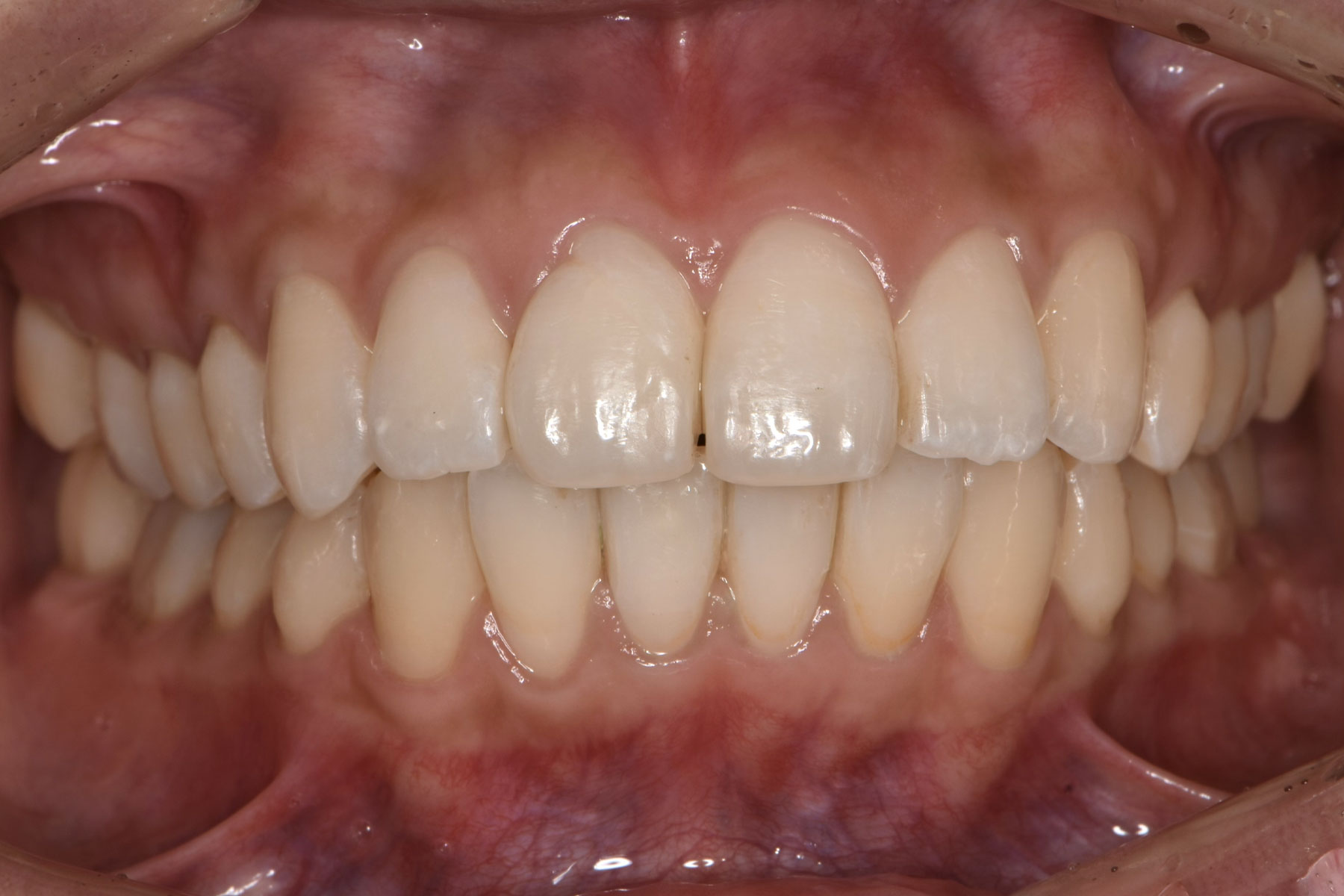
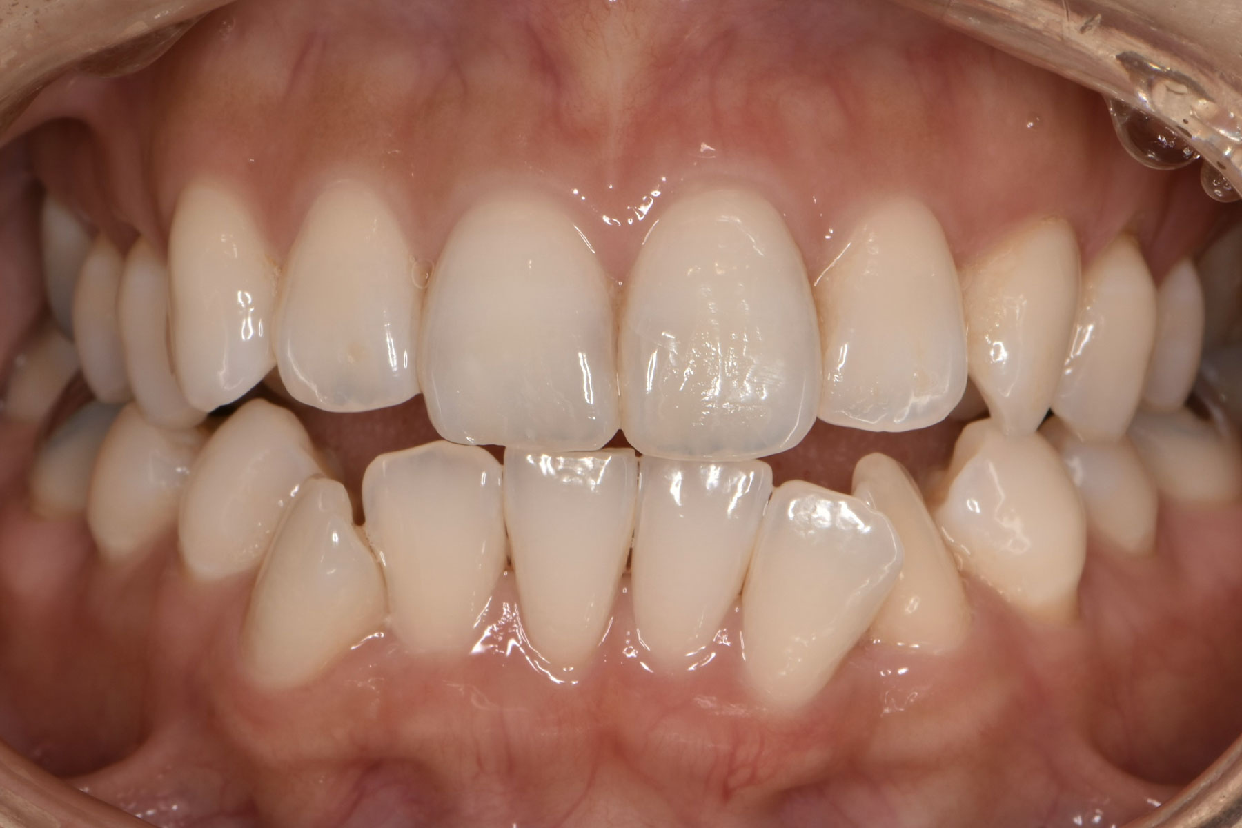
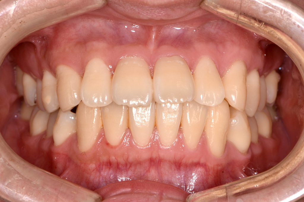
オフィスホワイトニング
歯を白くしたい【オフィスホワイトニング】
- 主訴
- 歯を白くしたい
- 期間
- 1回
- 費用
- 24,200円
- 治療内容
- オフィスホワイトニング
- 治療に伴うリスク
- ・ホワイトニングの効果には個人差があります。歯の質や着色の種類によっては、希望する白さにならない場合もあります。
・施術後、一時的に歯がしみる・知覚過敏のような症状が出ることがあります。ほとんどは数日でおさまりますが、症状が続く場合はご相談ください。
・人工歯(詰め物・被せ物・差し歯など)はホワイトニングでは白くなりません。
・施術後は、色の濃い飲食物(コーヒー・赤ワイン・カレーなど)を避けることで、白さをより長く保てます。
・薬剤を使用するため、妊娠中・授乳中の方や重度の歯肉炎・虫歯がある方は、施術を控えていただく場合があります。
・ホワイトニング効果は永続的ではありません。定期的なメンテナンスを行うことで白さを維持しやすくなります。
