セラミック治療
セラミック治療について

- 金属の詰め物、被せ物を白くしたい
- ︎詰め物、被せ物による金属アレルギー
が気になる - 歯の欠け、大きさ、隙間をきれいに
整えたい など
当院では見た目の美しさだけでなく、「噛む」「話す」といった機能面のバランスも重視し、できる限り自然で健康的な状態をめざして治療を行います。
専門の歯科技工士が常駐しており、院内の技工室でスピーディーに対応いたします。
銀歯を白くしたい、前歯の隙間が気になるなど、まずは気軽にご希望をお聞かせください。
審美歯科・セラミック治療に
関する『無料相談』
仙台市宮城野区の歯科|歯医者【仙台イーストデンタル】では、審美歯科、矯正歯科、インプラントでお悩みの方へ向けた初診無料相談・無料カウンセリングにも対応しております。
プライバシーを守る個室のカウンセリングルームを完備し、しっかりとお時間を確保のうえ丁寧な説明とご相談を大切にしております。
費用につきましても、治療計画をご提案する時点で明確にお伝えしております。そして、治療内容がその費用に値するものであると、患者様にご納得いただかない限り、治療を進めることはありませんので、安心してご相談ください。
輝く笑顔は、美しい口元から
歯科治療には「保険診療」と「自由診療」があります。
仙台イーストデンタルでは、保険診療の治療はもちろん、見た目や機能性にこだわれる審美治療(自由診療)も選択肢の一つとしてご提案いたします。
天然の歯と同じような見た目になれる治療で、笑顔あふれる毎日を送りませんか?
このようなお悩みは
ありませんか?
- 目立つ銀歯を白い歯にしたい
- 歯の治療痕が気になる
- 歯ぐきが黒ずんでいる
- 治療のときの金属素材でアレルギーが
心配
審美治療とは?
(自由診療)

口元の「機能性」を取り戻しながら、「美しさ」も追求できるのが審美治療です。
保険診療では、損なわれた歯の機能を補って「噛めるようになる」などの基本的な機能の再現をめざしますが、自由診療の審美治療はさらに理想的な「快適さ」「美しさ」をかなえることができます。
口元のコンプレックスが解消し、より美しく、より快適に噛めるように、適切な治療をご提案いたします。
当院の審美治療の特徴
当院は、お一人お一人のご要望をおうかがいし、機能性や審美性をかなえるためにオーダーメイドで詰め物・被せ物を製作しています。
装着する歯や歯ぐきと調和するように細かく色味を調整し、形も精巧に作り上げます。
治療前にホワイトニングなどでご自身の歯の色調を高めておくと、よりきれいな仕上がりになって理想的な口元に近づきます。
詰め物・被せ物を実際に製作する歯科技工士が診療に立ち会い、直接歯の色を相談できたり、調整できたりすることは、当院の大きなメリットです。
まずは「銀歯が気になる」「治療痕を目立たないようにしたい」などのご要望をお聞かせください。

