- ホーム
- 症例
症例集
前歯のスキマが
気になる
【マウスピース矯正】
歯並びを直したい
【マウスピース矯正】
奥歯の差し歯が取れた
【抜歯+
インプラント治療】
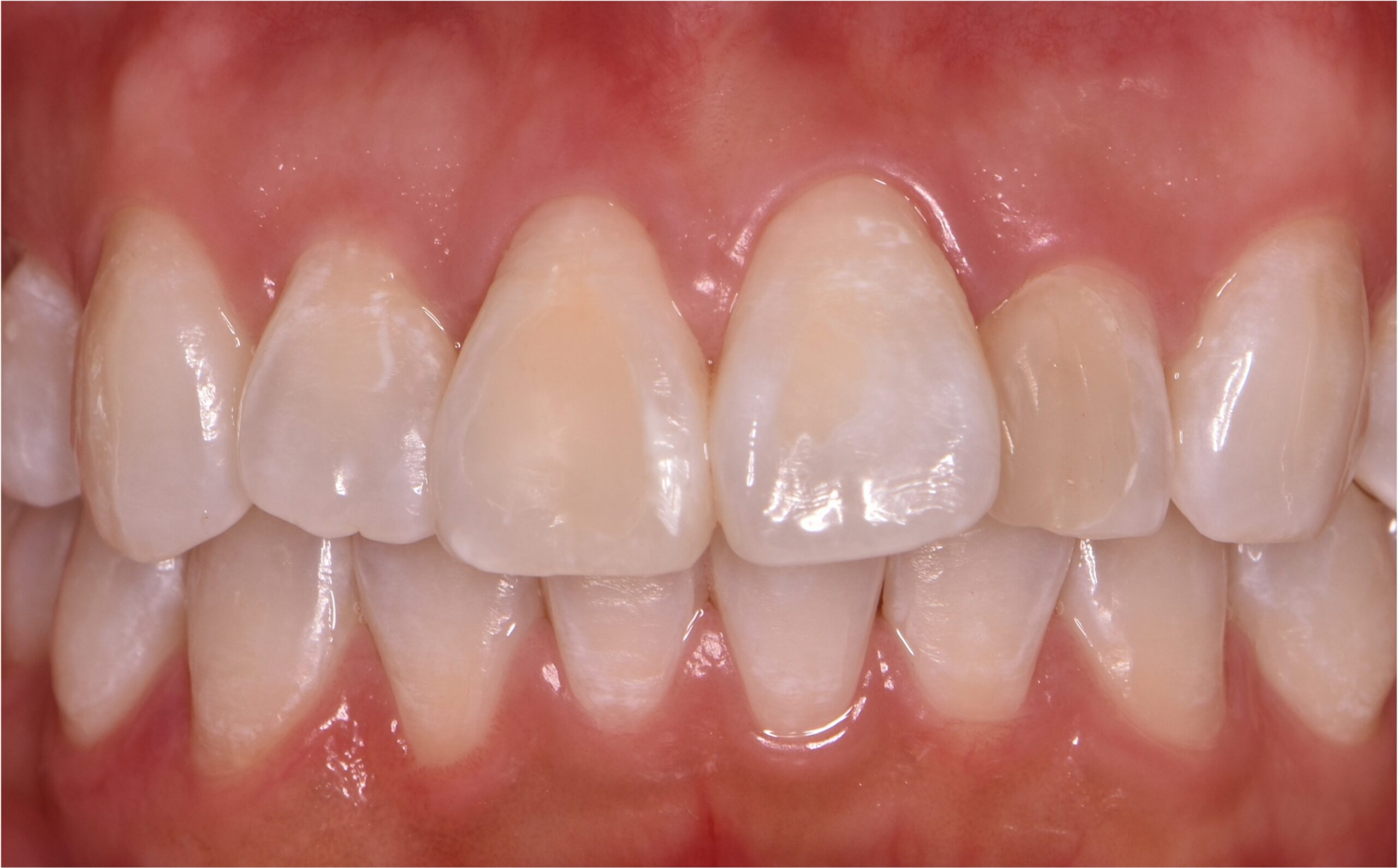
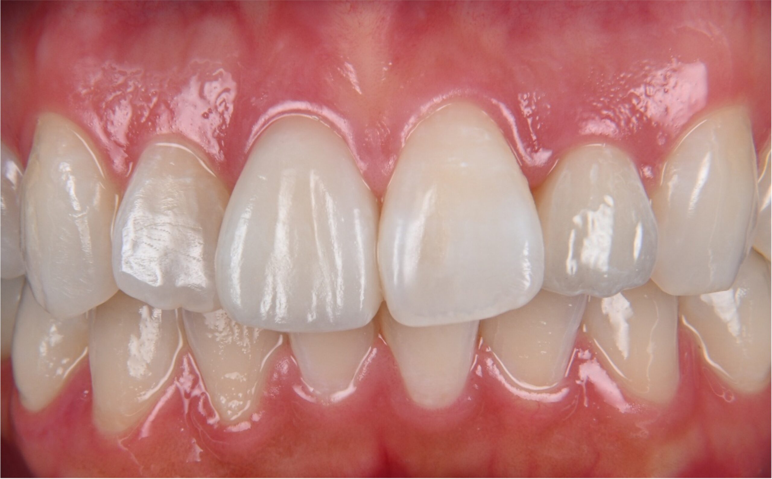
上の歯の被せものが
取れた
【フルジルコニア
クラウン】
- 主訴
- 上の歯の被せものが取れた
- 期間
- 2回
- 費用
- 88,000円
- 治療内容
- フルジルコニアクラウン
- 治療に伴うリスク
- ・保険適用外のため保険治療よりコストがかかります
・元の歯に着色汚れがあると透明性により黄ばんで見える場合があります
・強い力により割れたり欠けたりする可能性があります
・接着力の低下により外れる場合があります
・歯を削ることで一時的にしみる場合があります
・歯の形態により適合が困難な場合があります
虫歯がある
【セラミック
インレー】
下の歯のセラミックが
欠けた
【オクルーザル
べニア】
歯を白くしたい
【カスタムデュアル
ホワイトニング】
- 主訴
- 歯を白くしたい
- 期間
- 2回
- 費用
- 56,100円
- 治療内容
- カスタムデュアルホワイトニング
- 治療に伴うリスク
- 【ホワイトニング】
・ホワイトニングの薬剤が歯にしみやすくなる場合があります
・歯の状態により期待通りの効果が得られない場合があります
・治療中に歯や歯茎に違和感を感じることがあります
・時間の経過により色調が元に戻る可能性があります
・歯の状態により適応とならない場合があります
ホワイトニングを
してみたい
【カスタムデュアル
ホワイトニング】
- 主訴
- ホワイトニングをしてみたい
- 期間
- 2回
- 費用
- 56,100円
- 治療内容
- カスタムデュアルホワイトニング
- 治療に伴うリスク
- 【ホワイトニング】
・ホワイトニングの薬剤が歯にしみやすくなる場合があります
・歯の状態により期待通りの効果が得られない場合があります
・治療中に歯や歯茎に違和感を感じることがあります
・時間の経過により色調が元に戻る可能性があります