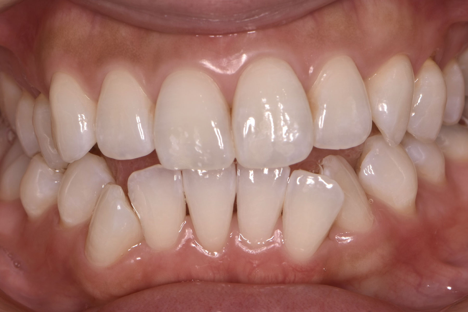
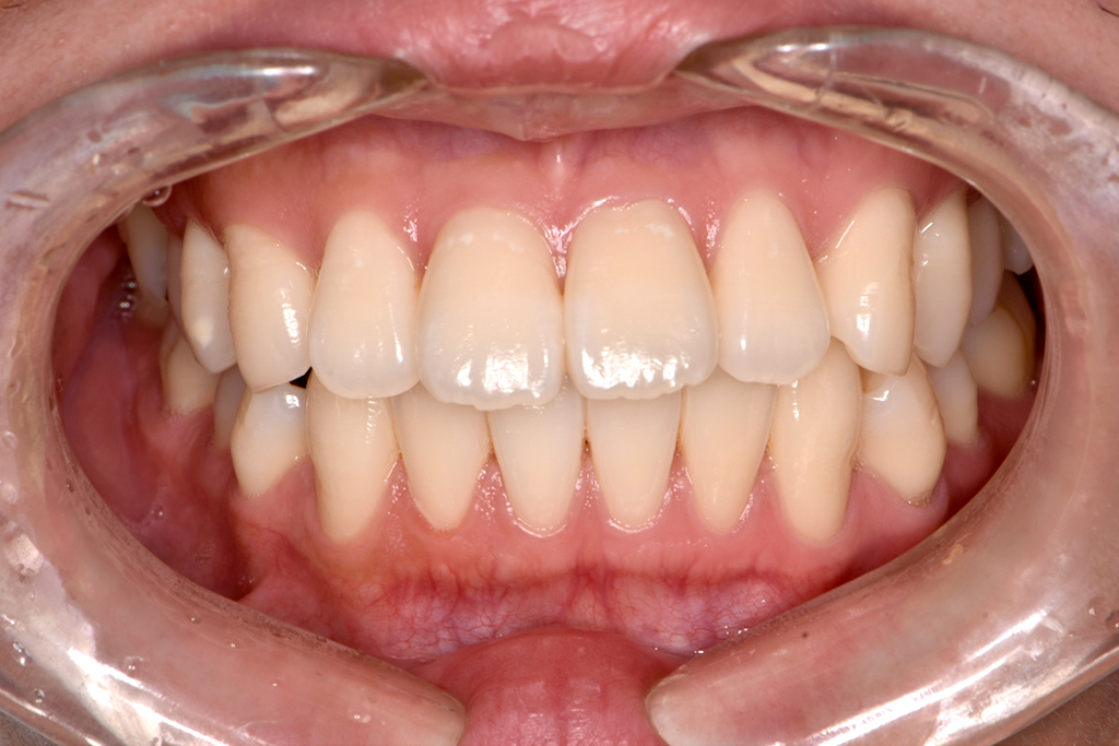
歯を白くしたい【オフィスホワイトニング】
- 主訴
- 歯を白くしたい
- 期間
- 1回
- 費用
- 24,200円
- 治療内容
- オフィスホワイトニング
- 治療に伴うリスク
- ・ホワイトニングの効果には個人差があります。歯の質や着色の種類によっては、希望する白さにならない場合もあります。
・施術後、一時的に歯がしみる・知覚過敏のような症状が出ることがあります。ほとんどは数日でおさまりますが、症状が続く場合はご相談ください。
・人工歯(詰め物・被せ物・差し歯など)はホワイトニングでは白くなりません。
・施術後は、色の濃い飲食物(コーヒー・赤ワイン・カレーなど)を避けることで、白さをより長く保てます。
・薬剤を使用するため、妊娠中・授乳中の方や重度の歯肉炎・虫歯がある方は、施術を控えていただく場合があります。
・ホワイトニング効果は永続的ではありません。定期的なメンテナンスを行うことで白さを維持しやすくなります。
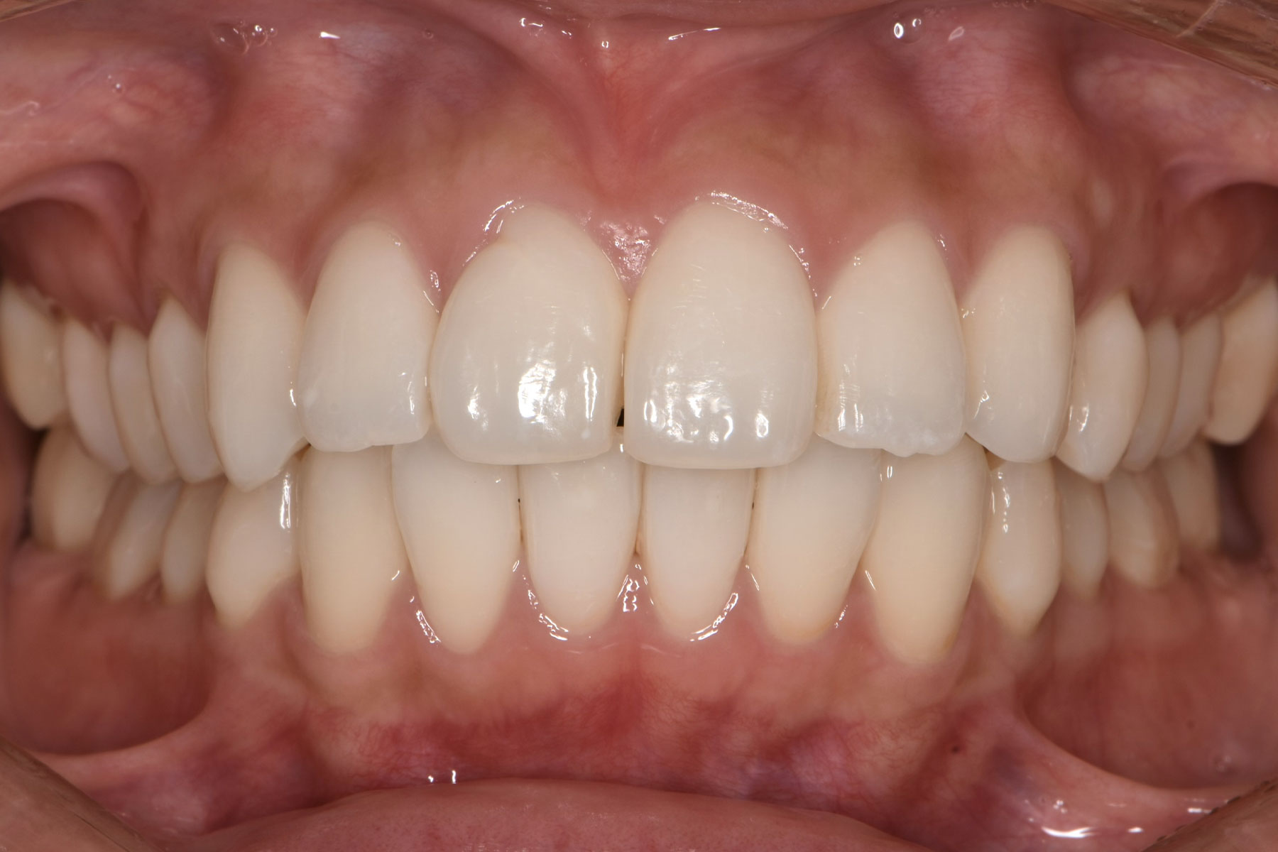