審美歯科治療を受ける際の
ポイント
「快適で長持ちする」審美治療には、
事前の正確な診査診断が重要です
最初に患者様のお話を丁寧に伺い、しっかりと診査診断を行います。
そして、お口の状態に問題が確認される場合(むし歯・歯周病など)は、まずその改善から行います。
詰め物・被せ物が入る土台となるお口の状態をしっかりと整備しなければ、すぐに取れてしまったり、場合によってはむし歯や歯周病が進行し、再治療になってしまうことがあるためです。
お口の土台を整える初期治療が行われなかったがために、もともとの歯周病が悪化してしまい歯肉が腫れたり、歯と歯肉の隙間が生じて審美性が損なわれてしまうケースもございます。
当院では事前に精密な検査を行い、その症状がそもそもなぜ引き起こされたのか、根本的な原因からアプローチします。
そして、患者様のご要望と将来的な健康面も加味しながら、いくつかの治療の選択肢をご提案し、安心して納得して治療へと進んでいただけます。
患者様の細かなニーズ、理想とする
美のイメージにお応えするために
審美歯科治療は、“客観的な美”と“主観的な美”の融合であり、客観的な美に関しては私たちの専門分野となりますが、“主観的な美”は患者様ご本人の心の内にあるものです。
そのため、いかに「患者様の理想とする美しさ」を事前に共有できるか——本当に満足できる審美治療は、ここが重要となります。
当院では治療を行う前に、患者様と細かなすり合わせを行い、完成形のイメージを綿密に共有します。
院内の歯科技工室には専門のセラミスト(歯科技工士)が常駐しており、技工士も立ち合いのもと、お顔とのバランスや色味、前歯の見え方なども一緒に確認できます。
歯科医師と歯科技工士が一体となってサポートすることで、審美的な美しさはもちろん、お口の状態や噛み合わせなどの機能面も含めた細部にまでこだわりながら、患者様一人ひとりのお口に合わせたオーダーメイドの歯科技工物をご提供いたします。
審美歯科治療で後悔しないために
——自由診療について詳しくみる
保険診療と自由診療
保険診療は、治療の際に使える歯科素材や治療内容、通院回数などに限りがあります。
一方、自由診療は、さまざまな歯科素材から希望するものを選べて、通院回数もコントロールが可能です。
自由診療を無理におすすめすることはありませんが、ご満足いただける治療をめざして、選択肢の一つとしてご提案する場合があります。
保険診療とは
「すべての国民が必要最低限の治療を受けられる」という考えのもと、公的な医療保険制度が適用される診療のことです。
経済的な負担が抑えられることがメリットです。
検査や治療の内容、使う素材、薬剤、治療日数などが全国共通で定められているため、必ずしも満足できる治療が行えるとは限りません。
自由診療とは
治療に対するさまざまなニーズに臨機応変に対応可能です。
保険診療よりも費用はかかりますが、幅広い選択肢の中からご自身の希望通りの治療が受けられます。
先進的な治療や高水準の素材も使えるので、見た目や噛み心地が改善されたり、長持ちする素材で詰め物・被せ物を作れたりと、多くのメリットを感じられます。
むし歯治療後も美しい
「セラミック治療」と
「ダイレクトボンディング」
むし歯を削って詰め物や被せ物を装着する際、保険診療の場合はいわゆる「銀歯」かプラスチック素材の「レジン」で製作します。
目立つ治療痕が気になったり、金属アレルギーが心配だったりする場合は、自由診療のセラミック素材を使った治療やダイレクトボンディングをご提案しています。
セラミックは、見た目が天然の歯のような美しい白さで、アレルギーの心配もありません。
口を開けるとすぐに見える前歯などは、セラミックの特性が活かされて満足度の高い治療につながります。
また、ダイレクトボンディングはペースト状の白い素材を歯に直接盛りつけて形成して固め、見た目と機能性を回復する治療法です。
むし歯の治療後はもちろん、歯のすき間や欠けを埋めて見た目を整えることもできます。
時間や手間のかかる型取りなどの工程が必要ありません。
ツヤと透明感のあるセラミック
歯科素材のセラミックは、陶器と同じ種類の材質です。適度なツヤと透明感があり、天然の歯に装着しても違和感がありません。
金属を使っていないため、金属アレルギーの心配がなく、丈夫で汚れが付着しにくいので再治療のリスクを軽減できます。
メリットの多い素材ですが、もちろんデメリットもあります。

