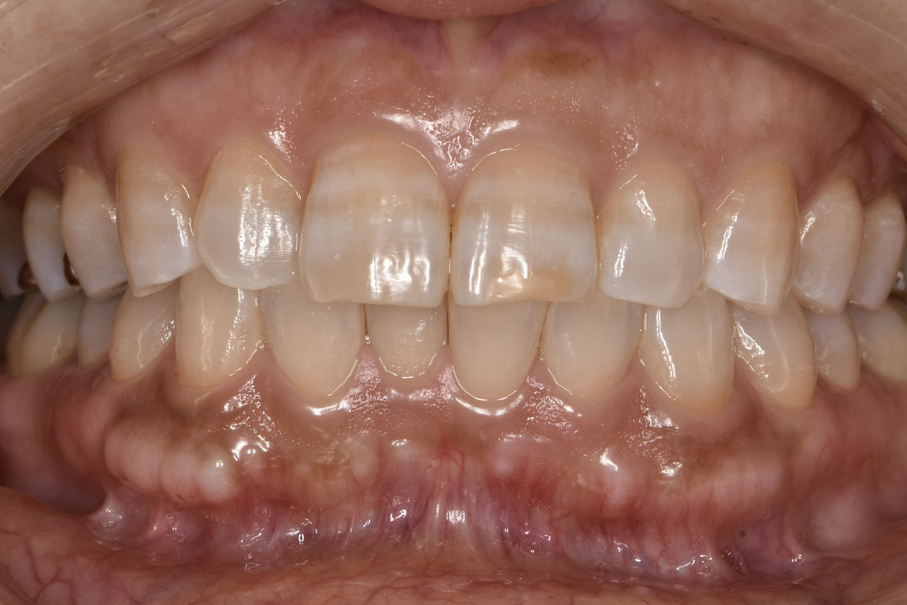
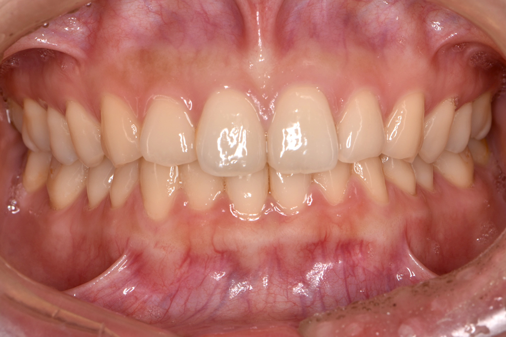
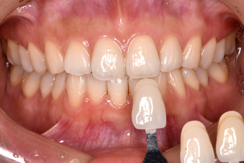
ホームホワイトニング
歯の色が気になる【ホームホワイトニング+ICON】
- 主訴
- 歯の色が気になる
- 期間
- 3回
- 費用
- 165,200円
- 治療内容
- ホームホワイトニング
ICON
- 治療に伴うリスク
- 【ICON】
・冷たいものがしみる可能性があります
・完全な改善が得られない場合があります
・周囲の歯と完全に同じ色にならない可能性があります
・薬剤に対するアレルギーの可能性があります
・口腔環境により再び白濁が生じる場合があります
・長期経過で浸透したレジンが変色する可能性があります
【ホワイトニング】
・ホワイトニングの薬剤が歯にしみやすくなる場合があります
・歯の状態により期待通りの効果が得られない場合があります
・治療中に歯や歯茎に違和感を感じることがあります
・時間の経過により色調が元に戻る可能性があります
・歯の状態により適応とならない場合があります
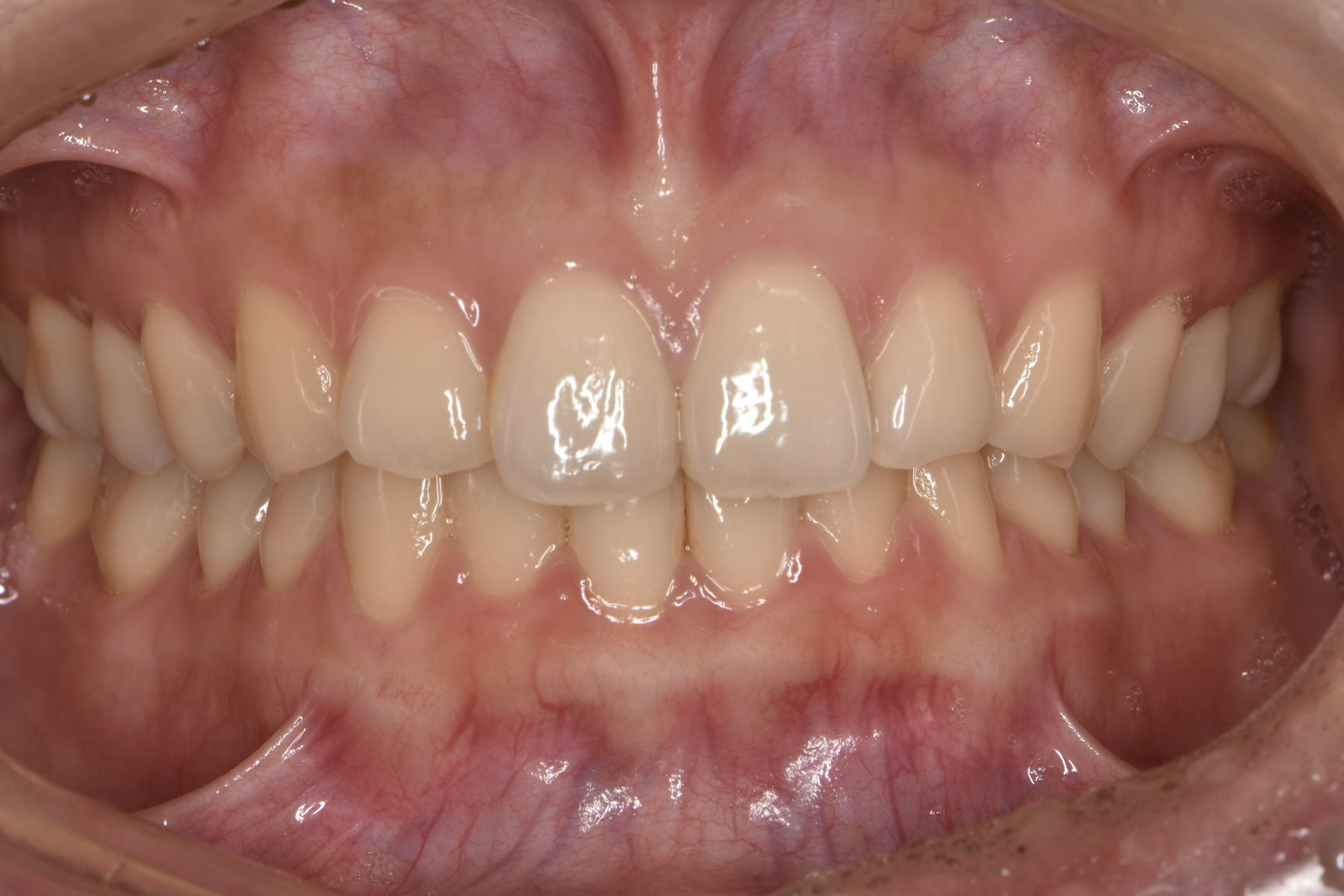
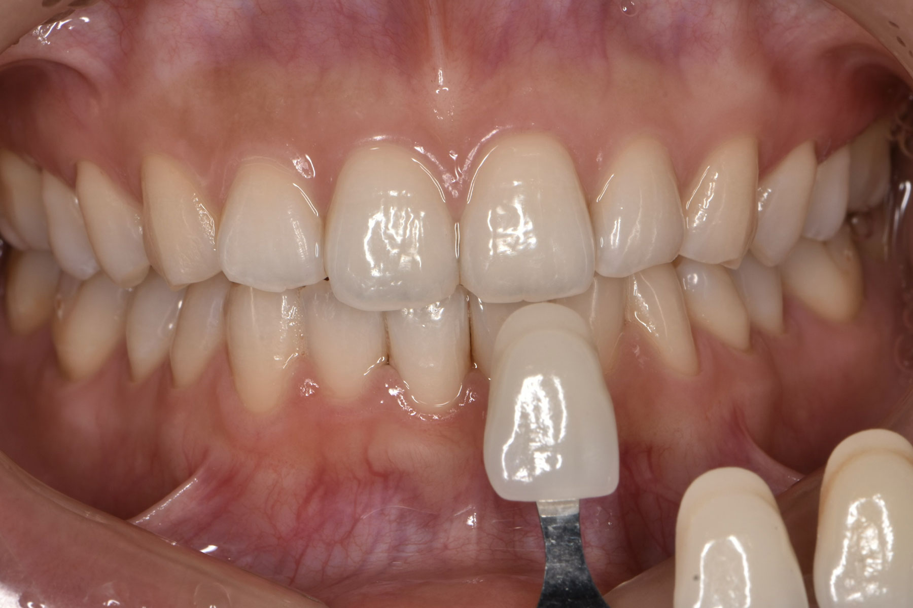
歯を白くしたい【カスタムホームホワイトニング】
- 主訴
- 歯を白くしたい
- 期間
- 3週間
- 費用
- 35,200円
- 治療内容
- カスタムホームホワイトニング
- 治療に伴うリスク
- ・ホワイトニングの効果には個人差があります。歯の質や着色の種類によっては、希望する白さにならない場合もあります。
・施術後、一時的に歯がしみる・知覚過敏のような症状が出ることがあります。ほとんどは数日でおさまりますが、症状が続く場合はご相談ください。
・人工歯(詰め物・被せ物・差し歯など)はホワイトニングでは白くなりません。
・施術後は、色の濃い飲食物(コーヒー・赤ワイン・カレーなど)を避けることで、白さをより長く保てます。
・薬剤を使用するため、妊娠中・授乳中の方や重度の歯肉炎・虫歯がある方は、施術を控えていただく場合があります。
・ホワイトニング効果は永続的ではありません。定期的なメンテナンスを行うことで白さを維持しやすくなります。
歯を綺麗にしたい【お手軽ホームホワイトニング】
- 主訴
- 歯を綺麗にしたい
- 期間
- 2週間
- 費用
- 25,300円
- 治療内容
- お手軽ホームホワイトニング