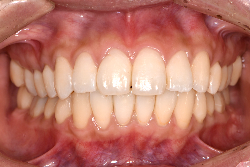
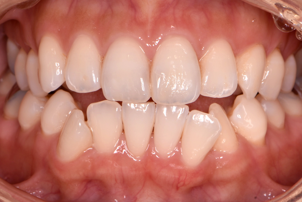
歯を綺麗にしたい【オフィスホワイトニング】
- 主訴
- 歯を綺麗にしたい
- 期間
- 1回
- 費用
- 25,200円
- 治療内容
- オフィスホワイトニング
- 治療に伴うリスク
- ・ホワイトニングの効果には個人差があります。歯の質や着色の種類によっては、希望する白さにならない場合もあります。
・施術後、一時的に歯がしみる・知覚過敏のような症状が出ることがあります。ほとんどは数日でおさまりますが、症状が続く場合はご相談ください。
・人工歯(詰め物・被せ物・差し歯など)はホワイトニングでは白くなりません。
・施術後は、色の濃い飲食物(コーヒー・赤ワイン・カレーなど)を避けることで、白さをより長く保てます。
・薬剤を使用するため、妊娠中・授乳中の方や重度の歯肉炎・虫歯がある方は、施術を控えていただく場合があります。
・ホワイトニング効果は永続的ではありません。定期的なメンテナンスを行うことで白さを維持しやすくなります。
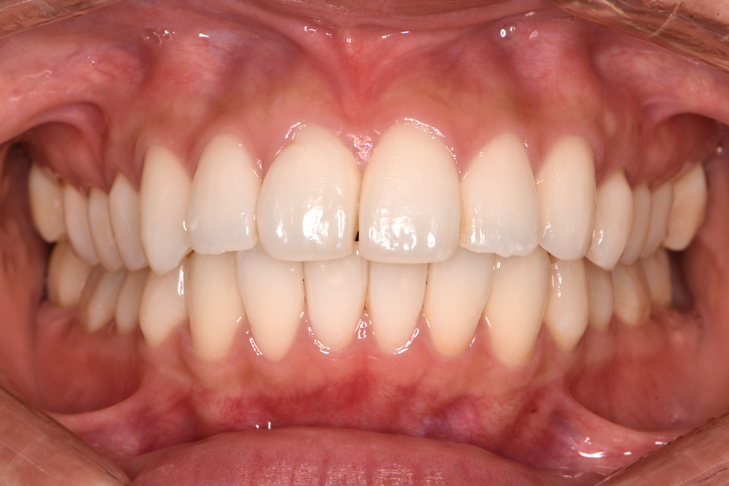
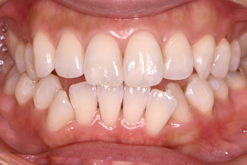