・歯の状態により適応とならない場合があります
前歯が黄色い
【カスタムデュアル
ホワイトニング
+ウォーキング
ブリーチ】
- 主訴
- 前歯が黄色い
- 期間
- 4回
- 費用
- 89,100円
- 治療内容
- カスタムデュアルホワイトニング
ウォーキングブリーチ
- 治療に伴うリスク
- 【ホワイトニング】
・ホワイトニングの薬剤が歯にしみやすくなる場合があります
・歯の状態により期待通りの効果が得られない場合があります
・治療中に歯や歯茎に違和感を感じることがあります
・時間の経過により色調が元に戻る可能性があります
・歯の状態により適応とならない場合があります
前歯を綺麗にしたい
【カスタムデュアル
ホワイトニング+
ラミネートべニア
+セラミック
クラウン】
- 主訴
- 前歯を綺麗にしたい
- 期間
- 4回
- 費用
- 287,100円
- 治療内容
- カスタムデュアルホワイトニング
ラミネートべニア
セラミッククラウン
- 治療に伴うリスク
- 【ホワイトニング】
・ホワイトニングの薬剤が歯にしみやすくなる場合があります
・歯の状態により期待通りの効果が得られない場合があります
・治療中に歯や歯茎に違和感を感じることがあります
・時間の経過により色調が元に戻る可能性があります
・歯の状態により適応とならない場合があります
【ラミネートベニア】
・強い力により割れたり外れたりする可能性があります
・歯面処理により一時的に冷たいものがしみる可能性があります
・周囲の歯と完全に同じ色調にならない場合があります
・薄くても歯の表面を削る必要があります
・歯の状態により適応とならない場合があります
・咬み合わせの調整が必要になる場合があります
・保険適用外のため高額な治療費がかかります
【セラミック治療】
・保険適用外のため保険治療よりコストがかかります
・元の歯に着色汚れがあると透明性により黄ばんで見える場合があります
・強い力により割れたり欠けたりする可能性があります
・接着力の低下により外れる場合があります
・歯を削ることで一時的にしみる場合があります
・歯の形態により適合が困難な場合があります




