- 治療に伴うリスク
- ・ホワイトニングの効果には個人差があります。歯の質や着色の種類によっては、希望する白さにならない場合もあります。
・施術後、一時的に歯がしみる・知覚過敏のような症状が出ることがあります。ほとんどは数日でおさまりますが、症状が続く場合はご相談ください。
・人工歯(詰め物・被せ物・差し歯など)はホワイトニングでは白くなりません。
・施術後は、色の濃い飲食物(コーヒー・赤ワイン・カレーなど)を避けることで、白さをより長く保てます。
・薬剤を使用するため、妊娠中・授乳中の方や重度の歯肉炎・虫歯がある方は、施術を控えていただく場合があります。
・ホワイトニング効果は永続的ではありません。定期的なメンテナンスを行うことで白さを維持しやすくなります。
ホワイトニングしたい【カスタムホームホワイトニング】
- 主訴
- ホワイトニングしたい
- 期間
- 2週間
- 費用
- 35,200円
- 治療内容
- カスタムホームホワイトニング
- 治療に伴うリスク
- ・ホワイトニングの効果には個人差があります。歯の質や着色の種類によっては、希望する白さにならない場合もあります。
・施術後、一時的に歯がしみる・知覚過敏のような症状が出ることがあります。ほとんどは数日でおさまりますが、症状が続く場合はご相談ください。
・人工歯(詰め物・被せ物・差し歯など)はホワイトニングでは白くなりません。
・施術後は、色の濃い飲食物(コーヒー・赤ワイン・カレーなど)を避けることで、白さをより長く保てます。
・薬剤を使用するため、妊娠中・授乳中の方や重度の歯肉炎・虫歯がある方は、施術を控えていただく場合があります。
・ホワイトニング効果は永続的ではありません。定期的なメンテナンスを行うことで白さを維持しやすくなります。
歯を綺麗にしたい【カスタムホームホワイトニング】
- 主訴
- 歯を綺麗にしたい
- 期間
- 4週間
- 費用
- 35,200円
- 治療内容
- カスタムホームホワイトニング
- 治療に伴うリスク
- ・ホワイトニングの効果には個人差があります。歯の質や着色の種類によっては、希望する白さにならない場合もあります。
・施術後、一時的に歯がしみる・知覚過敏のような症状が出ることがあります。ほとんどは数日でおさまりますが、症状が続く場合はご相談ください。
・人工歯(詰め物・被せ物・差し歯など)はホワイトニングでは白くなりません。
・施術後は、色の濃い飲食物(コーヒー・赤ワイン・カレーなど)を避けることで、白さをより長く保てます。
・薬剤を使用するため、妊娠中・授乳中の方や重度の歯肉炎・虫歯がある方は、施術を控えていただく場合があります。