セラミックの
メリット・デメリット
メリット
天然の歯になじむ
自分の歯の色に合わせて色味を調整できるので、口を開けても治療した部分が目立ちません。
白いプラスチック素材のレジンと比較しても、ツヤや透明感があるので審美性に優れています。
時間が経っても劣化しにくい
いわゆる銀歯の場合、長い時間をかけて金属のイオンが溶け出して歯ぐきが黒っぽく変色することがあります。
また、レジンは着色や経年劣化によって黄ばみが出ることがありますが、セラミックはこれらの現象が起こりにくく、劣化や変色の少ない素材です。
むし歯の再発リスクを抑える
むし歯を治療すると、詰め物・被せ物のすき間からまだ感染して再発することがあります。
セラミックの場合、特殊な機器で緻密に作られるので適合性がよく、歯や歯ぐきと密着して装着できるので、むし歯が再発しにくくなります。
汚れが付着しにくい
銀歯やレジンは表面に傷がつきやすく、汚れがそこに付着するとむし歯の再発や口臭につながります。
セラミックは表面がツルツルで傷や汚れがつきにくいので、お口の清潔を保つことができます。
金属アレルギーの心配がない
セラミックは金属を使わない素材です。オールセラミックなど、金属と組み合わせない詰め物・被せ物は金属アレルギーを起こすことはありません。
デメリット
欠けやヒビ割れの恐れがある
硬く丈夫な素材のセラミックですが、衝突や歯ぎしりなどの強い力が加わると、まれに欠けたり、ヒビが入ったりすることがあります。
保険診療より費用がかかる
基本的に保険が適用されないので、銀歯やレジンに比べると治療費用が高くなります。
仙台イースト
デンタルで行う
審美治療の種類
(自由診療)
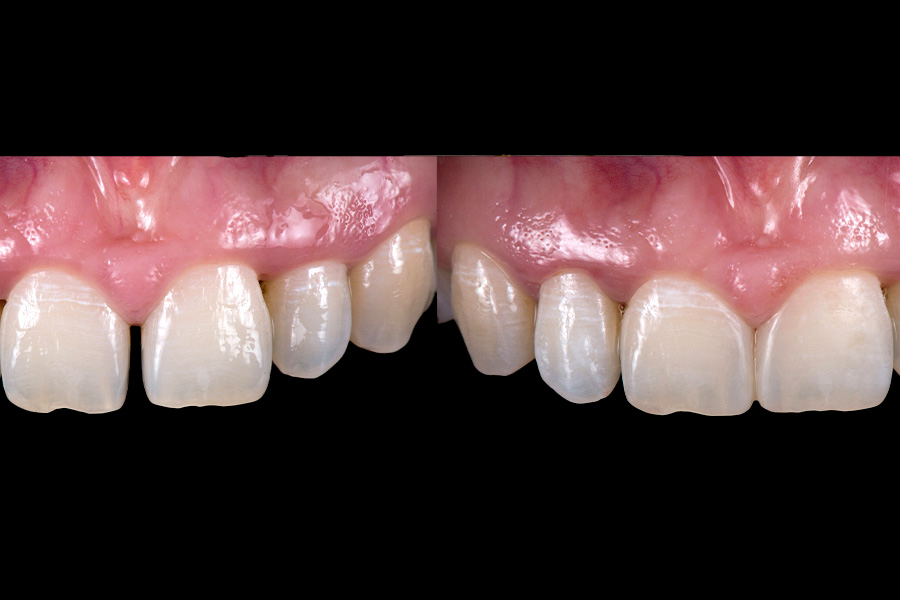
セラミックインレー
セラミックインレーとは、セラミック素材のみで作られた白い詰め物(インレー)です。
もともとの歯の色に合わせて調整ができ、自然な見た目をかなえられる審美性の高さがメリットです。
メタルフリー/ノンメタル素材のため金属アレルギーの心配もなく、精密に作ることができるので、治療痕からむし歯が再発するリスクを抑えられます。
ハイブリッドセラミックインレー(プラスチックとセラミックの混合素材)と比べ、オールセラミックインレーは審美的にも機能的にも上質かつ長持ちしやすくお勧めです。

治療におすすめの部分
前歯
目立ちやすく、
かみ合わせの力がかかりにくい歯
メリット
- 天然の歯のようにツヤと透明感が
あります。 - 審美性に優れ、長期間使用しても劣化や
変色が起こりにくく、きれいな状態を維持
できます。
デメリット
- 強い力がかかると欠けることがあります。
症例
セラミッククラウン
セラミッククラウンとは、セラミック素材のみで作られた白い被せ物(クラウン・差し歯)です。
詰め物よりも削った部分が大きい場合に、被せるように装着します。
審美性が高く、金属アレルギーの心配もありません(メタルフリー/ノンメタル素材)。
治療した歯に合わせて精密に作って接着することができるので、むし歯の再発リスクを抑えられます。
ジルコニアと比較すると強度はやや劣りますが、天然歯に近い色調を再現することができます。
透明感が高く、前歯~小臼歯を綺麗に治したい方に特にお勧めです。