歯を綺麗にしたい【オフィスホワイトニング】
- 主訴
- 歯を綺麗にしたい
- 期間
- 1回
- 費用
- 24,200円
- 治療内容
- オフィスホワイトニング
- 治療に伴うリスク
- ・ホワイトニングの効果には個人差があります。歯の質や着色の種類によっては、希望する白さにならない場合もあります。
・施術後、一時的に歯がしみる・知覚過敏のような症状が出ることがあります。ほとんどは数日でおさまりますが、症状が続く場合はご相談ください。
・人工歯(詰め物・被せ物・差し歯など)はホワイトニングでは白くなりません。
・施術後は、色の濃い飲食物(コーヒー・赤ワイン・カレーなど)を避けることで、白さをより長く保てます。
・薬剤を使用するため、妊娠中・授乳中の方や重度の歯肉炎・虫歯がある方は、施術を控えていただく場合があります。
・ホワイトニング効果は永続的ではありません。定期的なメンテナンスを行うことで白さを維持しやすくなります。
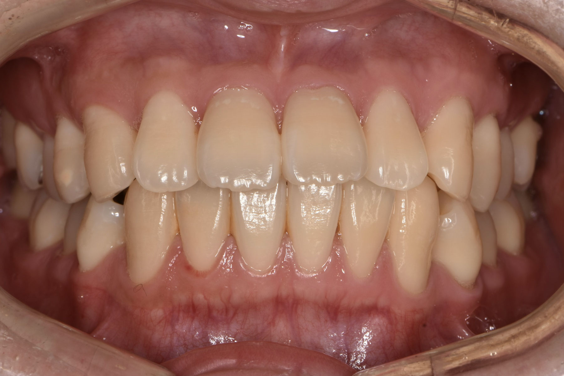
歯を白くしたい
【オフィスホワイトニング】
- 主訴
- 歯を白くしたい
- 期間
- 1回
- 費用
- 24,200円
- 治療内容