・ホワイトニング効果は永続的ではありません。定期的なメンテナンスを行うことで白さを維持しやすくなります。
歯が黄色くて笑えない【お手軽ホームホワイトニング】
- 主訴
- 歯が黄色くて笑えない
- 期間
- 2週間
- 費用
- 25,300円
- 治療内容
- お手軽ホームホワイトニング
- 治療に伴うリスク
- ・ホワイトニングの効果には個人差があります。歯の質や着色の種類によっては、希望する白さにならない場合もあります。
・施術後、一時的に歯がしみる・知覚過敏のような症状が出ることがあります。ほとんどは数日でおさまりますが、症状が続く場合はご相談ください。
・人工歯(詰め物・被せ物・差し歯など)はホワイトニングでは白くなりません。
・施術後は、色の濃い飲食物(コーヒー・赤ワイン・カレーなど)を避けることで、白さをより長く保てます。
・薬剤を使用するため、妊娠中・授乳中の方や重度の歯肉炎・虫歯がある方は、施術を控えていただく場合があります。
・ホワイトニング効果は永続的ではありません。定期的なメンテナンスを行うことで白さを維持しやすくなります。
【お手軽ホームホワイトニング】歯を白くしたい
- 主訴
- 歯を白くしたい
- 期間
- 1週間
- 費用
- 25,300円
- 治療内容
- お手軽ホームホワイトニング
- 治療に伴うリスク
- ・ホワイトニングの効果には個人差があります。歯の質や着色の種類によっては、希望する白さにならない場合もあります。
・施術後、一時的に歯がしみる・知覚過敏のような症状が出ることがあります。ほとんどは数日でおさまりますが、症状が続く場合はご相談ください。
・人工歯(詰め物・被せ物・差し歯など)はホワイトニングでは白くなりません。
・施術後は、色の濃い飲食物(コーヒー・赤ワイン・カレーなど)を避けることで、白さをより長く保てます。
・薬剤を使用するため、妊娠中・授乳中の方や重度の歯肉炎・虫歯がある方は、施術を控えていただく場合があります。
・ホワイトニング効果は永続的ではありません。定期的なメンテナンスを行うことで白さを維持しやすくなります。
歯を白くしたい
【カスタムホームホワイトニング】
- 主訴
- 歯を白くしたい
- 期間
- 3週間
- 費用
- 35,200円
- 治療内容
- カスタムホームホワイトニング
- 治療に伴うリスク
- ・ホワイトニングの効果には個人差があります。歯の質や着色の種類によっては、希望する白さにならない場合もあります。
