審美歯科治療
銀歯を白くしたい
【ダイレクトボンディング】
- 主訴
- 銀歯を白くしたい
- 期間
- 1回
- 費用
- 33,000円
- 治療内容
- ダイレクトボンディング
- 治療に伴うリスク
- ・時間の経過により変色や劣化が生じる可能性があります。
・強い力により外れたり割れたりする可能性があります。
・周囲の歯と色調が合わなくなる場合があります。
・治療後に一時的にしみる可能性があります。
・劣化により再度治療が必要になる場合があります。
・欠損の大きさにより適応とならない場合があります。
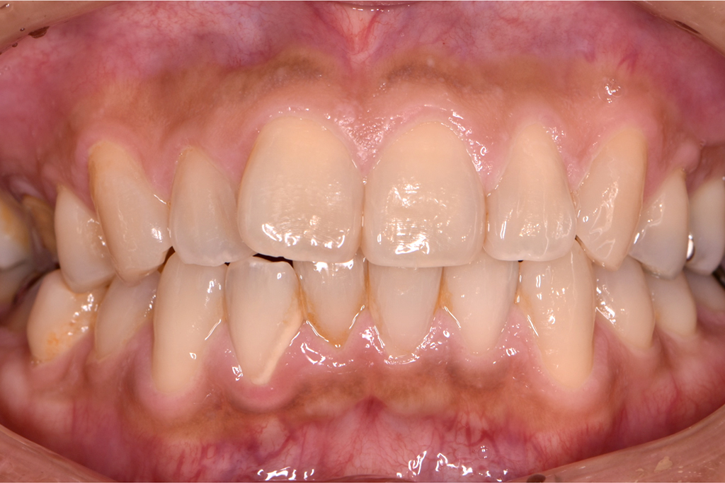
下の奥歯のブリッジが取れた
【フルジルコニアブリッジ】
- 主訴
- 下の奥歯のブリッジが取れた
- 期間
- 3回
- 費用
- 264,000円
- 治療内容
- フルジルコニアブリッジ
- 治療に伴うリスク
- ・保険適用外のため保険治療よりコストがかかります
・元の歯に着色汚れがあると透明性により黄ばんで見える場合があります
・強い力により割れたり欠けたりする可能性があります
・接着力の低下により外れる場合があります
・歯を削ることで一時的にしみる場合があります
・歯の形態により適合が困難な場合があります
奥歯のむし歯を治したい
【ダイレクトボンディング】
- 主訴
- 奥歯のむし歯を治したい
- 期間
- 1回
- 費用
- 33,000円
- 治療内容
- ダイレクトボンディング
- 治療に伴うリスク
- ・時間の経過により変色や劣化が生じる可能性があります。
・強い力により外れたり割れたりする可能性があります。
・周囲の歯と色調が合わなくなる場合があります。
・治療後に一時的にしみる可能性があります。
・劣化により再度治療が必要になる場合があります。
・欠損の大きさにより適応とならない場合があります。
上の奥歯の詰め物が取れた
【ダイレクトボンディング】
- 主訴
- 上の奥歯の詰め物が取れた
- 期間
- 1回
- 費用
- 33,000円
- 治療内容
- ダイレクトボンディング
- 治療に伴うリスク
- ・時間の経過により変色や劣化が生じる可能性があります。
・強い力により外れたり割れたりする可能性があります。
・周囲の歯と色調が合わなくなる場合があります。
・治療後に一時的にしみる可能性があります。
・劣化により再度治療が必要になる場合があります。
・欠損の大きさにより適応とならない場合があります。
下の奥歯が欠けた
【ダイレクトボンディング】
- 主訴
- 下の奥歯が欠けた
- 期間
- 1回
- 費用
- 33,000円
- 治療内容
- ダイレクトボンディング
- 治療に伴うリスク
- ・時間の経過により変色や劣化が生じる可能性があります。
・強い力により外れたり割れたりする可能性があります。
・周囲の歯と色調が合わなくなる場合があります。
・治療後に一時的にしみる可能性があります。
・劣化により再度治療が必要になる場合があります。
・欠損の大きさにより適応とならない場合があります。
上の奥歯の詰め物が取れた
【ダイレクトボンディング】
- 主訴
- 上の奥歯の詰め物が取れた
- 期間
- 1回
- 費用
- 165,000円
- 治療内容
- ダイレクトボンディング
- 治療に伴うリスク
- ・時間の経過により変色や劣化が生じる可能性があります。
・強い力により外れたり割れたりする可能性があります。
・周囲の歯と色調が合わなくなる場合があります。
・治療後に一時的にしみる可能性があります。
・劣化により再度治療が必要になる場合があります。
・欠損の大きさにより適応とならない場合があります。
歯を白くしたい
【オフィスホワイトニング】
- 主訴
- 歯を白くしたい
- 期間
- 1回
- 費用
- 24,200円
- 治療内容