- オフィスホワイトニング
- 治療に伴うリスク
- ・ホワイトニングの効果には個人差があります。歯の質や着色の種類によっては、希望する白さにならない場合もあります。
・施術後、一時的に歯がしみる・知覚過敏のような症状が出ることがあります。ほとんどは数日でおさまりますが、症状が続く場合はご相談ください。
・人工歯(詰め物・被せ物・差し歯など)はホワイトニングでは白くなりません。
・施術後は、色の濃い飲食物(コーヒー・赤ワイン・カレーなど)を避けることで、白さをより長く保てます。
・薬剤を使用するため、妊娠中・授乳中の方や重度の歯肉炎・虫歯がある方は、施術を控えていただく場合があります。
・ホワイトニング効果は永続的ではありません。定期的なメンテナンスを行うことで白さを維持しやすくなります。
歯を白くしたい
【オフィスホワイトニング】
- 主訴
- 歯を白くしたい
- 期間
- 1回
- 費用
- 24,200円
- 治療内容
- オフィスホワイトニング
- 治療に伴うリスク
- ・ホワイトニングの効果には個人差があります。歯の質や着色の種類によっては、希望する白さにならない場合もあります。
・施術後、一時的に歯がしみる・知覚過敏のような症状が出ることがあります。ほとんどは数日でおさまりますが、症状が続く場合はご相談ください。