・施術後、一時的に歯がしみる・知覚過敏のような症状が出ることがあります。ほとんどは数日でおさまりますが、症状が続く場合はご相談ください。
・人工歯(詰め物・被せ物・差し歯など)はホワイトニングでは白くなりません。
・施術後は、色の濃い飲食物(コーヒー・赤ワイン・カレーなど)を避けることで、白さをより長く保てます。
・薬剤を使用するため、妊娠中・授乳中の方や重度の歯肉炎・虫歯がある方は、施術を控えていただく場合があります。
・ホワイトニング効果は永続的ではありません。定期的なメンテナンスを行うことで白さを維持しやすくなります。
歯を綺麗にしたい
【お手軽ホームホワイトニング】
- 主訴
- 歯を綺麗にしたい
- 期間
- 2週間
- 費用
- 25,300円
- 治療内容
- お手軽ホームホワイトニング
- 治療に伴うリスク
- ・ホワイトニングの効果には個人差があります。歯の質や着色の種類によっては、希望する白さにならない場合もあります。
・施術後、一時的に歯がしみる・知覚過敏のような症状が出ることがあります。ほとんどは数日でおさまりますが、症状が続く場合はご相談ください。
・人工歯(詰め物・被せ物・差し歯など)はホワイトニングでは白くなりません。
・施術後は、色の濃い飲食物(コーヒー・赤ワイン・カレーなど)を避けることで、白さをより長く保てます。
・薬剤を使用するため、妊娠中・授乳中の方や重度の歯肉炎・虫歯がある方は、施術を控えていただく場合があります。
・ホワイトニング効果は永続的ではありません。定期的なメンテナンスを行うことで白さを維持しやすくなります。
ホワイトニングしたい
【カスタムホームホワイトニング】
- 主訴
- ホワイトニングしたい
- 期間
- 2週間
- 費用
- 35,200円
- 治療内容
- カスタムホームホワイトニング
- 治療に伴うリスク
- ・ホワイトニングの効果には個人差があります。歯の質や着色の種類によっては、希望する白さにならない場合もあります。
・施術後、一時的に歯がしみる・知覚過敏のような症状が出ることがあります。ほとんどは数日でおさまりますが、症状が続く場合はご相談ください。
・人工歯(詰め物・被せ物・差し歯など)はホワイトニングでは白くなりません。
・施術後は、色の濃い飲食物(コーヒー・赤ワイン・カレーなど)を避けることで、白さをより長く保てます。
・薬剤を使用するため、妊娠中・授乳中の方や重度の歯肉炎・虫歯がある方は、施術を控えていただく場合があります。
・ホワイトニング効果は永続的ではありません。定期的なメンテナンスを行うことで白さを維持しやすくなります。




