- オフィスホワイトニング
- 治療に伴うリスク
- ・ホワイトニングの効果には個人差があります。歯の質や着色の種類によっては、希望する白さにならない場合もあります。
・施術後、一時的に歯がしみる・知覚過敏のような症状が出ることがあります。ほとんどは数日でおさまりますが、症状が続く場合はご相談ください。
・人工歯(詰め物・被せ物・差し歯など)はホワイトニングでは白くなりません。
・施術後は、色の濃い飲食物(コーヒー・赤ワイン・カレーなど)を避けることで、白さをより長く保てます。
・薬剤を使用するため、妊娠中・授乳中の方や重度の歯肉炎・虫歯がある方は、施術を控えていただく場合があります。
・ホワイトニング効果は永続的ではありません。定期的なメンテナンスを行うことで白さを維持しやすくなります。
歯を綺麗にしたい
【カスタムデュアルホワイトニング】
- 主訴
- 歯を綺麗にしたい
- 期間
- 6週間
- 費用
- 56,100円
- 治療内容
- カスタムデュアルホワイトニング
- 治療に伴うリスク
- ・ホワイトニングの効果には個人差があります。歯の質や着色の種類によっては、希望する白さにならない場合もあります。
・施術後、一時的に歯がしみる・知覚過敏のような症状が出ることがあります。ほとんどは数日でおさまりますが、症状が続く場合はご相談ください。
・人工歯(詰め物・被せ物・差し歯など)はホワイトニングでは白くなりません。
・施術後は、色の濃い飲食物(コーヒー・赤ワイン・カレーなど)を避けることで、白さをより長く保てます。
・薬剤を使用するため、妊娠中・授乳中の方や重度の歯肉炎・虫歯がある方は、施術を控えていただく場合があります。
・ホワイトニング効果は永続的ではありません。定期的なメンテナンスを行うことで白さを維持しやすくなります。
歯を綺麗にしたい
【カスタムデュアルホワイトニング】
- 主訴
- 歯を綺麗にしたい
- 期間
- 4週間
- 費用
- 56,100円
- 治療内容
- カスタムデュアルホワイトニング
- 治療に伴うリスク
- ・ホワイトニングの効果には個人差があります。歯の質や着色の種類によっては、希望する白さにならない場合もあります。
・施術後、一時的に歯がしみる・知覚過敏のような症状が出ることがあります。ほとんどは数日でおさまりますが、症状が続く場合はご相談ください。
・人工歯(詰め物・被せ物・差し歯など)はホワイトニングでは白くなりません。
・施術後は、色の濃い飲食物(コーヒー・赤ワイン・カレーなど)を避けることで、白さをより長く保てます。
・薬剤を使用するため、妊娠中・授乳中の方や重度の歯肉炎・虫歯がある方は、施術を控えていただく場合があります。
・ホワイトニング効果は永続的ではありません。定期的なメンテナンスを行うことで白さを維持しやすくなります。
歯を白くしたい
【カスタムホームホワイトニング】
- 主訴
- 歯を白くしたい
- 期間
- 3週間
- 費用
- 35,200円
- 治療内容
- カスタムホームホワイトニング
- 治療に伴うリスク
- ・ホワイトニングの効果には個人差があります。歯の質や着色の種類によっては、希望する白さにならない場合もあります。
・施術後、一時的に歯がしみる・知覚過敏のような症状が出ることがあります。ほとんどは数日でおさまりますが、症状が続く場合はご相談ください。
・人工歯(詰め物・被せ物・差し歯など)はホワイトニングでは白くなりません。
・施術後は、色の濃い飲食物(コーヒー・赤ワイン・カレーなど)を避けることで、白さをより長く保てます。
・薬剤を使用するため、妊娠中・授乳中の方や重度の歯肉炎・虫歯がある方は、施術を控えていただく場合があります。
・ホワイトニング効果は永続的ではありません。定期的なメンテナンスを行うことで白さを維持しやすくなります。




