・人工歯(詰め物・被せ物・差し歯など)はホワイトニングでは白くなりません。
・施術後は、色の濃い飲食物(コーヒー・赤ワイン・カレーなど)を避けることで、白さをより長く保てます。
・薬剤を使用するため、妊娠中・授乳中の方や重度の歯肉炎・虫歯がある方は、施術を控えていただく場合があります。
・ホワイトニング効果は永続的ではありません。定期的なメンテナンスを行うことで白さを維持しやすくなります。
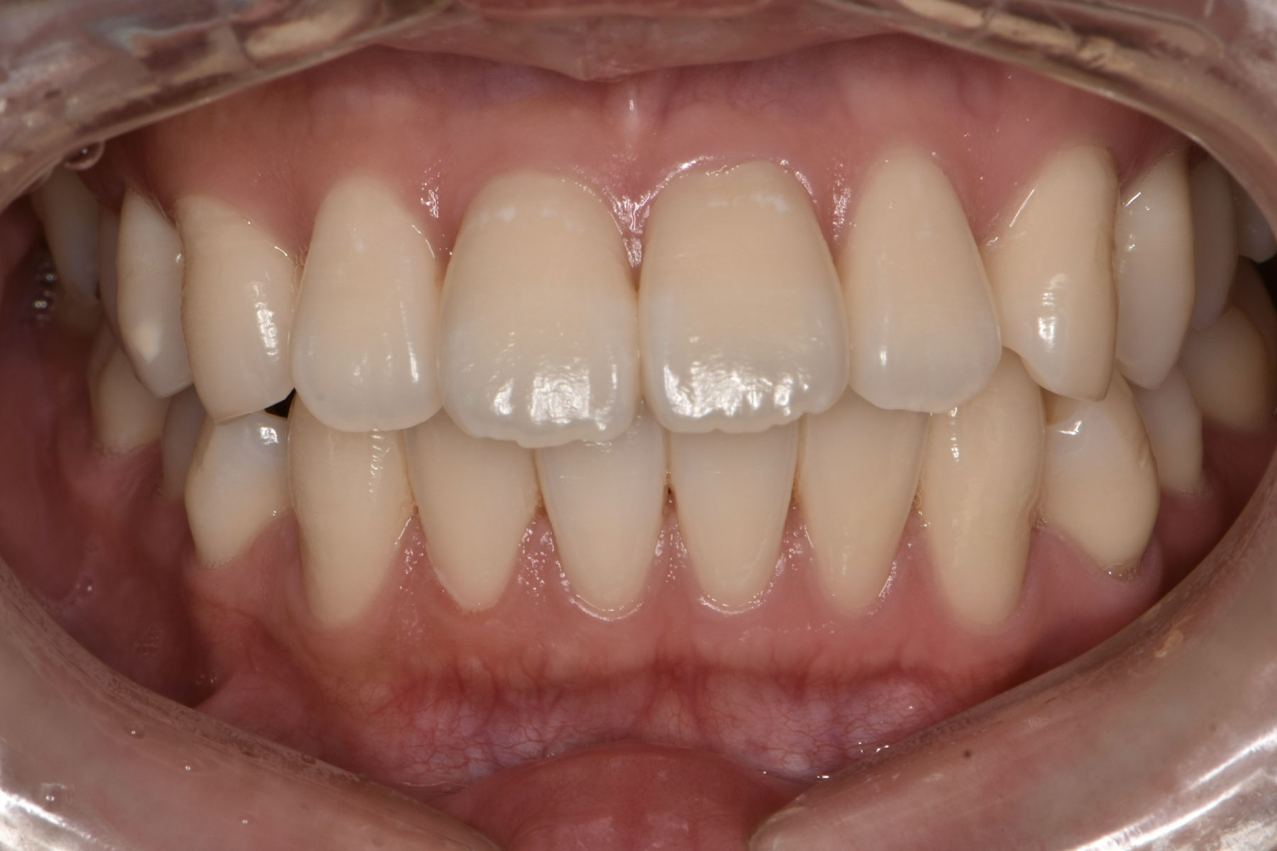
歯を綺麗にしたい
【オフィスホワイトニング】
- 主訴
- 歯を綺麗にしたい
- 期間
- 1回
- 費用
- 25,200円
- 治療内容
- オフィスホワイトニング
- 治療に伴うリスク
- ・ホワイトニングの効果には個人差があります。歯の質や着色の種類によっては、希望する白さにならない場合もあります。
・施術後、一時的に歯がしみる・知覚過敏のような症状が出ることがあります。ほとんどは数日でおさまりますが、症状が続く場合はご相談ください。
・人工歯(詰め物・被せ物・差し歯など)はホワイトニングでは白くなりません。
・施術後は、色の濃い飲食物(コーヒー・赤ワイン・カレーなど)を避けることで、白さをより長く保てます。
・薬剤を使用するため、妊娠中・授乳中の方や重度の歯肉炎・虫歯がある方は、施術を控えていただく場合があります。
・ホワイトニング効果は永続的ではありません。定期的なメンテナンスを行うことで白さを維持しやすくなります。
歯を綺麗にしたい
【オフィスホワイトニング】
- 主訴
- 歯を綺麗にしたい
- 期間
- 1回
- 費用
- 24,200円
- 治療内容
- オフィスホワイトニング
- 治療に伴うリスク
- ・ホワイトニングの効果には個人差があります。歯の質や着色の種類によっては、希望する白さにならない場合もあります。
・施術後、一時的に歯がしみる・知覚過敏のような症状が出ることがあります。ほとんどは数日でおさまりますが、症状が続く場合はご相談ください。
・人工歯(詰め物・被せ物・差し歯など)はホワイトニングでは白くなりません。
・施術後は、色の濃い飲食物(コーヒー・赤ワイン・カレーなど)を避けることで、白さをより長く保てます。
・薬剤を使用するため、妊娠中・授乳中の方や重度の歯肉炎・虫歯がある方は、施術を控えていただく場合があります。
・ホワイトニング効果は永続的ではありません。定期的なメンテナンスを行うことで白さを維持しやすくなります。
