治療におすすめの部分
前歯
口を開けると目立つ歯
メリット
- 周囲の歯の色調に合わせて調整が
できます。 - ツヤと透明感があり、長時間使用しても
劣化や変色が起こりにくい素材です。
デメリット
- 強い力がかかると欠けることがあります。
症例
フルジルコニアクラウン
フルジルコニアクラウンとは、「人工ダイヤモンド」と呼ばれるほど強度のあるジルコニアのみを使用した白い被せ物(クラウン・差し歯)です。
こちらも金属アレルギーの心配もありません(メタルフリー/ノンメタル素材)。
輝くような白さから、周囲の歯になじむ白さまで調整ができます。
ジルコニアの強度を活かし、噛んだときに強く力がかかる奥歯や、噛み合わせが強い方にもお勧めです。

治療におすすめの部分
奥歯
強い力で噛む部分
メリット
- 強度と耐久性の高い素材です。
- 奥歯など噛んだときに強い力が
かかっても欠けたり割れたりする
可能性が低いです。
デメリット
- かみ合わせる歯の負担が大きく、
強く噛むと欠けることがあります。
症例
ジルコニアセラミッククラウン
ジルコニアセラミッククラウンとは、自然な見た目のセラミックの内側に、ジルコニアを貼りつけた白い被せ物(クラウン・差し歯)です。
2つの素材を合わせるので、自然な見た目を保ちつつ、強度と耐久性がアップして硬いものもしっかりと噛めます。
色味・透明感ともに非常に優れ、「見た目も耐久性もこだわりたい」という方にお勧めです。

治療におすすめの部分
奥歯のブリッジ
噛んだときの力が大きく伝わる部分
メリット
- ジルコニアによって強度が増している
ので、奥歯のブリッジなど大きな力が
かかる歯にも使えます。 - 表面は透明感のあるセラミックなので、
見た目も自然です。
デメリット
- 強度が高いので、かみ合わせる歯の
負担が大きく、強く噛むと欠けること
があります。
症例
その他の
審美歯科治療メニュー
ダイレクトボンディング
白いペースト状のプラスチック素材を歯に直接盛りつけ、治療などで削った部分を補う治療法です。
通常の詰め物や被せ物と比べると、型取りや製作の時間がないので治療時間の短縮にもつながります。
気になる歯のすき間や欠け、変色にも対応できます。

治療におすすめの部分
前歯
治療痕やすき間などが目立つ歯
ラミネートベニア
セラミックを薄い板状にして、歯の表面に接着剤で貼り付けます。
ホワイトニングをしても白くならない歯や、神経を抜いて黒ずんでしまった歯でも、白い自然な見た目を取り戻せます。
歯の一部が欠けてしまった際の修復も可能です。

治療におすすめの部分
前歯や生まれつき歯の変色がある、もしくは歯並びをきれいに見せたい場所。
ホワイトスポット
歯の一部が白く濁っている場合、初期むし歯または、エナメル質形成不全の可能性があります。
どちらも歯の表面に白斑(はくはん)が認められ、総称して「ホワイトスポット」と呼ばれています。
初期むし歯は、むし歯菌によって歯の表面組織であるエナメル質が溶かされた状態です。
エナメル質形成不全は、乳幼児期におけるフッ素の過剰摂取や遺伝、環境などさまざまな要因によってエナメル質が正常に形成されていない状態を指します。

治療におすすめの部分
歯の一部が白く濁っている部分
ガムピーリング
黒ずんでしまった歯ぐきを、元の健康的なピンク色に戻す治療法です。
特殊な薬剤を歯ぐきに塗り、メラニン色素などを除去します。
タバコや着色しやすい食べ物(コーヒーや赤ワインなど)による黒ずみにも効果的です。

治療におすすめの部分
歯ぐき
口を開けたときに目立つ部分
金属アレルギーについて
金属アレルギーやアトピー性皮膚炎の原因が、じつは過去に治療した銀歯が原因だと判明したという方が増えてきています。
いわゆる「銀歯」をはじめ、歯科素材にはさまざまな金属が使われますが、使用してすぐに発症するわけではありません。
長い時間をかけて金属が溶け出し、体内に蓄積されてアレルギー症状が出てしまいます。
皮膚の炎症以外にも、身体の不調がある場合は歯科治療で使った金属が関係しているかもしれません。
心当たりのある方は、一度受診してみてはいかがでしょうか。

パッチテストで原因を探る
金属アレルギーの有無や原因となる金属を特定するには、皮膚科でパッチテストを受けてください。
過去の歯科治療で使った金属が原因だと判明した際には、お口の中からすべて除去してメタルフリーの歯科素材で治療をすれば改善されます。




































































