ホワイトスポット治療
Icon(アイコン)
ホワイトスポット治療:
Icon(アイコン)とは?

ホワイトスポット(歯の白濁)を治療する場合、これまでは歯を削ってから歯科用プラスチック樹脂などを詰める方法が基本でした。
しかし、この方法では健康な歯を削る必要があるだけでなく、時間の経過とともに変色してしまう難点がありました。
そうした中、近年では「ICON(アイコン)」という特殊な薬剤を用いることで、ホワイトスポット(歯の白濁)を改善できるようになりました。
お口の状態や症状にもよりますが、ICON(アイコン)治療は基本的に1回の来院で終了し、歯を削ることなく行えるケースも多くあります。
※ホワイトスポット治療は自由診療となります。
このような方におすすめです
- 前歯の白い白濁(白い斑点)が気になる
- ホワイトニングをしたら白い斑点が
出てきた - 生まれつき歯に白い部分がある
- 矯正後ブラケットを外したら白くなった
など
上記のような方は、削らずに歯の白濁を取り除ける「ICON(アイコン)」という治療法で改善できる場合があります。
審美歯科・ホワイトスポット治療
に関する『無料相談』
仙台市宮城野区の歯科|歯医者【仙台イーストデンタル】では、審美歯科、矯正歯科、インプラントでお悩みの方へ向けた初診無料相談・無料カウンセリングにも対応しております。
プライバシーを守る個室のカウンセリングルームを完備し、しっかりとお時間を確保のうえ丁寧な説明とご相談を大切にしております。
費用につきましても、治療計画をご提案する時点で明確にお伝えしております。そして、治療内容がその費用に値するものであると、患者様にご納得いただかない限り、治療を進めることはありませんので、安心してご相談ください。
ホワイトスポットとは?
(症状や原因)
歯の一部が白く濁っている場合、初期むし歯または、エナメル質形成不全の可能性があります。
どちらも歯の表面に白斑(はくはん)が認められ、総称して「ホワイトスポット」と呼ばれています。

ホワイトスポットができる
主な原因
ホワイトスポットは、初期むし歯やエナメル質形成不全によるものが多くございます。
初期むし歯は、むし歯菌によって歯の表面組織であるエナメル質が溶かされた状態です。
エナメル質形成不全は、乳幼児期におけるフッ素の過剰摂取や遺伝、環境などさまざまな要因によってエナメル質が正常に形成されていない状態を指します。
ICON(アイコン)
について
ICONとは、初期むし歯やホワイトスポットなどの歯の白濁を削らずに治療することを目的に、欧米で開発された薬剤です。
ICONは、酸によって脱灰したエナメル質に薬剤を浸透させることにより、歯を削ることなく早期にホワイトスポットを改善。
エナメル質からミネラルが溶け出すのを防止します。

ホワイトスポット治療:
Icon(アイコン)の
メリット・デメリット
ホワイトスポット治療:
Icon(アイコン)のメリット
歯を削らずに治療できる
従来のように白い斑点の部分を削って詰めるような治療ではないため、ほとんど歯を削ることなく行えます。
健康な歯質を削らないことは歯の寿命を保つことにつながります。
痛みも少ない治療
アイコン治療は歯はほとんど削らずに行えるため、麻酔も必要なく治療の痛みもほとんどありません。
(露出した象牙質またはセメント質がある場合、痛みを生じやすくなります。その場合は事前にご説明いたします。)
効果を早く実感できる
効果には個人差がありますが、ICON治療は早ければ1回の来院でホワイトスポットを改善することができます。
ホワイトニングを併用することで、より自然で明るい歯の白さへと導けます。
むし歯予防の効果も期待できる
ICONにはエナメル質を強化するはたらきもあるため、ホワイトスポットの予防効果も期待できます。
ホワイトスポット治療:
Icon(アイコン)のデメリット
進行したむし歯には適応できない
特殊な薬剤をエナメル質に浸透させる治療のため、ある程度症状が進んだむし歯には適応できません。
当院では事前にきちんと診査診断のうえ、その場合は症状に合わせた最適な治療方法をご提案いたします。
後戻りする場合がある
ホワイトスポット治療Icon(アイコン)は、歯の表面にレジンを浸透させ歯の白濁を改善していきます。
そのため、時間の経過とともにホワイトスポットの状態へと後戻りしてしまう可能性もあります。
Icon(アイコン)治療の
流れ
前処理
ラバーダム(ゴムのシート)を装着のうえ治療箇所以外を保護し、前処理としてアイコン・エッチの塗布を行います。

水洗い・乾燥
水洗いをし、エアーで乾燥させていきます。

さらに乾燥
アイコン・ドライを塗布し、治療箇所をさらに乾燥させていきます。

薬剤塗布
エナメル質を補強するアイコン・インフィルトラントを塗布します。

光重合
光重合器の特殊な光によって硬化させていきます。

薬剤塗布
アイコン・インフィルトラントを塗布します。

硬化
光重合器の特殊な光によって硬化させたら完了です。

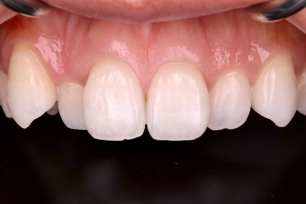
症例
Icon(アイコン)治療の
リスク・注意点
効果には個人差があります
ホワイトスポットの状態によって、治療で得られる効果には個人差があります。
治療が2回以上必要になることや、治療をしてから徐々に時間をかけて白斑が消失する場合もあります。
ホワイトニングする方は
先にしておく必要があります
ICON治療後はホワイトニングの薬剤が歯に浸透しなくなるため、ホワイトニングを考えている方は先にしておく必要があります。
その他の
審美歯科治療メニュー
セラミック治療
(白い詰め物・被せ物)
患者様一人ひとりのご要望をお伺いし、機能性や審美性をかなえるためにオーダーメイドで詰め物・被せ物を製作しています。
装着する歯や歯ぐきと調和するように細かく色味を調整し、形も精巧に作り上げます。
詰め物・被せ物を実際に製作する歯科技工士が診療に立ち会い、直接歯の色を相談できたり、調整できる点も当院のセラミック治療の大きな特徴です。

ダイレクトボンディング
白いペースト状のプラスチック素材を歯に直接盛りつけ、治療などで削った部分を補う治療法です。
通常の詰め物や被せ物と比べると、型取りや製作の時間がないので治療時間の短縮にもつながります。
気になる歯のすき間や欠け、変色にも対応できます。

ラミネートベニア
セラミックを薄い板状にして、歯の表面に接着剤で貼り付けます。
ホワイトニングをしても白くならない歯や、神経を抜いて黒ずんでしまった歯でも、白い自然な見た目を取り戻せます。
歯の一部が欠けてしまった際の修復も可能です。

ガムピーリング
黒ずんでしまった歯ぐきを、元の健康的なピンク色に戻す治療法です。
特殊な薬剤を歯ぐきに塗り、メラニン色素などを除去します。
タバコや着色しやすい食べ物(コーヒーや赤ワインなど)による黒ずみにも効果的です。





















